SIX1 Antibody (CL0185) - Azide and BSA Free

Images

 
Staining in RH30 cell line with Anti-SIX1 monoclonal antibody) .
Orthogonal Strategies: Analysis in human skeletal muscle and liver tissues using NBP3-43894 antibody. Corresponding SIX1 RNA-seq data are presented for the same tissues.
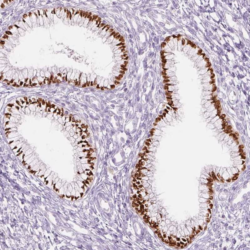
Staining of human endocervix shows strong nuclear positivity in glandular cells.
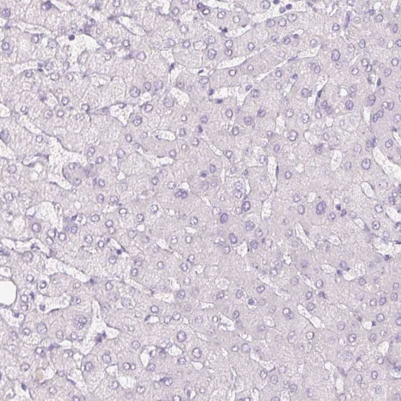
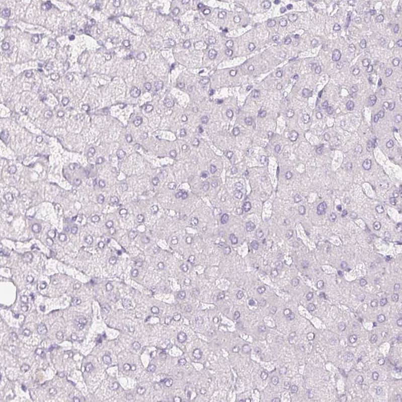
Staining of human liver shows no positivity in hepatocytes as expected.
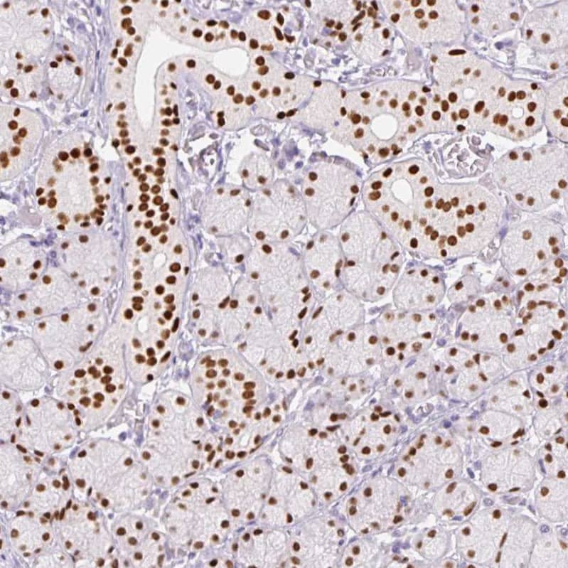
Staining of human skeletal muscle shows strong nuclear positivity in myocytes.
Staining of human salivary gland shows strong nuclear positivity in glandular cells.
Staining of human striated muscle shows strong nuclear immunoreactivity in the myocytes.
Genetic Strategies: Analysis in Rh30 cells transfected with control siRNA, target specific siRNA probe #1 and #2, using Anti-SIX1 antibody. Remaining relative intensity is presented. Loading control: Anti-PPIB.

Product Details

Summary
Reactivity HuSpecies Glossary
Applications WB, ICC/IF, IHC
Clone
CL0185
Clonality
Monoclonal
Host
Mouse
Conjugate
Unconjugated
Format
Azide and BSA Free
Concentration
LYOPH

Order Details

SIX1 Antibody (CL0185) - Azide and BSA Free Summary

Description
Novus Biologicals Mouse SIX1 Antibody (CL0185) - Azide and BSA Free (NBP2-52873) is a monoclonal antibody validated for use in IHC, WB and ICC/IF. All Novus Biologicals antibodies are covered by our 100% guarantee.
Immunogen
This antibody was generated using a recombinant protein sequence of Q15475, with the exact immunogen sequence remaining proprietary.
Isotype
IgG1
Clonality
Monoclonal
Host
Mouse
Gene
SIX1
Purity
Protein A purified
Innovator's Reward
Test in a species/application not listed above to receive a full credit towards a future purchase.

Applications/Dilutions

Dilutions
  • Immunocytochemistry/ Immunofluorescence 2-10 ug/ml
  • Immunohistochemistry-Paraffin 1:200 - 1:500
  • Western Blot 1 ug/ml
Application Notes
For IHC-Paraffin, HIER pH 6 retrieval is recommended. Immunocytochemistry/ Immunofluorescence/IF Fixation Permeabilization: Use PFA/Triton X-100.

