SREBP1 Antibody (SREBP1/1578) - Azide and BSA Free

Images

 
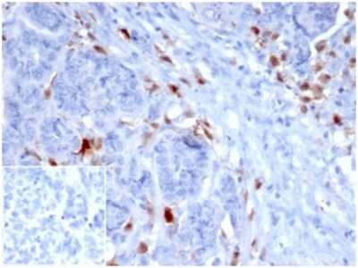
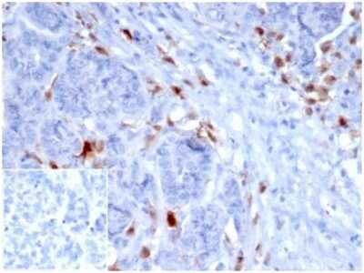
Immunohistochemistry-Paraffin: SREBP1 Antibody (SREBP1/1578) - Azide and BSA Free [NBP3-08432] - IHC analysis of formalin-fixed, paraffin-embedded human ovarian carcinoma. SREBP1 antibody (SREBP1/1578) at 2ug/ml. Inset: ...read more

Product Details

Summary
Reactivity HuSpecies Glossary
Applications ELISA
Clone
SREBP1/1578
Clonality
Monoclonal
Host
Mouse
Conjugate
Unconjugated
Format
Azide and BSA Free
Concentration
1 mg/ml

Order Details

SREBP1 Antibody (SREBP1/1578) - Azide and BSA Free Summary

Description
1.0 mg/ml of antibody purified from Bioreactor Concentrate by Protein A/G. Prepared in 10mM PBS WITHOUT BSA & azide. Also available at 200 ug/ml WITH BSA & azide (NBP3-07878).

Antibody with azide - store at 2 to 8C. Antibody without azide - store at -20 to -80 C.
Immunogen
Recombinant full-length human SREBP1 protein (Uniprot: P36956)
Localization
Nuclear and Cytoplasmic
Isotype
IgG1 Kappa
Clonality
Monoclonal
Host
Mouse
Gene
SREBF1
Purity
Protein A or G purified
Innovator's Reward
Test in a species/application not listed above to receive a full credit towards a future purchase.

Applications/Dilutions

Dilutions
  • ELISA
Application Notes
ELISA: For coating, order antibody without BSA

Packaging, Storage & Formulations

Storage
Store at -20 to -80C. Avoid freeze-thaw cycles.
Buffer
10 mM PBS
Preservative
No Preservative
Concentration
1 mg/ml
Purity
Protein A or G purified

Alternate Names for SREBP1 Antibody (SREBP1/1578) - Azide and BSA Free

  • bHLHd1
  • Class D basic helix-loop-helix protein 1
  • SREBF1
  • SREBP 1c
  • SREBP1
  • SREBP-1
  • SREBP1bHLHd1SREBP-1c
  • sterol regulatory element binding protein-1
  • sterol regulatory element binding transcription factor 1
  • sterol regulatory element-binding protein 1
  • Sterol regulatory element-binding transcription factor 1

Background

SREBP (Sterol Regulatory Element Binding Protein) 1 and 2 are transcription factors which participate in the control of cholesterol homeostasis. SREBP proteins, which are attached to the endoplasmic reticulum and nuclear envelope, are proteolytically cleaved and thus activated in response to conditions of low cellular sterol. SREBPs may also play some role in the apoptotic processes.

SREBP1 is a transcription factor that binds to the sterol regulatory element-1 (SRE1), which is a decamer flanking the low density lipoprotein receptor gene and some genes involved in sterol biosynthesis. The protein is synthesized as a precursor that is attached to the nuclear membrane and endoplasmic reticulum. Following cleavage, the mature protein translocates to the nucleus and activates transcription by binding to the SRE1. Sterols inhibit the cleavage of the precursor, and the mature nuclear form is rapidly catabolized, thereby reducing transcription. The protein is a member of the basic helix-loop-helix-leucine zipper (bHLH-Zip) transcription factor family. This gene is located within the Smith-Magenis syndrome region on chromosome 17.

Limitations

This product is for research use only and is not approved for use in humans or in clinical diagnosis. Primary Antibodies are guaranteed for 1 year from date of receipt.

Customers Who Viewed This Item Also Viewed...

