Tensin 1 Antibody

Images

 
Immunocytochemistry/ Immunofluorescence: Tensin 1 Antibody [NBP2-78783] - HeLa cells were fixed in 4% paraformaldehyde for 10 min and permeabilized in 0.05% Triton X-100 for 5 minutes. The cells were incubated with ...read more
Western Blot: Tensin 1 Antibody [NBP2-78783] - Total protein from human U2OS and HeLa cell lines was separated on a 7.5% gel by SDS-PAGE, transferred to PVDF membrane and blocked in 5% non-fat milk in TBST. The membrane ...read more
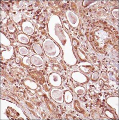
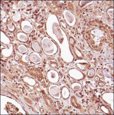
Immunohistochemistry-Paraffin: Tensin 1 Antibody [NBP2-78783] - Analysis of a FFPE tissue section of the human kidney using 1:200 dilution of Tensin1 antibody (NBP2-78783). The signal was developed using HRP-DAB method ...read more
Immunocytochemistry/ Immunofluorescence: Tensin 1 Antibody [NBP2-78783] - HeLa cells were fixed for 10 minutes using 10% formalin and then permeabilized for 5 minutes using 1X PBS + 0.05% Triton-X100. The cells were ...read more

Product Details

Summary
Reactivity HuSpecies Glossary
Applications WB, ICC/IF, IHC, IHC-P
Clonality
Polyclonal
Host
Rabbit
Conjugate
Unconjugated
Concentration
0.7 mg/ml

Tensin 1 Antibody Summary

Immunogen
Tensin 1 antibody made to partial recombinant protein made to the N-terminal portion of human Tensin 1 (amino acids 1-385) [UniProt Q9HBL0].
Isotype
IgG
Clonality
Polyclonal
Host
Rabbit
Gene
TNS1
Purity
Immunogen affinity purified
Innovator's Reward
Test in a species/application not listed above to receive a full credit towards a future purchase.

Applications/Dilutions

Dilutions
  • Western Blot 1 - 5 ug/ml
  • Immunocytochemistry/Immunofluorescence 2 - 5 ug/ml
  • Immunohistochemistry 1:200 - 1:500
  • Immunohistochemistry-Paraffin 1:200 - 1:500

Packaging, Storage & Formulations

Storage
Store at 4C short term. Aliquot and store at -20C long term. Avoid freeze-thaw cycles.
Buffer
PBS
Preservative
0.02% Sodium Azide
Concentration
0.7 mg/ml
Purity
Immunogen affinity purified

Alternate Names for Tensin 1 Antibody

  • DKFZp586K0617
  • matrix-remodelling associated 6
  • Matrix-remodelling-associated protein 6
  • MGC88584
  • MST091
  • MST122
  • MST127
  • MSTP127
  • MXRA6
  • tensin 1
  • tensin
  • tensin-1
  • TNSMSTP122

Background

Tensin 1 (TNS1, human Tensin 1 theoretical molecular weight 186kDa) belongs to a family of focal adhesion proteins which in mammals includes three other members: Tensin 2, Tensin 3, and C-terminal tensin-like (Cten or Tensin 4) (1, 2). Tensins localize to focal adhesion sites, which are functional domains of the cellular membrane that mediate interactions between the actin cytoskeleton and the extracellular matrix (1). Transmembrane integrin receptors (alpha-beta heterodimer) predominate within focal adhesions and serve to bridge the interactions between extracellular components and the cytoskeleton (3). Tensin 1 interacts with both actin filaments and beta-integrin receptors within focal adhesion sites to mediate cellular responses to extracellular signals (1, 4). Several common functional domains are shared between some tensin family members including: 1) amino terminal PTEN-related tyrosine phosphatase (PTP) domain, 2) amino terminal actin-binding (ABD-1) domain, 3) amino terminal focal adhesion binding (FAB-N) domain, 4) carboxy terminal Src homology 2 (SH2) domain, 5) carboxy terminal phosphotyrosine binding (PTB) domain, and 6) carboxy terminal focal adhesion binding (FAB-C) domain (4). The PTB domain allows tensins to interact with beta-integrin cytoplasmic tails, while their SH2 domain supports interaction with tyrosine-phosphorylated signaling proteins (1). The interactions of tensins with focal adhesion kinases and phosphatases support diverse cellular processes such as attachment, migration, and polarization. Loss of function studies have revealed that tensin 1 plays a critical role for normal kidney function, skeletal muscle regeneration and angiogenesis (1).

References

1. Lo, S. H. (2017). Tensins. Current Biology. https://doi.org/10.1016/j.cub.2017.02.041

2. Lo, S. H. (2014). C-terminal tensin-like (CTEN): A promising biomarker and target for cancer. International Journal of Biochemistry and Cell Biology. https://doi.org/10.1016/j.biocel.2014.04.003

3. Armitage, S. K., & Plotnikov, S. V. (2016). Bridging the gap: A new study reveals that a protein called talin forms a vital link between microtubules and focal adhesions at the surface of cells. ELife. https://doi.org/10.7554/eLife.19733

4. Lo, S. H. (2006). Focal adhesions: What's new inside. Developmental Biology. https://doi.org/10.1016/j.ydbio.2006.03.029

Limitations

This product is for research use only and is not approved for use in humans or in clinical diagnosis. Primary Antibodies are guaranteed for 1 year from date of receipt.

