S100A5 Antibody (S100A5/7474) - Azide and BSA Free

Images

 
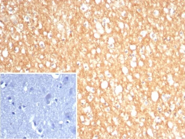
Formalin-fixed, paraffin-embedded human brain stained with S100A5 antibody (S100A5/7474) - Azide and BSA Free. Inset: PBS instead of primary antibody; secondary only negative control.
Formalin-fixed, paraffin-embedded human brain stained with S100A5 antibody (S100A5/7474) - Azide and BSA Free. Inset: PBS instead of primary antibody; secondary only negative control.

Product Details

Summary
Reactivity HuSpecies Glossary
Applications IHC
Clone
S100A5/7474
Clonality
Monoclonal
Host
Mouse
Conjugate
Unconjugated
Format
Azide and BSA Free
Concentration
1 mg/ml

Order Details

S100A5 Antibody (S100A5/7474) - Azide and BSA Free Summary

Description
Antibody without azide - store at -20 to -80C.
Immunogen
Recombinant fragment (around aa1-92) of human S100A5 protein (exact sequence is proprietary)
Localization
Nucleus. Cytoplasm.
Isotype
IgG2a Kappa
Clonality
Monoclonal
Host
Mouse
Gene
S100A5
Purity
Protein A or G purified
Innovator's Reward
Test in a species/application not listed above to receive a full credit towards a future purchase.

Applications/Dilutions

Dilutions
  • Immunohistochemistry-Paraffin 1-2ug/ml
Application Notes
Immunohistochemistry-Paraffin: 1-2ug/ml for 30 minutes at RT. Staining of formalin-fixed tissues requires heating tissue sections in 10mM Tris with 1mM EDTA, pH 9.0, for 45 min at 95C followed by cooling at RT for 20 minutes. Optimal dilution for a specific application should be determined.

Packaging, Storage & Formulations

Storage
Store at -20 to -80C. Avoid freeze-thaw cycles.
Buffer
10mM PBS
Preservative
No Preservative
Concentration
1 mg/ml
Purity
Protein A or G purified

Alternate Names for S100A5 Antibody (S100A5/7474) - Azide and BSA Free

  • Protein S-100D
  • S100 calcium binding protein A5
  • S100 calcium-binding protein A5S100Dprotein S100-A5

Background

S100A5 is encoded by this gene is a member of the S100 family of proteins containing 2 EF-hand calcium-binding motifs. S100 proteins are localized in the cytoplasm and/or nucleus of a wide range of cells, and involved in the regulation of a number of cellular processes such as cell cycle progression and differentiation. S100 genes include at least 13 members which are located as a cluster on chromosome 1q21. This protein has a Ca2+ affinity 20- to 100-fold higher than the other S100 proteins studied under identical conditions. This protein also binds Zn2+ and Cu2+, and Cu2+ strongly which impairs the binding of Ca2+. This protein is expressed in very restricted regions of the adult brain.

Limitations

This product is for research use only and is not approved for use in humans or in clinical diagnosis. Primary Antibodies are guaranteed for 1 year from date of receipt.

Customers Who Viewed This Item Also Viewed...

NBP1-87102
Species: Hu, Mu, Rt
Applications: ICC/IF, IHC,  IHC-P, WB
NBP1-87103
Species: Hu, Mu
Applications: IHC,  IHC-P, WB
NBP1-89388
Species: Hu, Mu, Rt
Applications: ICC/IF, IHC,  IHC-P, Simple Western, WB
NBP1-87101
Species: Hu
Applications: ICC/IF, IHC,  IHC-P, WB
H00006275-M01
Species: Hu, Mu
Applications: ELISA, ICC/IF, IHC, WB
NBP2-79899
Species: Hu
Applications: CyTOF-ready, Flow, ICC/IF, IHC,  IHC-P, PA, WB
AF2065
Species: Mu
Applications: ICC, IHC, Simple Western, WB
NBP1-86039
Species: Hu, Rt
Applications: ICC/IF, IHC,  IHC-P, WB
AF3059
Species: Mu
Applications: ICC, Simple Western, WB
AF1052
Species: Hu
Applications: CyTOF-ready, Flow, IHC, Simple Western, WB
AF2957
Species: Hu
Applications: IHC, KO, WB
AF2377
Species: Mu
Applications: IHC, Simple Western, WB
AF4874
Species: Hu
Applications: IHC, WB
NB100-56559
Species: Hu, Mu
Applications: EM, Flow-IC, ICC/IF, IHC, IHC-Fr,  IHC-P, IP, Simple Western, WB
NBP1-90000
Species: Hu
Applications: ICC/IF, IHC,  IHC-P
NBP2-94448
Species: Hu, Mu, Rt
Applications: ELISA, IHC,  IHC-P, WB
AF262
Species: Hu
Applications: ICC, IHC, Neut, WB
NB200-103
Species: Hu, Mu, Rt, Xp(-), Ye
Applications: CyTOF-ready, ELISA, Flow-IC, Flow, ICC/IF, IHC, IHC-Fr,  IHC-P, IP, WB
AF1197
Species: Hu, Mu, Rt
Applications: IHC, Simple Western, WB
DRG00
Species: Hu
Applications: ELISA

Publications for S100A5 Antibody (NBP3-24011) (0)

There are no publications for S100A5 Antibody (NBP3-24011).
By submitting your publication information earn gift cards and discounts for future purchases.

Reviews for S100A5 Antibody (NBP3-24011) (0)

There are no reviews for S100A5 Antibody (NBP3-24011). By submitting a review you will receive an Amazon e-Gift Card or Novus Product Discount.
  • Review with no image -- $10/€7/£6/$10 CAD/¥70 Yuan/¥1110 Yen
  • Review with an image -- $25/€18/£15/$25 CAD/¥150 Yuan/¥2500 Yen

Product General Protocols

Find general support by application which include: protocols, troubleshooting, illustrated assays, videos and webinars.

FAQs for S100A5 Antibody (NBP3-24011) (0)

There are no specific FAQs related to this product. Read our general customer & technical service FAQs.

Secondary Antibodies

 

Isotype Controls

Additional S100A5 Products

Research Areas for S100A5 Antibody (NBP3-24011)

Find related products by research area.

Blogs on S100A5

There are no specific blogs for S100A5, but you can read our latest blog posts.

Customers Who Bought This Also Bought

Contact Information

Product PDFs

Calculators

Concentration Calculator

The concentration calculator allows you to quickly calculate the volume, mass or concentration of your vial. Simply enter your mass, volume, or concentration values for your reagent and the calculator will determine the rest.

=
÷

Review this Product

Be the first to review our S100A5 Antibody (S100A5/7474) - Azide and BSA Free and receive a gift card or discount.

Bioinformatics

Gene Symbol S100A5