Ribosome maturation protein SBDS Antibody - BSA Free

Images

 
Western Blot: Shwachman Bodian-Diamond syndrome Antibody [NBP1-32724] - Sample (30 ug of whole cell lysate)A: H1299B: HeLaC: Hep G2 12% SDS PAGE, antibody diluted at 1:1000.
Immunocytochemistry/ Immunofluorescence: Shwachman Bodian-Diamond syndrome Antibody [NBP1-32724] - Analysis of methanol-fixed HeLa, using antibody at 1:500 dilution.
Immunohistochemistry-Paraffin: Ribosome maturation protein SBDS Antibody [NBP1-32724] - Ribosome maturation protein SBDS antibody detects Ribosome maturation protein SBDS protein at cytosol on mouse duodenum by ...read more
Western Blot: Shwachman Bodian-Diamond syndrome Antibody [NBP1-32724] - Sample (50 ug of whole cell lysate) A: mouse liver 12% SDS PAGE; antibody diluted at 1:1000.
Immunohistochemistry-Paraffin: Shwachman Bodian-Diamond syndrome Antibody [NBP1-32724] - Paraffin-embedded H1299 xenograft, using antibody at 1:500 dilution.
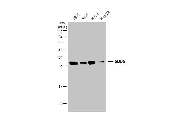
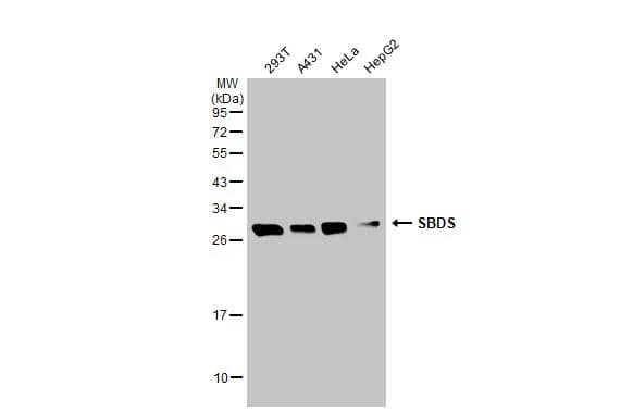
Various whole cell extracts (30 ug) were separated by 12% SDS-PAGE, and the membrane was blotted with SBDS antibody [N1C3] (NBP1-32724) diluted at 1:1000. The HRP-conjugated anti-rabbit IgG antibody was used to detect ...read more

Product Details

Summary
Reactivity Hu, MuSpecies Glossary
Applications WB, ICC/IF, IHC, IP
Clonality
Polyclonal
Host
Rabbit
Conjugate
Unconjugated
Format
BSA Free

Order Details

Ribosome maturation protein SBDS Antibody - BSA Free Summary

Description
Novus Biologicals Rabbit Ribosome maturation protein SBDS Antibody - BSA Free (NBP1-32724) is a polyclonal antibody validated for use in IHC, WB, ICC/IF and IP. All Novus Biologicals antibodies are covered by our 100% guarantee.
Immunogen
Full length human Ribosome maturation protein SBDS Recombinant protein.
Localization
Cytoplasm
Isotype
IgG
Clonality
Polyclonal
Host
Rabbit
Gene
SBDS
Purity
Antigen Affinity-purified
Innovator's Reward
Test in a species/application not listed above to receive a full credit towards a future purchase.

Applications/Dilutions

Dilutions
  • Immunocytochemistry/ Immunofluorescence 1:100-1:1000
  • Immunohistochemistry 10 - 1:500
  • Immunohistochemistry-Paraffin 1:100-1:1000
  • Immunoprecipitation 1:10 - 1:500
  • Western Blot 1:500-1:3000

Packaging, Storage & Formulations

Storage
Aliquot and store at -20C or -80C. Avoid freeze-thaw cycles.
Buffer
PBS, 20% Glycerol
Preservative
0.025% Proclin 300
Purity
Antigen Affinity-purified

Alternate Names for Ribosome maturation protein SBDS Antibody - BSA Free

  • FLJ10917
  • ribosome maturation protein SBDS
  • SDSCGI-97
  • Shwachman-Bodian-Diamond syndrome protein
  • Shwachman-Bodian-Diamond syndrome
  • SWDS

