Smad5 Antibody (SI17-06)

Images

 
Western Blot: Smad5 Antibody (SI17-06) [NBP2-67404] - Analysis of Smad5 on PC-3M cell lysates using anti-Smad5 antibody at 1/1,000 dilution.
Immunocytochemistry/ Immunofluorescence: Smad5 Antibody (SI17-06) [NBP2-67404] - Staining Smad5 in PC-3M cells (green). Cells were fixed in paraformaldehyde, permeabilised with 0.25% Triton X100/PBS.
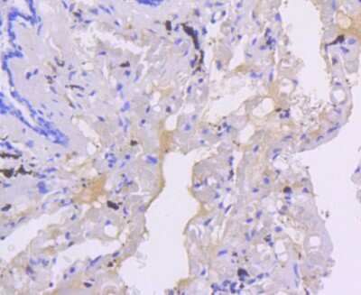
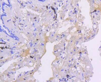
Immunohistochemistry-Paraffin: Smad5 Antibody (SI17-06) [NBP2-67404] - Immunohistochemical analysis of paraffin-embedded mouse lung tissue using anti-Smad5 antibody. The section was pre-treated using heat mediated ...read more
Flow Cytometry: Smad5 Antibody (SI17-06) [NBP2-67404] - Analysis of Hela cells with Smad5 antibody at 1/50 dilution (red) compared with an unlabelled control (cells without incubation with primary antibody; black). ...read more
Immunocytochemistry/ Immunofluorescence: Smad5 Antibody (SI17-06) [NBP2-67404] - Staining Smad5 in A549 cells (green). Cells were fixed in paraformaldehyde, permeabilised with 0.25% Triton X100/PBS.
Immunocytochemistry/ Immunofluorescence: Smad5 Antibody (SI17-06) [NBP2-67404] - Staining Smad5 in Hela cells (green). The nuclear counter stain is DAPI (blue). Cells were fixed in paraformaldehyde, permeabilised with ...read more
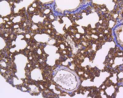
Immunohistochemistry-Paraffin: Smad5 Antibody (SI17-06) [NBP2-67404] - Analysis of paraffin-embedded human lung tissue using anti-Smad5 antibody. Counter stained with hematoxylin.
Immunohistochemistry-Paraffin: Smad5 Antibody (SI17-06) [NBP2-67404] - Analysis of paraffin-embedded mouse testis tissue using anti-Smad5 antibody. Counter stained with hematoxylin.

Product Details

Summary
Product Discontinued
View other related Smad5 Primary Antibodies

Order Details


    • Catalog Number
      NBP2-67404
    • Availability
      Product Discontinued

    Can't find what you are looking for? Use our Antibody Concierge Service & we will help you locate your antibody!

    Or feel free to contact us for alternative products.

Smad5 Antibody (SI17-06) Summary

Additional Information
Recombinant Monoclonal Antibody.
Immunogen
Synthetic peptide within Human Smad5 aa 231-282 / 465. (SwissProt: Q99717 Human; SwissProt: P97454 Mouse; SwissProt: Q9R1V3 Rat)
Localization
Cytoplasm, Nucleus.
Isotype
IgG
Clonality
Monoclonal
Host
Rabbit
Gene
SMAD5
Purity
Protein A purified
Innovator's Reward
Test in a species/application not listed above to receive a full credit towards a future purchase.

Applications/Dilutions

Dilutions
  • Flow Cytometry 1:50-1:100
  • Immunocytochemistry/ Immunofluorescence 1:50-1:200
  • Immunohistochemistry
  • Immunohistochemistry-Paraffin 1:50-1:200
  • Western Blot 1:1000-1:2000
Publications
Read Publication using
NBP2-67404 in the following applications:

  • WB
    1 publication

Packaging, Storage & Formulations

Storage
Store at 4C short term. Aliquot and store at -20C long term. Avoid freeze-thaw cycles.
Buffer
TBS (pH7.4), 0.05% BSA, 40% Glycerol
Preservative
0.05% Sodium Azide
Concentration
1 mg/ml
Purity
Protein A purified

Alternate Names for Smad5 Antibody (SI17-06)

  • Dwfc
  • hSmad5
  • JV5-1
  • JV5-1DKFZp781O1323
  • MAD homolog 5
  • MAD, mothers against decapentaplegic homolog 5 (Drosophila)
  • MADH5
  • MADH5mothers against decapentaplegic homolog 5
  • mothers against decapentaplegic homolog 5
  • mothers against decapentaplegic, drosophila, homolog of, 5
  • Mothers against DPP homolog 5
  • SMA- and MAD-related protein 5
  • SMAD 5
  • SMAD family member 5DKFZp781C1895
  • SMAD, mothers against DPP homolog 5 (Drosophila)
  • SMAD, mothers against DPP homolog 5
  • Smad5

