RPSA Antibody (JF0955)

Images

 
Western Blot: RPSA Antibody (JF0955) [NBP2-67117] - Analysis of RPSA on different lysates using anti-RPSA antibody at 1/1,000 dilution. Positive control: Lane 1: K562 Lane 2: HepG2 Lane 3: A431
Immunocytochemistry/ Immunofluorescence: RPSA Antibody (JF0955) [NBP2-67117] - Staining RPSA in RH-35 cells (green). The nuclear counter stain is DAPI (blue). Cells were fixed in paraformaldehyde, permeabilised with ...read more
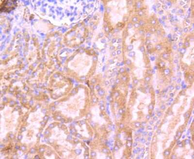
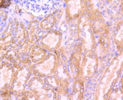
Immunohistochemistry-Paraffin: RPSA Antibody (JF0955) [NBP2-67117] - Analysis of paraffin-embedded mouse kidney tissue using anti-RPSA antibody. Counter stained with hematoxylin.
Flow Cytometry: RPSA Antibody (JF0955) [NBP2-67117] - Analysis of MCF-7 cells with RPSA antibody at 1/50 dilution (red) compared with an unlabelled control (cells without incubation with primary antibody; black). Alexa ...read more
Immunocytochemistry/ Immunofluorescence: RPSA Antibody (JF0955) [NBP2-67117] - Staining RPSA in Hela cells (green). The nuclear counter stain is DAPI (blue). Cells were fixed in paraformaldehyde, permeabilised with ...read more
Immunocytochemistry/ Immunofluorescence: RPSA Antibody (JF0955) [NBP2-67117] - Staining RPSA in HepG2 cells (green). The nuclear counter stain is DAPI (blue). Cells were fixed in paraformaldehyde, permeabilised with ...read more
Immunocytochemistry/ Immunofluorescence: RPSA Antibody (JF0955) [NBP2-67117] - Staining RPSA in MCF-7 cells (green). The nuclear counter stain is DAPI (blue). Cells were fixed in paraformaldehyde, permeabilised with ...read more
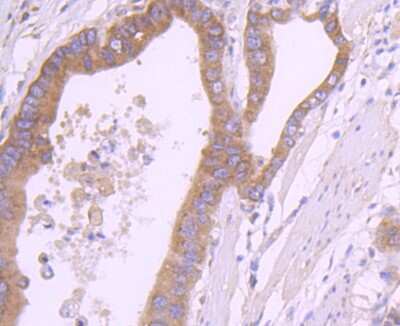
Immunohistochemistry-Paraffin: RPSA Antibody (JF0955) [NBP2-67117] - Analysis of paraffin-embedded human gastric carcinoma tissue using anti-RPSA antibody. Counter stained with hematoxylin.
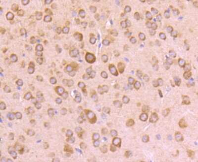
Immunohistochemistry-Paraffin: RPSA Antibody (JF0955) [NBP2-67117] - Analysis of paraffin-embedded mouse brain tissue using anti-RPSA antibody. Counter stained with hematoxylin.

Product Details

Summary
Product Discontinued
View other related RPSA Primary Antibodies

Order Details


    • Catalog Number
      NBP2-67117
    • Availability
      Product Discontinued

    Can't find what you are looking for? Use our Antibody Concierge Service & we will help you locate your antibody!

    Or feel free to contact us for alternative products.

RPSA Antibody (JF0955) Summary

Additional Information
Recombinant Monoclonal Antibody.
Immunogen
Synthetic peptide within Human 67kDa Laminin Receptor aa 250-295 / 295. (SwissProt: P08865 Human; SwissProt: P14206 Mouse; SwissProt: P38983 Rat)
Localization
Cell membrane, Nucleus, Cytoplasm.
Isotype
IgG
Clonality
Monoclonal
Host
Rabbit
Gene
RPSA
Purity
Protein A purified
Innovator's Reward
Test in a species/application not listed above to receive a full credit towards a future purchase.

Applications/Dilutions

Dilutions
  • Flow Cytometry 1:50-1:100
  • Immunocytochemistry/ Immunofluorescence 1:100-1:500
  • Immunohistochemistry
  • Immunohistochemistry-Paraffin 1:50-1:200
  • Immunoprecipitation
  • Western Blot 1:1000-1:2000

Packaging, Storage & Formulations

Storage
Store at 4C short term. Aliquot and store at -20C long term. Avoid freeze-thaw cycles.
Buffer
TBS (pH7.4), 0.05% BSA, 40% Glycerol
Preservative
0.05% Sodium Azide
Concentration
1 mg/ml
Purity
Protein A purified

Alternate Names for RPSA Antibody (JF0955)

