Serpin A3/alpha 1-Antichymotrypsin Antibody (CL10697) - Azide and BSA Free

Images

 
Orthogonal Strategies: Analysis in human liver and skeletal muscle tissues using NBP3-44021 antibody. Corresponding Serpin A3/alpha 1-Antichymotrypsin RNA-seq data are presented for the same tissues.
Staining of human cerebral cortex shows cytoplasmic and nuclear positivity in a subset of glial cells.
Staining of human skeletal muscle shows no positivity in myocytes as expected.
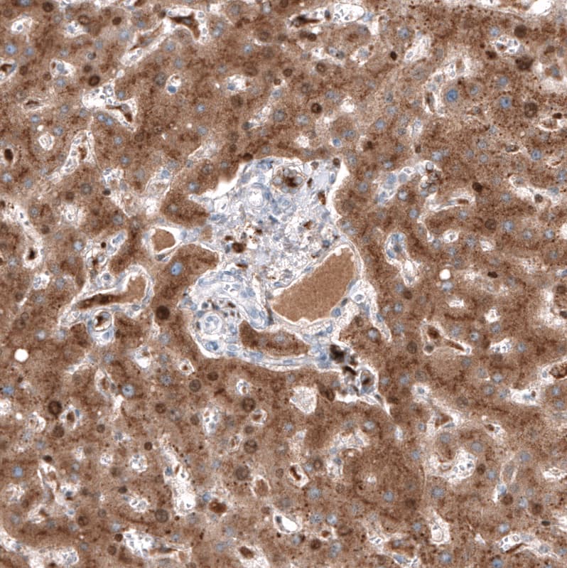
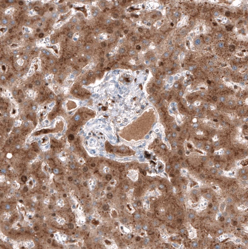
Staining of human liver shows strong cytoplasmic positivity in hepatocytes.
Staining of human uterine cervix shows moderate cytoplasmic positivity in squamous epithelial cells.

Product Details

Summary
Reactivity HuSpecies Glossary
Applications IHC
Clone
CL10697
Clonality
Monoclonal
Host
Mouse
Conjugate
Unconjugated
Format
Azide and BSA Free
Concentration
LYOPH
Validated by:
       

Orthogonal Strategies

 

Order Details

Serpin A3/alpha 1-Antichymotrypsin Antibody (CL10697) - Azide and BSA Free Summary

Description
Novus Biologicals Mouse Serpin A3/alpha 1-Antichymotrypsin Antibody (CL10697) - Azide and BSA Free (NBP3-07987) is a monoclonal antibody validated for use in IHC. All Novus Biologicals antibodies are covered by our 100% guarantee.
Immunogen
This antibody was generated using a recombinant protein sequence of P01011, with the exact immunogen sequence remaining proprietary.
Isotype
IgG1
Clonality
Monoclonal
Host
Mouse
Gene
SERPINA3
Purity
Protein A purified
Innovator's Reward
Test in a species/application not listed above to receive a full credit towards a future purchase.

Applications/Dilutions

Dilutions
  • Immunohistochemistry-Paraffin 1:2500 - 1:5000
Application Notes
For IHC-Paraffin, HIER pH 6 retrieval is recommended.

Packaging, Storage & Formulations

Storage
Store at 4C short term. Aliquot and store at -20C long term. Avoid freeze-thaw cycles.
Buffer
Lyophilized from a 0.2 um filtered solution in PBS with Trehalose
Preservative
No Preservative
Concentration
LYOPH
Purity
Protein A purified
Reconstitution Instructions
Centrifuge the vial of lyophilized antibody at 12,000 x g for 20 seconds. Reconstitute by adding sterile, distilled water to achieve a final antibody concentration of 1mg/ml.

Alternate Names for Serpin A3/alpha 1-Antichymotrypsin Antibody (CL10697) - Azide and BSA Free

  • AACTMGC88254
  • ACTGIG25
  • alpha 1-Antichymotrypsin
  • alpha-1-antichymotrypsin
  • antitrypsin), member 3
  • Cell growth-inhibiting gene 24/25 protein
  • growth-inhibiting protein 24
  • growth-inhibiting protein 25
  • member 3
  • serine (or cysteine) proteinase inhibitor, clade A (alpha-1 antiproteinase
  • serine (or cysteine) proteinase inhibitor, clade A, member 3
  • Serpin A3
  • serpin peptidase inhibitor, clade A (alpha-1 antiproteinase, antitrypsin)

Background

Alpha 1 Antichymotrypsin is a plasma protease inhibitor and member of the serine protease inhibitor class. Polymorphisms in this protein appear to be tissue specific and influence protease targeting. Variation in this protein's sequence have been implicated in Alzheimer's disease, and deficiency of this protein has been associated with liver disease. Mutations have been identified in patients with Parkinson disease and chronic obstructive pulmonary disease.

