S100A1 Antibody (JM51-31)

Images

 
Western Blot: S100A1 Antibody (JM51-31) [NBP2-67119] - Analysis of S100 on mouse heart tissue lysates using anti-S100 antibody at 1/500 dilution.
Immunohistochemistry-Paraffin: S100A1 Antibody (JM51-31) [NBP2-67119] - Analysis of paraffin-embedded mouse spinal cord tissue using anti-S100 antibody. Counter stained with hematoxylin.
Flow Cytometry: S100A1 Antibody (JM51-31) [NBP2-67119] - Flow cytometric analysis of SH-SY5Y cells with S100A1 antibody at 1/50 dilution (red) compared with an unlabeled control (cells without incubation with primary ...read more
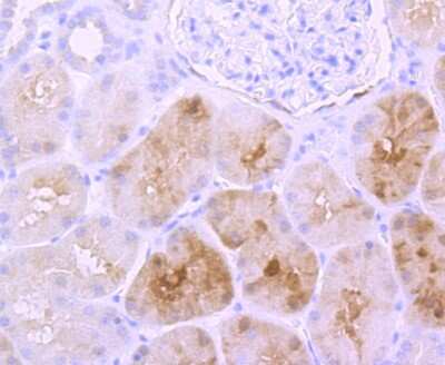
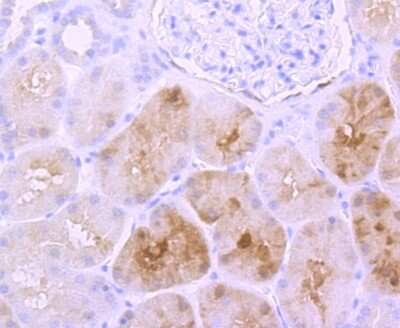
Immunohistochemistry-Paraffin: S100A1 Antibody (JM51-31) [NBP2-67119] - Analysis of paraffin-embedded human kidney tissue using anti- S100 antibody. Counter stained with hematoxylin.
Immunohistochemistry-Paraffin: S100A1 Antibody (JM51-31) [NBP2-67119] - Analysis of paraffin-embedded human tonsil tissue using anti- S100 antibody. Counter stained with hematoxylin.
Immunohistochemistry-Paraffin: S100A1 Antibody (JM51-31) [NBP2-67119] - Analysis of paraffin-embedded mouse brain tissue using anti- S100 antibody. Counter stained with hematoxylin.

Product Details

Summary
Product Discontinued
View other related S100A1 Primary Antibodies

Order Details


    • Catalog Number
      NBP2-67119
    • Availability
      Product Discontinued

    Can't find what you are looking for? Use our Antibody Concierge Service & we will help you locate your antibody!

    Or feel free to contact us for alternative products.

S100A1 Antibody (JM51-31) Summary

Additional Information
Recombinant Monoclonal Antibody.
Immunogen
Recombinant full length protein of mouse S100A1 aa 1-94 / 94. (SwissProt: P23297 Human; SwissProt: P56565 Mouse)
Localization
Cytoplasm. Nucleus.
Isotype
IgG
Clonality
Monoclonal
Host
Rabbit
Gene
S100A1
Purity
Protein A purified
Innovator's Reward
Test in a species/application not listed above to receive a full credit towards a future purchase.

Applications/Dilutions

Dilutions
  • Flow Cytometry 1:50-1:100
  • Immunohistochemistry-Paraffin 1:50-1:200
  • Immunoprecipitation 1:10-1:50
  • Western Blot 1:500-1:2000

Packaging, Storage & Formulations

Storage
Store at 4C short term. Aliquot and store at -20C long term. Avoid freeze-thaw cycles.
Buffer
TBS (pH7.4), 0.05% BSA, 40% Glycerol
Preservative
0.05% Sodium Azide
Concentration
1 mg/ml
Purity
Protein A purified

Alternate Names for S100A1 Antibody (JM51-31)

  • protein S100-A1
  • S100 alpha
  • S100 calcium binding protein A1
  • S100 calcium-binding protein A1S100
  • S-100 protein alpha chain
  • S-100 protein subunit alpha
  • S100 protein, alpha polypeptide
  • S100A
  • S100A1
  • S100-alpha

Background

S100 belongs to the family of calcium binding proteins such as calmodulin and troponin C. S100 proteins are localized in the cytoplasm and/or nucleus of a wide range of cells, and involved in the regulation of a number of cellular processes such as cell cycle progression and differentiation. S100 genes include at least 13 members which are located as a cluster on chromosome 1q21. S100A is composed of an alpha and beta chain whereas S100B is composed of two beta chains. S100 protein may function in stimulation of Ca2+ induced Ca2+ release, inhibition of microtubule assembly, and inhibition of protein kinase C mediated phosphorylation. Reduced expression of this protein has been implicated in cardiomyopathies. Immunoreactive S100 protein localizes in the cytoplasm and nuclei of astrocytes, Schwann's cells, ependymomas and astrogliomas. Ganglion cells do not stain for S100 protein. S100 can be detected in almost all benign naevi and malignant melanocytic tumours of the skin, and in Langerhans cells in the skin.

