Sirtuin 1/SIRT1 Antibody (SZ04-01)

Images

 
Western Blot: Sirtuin 1/SIRT1 Antibody (SZ04-01) [NBP2-67364] - Western blot analysis of Sirtuin 1/SIRT1 on different lysates. Proteins were transferred to a PVDF membrane and blocked with 5% BSA in PBS for 1 hour at ...read more
Immunocytochemistry/ Immunofluorescence: Sirtuin 1/SIRT1 Antibody (SZ04-01) [NBP2-67364] - Staining SIRT1 in NIH/3T3 cells (green). The nuclear counter stain is DAPI (blue). Cells were fixed in paraformaldehyde, ...read more
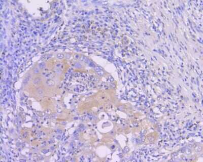
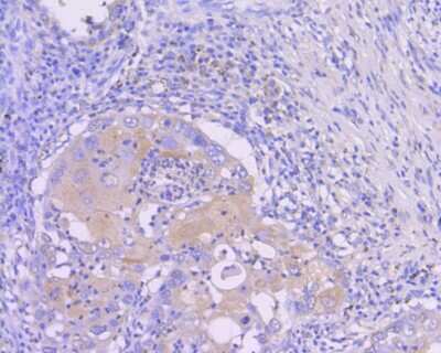
Immunohistochemistry-Paraffin: Sirtuin 1/SIRT1 Antibody (SZ04-01) [NBP2-67364] - Immunohistochemical analysis of paraffin-embedded human lung carcinoma tissue using anti-Sirtuin 1/SIRT1 antibody. The section was ...read more
Western Blot: Sirtuin 1/SIRT1 Antibody (SZ04-01) [NBP2-67364] - Analysis of SIRT1 on Jurkat cells lysates using anti-SIRT1 antibody at 1/1,000 dilution.
Immunocytochemistry/ Immunofluorescence: Sirtuin 1/SIRT1 Antibody (SZ04-01) [NBP2-67364] - Staining SIRT1 in Hela cells (green). The nuclear counter stain is DAPI (blue). Cells were fixed in paraformaldehyde, ...read more
Immunocytochemistry/ Immunofluorescence: Sirtuin 1/SIRT1 Antibody (SZ04-01) [NBP2-67364] - Staining SIRT1 in SH-SY-5Y cells (green). The nuclear counter stain is DAPI (blue). Cells were fixed in paraformaldehyde, ...read more

Product Details

Summary
Product Discontinued
View other related Sirtuin 1/SIRT1 Primary Antibodies

Order Details


    • Catalog Number
      NBP2-67364
    • Availability
      Product Discontinued

    Can't find what you are looking for? Use our Antibody Concierge Service & we will help you locate your antibody!

    Or feel free to contact us for alternative products.

Sirtuin 1/SIRT1 Antibody (SZ04-01) Summary

Additional Information
Recombinant Monoclonal Antibody.
Immunogen
Synthetic peptide within Human Sirtuin 1/SIRT1 aa 698-747 / 747. (SwissProt: Q96EB6 Human; SwissProt: Q923E4 Mouse)
Localization
Nucleus, Cytoplasm, Mitochondrion.
Isotype
IgG
Clonality
Monoclonal
Host
Rabbit
Gene
SIRT1
Purity
Protein A purified
Innovator's Reward
Test in a species/application not listed above to receive a full credit towards a future purchase.

Applications/Dilutions

Dilutions
  • Immunocytochemistry/ Immunofluorescence 1:50-1:200
  • Immunohistochemistry
  • Immunohistochemistry-Paraffin 1:50-1:1000
  • Immunoprecipitation
  • Western Blot 1:1000

Packaging, Storage & Formulations

Storage
Store at 4C short term. Aliquot and store at -20C long term. Avoid freeze-thaw cycles.
Buffer
TBS (pH7.4), 0.05% BSA, 40% Glycerol
Preservative
0.05% Sodium Azide
Concentration
1 mg/ml
Purity
Protein A purified

Alternate Names for Sirtuin 1/SIRT1 Antibody (SZ04-01)

  • EC 3.5.1
  • S. cerevisiae, homolog) 1
  • SIR2alpha
  • SIR2L1
  • SIR2-like protein 1
  • SIRT1
  • Sirtuin 1

Background

The S. cerevisiae silent information regulator 2 (Sir2) protein is an NAD+-dependent histone deacetylase (HDACs) that plays a critical role in transcriptional silencing, genome stability, and longevity (1-2). Part of the Sirtuin family (Sir2, Sir3, Sir3), yeast Sir2 is the founding member of Class III HDACs. A human homologue of Sir2 , SIRT1, regulates the activity of the p53 tumor suppressor and inhibits apoptosis (3-4).