Limitations

This product is for research use only and is not approved for use in humans or in clinical diagnosis. Primary Antibodies are guaranteed for 1 year from date of receipt.

Customers Who Viewed This Item Also Viewed...

DKK300
Species: Hu
Applications: ELISA
MAB1268
Species: Hu
Applications: ICC, IHC, IP, Simple Western, WB
NBP2-15698
Species: Hu, Mu, Rt
Applications: IHC,  IHC-P, WB
NB110-60531
Species: Hu, Mu, Rt(-)
Applications: CyTOF-ready, ELISA, Flow-IC, Flow, ICC/IF, IHC,  IHC-P, IP, WB
NBP1-58268
Species: Hu, Mu
Applications: IHC,  IHC-P, WB
DY1707
Species: Hu
Applications: ELISA
NB300-223
Species: Bv, Ca, Ch, Eq, Hu, Mu, Po, Rt
Applications: ICC/IF, IHC, IHC-Fr,  IHC-P, WB
M6000B
Species: Mu
Applications: ELISA
NBP2-61118
Species: Hu, Mu
Applications: Flow, ICC/IF, IHC,  IHC-P, Simple Western, WB
NBP3-48658
Species: Ca, Fe, Hu, Mu, Rt, Ze
Applications: ICC/IF, IHC,  IHC-P, WB
NBP1-32920
Species: Hu, Mu
Applications: ICC/IF, IHC,  IHC-P, KD, WB
AF4036
Species: Hu
Applications: Simple Western, WB
H00005324-M02
Species: Hu, Mu
Applications: ELISA, IHC,  IHC-P, WB
AF1267
Species: Hu
Applications: IP, Neut, WB
NBP2-13075
Species: Ba, Hu, Pm, Mu, Rt
Applications: DB, ELISA, IB, ICC/IF, IHC-FrFl, IHC, IHC-Fr,  IHC-P, IP, WB
MAB1266
Species: Hu
Applications: CyTOF-ready, IP, ICFlow, WB
AF5739
Species: Hu, Mu, Rt
Applications: WB
NB100-74510
Species: Hu, Mu, Pm, Rt
Applications: ELISA, ICC/IF, IHC,  IHC-P, IP, WB
MAB1455
Species: Hu
Applications: CyTOF-ready, Dual ISH-IHC, ICC, IHC, ICFlow, Simple Western, WB

Publications for Serpin A3/alpha 1-Antichymotrypsin Antibody (NBP3-44021) (0)

There are no publications for Serpin A3/alpha 1-Antichymotrypsin Antibody (NBP3-44021).
By submitting your publication information earn gift cards and discounts for future purchases.

Reviews for Serpin A3/alpha 1-Antichymotrypsin Antibody (NBP3-44021) (0)

There are no reviews for Serpin A3/alpha 1-Antichymotrypsin Antibody (NBP3-44021). By submitting a review you will receive an Amazon e-Gift Card or Novus Product Discount.
  • Review with no image -- $10/€7/£6/$10 CAD/¥70 Yuan/¥1110 Yen
  • Review with an image -- $25/€18/£15/$25 CAD/¥150 Yuan/¥2500 Yen

Product General Protocols

Find general support by application which include: protocols, troubleshooting, illustrated assays, videos and webinars.

FAQs for Serpin A3/alpha 1-Antichymotrypsin Antibody (NBP3-44021) (0)

There are no specific FAQs related to this product. Read our general customer & technical service FAQs.

Secondary Antibodies

 

Isotype Controls

Additional Serpin A3/alpha 1-Antichymotrypsin Products

Research Areas for Serpin A3/alpha 1-Antichymotrypsin Antibody (NBP3-44021)

Find related products by research area.

Blogs on Serpin A3/alpha 1-Antichymotrypsin

There are no specific blogs for Serpin A3/alpha 1-Antichymotrypsin, but you can read our latest blog posts.

Customers Who Bought This Also Bought

Contact Information

Product PDFs

Calculators

Concentration Calculator

The concentration calculator allows you to quickly calculate the volume, mass or concentration of your vial. Simply enter your mass, volume, or concentration values for your reagent and the calculator will determine the rest.

=
÷

Review this Product

Be the first to review our Serpin A3/alpha 1-Antichymotrypsin Antibody (CL10697) - Azide and BSA Free and receive a gift card or discount.

Bioinformatics

Gene Symbol SERPINA3