SOX9 Antibody [Biotin]

Images

 
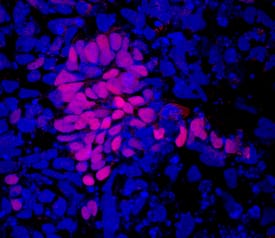
SOX9 was detected in immersion fixed BGO1V human embryonic stem cells differentiated to early proximal lung progenitors using Goat Anti-Human SOX9 Biotinylated Antigen Affinity-purified Polyclonal Antibody (Catalog # ...read more

Product Details

Summary
Reactivity HuSpecies Glossary
Applications WB, ICC/IF
Clonality
Polyclonal
Host
Goat
Conjugate
Biotin
Concentration
LYOPH

Order Details

SOX9 Antibody [Biotin] Summary

Immunogen
E. coli-derived recombinant human SOX9
Met1-Lys151
Accession # P48436
Specificity
In Western blots, approximately 5% cross-reactivity with recombinant human (rh) SOX10 is observed and less than 2% cross-reactivity with rhSOX2, rhSOX3, rhSOX7, rhSOX14, rhSOX17, and rhSOX21 is observed.
Source
N/A
Isotype
IgG
Clonality
Polyclonal
Host
Goat
Gene
SOX9
Purity Statement
Antigen Affinity-purified
Innovator's Reward
Test in a species/application not listed above to receive a full credit towards a future purchase.

Applications/Dilutions

Dilutions
  • Immunocytochemistry 5-15 ug/mL
  • Western Blot 0.1 ug/mL
Readout System
Publications
Read Publication using BAF3075.

Packaging, Storage & Formulations

Storage
Use a manual defrost freezer and avoid repeated freeze-thaw cycles.
  • 12 months from date of receipt, -20 to -70 °C as supplied.
  • 1 month, 2 to 8 °C under sterile conditions after reconstitution.
  • 6 months, -20 to -70 °C under sterile conditions after reconstitution.
Buffer
Lyophilized from a 0.2 μm filtered solution in PBS with BSA as a carrier protein.
Preservative
No Preservative
Concentration
LYOPH
Reconstitution Instructions
Reconstitute at 0.2 mg/mL in sterile PBS.

Notes

This product is produced by and ships from R&D Systems, Inc., a Bio-Techne brand.

Alternate Names for SOX9 Antibody [Biotin]

  • campomelic dysplasia, autosomal sex-reversal
  • CMD 1
  • CMD1
  • CMPD1
  • SOX9
  • SRA1SRY (sex-determining region Y)-box 9 protein
  • SRY (sex determining region Y)-box 9
  • SRY-related HMG-box, gene 9
  • transcription factor SOX-9

Background

SOX9 belongs to the SOX (SRY-like HMG box) family of transcription factors with diverse roles in development. SOX9 is expressed in mesenchymal progenitors that give rise to chondrocytes and osteoblasts. It is also expressed in the central nervous system, neural crest, intestine, pancreas, and testis. Mutations in SOX9 are associated with defects in sex determination, cartilage and bone development, as well as abnormalities of the heart, kidneys, brain, gut, and pancreas.

Limitations

This product is for research use only and is not approved for use in humans or in clinical diagnosis. Primary Antibodies are guaranteed for 1 year from date of receipt.

Customers Who Viewed This Item Also Viewed...

