S100P Antibody (rS100P/9254) - Azide and BSA Free

Images

 
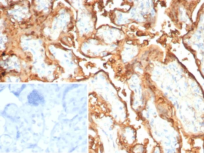
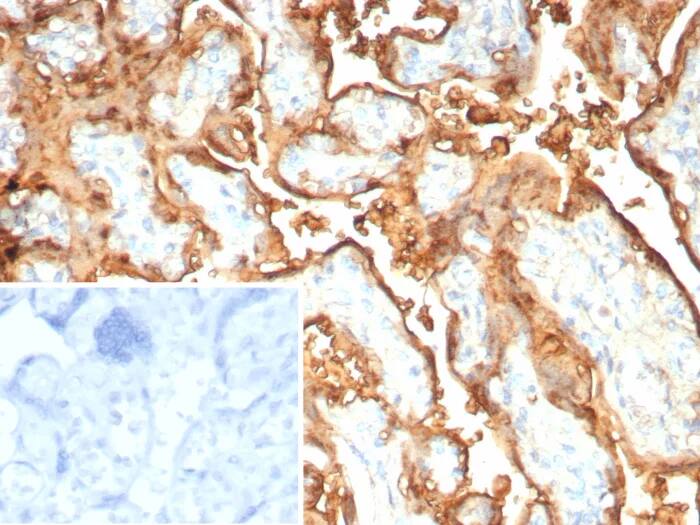
Immunohistochemistry-Paraffin: S100P Antibody (rS100P/9254) - Azide and BSA Free [NBP3-24096] - Formalin-fixed, paraffin-embedded human placenta stained with S100P Antibody (rS100P/9254). Inset: PBS instead of primary ...read more

Product Details

Summary
Reactivity HuSpecies Glossary
Applications IHC
Clone
rS100P/9254
Clonality
Monoclonal
Host
Mouse
Conjugate
Unconjugated
Format
Azide and BSA Free
Concentration
1 mg/ml

Order Details

S100P Antibody (rS100P/9254) - Azide and BSA Free Summary

Description
Antibody without azide - store at -20 to -80C.
Additional Information
Recombinant Monoclonal Antibody
Immunogen
Recombinant fragment corresponding to the C-terminus of human S100P protein (exact sequence is proprietary)
Localization
Nucleus. Cytoplasm. Colocalizes with S100PBP in the nucleus.
Isotype
IgG2b Kappa
Clonality
Monoclonal
Host
Mouse
Gene
S100P
Purity
Protein A purified
Innovator's Reward
Test in a species/application not listed above to receive a full credit towards a future purchase.

Applications/Dilutions

Dilutions
  • Immunohistochemistry-Paraffin 1-2ug/ml
Application Notes
Immunohistochemistry-Paraffin: 1-2ug/ml for 30 minutes at RT. Staining of formalin-fixed tissues requires heating tissue sections in 10mM Tris with 1mM EDTA, pH 9.0, for 45 min at 95C followed by cooling at RT for 20 minutes. Optimal dilution for a specific application should be determined.

Packaging, Storage & Formulations

Storage
Store at -20 to -80C. Avoid freeze-thaw cycles.
Buffer
10mM PBS
Preservative
No Preservative
Concentration
1 mg/ml
Purity
Protein A purified

Alternate Names for S100P Antibody (rS100P/9254) - Azide and BSA Free

  • MIG9
  • migration-inducing gene 9
  • Protein S100-E
  • S100 calcium binding protein P
  • S100 calcium-binding protein Pprotein S100-P
  • S100E
  • S100P

Background

The protein encoded by the S100P gene is a member of the S100 family of proteins containing 2 EF-hand calcium-binding motifs. S100 proteins are localized in the cytoplasm and/or nucleus of a wide range of cells, and involved in the regulation of a number of cellular processes such as cell cycle progression and differentiation. S100 genes include at least 13 members which are located as a cluster on chromosome 1q21; however, this gene is located at 4p16. This protein, in addition to binding Ca2+, also binds Zn2+ and Mg2+. This protein may play a role in the etiology of prostate cancer. (provided by RefSeq)

Limitations

This product is for research use only and is not approved for use in humans or in clinical diagnosis. Primary Antibodies are guaranteed for 1 year from date of receipt.