  • 37 kDa laminin receptor precursor
  • 37/67 kDa laminin receptor
  • 37LRPNEM/1CHD4
  • 67 kDa laminin receptor
  • 67kD, ribosomal protein SA
  • 67LR
  • Colon carcinoma laminin-binding protein
  • LAMBR37 kDa laminin receptor
  • laminin binding protein
  • laminin receptor 1 (67kD, ribosomal protein SA)
  • Laminin receptor 1
  • Laminin-binding protein precursor p40
  • LAMR 1
  • lamR
  • LAMR140S ribosomal protein SA
  • LBP
  • LBP/p40
  • LRP
  • LRP/LR
  • Multidrug resistance-associated protein MGr1-Ag
  • p40
  • ribosomal protein SA

Background

Laminins, a family of extracellular matrix glycoproteins, are the major noncollagenous constituent of basement membranes. They have been implicated in a wide variety of biological processes including cell adhesion, differentiation, migration, signaling, neurite outgrowth and metastasis. Many of the effects of laminin are mediated through interactions with cell surface receptors. These receptors include members of the integrin family, as well as non-integrin laminin-binding proteins. This gene encodes a high-affinity, non-integrin family, laminin receptor 1. This receptor has been variously called 67 kD laminin receptor, 37 kD laminin receptor precursor (37LRP) and p40 ribosome-associated protein. The amino acid sequence of laminin receptor 1 is highly conserved through evolution, suggesting a key biological function. It has been observed that the level of the laminin receptor transcript is higher in colon carcinoma tissue and lung cancer cell line than their normal counterparts. Also, there is a correlation between the upregulation of this polypeptide in cancer cells and their invasive and metastatic phenotype. Multiple copies of this gene exist, however, most of them are pseudogenes thought to have arisen from retropositional events. Two alternatively spliced transcript variants encoding the same protein have been found for this gene. (provided by RefSeq)

Limitations

This product is for research use only and is not approved for use in humans or in clinical diagnosis. Primary Antibodies are guaranteed for 1 year from date of receipt.

Customers Who Viewed This Item Also Viewed...

1290-IL
Species: Hu
Applications: BA
NBP1-82820
Species: Hu
Applications: ICC/IF, IHC,  IHC-P, Simple Western, WB
NB400-156
Species: Hu, Mu, Rt
Applications: CyTOF-ready, Dual ISH-IHC, ELISA, Flow, ICC/IF, IHC, IP, Simple Western, WB
M6000B
Species: Mu
Applications: ELISA
DC140
Species: Hu
Applications: ELISA
NBP2-93743
Species: Hu, Mu, Rt
Applications: ICC/IF, WB
DY417
Species: Mu
Applications: ELISA
485-MI
Species: Mu
Applications: BA
419-ML
Species: Mu
Applications: BA
NBP3-13279
Species: Hu, Mu, Rt
Applications: ICC/IF, IHC,  IHC-P, WB
NBP2-67667
Species: Hu, Mu, Rt
Applications: ICC/IF, IHC, IHC-Fr,  IHC-P, WB
AF3770
Species: Hu, Mu, Rt
Applications: IHC, Simple Western, WB
2428-FC
Species: Hu
Applications: Bind
NBP1-91931
Species: Hu
Applications: ICC/IF, IHC,  IHC-P, WB
NBP1-89530
Species: Hu
Applications: ICC/IF, IHC,  IHC-P, WB
NBP1-92564
Species: Hu
Applications: ICC/IF, IHC,  IHC-P
AF2255
Species: Mu
Applications: Block, CyTOF-ready, Flow, IHC, WB
NB100-56566
Species: Bv, Hu, Ma, Mu, Po, Rt
Applications: B/N, ChIP, CyTOF-ready, DB, Dual ISH-IHC, ELISA(Cap), ELISA, Flow-CS, Flow-IC, Flow, ICC/IF, IHC, IHC-Fr,  IHC-P, In vitro, KD, KO, PAGE, Simple Western, WB
NBP2-67117
Species: Hu, Mu, Rt
Applications: WB, Flow, ICC/IF, IHC, IP

Publications for RPSA Antibody (NBP2-67117) (0)

There are no publications for RPSA Antibody (NBP2-67117).
By submitting your publication information earn gift cards and discounts for future purchases.

Reviews for RPSA Antibody (NBP2-67117) (0)

There are no reviews for RPSA Antibody (NBP2-67117). By submitting a review you will receive an Amazon e-Gift Card or Novus Product Discount.
  • Review with no image -- $10/€7/£6/$10 CAD/¥70 Yuan/¥1110 Yen
  • Review with an image -- $25/€18/£15/$25 CAD/¥150 Yuan/¥2500 Yen

Product General Protocols

Video Protocols

WB Video Protocol
ICC/IF Video Protocol

FAQs for RPSA Antibody (NBP2-67117) (0)

There are no specific FAQs related to this product. Read our general customer & technical service FAQs.

Contact Information

Product PDFs

Calculators

Concentration Calculator

The concentration calculator allows you to quickly calculate the volume, mass or concentration of your vial. Simply enter your mass, volume, or concentration values for your reagent and the calculator will determine the rest.

=
÷

Review this Product

Be the first to review our RPSA Antibody (JF0955) and receive a gift card or discount.

Bioinformatics

Gene Symbol RPSA