NB100-74350
Species: Bv, Ca, Hu, Mu, Po, Rt
Applications: Flow, ICC/IF, IHC, IHC-Fr,  IHC-P, WB
NBP3-41295
Species: Hu
Applications: IHC,  IHC-P, WB
NBP2-88921
Species: Hu
Applications: ICC/IF, IHC,  IHC-P, WB
NB600-844
Species: Ch, Hu, Mu, Rb, Rt
Applications: ICC/IF, IHC, IHC-Fr,  IHC-P, Simple Western, WB
355-BM
Species: Hu, Mu, Rt
Applications: BA
NBP2-20486
Species: Hu, Mu
Applications: ICC/IF, IHC,  IHC-P, IP, WB
PP-H7431-00
Species: Hu
Applications: WB
355-BM
Species: Hu, Mu, Rt
Applications: BA
AF5286
Species: Hu
Applications: WB
AF2864
Species: Hu
Applications: ICC, IHC, WB
AF1230
Species: Hu, Mu, Rt
Applications: IHC, KO, WB
MAB1419
Species: Hu, Rt
Applications: CyTOF-ready, ICC, IHC, ICFlow
291-G1
Species: Hu
Applications: BA
NBP2-22203
Species: Hu, Pm, Mu, Rt
Applications: ELISA, Flow, ICC/IF, IHC,  IHC-P, WB
314-BP
Species: Hu
Applications: BA, BA
NBP1-86149
Species: Hu
Applications: ChIP-EXO-SEQ, IHC,  IHC-P, WB
BAF3075
Species: Hu
Applications: WB, ICC/IF

Publications for SOX9 Antibody (BAF3075)(1)

Reviews for SOX9 Antibody (BAF3075) (0)

There are no reviews for SOX9 Antibody (BAF3075). By submitting a review you will receive an Amazon e-Gift Card or Novus Product Discount.
  • Review with no image -- $10/€7/£6/$10 CAD/¥70 Yuan/¥1110 Yen
  • Review with an image -- $25/€18/£15/$25 CAD/¥150 Yuan/¥2500 Yen

Product General Protocols

Find general support by application which include: protocols, troubleshooting, illustrated assays, videos and webinars.

Video Protocols

WB Video Protocol

FAQs for SOX9 Antibody (BAF3075) (0)

There are no specific FAQs related to this product. Read our general customer & technical service FAQs.

Secondary Antibodies

 

Isotype Controls

Additional SOX9 Products

Blogs on SOX9.

Role of GFAP in astrocytes: Lessons from induced pluripotent stem cells in Alexander disease patients
By Michalina Hanzel, PhDAlexander disease is a progressive and fatal neurological disease with phenotypes ranging from myelination abnormalities, gait ataxia and megalencephaly to predisposition to seizures. It is an ...  Read full blog post.

Deriving neural precursor cells from human induced pluripotent stem cells
By Jennifer Sokolowski, MD, PhD.Human induced pluripotent stem cells (iPSCs) can be used to create models of human organ systems and are useful for a) ascertaining the mechanisms underlying pathological conditions...  Read full blog post.

The use of a GFP antibody for research applications in transgenic C. elegans, GFP tagged yeast and porcine model
GFP, or green fluorescent protein, is a chemiluminescent protein derived from Aequorea jellyfish that was first discovered by Osamu Shimomura.  It was soon after established that the emission spectra of GFP was right around 509nm, or the ultraviol...  Read full blog post.

SOX9 - Be careful, I can reverse your gender!
SOX9 is a member of the SOX family of HMG DNA-binding domain transcription factors. The protein encoded by this gene recognizes the sequence CCTTGAG along with other members of the HMG-box class DNA-binding proteins. cAMP and protein kinase A (PKA) st...  Read full blog post.

Using the Hif-1 Alpha Antibody in Prostate Cancer Research
The Hypoxia-inducible Factor 1 (HIF1) protein is a heterodimeric transcription factor which plays an important role in mammalian oxygen homeostasis in conditions of hypoxia, or low oxygen concentration. HIF-1 alpha antibody reagents are widely used in...  Read full blog post.

Customers Who Bought This Also Bought

Contact Information

Product PDFs

Calculators

Concentration Calculator

The concentration calculator allows you to quickly calculate the volume, mass or concentration of your vial. Simply enter your mass, volume, or concentration values for your reagent and the calculator will determine the rest.

=
÷

Review this Product

Be the first to review our SOX9 Antibody [Biotin] and receive a gift card or discount.

Bioinformatics

Gene Symbol SOX9
Uniprot