Background

The Shwachman Bodian-Diamond syndrome gene encodes a member of a highly conserved protein family that exists from archaea to vertebrates and plants. The encoded protein may function in RNA metabolism. Mutations within this gene are associated with the autosomal recessive disorder Shwachman-Bodian-Diamond syndrome. This gene has a closely linked pseudogene that is distally located. [provided by RefSeq, Jan 2017]

Limitations

This product is for research use only and is not approved for use in humans or in clinical diagnosis. Primary Antibodies are guaranteed for 1 year from date of receipt.

Customers Who Viewed This Item Also Viewed...

NBP2-13954
Species: Hu, Mu, Rt
Applications: ICC/IF, IHC,  IHC-P, WB
DY4517-05
Species: Mu
Applications: ELISA
NB120-13550
Species: Hu, Mu, Rt
Applications: ICC/IF, IHC,  IHC-P, WB
NBP2-20214
Species: Hu, Mu
Applications: ICC/IF, IHC,  IHC-P, WB
NB100-2452
Species: Hu
Applications: IHC,  IHC-P, PEP-ELISA, WB
NBP1-89953
Species: Hu, Mu
Applications: ICC/IF, IHC,  IHC-P
AF4117
Species: Rt
Applications: IHC, WB
NBP2-31801
Species: Hu
Applications: IHC,  IHC-P, WB
602-A1
Species: Mu
Applications: Bind
NB100-56098
Species: Ca, Hu, Mu, Rt
Applications: IHC,  IHC-P, IP, WB
NB100-56104
Species: Ca, Hu, Mu, Rt
Applications: IHC, IHC-Fr,  IHC-P, IP, WB
NBP1-89827
Species: Hu, Mu, Rt
Applications: ICC/IF, IHC,  IHC-P, WB
NBP2-47291
Species: Hu
Applications: ICC/IF, IHC,  IHC-P, KD, WB
NBP1-87769
Species: Hu
Applications: ICC/IF, IHC,  IHC-P, WB
H00171023-M05
Species: Hu
Applications: ELISA, IP, WB
NB100-317
Species: Hu, Mu, Rt
Applications: ChIP, ChIP, Flow, ICC/IF, IHC,  IHC-P, IP, WB
NB300-996
Species: Hu
Applications: Flow, ICC/IF, IHC,  IHC-P, PEP-ELISA, WB
⚠ WARNING: This product can expose you to chemicals including mercury, which is known to the State of California to cause reproductive toxicity with developmental effects.  For more information go to www.P65Warnings.ca.gov.

Publications for Ribosome maturation protein SBDS Antibody (NBP1-32724) (0)

There are no publications for Ribosome maturation protein SBDS Antibody (NBP1-32724).
By submitting your publication information earn gift cards and discounts for future purchases.

Reviews for Ribosome maturation protein SBDS Antibody (NBP1-32724) (0)

There are no reviews for Ribosome maturation protein SBDS Antibody (NBP1-32724). By submitting a review you will receive an Amazon e-Gift Card or Novus Product Discount.
  • Review with no image -- $10/€7/£6/$10 CAD/¥70 Yuan/¥1110 Yen
  • Review with an image -- $25/€18/£15/$25 CAD/¥150 Yuan/¥2500 Yen

Product General Protocols

Find general support by application which include: protocols, troubleshooting, illustrated assays, videos and webinars.

Video Protocols

WB Video Protocol
ICC/IF Video Protocol

FAQs for Ribosome maturation protein SBDS Antibody (NBP1-32724) (0)

There are no specific FAQs related to this product. Read our general customer & technical service FAQs.

Customers Who Bought This Also Bought

Contact Information

Product PDFs

Calculators

Concentration Calculator

The concentration calculator allows you to quickly calculate the volume, mass or concentration of your vial. Simply enter your mass, volume, or concentration values for your reagent and the calculator will determine the rest.

=
÷

Review this Product

Be the first to review our Ribosome maturation protein SBDS Antibody - BSA Free and receive a gift card or discount.

Bioinformatics

Gene Symbol SBDS