STAT3 [p Tyr705] Antibody (SZ43-01)

Images

 
Western Blot: STAT3 [p Tyr705] Antibody (SZ43-01) [NBP2-67367] - Western blot analysis of STAT3 on different lysates. Proteins were transferred to a PVDF membrane and blocked with 5% BSA in PBS for 1 hour at room ...read more
Immunohistochemistry-Paraffin: STAT3 [p Tyr705] Antibody (SZ43-01) [NBP2-67367] - Immunohistochemical analysis of paraffin-embedded mouse skeletal muscle tissue using anti-STAT3 antibody. The section was pre-treated ...read more
Immunohistochemistry-Paraffin: STAT3 [p Tyr705] Antibody (SZ43-01) [NBP2-67367] - Analysis of paraffin-embedded human lung tissue using anti-Phospho-STAT3(Tyr705) antibody. Counter stained with hematoxylin.
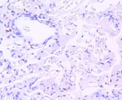
Immunohistochemistry-Paraffin: STAT3 [p Tyr705] Antibody (SZ43-01) [NBP2-67367] - Immunohistochemical analysis of paraffin-embedded human kidney tissue using anti-STAT3 antibody. The section was pre-treated using heat ...read more
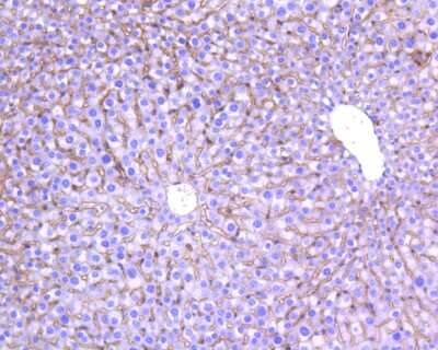
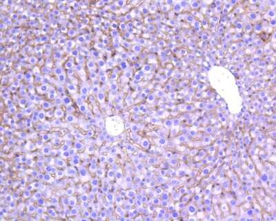
Immunohistochemistry-Paraffin: STAT3 [p Tyr705] Antibody (SZ43-01) [NBP2-67367] - Immunohistochemical analysis of paraffin-embedded mouse liver tissue using anti-STAT3 antibody. The section was pre-treated using heat ...read more

Product Details

Summary
Product Discontinued
View other related STAT3 Primary Antibodies

Order Details


    • Catalog Number
      NBP2-67367
    • Availability
      Product Discontinued

    Can't find what you are looking for? Use our Antibody Concierge Service & we will help you locate your antibody!

    Or feel free to contact us for alternative products.

STAT3 [p Tyr705] Antibody (SZ43-01) Summary

Additional Information
Recombinant Monoclonal Antibody.
Immunogen
Synthetic phospho-peptide corresponding to residues surrounding Tyr705 of human STAT3. (SwissProt: P40763 Human; SwissProt: P42227 Mouse; SwissProt: P52631 Rat)
Modification
p Tyr705
Localization
Cytoplasm, Nucleus.
Isotype
IgG
Clonality
Monoclonal
Host
Rabbit
Gene
STAT3
Purity
Protein A purified
Innovator's Reward
Test in a species/application not listed above to receive a full credit towards a future purchase.

Applications/Dilutions

Dilutions
  • Immunohistochemistry
  • Immunohistochemistry-Paraffin 1:50-1:200
  • Immunoprecipitation
  • Western Blot 1:500-1:2000

Packaging, Storage & Formulations

Storage
Store at 4C short term. Aliquot and store at -20C long term. Avoid freeze-thaw cycles.
Buffer
TBS (pH7.4), 0.05% BSA, 40% Glycerol
Preservative
0.05% Sodium Azide
Concentration
1 mg/ml
Purity
Protein A purified

Alternate Names for STAT3 [p Tyr705] Antibody (SZ43-01)

  • Acute-phase response factor
  • APRFMGC16063
  • DNA-binding protein APRF
  • FLJ20882
  • HIES
  • signal transducer and activator of transcription 3 (acute-phase responsefactor)
  • signal transducer and activator of transcription 3
  • STAT3

Background

Stat3 is a member of a group of proteins (Signal Transduction and Activators of Transcription) that act as both signal transducers for cytokines and growth factors, as well as transcription factors (1,2). Stats are activated by tyrosine phosphorylation in response to different ligands, after which they translocate to the cell nucleus (1). Stat3 is constitutively activated in a number of human tumors (3). Stat3 is activated by phosphorylation on tyrosine 705 which induces dimerization, nuclear translocation, and DNA binding While, Stat3-activated transcription seems to be regulated by serine phosphorylation at serine 727 (4)

Limitations

This product is for research use only and is not approved for use in humans or in clinical diagnosis. Primary Antibodies are guaranteed for 1 year from date of receipt.

Customers Who Viewed This Item Also Viewed...