Packaging, Storage & Formulations

Storage
Store at 4C short term. Aliquot and store at -20C long term. Avoid freeze-thaw cycles.
Buffer
Lyophilized from a 0.2 um filtered solution in PBS with Trehalose
Preservative
No Preservative
Concentration
LYOPH
Purity
Protein A purified
Reconstitution Instructions
Centrifuge the vial of lyophilized antibody at 12,000 x g for 20 seconds. Reconstitute by adding sterile, distilled water to achieve a final antibody concentration of 1mg/ml.

Alternate Names for SIX1 Antibody (CL0185) - Azide and BSA Free

  • BOS3
  • deafness, autosomal dominant 23
  • DFNA23
  • homeobox protein SIX1
  • sine oculis homeobox (Drosophila) homolog 1
  • sine oculis homeobox homolog 1 (Drosophila)
  • Sine oculis homeobox homolog 1
  • SIX homeobox 1
  • TIP39

Background

The protein encoded by the SIX1 gene is a homeobox protein that is similar to the Drosophila 'sine oculis' gene product. This gene is found in a cluster of related genes on chromosome 14 and is thought to be involved in limb development. Defects in this gene are a cause of autosomal dominant deafness type 23 (DFNA23) and branchiootic syndrome type 3 (BOS3). (provided by RefSeq)

Limitations

This product is for research use only and is not approved for use in humans or in clinical diagnosis. Primary Antibodies are guaranteed for 1 year from date of receipt.

Customers Who Viewed This Item Also Viewed...

NBP2-87382
Species: Hu
Applications: IHC,  IHC-P, WB
NBP1-69679
Species: Hu
Applications: WB
MAB7665
Species: Hu
Applications: IHC, WB
H00051804-M09
Species: Hu
Applications: ELISA, ICC/IF, KD, WB
MAB66861
Species: Hu
Applications: ICC, WB
NBP1-86713
Species: Hu
Applications: IHC,  IHC-P
H00010736-M01
Species: Hu, Mu, Rt
Applications: ELISA, Flow, ICC/IF, IHC,  IHC-P, KD, WB
MAB6734
Species: Hu
Applications: IHC
MAB2457
Species: Hu, Mu
Applications: CyTOF-ready, ICC, ICFlow, WB
NB100-56511
Species: Hu, Mu
Applications: Flow, ICC/IF, IHC, IHC-Fr,  IHC-P, IP, KD, KO, WB
NBP1-89951
Species: Hu
Applications: ICC/IF, IHC,  IHC-P, WB
AF3364
Species: Hu
Applications: ICC, IHC, WB
NBP1-82478
Species: Hu
Applications: ICC/IF, IHC,  IHC-P, WB
NBP2-27192
Species: Bv, Ca, Ch, Eq, Hu, Mu, Pm
Applications: IHC,  IHC-P, WB
NBP1-84026
Species: Hu
Applications: IHC,  IHC-P, WB
NBP1-85009
Species: Hu, Mu
Applications: IHC,  IHC-P
AF8150
Species: Hu
Applications: ICC, ICFlow, Simple Western, WB
314-BP
Species: Hu
Applications: BA, BA

Publications for SIX1 Antibody (NBP3-43894) (0)

There are no publications for SIX1 Antibody (NBP3-43894).
By submitting your publication information earn gift cards and discounts for future purchases.

Reviews for SIX1 Antibody (NBP3-43894) (0)

There are no reviews for SIX1 Antibody (NBP3-43894). By submitting a review you will receive an Amazon e-Gift Card or Novus Product Discount.
  • Review with no image -- $10/€7/£6/$10 CAD/¥70 Yuan/¥1110 Yen
  • Review with an image -- $25/€18/£15/$25 CAD/¥150 Yuan/¥2500 Yen

Product General Protocols

Find general support by application which include: protocols, troubleshooting, illustrated assays, videos and webinars.

Video Protocols

WB Video Protocol
ICC/IF Video Protocol

FAQs for SIX1 Antibody (NBP3-43894) (0)

There are no specific FAQs related to this product. Read our general customer & technical service FAQs.

Secondary Antibodies

 

Isotype Controls

Additional SIX1 Products

Research Areas for SIX1 Antibody (NBP3-43894)

Find related products by research area.

Blogs on SIX1

There are no specific blogs for SIX1, but you can read our latest blog posts.

Customers Who Bought This Also Bought

Contact Information

Product PDFs

Calculators

Concentration Calculator

The concentration calculator allows you to quickly calculate the volume, mass or concentration of your vial. Simply enter your mass, volume, or concentration values for your reagent and the calculator will determine the rest.

=
÷

Review this Product

Be the first to review our SIX1 Antibody (CL0185) - Azide and BSA Free and receive a gift card or discount.

Bioinformatics

Gene Symbol SIX1