Limitations

This product is for research use only and is not approved for use in humans or in clinical diagnosis. Primary Antibodies are guaranteed for 1 year from date of receipt.

Customers Who Viewed This Item Also Viewed...

NB300-223
Species: Bv, Ca, Ch, Eq, Hu, Mu, Po, Rt
Applications: ICC/IF, IHC, IHC-Fr,  IHC-P, WB
NB300-141
Species: Bv, Ch, Eq, Gp, Hu, Mu, Po, Rb, Rt
Applications: ICC/IF, IHC, IHC-Fr,  IHC-P, Simple Western, WB
AF3844
Species: Hu, Mu
Applications: IHC
AF3059
Species: Mu
Applications: ICC, Simple Western, WB
AF4117
Species: Rt
Applications: IHC, WB
AF2065
Species: Mu
Applications: ICC, IHC, Simple Western, WB
NB110-58870
Species: Hu, Mu, Rt
Applications: ICC/IF, IHC, KD, Simple Western, WB
NBP1-87102
Species: Hu, Mu, Rt
Applications: ICC/IF, IHC,  IHC-P, WB
NB120-22711
Species: Hu, Mu
Applications: ELISA, Flow, ICC/IF, IHC, IHC-Fr,  IHC-P
NB100-683
Species: Hu, Mu, Rt
Applications: Dual ISH-IHC, EM, Flow, ICC/IF, IHC, IHC-Fr,  IHC-P, IP, WB
AF1356
Species: Hu, Mu
Applications: CyTOF-ready, Dual ISH-IHC, Flow, IHC, Simple Western, WB
NBP1-84854
Species: Hu, Mu, Rt
Applications: ICC/IF, IHC,  IHC-P, KD, WB
NBP1-89388
Species: Hu, Mu, Rt
Applications: ICC/IF, IHC,  IHC-P, Simple Western, WB
H00006275-M01
Species: Hu, Mu
Applications: ELISA, ICC/IF, IHC, WB
NB200-103
Species: Hu, Mu, Rt, Xp(-), Ye
Applications: CyTOF-ready, ELISA, Flow-IC, Flow, ICC/IF, IHC, IHC-Fr,  IHC-P, IP, WB
NB300-653
Species: Ch, Fe, Hu, Pm, Mu, Rt
Applications: ELISA, ICC/IF, IHC, IHC-Fr,  IHC-P, IP, WB
NBP1-30151
Species: Ca, Hu, Mu
Applications: ICC/IF, IHC,  IHC-P
NBP2-14871
Species: Mu, Rt
Applications: ICC/IF, WB
NB120-2860
Species: Ba, Bv, Ch, Hu, Mu, Rt
Applications: ELISA, Flow, ICC/IF, IHC,  IHC-P, WB
NBP2-15669
Species: Mu, Rt, Ze
Applications: IHC-WhMt, IHC, WB

Publications for S100A1 Antibody (NBP2-67119) (0)

There are no publications for S100A1 Antibody (NBP2-67119).
By submitting your publication information earn gift cards and discounts for future purchases.

Reviews for S100A1 Antibody (NBP2-67119) (0)

There are no reviews for S100A1 Antibody (NBP2-67119). By submitting a review you will receive an Amazon e-Gift Card or Novus Product Discount.
  • Review with no image -- $10/€7/£6/$10 CAD/¥70 Yuan/¥1110 Yen
  • Review with an image -- $25/€18/£15/$25 CAD/¥150 Yuan/¥2500 Yen

Product General Protocols

Find general support by application which include: protocols, troubleshooting, illustrated assays, videos and webinars.

Video Protocols

WB Video Protocol

FAQs for S100A1 Antibody (NBP2-67119) (0)

There are no specific FAQs related to this product. Read our general customer & technical service FAQs.

Contact Information

Product PDFs

Calculators

Concentration Calculator

The concentration calculator allows you to quickly calculate the volume, mass or concentration of your vial. Simply enter your mass, volume, or concentration values for your reagent and the calculator will determine the rest.

=
÷

Review this Product

Be the first to review our S100A1 Antibody (JM51-31) and receive a gift card or discount.

Bioinformatics

Gene Symbol S100A1