TCERG1 Antibody - BSA Free

Images

 
Immunohistochemistry-Paraffin: TCERG1 Antibody [NBP2-20584] - Human colon, using CA150 antibody at 1:250 dilution. Antigen Retrieval: Citrate buffer, pH 6.0, 15 min.
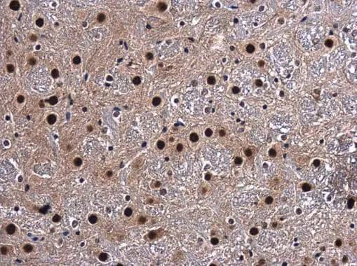
CA150 antibody detects CA150 protein at nucleus in mouse brain by immunohistochemical analysis. Sample: Paraffin-embedded mouse brain. CA150 antibody (NBP2-20584) diluted at 1:500. br>Antigen Retrieval: Citrate buffer, ...read more
HeLa whole cell and nuclear extracts (30 ug) were separated by 5% SDS-PAGE, and the membrane was blotted with CA150 antibody (NBP2-20584) diluted at 1:500.
U87-MG whole cell and nuclear extracts (30 ug) were separated by 5% SDS-PAGE, and the membrane was blotted with CA150 antibody (NBP2-20584) diluted at 1:500.
CA150 antibody detects CA150 protein at nucleus by immunofluorescent analysis.Sample: HeLa cells were fixed in 4% paraformaldehyde at RT for 15 min.Green: CA150 protein stained by CA150 antibody (NBP2-20584) diluted at ...read more
CA150 antibody detects CA150 protein at nucleus in rat testis by immunohistochemical analysis. Sample: Paraffin-embedded rat testis. CA150 antibody (NBP2-20584) diluted at 1:500. br>Antigen Retrieval: Citrate buffer, pH ...read more

Product Details

Summary
Reactivity Hu, Mu, RtSpecies Glossary
Applications WB, ICC/IF, IHC
Clonality
Polyclonal
Host
Rabbit
Conjugate
Unconjugated
Format
BSA Free

Order Details

TCERG1 Antibody - BSA Free Summary

Description
Novus Biologicals Rabbit TCERG1 Antibody - BSA Free (NBP2-20584) is a polyclonal antibody validated for use in IHC, WB and ICC/IF. All Novus Biologicals antibodies are covered by our 100% guarantee.
Immunogen
Recombinant protein encompassing a sequence within the center region of human TCERG1. The exact sequence is proprietary.
Localization
Nucleus
Isotype
IgG
Clonality
Polyclonal
Host
Rabbit
Gene
TCERG1
Purity
Antigen Affinity-purified
Innovator's Reward
Test in a species/application not listed above to receive a full credit towards a future purchase.

Applications/Dilutions

Dilutions
  • Immunocytochemistry/ Immunofluorescence 1:100-1:1000
  • Immunohistochemistry 1:100-1:1000
  • Immunohistochemistry-Paraffin 1:100-1:1000
  • Western Blot 1:500-1:3000
Theoretical MW
124 kDa.
Disclaimer note: The observed molecular weight of the protein may vary from the listed predicted molecular weight due to post translational modifications, post translation cleavages, relative charges, and other experimental factors.

Packaging, Storage & Formulations

Storage
Aliquot and store at -20C or -80C. Avoid freeze-thaw cycles.
Buffer
0.1M Tris, 0.1M Glycine, 20% Glycerol
Preservative
0.01% Thimerosal
Purity
Antigen Affinity-purified

Alternate Names for TCERG1 Antibody - BSA Free

  • CA150TATA box-binding protein-associated factor 2S
  • co-activator of 150 kDa
  • TAF2SMGC133200
  • TATA box binding protein (TBP)-associated factor, RNA polymerase II, S, 150kD
  • TATA box-binding protein-associated factor 2S
  • transcription elongation regulator 1
  • Transcription factor CA150
  • Urn1

Background

This gene encodes a nuclear protein that regulates transcriptional elongation and pre-mRNA splicing. The encoded protein interacts with the hyperphosphorylated C-terminal domain of RNA polymerase II via multiple FF domains, and with the pre-mRNA splicing factor SF1 via a WW domain. Alternative splicing results in multiple transcripts variants encoding different isoforms. [provided by RefSeq]

Limitations

This product is for research use only and is not approved for use in humans or in clinical diagnosis. Primary Antibodies are guaranteed for 1 year from date of receipt.

