Shugoshin Antibody

Images

 
Western Blot: Shugoshin Antibody [NBP1-03361] - Detection of SGO1 in HeLa nuclear extract using NBP1-03361.
Immunocytochemistry/ Immunofluorescence: Shugoshin Antibody [NBP1-03361] - Shugoshin antibody was tested in HeLa cells with DyLight 488 (green). Nuclei and alpha-tubulin were counterstained with DAPI (blue) and Dylight ...read more
Immunohistochemistry-Paraffin: Shugoshin Antibody [NBP1-03361] - IHC analysis of formalin-fixed paraffin-embedded tissue section of infiltrating ductal carcinoma of human breast using rabbit polyclonal Shugoshin ...read more
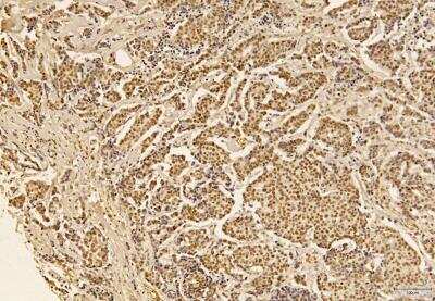
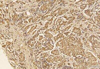
Immunohistochemistry-Paraffin: Shugoshin Antibody [NBP1-03361] - IHC analysis of formalin-fixed paraffin-embedded tissue section of human pulmonary squamous cell carcinoma using rabbit polyclonal Shugoshin antibody ...read more

Product Details

Summary
Product Discontinued
View other related Shugoshin Primary Antibodies

Order Details


    • Catalog Number
      NBP1-03361
    • Availability
      Product Discontinued

    Can't find what you are looking for? Use our Antibody Concierge Service & we will help you locate your antibody!

    Or feel free to contact us for alternative products.

Shugoshin Antibody Summary

Immunogen
Synthetic peptide made to an internal portion of human Shugoshin (within residues 350-450). [Swiss-Prot# Q5FBB7]
Localization
Nucleus. Centromere. Note= Localizes to the centromere. BUB1 is required for centromeric localization. During prometaphase, it localizes to a single focus, while at metaphase, it localizes to 2 spots corresponding to the 2 centromeres.
Isotype
IgG
Clonality
Polyclonal
Host
Rabbit
Gene
SGO1
Purity
Immunogen affinity purified
Innovator's Reward
Test in a species/application not listed above to receive a full credit towards a future purchase.

Applications/Dilutions

Dilutions
  • Immunocytochemistry/ Immunofluorescence 1:500
  • Immunohistochemistry 5 ug/ml
  • Immunohistochemistry-Paraffin 5 ug/ml
  • Western Blot 2 ug/ml
Application Notes
This Shugoshin antibody is useful for Western blot, where a band is seen at ~64 kDa. In ICC/IF nuclear staining was observed in HeLa cells. The observed molecular weight of the protein may vary from the listed predicted molecular weight due to post translational modifications, post translation cleavages, relative charges, and other experimental factors.
Theoretical MW
64 kDa.
Disclaimer note: The observed molecular weight of the protein may vary from the listed predicted molecular weight due to post translational modifications, post translation cleavages, relative charges, and other experimental factors.
Control
HeLa Nuclear Cell Lysate

Packaging, Storage & Formulations

Storage
Store at 4C. Do not freeze.
Buffer
Tris-Citrate/Phosphate (pH 7.0 - 8.0)
Preservative
0.1% Sodium Azide
Concentration
1 mg/ml
Purity
Immunogen affinity purified

Alternate Names for Shugoshin Antibody

  • FLJ14230
  • hSgo1
  • NY-BR-85
  • Serologically defined breast cancer antigen NY-BR-85
  • SGO
  • Sgo1
  • shugoshin 1AB protein
  • shugoshin 1CD protein
  • shugoshin 1EF protein
  • shugoshin 1GH protein
  • shugoshin 1KL protein
  • shugoshin-like 1 (S. pombe)
  • shugoshin-like 1

Background

Shugoshin (SGOL) proteins provide essential protection to cohesin (a protein complex that hold sister chromatids together) from cleavage by separase enzyme during meiosis-I as well as from phosphorylation-mediated removal during mitotic cell division. SGOL forms a complex with phosphatase PP2A that dephosphorylates cohesion resulting in its retention at centromeres during the onset of meiotic anaphase and vertebrate mitotic prophase I. Shugoshin (Japanese for guardian spirit), was originally identified in budding/fission yeasts as protector of centromeric cohesion in meiosis and later on it was found to be highly conserved among eukaryotic organisms with mammalian SGOL family consisting of two members: SGOL1 and SGOL2. SGOL1 regulates accurate chromosome segregation during mitosis, whereas, SGOL2 plays a dual role in chromosome congression as well as centromeric protection of cohesion. Defects in chromosome cohesion system and mis-regulation of SGOL functions may lead to pathologies including cancer and infertility. SGO1 has been shown to implicate in human colon cancers and lentivirus-mediated siRNA interference targeting SGO-1 inhibits human NSCLC cell growth.