Customers Who Viewed This Item Also Viewed...

NBP1-46535
Species: Hu, Mu, Rt, Rb, Xp, Ze
Applications: WB, ICC/IF, IHC, IHC-Fr, IHC-P, IHC-FrFl
NBP2-14871
Species: Hu, Mu, Rt
Applications: WB, ICC/IF
NBP2-67413
Species: Hu, Mu, Rt
Applications: WB, ICC/IF, IHC, IHC-P, IP
NBP1-98474
Species: Hu
Applications: WB
NB600-41532
Species: Hu, Mu
Applications: WB, ELISA, ICC/IF, IHC, IHC-P
AF1052
Species: Hu
Applications: WB, Flow, IHC, CyTOF-ready
NB120-14817
Species: Hu, Rt
Applications: WB, ICC/IF, IHC, S-ELISA
NB300-187
Species: Hu, Mu, Rt
Applications: ICC/IF, IHC
NBP2-37502
Species: Hu
Applications: WB, ELISA, Flow, ICC/IF, IHC, IHC-P, CyTOF-ready
NBP1-31133
Species: Hu, Mu
Applications: WB, ICC/IF, IHC, IHC-P
NBP2-32906
Species: Hu, Mu
Applications: WB, Flow, ICC/IF, IHC, IHC-Fr, Flow-IC
NBP2-24916
Species: Hu, Mu, Rt, Bv
Applications: WB, IHC, IHC-P
NB110-68136
Species: Hu, Mu, Rt, Fe
Applications: WB, ELISA, Flow, ICC/IF, IHC, IHC-Fr, IHC-P, IP, CyTOF-ready, Flow-IC
NB110-41404
Species: Hu, Mu, Rt, Bv
Applications: WB, ICC/IF, IHC
H00005018-D01P
Species: Hu
Applications: WB, ICC/IF
NB100-62346
Species: Hu, Mu, Rt
Applications: WB, ELISA, IHC, IHC-P
NBP2-78783
Species: Hu
Applications: WB, ICC/IF, IHC, IHC-P

Publications for Tensin 1 Antibody (NBP2-78783) (0)

There are no publications for Tensin 1 Antibody (NBP2-78783).
By submitting your publication information earn gift cards and discounts for future purchases.

Reviews for Tensin 1 Antibody (NBP2-78783) (0)

There are no reviews for Tensin 1 Antibody (NBP2-78783). By submitting a review you will receive an Amazon e-Gift Card or Novus Product Discount.
  • Review with no image -- $10/€7/£6/$10 CAD/¥70 Yuan/¥1110 Yen
  • Review with an image -- $25/€18/£15/$25 CAD/¥150 Yuan/¥2500 Yen

Product General Protocols

Video Protocols

WB Video Protocol
ICC/IF Video Protocol

FAQs for Tensin 1 Antibody (NBP2-78783) (0)

There are no specific FAQs related to this product. Read our general customer & technical service FAQs.

Secondary Antibodies

 

Isotype Controls

Other Available Formats

Alexa Fluor 350 NBP2-78783AF350
Alexa Fluor 405 NBP2-78783AF405
Alexa Fluor 488 NBP2-78783AF488
Alexa Fluor 532 NBP2-78783AF532
Alexa Fluor 594 NBP2-78783AF594
Alexa Fluor 647 NBP2-78783AF647
Alexa Fluor 700 NBP2-78783AF700
Alexa Fluor 750 NBP2-78783AF750
Biotin NBP2-78783B
DyLight 350 NBP2-78783UV
DyLight 405 NBP2-78783V
DyLight 488 NBP2-78783G
DyLight 550 NBP2-78783R
DyLight 594 NBP2-78783DL594
DyLight 650 NBP2-78783C
DyLight 680 NBP2-78783FR
DyLight 755 NBP2-78783IR
FITC NBP2-78783F
HRP NBP2-78783H
Janelia Fluor 549 NBP2-78783JF549
Janelia Fluor 646 NBP2-78783JF646

Additional Tensin 1 Products

Bioinformatics Tool for Tensin 1 Antibody (NBP2-78783)

Discover related pathways, diseases and genes to Tensin 1 Antibody (NBP2-78783). Need help? Read the Bioinformatics Tool Guide for instructions on using this tool.
Visit Tool

Diseases for Tensin 1 Antibody (NBP2-78783)

Discover more about diseases related to Tensin 1 Antibody (NBP2-78783).
 

Pathways for Tensin 1 Antibody (NBP2-78783)

View related products by pathway.

Research Areas for Tensin 1 Antibody (NBP2-78783)

Find related products by research area.

Blogs on Tensin 1

There are no specific blogs for Tensin 1, but you can read our latest blog posts.
Recombinant Monoclonal Antibodies

Customers Who Bought This Also Bought

Contact Information

Learn the difference between western blot and simple western

Product PDFs

Calculators

Concentration Calculator

The concentration calculator allows you to quickly calculate the volume, mass or concentration of your vial. Simply enter your mass, volume, or concentration values for your reagent and the calculator will determine the rest.

=
÷

Review this Product

Be the first to review our Tensin 1 Antibody and receive a gift card or discount.

Bioinformatics

Gene Symbol TNS1
COVID-19 update