Customers Who Viewed This Item Also Viewed...

NBP3-15642
Species: Hu, Mu, Rt
Applications: ICC/IF, IHC,  IHC-P, WB
NBP1-87933
Species: Hu
Applications: ICC/IF, IHC,  IHC-P, Simple Western, WB
H00006532-D01P
Species: Hu, Mu
Applications: WB
H00007536-M01
Species: Hu, Mu
Applications: ELISA, ICC/IF, IHC,  IHC-P, IP, WB
NBP2-88921
Species: Hu
Applications: ICC/IF, IHC,  IHC-P, WB
NBP3-03409
Species: Hu, Mu, Rt
Applications: IHC,  IHC-P, WB
NBP1-79286
Species: Rt
Applications: WB
NBP2-48860
Species: Hu, Mu
Applications: IHC,  IHC-P, WB
NBP3-16867
Species: Hu, Mu, Rt
Applications: ELISA, IHC,  IHC-P, WB
NB300-105
Species: Hu, Mu, Rb, Rt
Applications: IHC,  IHC-P, IP, KO, WB
NBP2-27192
Species: Bv, Ca, Ch, Eq, Hu, Mu, Pm
Applications: IHC,  IHC-P, WB
NB200-103
Species: Hu, Mu, Rt, Xp(-), Ye
Applications: CyTOF-ready, ELISA, Flow-IC, Flow, ICC/IF, IHC, IHC-Fr,  IHC-P, IP, WB
NBP2-29617
Species: Hu
Applications: IHC, IHC-Fr,  IHC-P, WB
H00051053-M01
Species: Hu
Applications: ELISA, ICC/IF, IHC,  IHC-P, WB
NBP1-77009
Species: Mu, Rt
Applications: ELISA, ICC/IF, IHC,  IHC-P, WB
NB110-60531
Species: Hu, Mu, Rt(-)
Applications: CyTOF-ready, ELISA, Flow-IC, Flow, ICC/IF, IHC,  IHC-P, IP, WB
NBP2-52983
Species: Hu, Mu
Applications: Flow, ICC/IF, IHC,  IHC-P, WB
NBP1-47217
Species: Hu
Applications: PEP-ELISA, WB
NB300-106
Species: Hu, Mu, Rt
Applications: Flow, ICC/IF, IHC, IHC-Fr, IP, WB
NBP1-58906
Species: Hu, Mu
Applications: ICC/IF, IHC, IHC-Fr,  IHC-P, WB
⚠ WARNING: This product can expose you to chemicals including mercury, which is known to the State of California to cause reproductive toxicity with developmental effects.  For more information go to www.P65Warnings.ca.gov.

Publications for TCERG1 Antibody (NBP2-20584) (0)

There are no publications for TCERG1 Antibody (NBP2-20584).
By submitting your publication information earn gift cards and discounts for future purchases.

Reviews for TCERG1 Antibody (NBP2-20584) (0)

There are no reviews for TCERG1 Antibody (NBP2-20584). By submitting a review you will receive an Amazon e-Gift Card or Novus Product Discount.
  • Review with no image -- $10/€7/£6/$10 CAD/¥70 Yuan/¥1110 Yen
  • Review with an image -- $25/€18/£15/$25 CAD/¥150 Yuan/¥2500 Yen

Product General Protocols

Find general support by application which include: protocols, troubleshooting, illustrated assays, videos and webinars.

Video Protocols

WB Video Protocol
ICC/IF Video Protocol

FAQs for TCERG1 Antibody (NBP2-20584) (0)

There are no specific FAQs related to this product. Read our general customer & technical service FAQs.

Secondary Antibodies

 

Isotype Controls

Additional TCERG1 Products

Research Areas for TCERG1 Antibody (NBP2-20584)

Find related products by research area.

Blogs on TCERG1

There are no specific blogs for TCERG1, but you can read our latest blog posts.

Customers Who Bought This Also Bought

Contact Information

Product PDFs

Calculators

Concentration Calculator

The concentration calculator allows you to quickly calculate the volume, mass or concentration of your vial. Simply enter your mass, volume, or concentration values for your reagent and the calculator will determine the rest.

=
÷

Review this Product

Be the first to review our TCERG1 Antibody - BSA Free and receive a gift card or discount.

Bioinformatics

Gene Symbol TCERG1