NB400-114
Species: Ch, Fe, Ha, Hu, Mu, Pl, Po, Pm, Rt
Applications: ICC/IF, IHC,  IHC-P, IP, KD, WB
MAB1417
Species: Bv, Hu, Mu
Applications: ICC, IHC
NBP1-54446
Species: Ch, Hu
Applications: ELISA, GS, ICC/IF, IP, WB
NBP2-22106
Species: Hu, Mu, Rt
Applications: IHC,  IHC-P, IP, WB
NB120-13550
Species: Hu, Mu, Rt
Applications: ICC/IF, IHC,  IHC-P, WB
NB300-537
Species: Bv, Hu, Mu, Rb, Rt
Applications: ChIP, Flow, GS, ICC/IF, IHC,  IHC-P, IP, KD, Simple Western, WB
NBP2-92206
Species: Hu, Mu
Applications: ICC/IF, WB
AF2255
Species: Mu
Applications: Block, CyTOF-ready, Flow, IHC, WB
MAB6898
Species: Hu, Mu
Applications: WB
AF7550
Species: Hu
Applications: IP, KO, WB
DLP00
Species: Hu
Applications: ELISA
AF887
Species: Hu, Mu, Rt
Applications: CyTOF-ready, IHC, ICFlow, Simple Western, WB
NBP2-34294
Species: Hu, Mu, Rt
Applications: Flow, IHC,  IHC-P
AF7197
Species: Hu, Mu
Applications: ICC, IHC, WB
NBP2-66888
Species: Hu, Mu, Rt
Applications:  IHC-P, IP, Simple Western, WB
NB400-135
Species: Hu, Mu, Rt
Applications: ChIP, ChIP, GS, IB, ICC/IF, IHC,  IHC-P, IP, KD, KO, PAGE, WB
NBP3-08432
Species: Hu
Applications: ELISA

Publications for SREBP1 Antibody (NBP3-08432) (0)

There are no publications for SREBP1 Antibody (NBP3-08432).
By submitting your publication information earn gift cards and discounts for future purchases.

Reviews for SREBP1 Antibody (NBP3-08432) (0)

There are no reviews for SREBP1 Antibody (NBP3-08432). By submitting a review you will receive an Amazon e-Gift Card or Novus Product Discount.
  • Review with no image -- $10/€7/£6/$10 CAD/¥70 Yuan/¥1110 Yen
  • Review with an image -- $25/€18/£15/$25 CAD/¥150 Yuan/¥2500 Yen

Product General Protocols

Find general support by application which include: protocols, troubleshooting, illustrated assays, videos and webinars.

FAQs for SREBP1 Antibody (NBP3-08432) (0)

There are no specific FAQs related to this product. Read our general customer & technical service FAQs.

Secondary Antibodies

 

Isotype Controls

Additional SREBP1 Products

Research Areas for SREBP1 Antibody (NBP3-08432)

Find related products by research area.

Blogs on SREBP1.

Metabolic Syndrome: Symptoms and associated disease states
By Jamshed Arslan, Pharm. D., PhD. What is metabolic syndrome?It was 1988 when, after decades of research, Dr. GM Reaven    of the Stanford University, CA, explained the relationship between four diseases:...  Read full blog post.

SREBP2 - regulating cholesterol homeostasis and lipid metabolism
Sterol regulatory element-binding proteins (SREBP) are important transcription factors regulating the synthesis and uptake of lipids including cholesterol. This essential role in lipid metabolism makes investigations into the functions SREBPs im...  Read full blog post.

SREBP: Gatekeeper of Cholesterol Homeostasis
SREBP1 (sterol-regulatory-element-binding protein 2) is a basic-helix-loop-helix-leucine zipper (bHLH-ZIP) transcription factor. It regulates sterol and cholesterol homeostasis by controlling enzymes involved in cholesterol synthesis and uptake, e.g. ...  Read full blog post.

Customers Who Bought This Also Bought

Contact Information

Product PDFs

Calculators

Concentration Calculator

The concentration calculator allows you to quickly calculate the volume, mass or concentration of your vial. Simply enter your mass, volume, or concentration values for your reagent and the calculator will determine the rest.

=
÷

Review this Product

Be the first to review our SREBP1 Antibody (SREBP1/1578) - Azide and BSA Free and receive a gift card or discount.

Bioinformatics

Gene Symbol SREBF1