Ribosome maturation protein SBDS Products

Antibodies
Ribosome maturation protein S ...
Ribosome maturation protein SBDS A...
NBP1-32724
Species: Hu, Mu
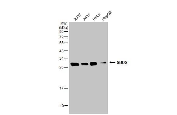
Applications: WB, ICC/IF, IHC, IP
Host: Rabbit Polyclonal
Ribosome maturation protein S ...
Ribosome maturation protein SBDS A...
NBP1-85646
Species: Hu, Mu, Rt
Applications: WB, ICC/IF, IHC
Host: Rabbit Polyclonal
Formulation Catalog # Availability Price  
Lysates
Ribosome maturation protein S ...
Ribosome maturation protein SBDS O...
NBL1-15704
Species: Hu
Applications: WB
Proteins
Recombinant Human Ribosome ma ...
Recombinant Human Ribosome maturat...
NBP1-49450
Species: Hu
Applications: PAGE
Ribosome maturation protein S ...
Ribosome maturation protein SBDS R...
NBP1-85646PEP
Species: Hu
Applications: AC

Description

The Shwachman Bodian-Diamond syndrome gene encodes a member of a highly conserved protein family that exists from archaea to vertebrates and plants. The encoded protein may function in RNA metabolism. Mutations within this gene are associated with the autosomal recessive disorder Shwachman-Bodian-Diamond syndrome. This gene has a closely linked pseudogene that is distally located. [provided by RefSeq, Jan 2017]

Bioinformatics

Entrez Human
Uniprot Human
Human
Human
Product By Gene ID 51119
Alternate Names
  • FLJ10917
  • ribosome maturation protein SBDS
  • SDSCGI-97
  • Shwachman-Bodian-Diamond syndrome protein
  • Shwachman-Bodian-Diamond syndrome
  • SWDS