M6000B
Species: Mu
Applications: ELISA
AF2894
Species: Hu, Mu
Applications: CyTOF-ready, ICFlow, Simple Western, WB
NBP2-59451
Species: Hu
Applications: ELISA, Flow, ICC/IF, MiAr, Simple Western, WB
NB400-141
Species: Ha, Hu, Mu
Applications: ICC/IF, IP, WB
AF1230
Species: Hu, Mu, Rt
Applications: IHC, KO, WB
DYC1825-2
Species: Hu, Mu, Rt
Applications: ELISA
AF2168
Species: Hu, Mu
Applications: ChIP, Simple Western, WB
AF1584
Species: Hu, Mu
Applications: CyTOF-ready, ICC, IP, ICFlow, KO, Simple Western, WB
DY417
Species: Mu
Applications: ELISA
AF887
Species: Hu, Mu, Rt
Applications: CyTOF-ready, IHC, ICFlow, Simple Western, WB
AF231
Species: Hu
Applications: CyTOF-ready, Dual ISH-IHC, ELISA(Cap), ELISA(Det), ELISA(Sta), Flow, ICC, IHC, IP, Simple Western, WB
7734-LF
Species: Hu
Applications: BA
DGP00
Species: Hu
Applications: ELISA
DVE00
Species: Hu
Applications: ELISA
MAB4260
Species: Hu, Mu, Rt
Applications: Simple Western, WB
MAB5696
Species: Hu, Mu
Applications: WB
AF467
Species: Hu, Mu
Applications: CyTOF-ready, Flow, ICC, IHC, Simple Western, WB
DLP00
Species: Hu
Applications: ELISA
AF800
Species: Hu, Mu
Applications: IP, Simple Western, WB

Publications for STAT3 Antibody (NBP2-67367) (0)

There are no publications for STAT3 Antibody (NBP2-67367).
By submitting your publication information earn gift cards and discounts for future purchases.

Reviews for STAT3 Antibody (NBP2-67367) (0)

There are no reviews for STAT3 Antibody (NBP2-67367). By submitting a review you will receive an Amazon e-Gift Card or Novus Product Discount.
  • Review with no image -- $10/€7/£6/$10 CAD/¥70 Yuan/¥1110 Yen
  • Review with an image -- $25/€18/£15/$25 CAD/¥150 Yuan/¥2500 Yen

Product General Protocols

Find general support by application which include: protocols, troubleshooting, illustrated assays, videos and webinars.

Video Protocols

WB Video Protocol

FAQs for STAT3 Antibody (NBP2-67367) (0)

There are no specific FAQs related to this product. Read our general customer & technical service FAQs.

Secondary Antibodies

 

Isotype Controls

Additional STAT3 Products

Research Areas for STAT3 Antibody (NBP2-67367)

Find related products by research area.

Blogs on STAT3.

Signal Transducer and Activator of Transcription STAT6: More than a Player in Allergic Inflammation
By Jamshed Arslan, Pharm. D., PhD. What is STAT6?The cellular pathway comprising tyrosine kinase Janus Kinase (JAK) and the transcription factor STAT connect extracellular signals from various cytokines, hormones an...  Read full blog post.

Using a STAT3 antibody in chromatin immunoprecipitation (ChIP)
Signal transducer and activator of transcription 3 (STAT3) is an important oncogenic transcriptional factor that mediates tumor induced immune suppression.  Specifically, STAT3 transmits signals from cytokines and growth factor receptors in the pla...  Read full blog post.

KLF4 as a transcription factor in stem cell differentiation
Kru¨ppel-like factors (KLFs) are evolutionarily conserved zinc finger transcription factors that play a role in cell differentiation, proliferation, and pluripotency. KLF4 has specifically been tied to many diverse cellular processes, including sel...  Read full blog post.

HLA G - mediating immune tolerance during pregnancy
Human leukocyte antigen G (HLA G) is a major histocompatibility complex (MHC) class I molecule that is primarily expressed in the placenta and is essential for the immune tolerance of the fetus during pregnancy. Unlike many HLA genes, HLA G has re...  Read full blog post.

HIF-1 beta - activating gene transcription in response to hypoxia
Hypoxia-inducible factor 1 (HIF-1) is a heterodimeric transcription factor consisting of alpha and beta subunits. The levels of functional HIF-1 in the cell depends on the level of oxygen allowing cells to respond to hypoxic conditions. HIF-1a is a...  Read full blog post.

TLR4 - A Guardian of Innate Immunity
Toll-like receptor 4 (TLR4) belongs to the family of Toll-like receptors (TLR), and plays a main role in pathogen recognition and innate immunity system activation. The TLR family members are highly conserved proteins that all contain a high degree of...  Read full blog post.

Thymoquinone: A Natural Product with Diverse Therapeutic Potential
Thymoquinone (2-isopropyl-5-methyl-1,4-benzoquinone, or TQ) is derived from the seeds of the black cumin plant Nigella sativa. It has been reported to have a number of beneficial properties including anti-oxidative, anti-inflammatory and anti-tumorige...  Read full blog post.

Survivin Acetylation: Affecting Apoptosis and Cancer
Survivin (BRIC5) is an inhibitor of apoptosis that also promotes cellular adaptation under stressful conditions and helps to regulate cell division. Recently, an antibody study by Dr. H Wang et al. at Brown University [PMID: 20826784] found that Survi...  Read full blog post.

Contact Information

Product PDFs

Calculators

Concentration Calculator

The concentration calculator allows you to quickly calculate the volume, mass or concentration of your vial. Simply enter your mass, volume, or concentration values for your reagent and the calculator will determine the rest.

=
÷

Review this Product

Be the first to review our STAT3 [p Tyr705] Antibody (SZ43-01) and receive a gift card or discount.

Bioinformatics

Gene Symbol STAT3