Limitations

This product is for research use only and is not approved for use in humans or in clinical diagnosis. Primary Antibodies are guaranteed for 1 year from date of receipt.

Customers Who Viewed This Item Also Viewed...

NB100-1923
Species: Ce
Applications: IHC,  IHC-P, IP, WB
NB200-103
Species: Hu, Mu, Rt, Xp(-), Ye
Applications: CyTOF-ready, ELISA, Flow-IC, Flow, ICC/IF, IHC, IHC-Fr,  IHC-P, IP, WB
MAB1417
Species: Bv, Hu, Mu
Applications: ICC, IHC
NBP2-22127
Species: Hu, Mu, Pm, Rt
Applications: ELISA, Flow, ICC/IF, IHC,  IHC-P, Simple Western, WB
AF2850
Species: Hu, Mu, Rt
Applications: ICC, IHC, Simple Western, WB
AF2854
Species: Hu, Mu, Rt
Applications: IHC, WB
NB100-594
Species: Hu, Mu
Applications: IHC,  IHC-P, IP, WB
NBP2-31376
Species: Hu, Mu, Rt
Applications: Flow, ICC/IF, IHC,  IHC-P, Simple Western, WB
NBP2-16521
Species: Hu, Mu, Rt, Sq, Xp
Applications: ChIP, ICC/IF, IHC,  IHC-P, IP, KD, WB
NBP2-22106
Species: Hu, Mu, Rt
Applications: IHC,  IHC-P, IP, WB
NBP1-04676
Species: Gt, Ha, Hu, Mu, Po, Rt, Sh, Sq
Applications: ChIP, ChIP, Flow-IC, Flow, ICC/IF, IHC, IHC-Fr,  IHC-P, IP, KD, KO, Simple Western, WB
NBP2-52563
Species: Hu
Applications: CyTOF-ready, ELISA, Flow, ICC, ICC/IF, IHC-WhMt, IHC,  IHC-P, WB
NBP2-27335
Species: Hu, Mu, Rt(-)
Applications: CyTOF-ready, Flow, ICC/IF, WB
AF887
Species: Hu, Mu, Rt
Applications: CyTOF-ready, IHC, ICFlow, Simple Western, WB
NB100-616
Species: Hu, Mu, Md, Pm, Rt
Applications: ChIP, EM, Flow-IC, Flow, ICC/IF, IP, In vitro, KD, WB
NB100-2176
Species: Hu, Mu, Rt
Applications: ChIP, ICC/IF, IHC,  IHC-P, IP, WB
NBP2-29463
Species: Pm, Hu, Pm, Mu
Applications: Flow, ICC/IF, IHC,  IHC-P, WB
NBP2-03993
Species: Bv, Ca, Hu, Mu, Pm
Applications: WB

Publications for Sirtuin 1/SIRT1 Antibody (NBP2-67364) (0)

There are no publications for Sirtuin 1/SIRT1 Antibody (NBP2-67364).
By submitting your publication information earn gift cards and discounts for future purchases.

Reviews for Sirtuin 1/SIRT1 Antibody (NBP2-67364) (0)

There are no reviews for Sirtuin 1/SIRT1 Antibody (NBP2-67364). By submitting a review you will receive an Amazon e-Gift Card or Novus Product Discount.
  • Review with no image -- $10/€7/£6/$10 CAD/¥70 Yuan/¥1110 Yen
  • Review with an image -- $25/€18/£15/$25 CAD/¥150 Yuan/¥2500 Yen

Product General Protocols

Find general support by application which include: protocols, troubleshooting, illustrated assays, videos and webinars.

Video Protocols

WB Video Protocol
ICC/IF Video Protocol

FAQs for Sirtuin 1/SIRT1 Antibody (NBP2-67364) (0)

There are no specific FAQs related to this product. Read our general customer & technical service FAQs.

Contact Information

Product PDFs

Calculators

Concentration Calculator

The concentration calculator allows you to quickly calculate the volume, mass or concentration of your vial. Simply enter your mass, volume, or concentration values for your reagent and the calculator will determine the rest.

=
÷

Review this Product

Be the first to review our Sirtuin 1/SIRT1 Antibody (SZ04-01) and receive a gift card or discount.

Bioinformatics

Gene Symbol SIRT1