Background

SMADs are members of the MAD-related family of molecules. MAD-related proteins are a family of intracellular proteins that are essential components in the signaling pathways of the serine/threonine kinase receptors of the transforming growth factor beta superfamily (1). SMADs can be divided into receptor-regulated SMADs (R-SMADs: SMAD1, SMAD2, SMAD5, SMAD8 and SMAD9), common-mediator SMAD (co-SMAD: SMAD4), and inhibitory SMADs (I-SMADs: SMAD6 and SMAD7). SMAD1, SMAD5, SMAD8 and SMAD9 have high degrees of homology and antibodies are available that recognize sequences common to all of them. SMAD8 and SMAD9 are typically used as alternate names for one another in the literature. Human SMAD1 is a 465 amino acid protein; GenBank Accession No. AAP36050.1. Human SMAD2 is a 467 amino acid protein; GenBank Accession No. AAC51918.1 Human SMAD3 is a 425 amino acid protein; GenBank Accession No. NP_005893.1 Human SMAD4 is a 552 amino acid protein GenBank Accession No. NP_005350.1. Human SMAD5 is a 465 amino acid protein; GenBank Accession No. AAC50791.1. Human SMAD6 is a 496 amino acid protein; GenBank Accession No. AAH12986.1 Human SMAD7 is a 426 amino acid protein; GenBank Accession No. AAB81354.1 Mouse SMAD8 is a 430 amino acid protein; GenBank Accession No. AAN85445.1 Human SMAD9 is a 430 amino acid protein; GenBank Accession No. NP_005896.1.

Limitations

This product is for research use only and is not approved for use in humans or in clinical diagnosis. Primary Antibodies are guaranteed for 1 year from date of receipt.

Customers Who Viewed This Item Also Viewed...

NBP1-85533
Species: Hu
Applications: ICC/IF, IHC,  IHC-P, WB
AF2039
Species: Hu
Applications: IHC, Simple Western, WB
355-BM
Species: Hu, Mu, Rt
Applications: BA
314-BP
Species: Hu
Applications: BA, BA
AF7215
Species: Hu, Mu
Applications: ICC, IHC
AF2097
Species: Hu
Applications: ChIP, ICC, WB
AF3797
Species: Hu, Mu
Applications: ChIP, ICC, IHC, Simple Western, WB
354-BP
Species: Hu
Applications: BA
NB100-56479
Species: Bv, Ca, Hu, Mu, Po, Pm, Rt
Applications: ICC/IF, IHC,  IHC-P, Simple Western, WB
NB100-56440
Species: Hu, Pm, Mu, Pm, Rt, Sh
Applications: ICC/IF, IHC,  IHC-P, Simple Western, WB
355-BM
Species: Hu, Mu, Rt
Applications: BA
AF3025
Species: Hu
Applications: ELISA, ICC, WB
MAB2029
Species: Hu, Mu, Rt
Applications: IHC, Simple Western, WB
AF4377
Species: Hu, Mu
Applications: ICC, Simple Western, WB
AF370
Species: Hu
Applications: IP, WB
7754-BH/CF
Species: Hu
Applications: BA
507-BP
Species: Hu
Applications: BA
DPI00
Species: Hu
Applications: ELISA
MAB1419
Species: Hu, Rt
Applications: CyTOF-ready, ICC, IHC, ICFlow

Publications for Smad5 Antibody (NBP2-67404)(1)

We have publications tested in 1 confirmed species: Mouse.

We have publications tested in 1 application: WB.


Filter By Application
WB
(1)
All Applications
Filter By Species
Mouse
(1)
All Species

Reviews for Smad5 Antibody (NBP2-67404) (0)

There are no reviews for Smad5 Antibody (NBP2-67404). By submitting a review you will receive an Amazon e-Gift Card or Novus Product Discount.
  • Review with no image -- $10/€7/£6/$10 CAD/¥70 Yuan/¥1110 Yen
  • Review with an image -- $25/€18/£15/$25 CAD/¥150 Yuan/¥2500 Yen

Product General Protocols

Find general support by application which include: protocols, troubleshooting, illustrated assays, videos and webinars.

Video Protocols

WB Video Protocol
ICC/IF Video Protocol

FAQs for Smad5 Antibody (NBP2-67404) (0)

There are no specific FAQs related to this product. Read our general customer & technical service FAQs.

Secondary Antibodies

 

Isotype Controls

Additional Smad5 Products

Research Areas for Smad5 Antibody (NBP2-67404)

Find related products by research area.

Blogs on Smad5

There are no specific blogs for Smad5, but you can read our latest blog posts.

Contact Information

Product PDFs

Calculators

Concentration Calculator

The concentration calculator allows you to quickly calculate the volume, mass or concentration of your vial. Simply enter your mass, volume, or concentration values for your reagent and the calculator will determine the rest.

=
÷

Review this Product

Be the first to review our Smad5 Antibody (SI17-06) and receive a gift card or discount.

Bioinformatics

Gene Symbol SMAD5