Serine Dehydratase Antibody (OTI3D3) - Azide and BSA Free

Images

 
Western Blot: Serine Dehydratase Antibody (OTI3D3) - Azide and BSA Free [NBP2-74074] - HEK293T cells were transfected with the pCMV6-ENTRY control (Left lane) or pCMV6-ENTRY Serine Dehydratase (Right lane) cDNA for 48 ...read more
Immunocytochemistry/ Immunofluorescence: Serine Dehydratase Antibody (OTI3D3) - Azide and BSA Free [NBP2-74074] - Staining of COS7 cells transiently transfected by pCMV6-ENTRY Serine Dehydratase.
Immunohistochemistry: Serine Dehydratase Antibody (OTI3D3) - Azide and BSA Free [NBP2-74074] - Staining of paraffin-embedded Adenocarcinoma of Human colon tissue using anti-Serine Dehydratase mouse monoclonal antibody.
Flow Cytometry: Serine Dehydratase Antibody (OTI3D3) - Azide and BSA Free [NBP2-74074] - HEK293T cells transfected with either overexpression plasmid (Red) or empty vector control plasmid (Blue) were immunostaining by ...read more
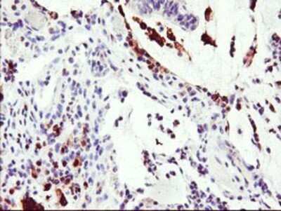
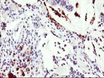
Immunohistochemistry: Serine Dehydratase Antibody (OTI3D3) - Azide and BSA Free [NBP2-74074] - Staining of paraffin-embedded Human breast tissue using anti-Serine Dehydratase mouse monoclonal antibody.
Flow Cytometry: Serine Dehydratase Antibody (OTI3D3) - Azide and BSA Free [NBP2-74074] - Analysis of Jurkat cells, using anti-Serine Dehydratase antibody, (Red), compared to a nonspecific negative control antibody ...read more

Product Details

Summary
Reactivity HuSpecies Glossary
Applications WB, Flow, ICC/IF, IHC, CyTOF-ready
Clone
OTI3D3
Clonality
Monoclonal
Host
Mouse
Conjugate
Unconjugated
Format
Azide and BSA Free
Concentration
LYOPH

Order Details

Serine Dehydratase Antibody (OTI3D3) - Azide and BSA Free Summary

Description
Novus Biologicals Mouse Serine Dehydratase Antibody (OTI3D3) - Azide and BSA Free (NBP2-01506) is a monoclonal antibody validated for use in IHC, WB, Flow and ICC/IF. All Novus Biologicals antibodies are covered by our 100% guarantee.
Immunogen
Full length human recombinant protein of human SDS(NP_006834) produced in HEK293T cell.
Isotype
IgG1
Clonality
Monoclonal
Host
Mouse
Gene
SDS
Purity
Immunogen affinity purified
Innovator's Reward
Test in a species/application not listed above to receive a full credit towards a future purchase.

Applications/Dilutions

Dilutions
  • CyTOF-ready
  • Flow Cytometry 1:100
  • Immunocytochemistry/ Immunofluorescence 1:100
  • Immunohistochemistry 1:150
  • Immunohistochemistry-Paraffin
  • Western Blot 1:2000
Theoretical MW
34.4 kDa.
Disclaimer note: The observed molecular weight of the protein may vary from the listed predicted molecular weight due to post translational modifications, post translation cleavages, relative charges, and other experimental factors.

Packaging, Storage & Formulations

Storage
Store at -20C. Avoid freeze-thaw cycles.
Buffer
Lyophilized from PBS (pH 7.3) with 8% Trehalose
Preservative
No Preservative
Concentration
LYOPH
Purity
Immunogen affinity purified
Reconstitution Instructions
we recommend adding 100uL distilled water to a final antibody concentration of about 1 mg/mL. To use this carrier-free antibody for conjugation experiment, we strongly recommend performing another round of desalting process.