Limitations

This product is for research use only and is not approved for use in humans or in clinical diagnosis. Primary Antibodies are guaranteed for 1 year from date of receipt.

Customers Who Viewed This Item Also Viewed...

H00009700-M01
Species: Hu, Mu
Applications: ELISA, ICC/IF, IHC,  IHC-P, WB
NBP2-20053
Species: Hu, Mu, Rt
Applications: ChIP, ICC/IF, IHC,  IHC-P, IP, WB
NBP1-48291
Species: Hu, Mu, Rt
Applications: Flow, IHC,  IHC-P, IP, WB
H00000699-D01P
Species: Hu, Mu
Applications: ICC/IF, PLA, WB
MAB5929
Species: Hu, Mu, Rt
Applications: WB
NB100-60454
Species: Hu
Applications: IP, WB (-)
NB100-294
Species: Hu, Mu, Rt
Applications: ICC/IF, IHC,  IHC-P, IP, MiAr, WB
NBP1-87144
Species: Hu
Applications: IHC,  IHC-P, WB
NB100-563
Species: Hu
Applications: ICC/IF, IHC,  IHC-P, IP, WB
NBP3-35922
Species: Hu, Mu
Applications: ELISA, WB
MAB1934
Species: Hu
Applications: CyTOF-ready, Flow, IP, WB
NBP2-52420
Species: Hu, Mu
Applications: CyTOF-ready, ELISA, ICC/IF, IHC,  IHC-P, WB
NBP2-37471
Species: Hu
Applications: CyTOF-ready, ELISA, Flow, ICC/IF, IHC,  IHC-P, WB
DY8198-05
Species: Hu
Applications: ELISA
NB100-2359
Species: Hu
Applications: IHC, IP, WB
NB100-353
Species: Hu, Mu
Applications: CyTOF-ready, Flow, ICC/IF, IP, WB
NBP1-32775
Species: Hu, Mar, Mu, Rt
Applications: ChIP, ICC/IF, IHC,  IHC-P, IP, WB
NB500-201
Species: Ca, Fe, Gp, Ha, Hu, Mu, Rt
Applications: ChIP, Dual ISH-IHC, ELISA, Flow, ICC/IF, IHC, IHC-Fr,  IHC-P, IP, KD, Simple Western, WB
NB500-171
Species: Hu, I, Mu, Rt, Xp, Ye
Applications: ChIP, IB, ICC/IF, IHC,  IHC-P, Single-Cell Western, WB
NBP1-03361
Species: Hu
Applications: WB, ICC/IF, IHC

Publications for Shugoshin Antibody (NBP1-03361) (0)

There are no publications for Shugoshin Antibody (NBP1-03361).
By submitting your publication information earn gift cards and discounts for future purchases.

Reviews for Shugoshin Antibody (NBP1-03361) (0)

There are no reviews for Shugoshin Antibody (NBP1-03361). By submitting a review you will receive an Amazon e-Gift Card or Novus Product Discount.
  • Review with no image -- $10/€7/£6/$10 CAD/¥70 Yuan/¥1110 Yen
  • Review with an image -- $25/€18/£15/$25 CAD/¥150 Yuan/¥2500 Yen

Product General Protocols

View specific protocols for Shugoshin Antibody (NBP1-03361): Find general support by application which include: protocols, troubleshooting, illustrated assays, videos and webinars.

Video Protocols

WB Video Protocol
ICC/IF Video Protocol

FAQs for Shugoshin Antibody (NBP1-03361) (0)

There are no specific FAQs related to this product. Read our general customer & technical service FAQs.

Control Lysate(s)

Secondary Antibodies

 

Isotype Controls

Additional Shugoshin Products

Research Areas for Shugoshin Antibody (NBP1-03361)

Find related products by research area.

Blogs on Shugoshin

There are no specific blogs for Shugoshin, but you can read our latest blog posts.

Contact Information

Product PDFs

Calculators

Concentration Calculator

The concentration calculator allows you to quickly calculate the volume, mass or concentration of your vial. Simply enter your mass, volume, or concentration values for your reagent and the calculator will determine the rest.

=
÷

Review this Product

Be the first to review our Shugoshin Antibody and receive a gift card or discount.

Bioinformatics

Gene Symbol SGO1
Entrez
Uniprot