Customers Who Viewed This Item Also Viewed...

NBP1-87102
Species: Hu, Mu, Rt
Applications: ICC/IF, IHC,  IHC-P, WB
NBP1-87103
Species: Hu, Mu
Applications: IHC,  IHC-P, WB
NBP1-89388
Species: Hu, Mu, Rt
Applications: ICC/IF, IHC,  IHC-P, Simple Western, WB
H00006275-M01
Species: Hu, Mu
Applications: ELISA, ICC/IF, IHC, WB
AF1052
Species: Hu
Applications: CyTOF-ready, Flow, IHC, Simple Western, WB
NBP2-94448
Species: Hu, Mu, Rt
Applications: ELISA, IHC,  IHC-P, WB
AF2065
Species: Mu
Applications: ICC, IHC, Simple Western, WB
AF3059
Species: Mu
Applications: ICC, Simple Western, WB
DRG00
Species: Hu
Applications: ELISA
NB120-22711
Species: Hu, Mu
Applications: ELISA, Flow, ICC/IF, IHC, IHC-Fr,  IHC-P
NBP2-79899
Species: Hu
Applications: CyTOF-ready, Flow, ICC/IF, IHC,  IHC-P, PA, WB
NBP1-87104
Species: Hu, Mu, Rt
Applications: ICC/IF, IHC,  IHC-P, WB
NBP2-45411
Species: Hu, Mu, Rt
Applications: IHC,  IHC-P, WB
NB100-56603
Species: Ca, Hu, Mu, Pm, Rt
Applications: IHC,  IHC-P, WB
NBP2-48581
Species: Hu
Applications: ICC/IF, IHC,  IHC-P, WB
NB300-141
Species: Bv, Ch, Eq, Gp, Hu, Mu, Po, Rb, Rt
Applications: ICC/IF, IHC, IHC-Fr,  IHC-P, Simple Western, WB
AF7355
Species: Hu
Applications: ICC, Simple Western, WB
NBP2-16396
Species: Hu, Mu, Rt, Ze
Applications: ICC/IF, IHC-WhMt, IHC,  IHC-P, WB
NB200-103
Species: Hu, Mu, Rt, Xp(-), Ye
Applications: CyTOF-ready, ELISA, Flow-IC, Flow, ICC/IF, IHC, IHC-Fr,  IHC-P, IP, WB
AF808
Species: Mu
Applications: ELISA(Cap), ELISA(Det), ELISA(Sta), ICC, IHC, Neut, WB

Publications for S100P Antibody (NBP3-24096) (0)

There are no publications for S100P Antibody (NBP3-24096).
By submitting your publication information earn gift cards and discounts for future purchases.

Reviews for S100P Antibody (NBP3-24096) (0)

There are no reviews for S100P Antibody (NBP3-24096). By submitting a review you will receive an Amazon e-Gift Card or Novus Product Discount.
  • Review with no image -- $10/€7/£6/$10 CAD/¥70 Yuan/¥1110 Yen
  • Review with an image -- $25/€18/£15/$25 CAD/¥150 Yuan/¥2500 Yen

Product General Protocols

Find general support by application which include: protocols, troubleshooting, illustrated assays, videos and webinars.

FAQs for S100P Antibody (NBP3-24096) (0)

There are no specific FAQs related to this product. Read our general customer & technical service FAQs.

Secondary Antibodies

 

Isotype Controls

Additional S100P Products

Research Areas for S100P Antibody (NBP3-24096)

Find related products by research area.

Blogs on S100P

There are no specific blogs for S100P, but you can read our latest blog posts.

Customers Who Bought This Also Bought

Contact Information

Product PDFs

Calculators

Concentration Calculator

The concentration calculator allows you to quickly calculate the volume, mass or concentration of your vial. Simply enter your mass, volume, or concentration values for your reagent and the calculator will determine the rest.

=
÷

Review this Product

Be the first to review our S100P Antibody (rS100P/9254) - Azide and BSA Free and receive a gift card or discount.

Bioinformatics

Gene Symbol S100P