Alternate Names for Serine Dehydratase Antibody (OTI3D3) - Azide and BSA Free

  • EC 4.3.1.17
  • EC 4.3.1.19
  • L-serine ammonia-lyase
  • L-serine deaminase
  • L-serine dehydratase/L-threonine deaminase
  • L-threonine dehydratase
  • SDHL-serine dehydratase
  • serine dehydratase
  • TDH

Background

Serine Dehydratase encodes one of three enzymes that are involved in metabolizing serine and glycine. L-serine dehydratase converts L-serine to pyruvate and ammonia and requires pyridoxal phosphate as a cofactor. The encoded protein can also metabolize threonine to NH4+ and 2-ketobutyrate. The encoded protein is found predominantly in the liver. [provided by RefSeq]

Limitations

This product is for research use only and is not approved for use in humans or in clinical diagnosis. Primary Antibodies are guaranteed for 1 year from date of receipt.

Customers Who Viewed This Item Also Viewed...

NBP1-87416
Species: Hu
Applications: ICC/IF, IHC,  IHC-P, WB
NBP1-87069
Species: Hu, Mu, Rt
Applications: ICC/IF, IHC,  IHC-P, KD, Simple Western, WB
NBP2-34014
Species: Hu
Applications: IHC,  IHC-P
NBP1-92372
Species: Hu
Applications: IHC,  IHC-P
NBP1-32259
Species: Hu, Mu, Rt
Applications: ICC/IF, IHC,  IHC-P, KO, WB
NBP3-37905
Species: Hu, Mu, Rt
Applications: ELISA, ICC/IF, IHC,  IHC-P, WB
NBP1-32398
Species: Hu, Mu, Rt
Applications: ICC/IF, IHC,  IHC-P, IP, KD, WB
NBP1-89559
Species: Hu
Applications: IHC,  IHC-P, WB
NBP3-05078
Species: Hu, Mu, Rt
Applications: ICC/IF, IHC,  IHC-P, WB
NBP1-91942
Species: Hu, Mu, Rt
Applications: IHC,  IHC-P, WB
AF3398
Species: Hu, Mu, Rt
Applications: ICC, KO, Simple Western, WB
NBP3-44193
Species: Hu
Applications:  IHC-P
NB100-1519
Species: Hu, Mu, Rt
Applications: Flow, ICC/IF, IHC-FrFl, PEP-ELISA, WB
NBP1-89146
Species: Hu
Applications: ICC/IF, IHC,  IHC-P
NBP2-20383
Species: Hu, Mu
Applications: ICC/IF, IHC,  IHC-P, WB
NBP3-13522
Species: Hu, Mu, Rt
Applications: ICC/IF, IHC,  IHC-P, WB
NBP2-58917
Species: Hu
Applications: IHC,  IHC-P, WB
NBP2-43648
Species: Hu, Mu, Rt, Ze
Applications: ICC/IF, IHC,  IHC-P, WB
NB100-236
Species: Hu, Mu
Applications: IB, IHC, IHC-Fr, WB
NBP2-74074
Species: Hu
Applications: WB, Flow, ICC/IF, IHC, CyTOF-ready

Publications for Serine Dehydratase Antibody (NBP2-74074) (0)

There are no publications for Serine Dehydratase Antibody (NBP2-74074).
By submitting your publication information earn gift cards and discounts for future purchases.

Reviews for Serine Dehydratase Antibody (NBP2-74074) (0)

There are no reviews for Serine Dehydratase Antibody (NBP2-74074). By submitting a review you will receive an Amazon e-Gift Card or Novus Product Discount.
  • Review with no image -- $10/€7/£6/$10 CAD/¥70 Yuan/¥1110 Yen
  • Review with an image -- $25/€18/£15/$25 CAD/¥150 Yuan/¥2500 Yen

Product General Protocols

Find general support by application which include: protocols, troubleshooting, illustrated assays, videos and webinars.

Video Protocols

WB Video Protocol
ICC/IF Video Protocol

FAQs for Serine Dehydratase Antibody (NBP2-74074) (0)

There are no specific FAQs related to this product. Read our general customer & technical service FAQs.

Customers Who Bought This Also Bought

Contact Information

Product PDFs

Calculators

Concentration Calculator

The concentration calculator allows you to quickly calculate the volume, mass or concentration of your vial. Simply enter your mass, volume, or concentration values for your reagent and the calculator will determine the rest.

=
÷

Review this Product

Be the first to review our Serine Dehydratase Antibody (OTI3D3) - Azide and BSA Free and receive a gift card or discount.

Bioinformatics

Gene Symbol SDS