RHAMM/CD168 Antibody (HMMR/8021) - Azide and BSA Free

Images

 
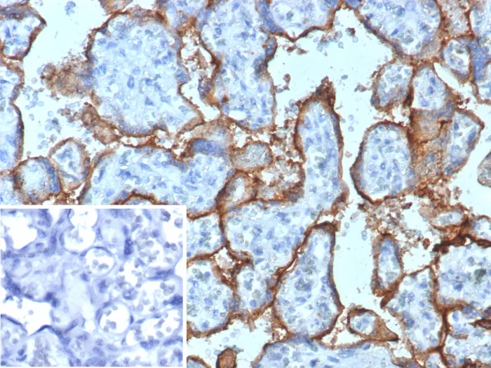
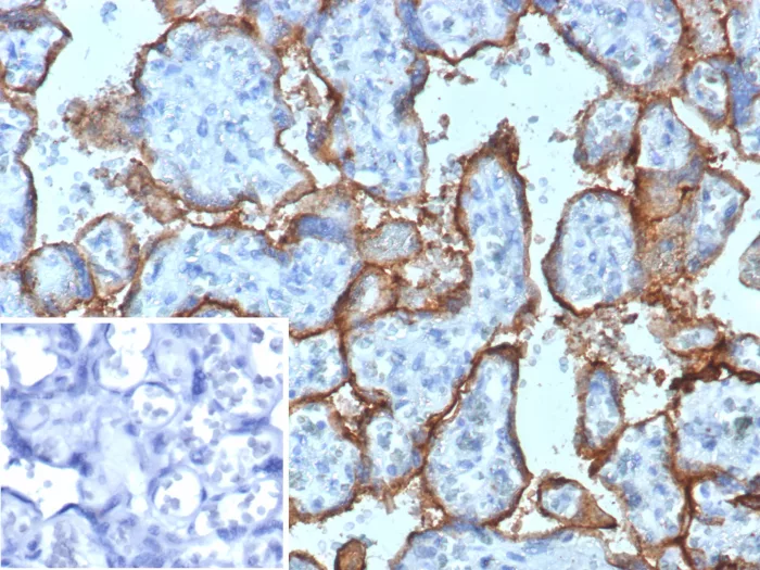
Formalin-fixed, paraffin-embedded human placenta stained with RHAMM/CD168 Antibody (HMMR/8021) - Azide and BSA Free. Inset: PBS instead of primary antibody; secondary only negative control.

Product Details

Summary
Reactivity HuSpecies Glossary
Applications IHC
Clone
HMMR/8021
Clonality
Monoclonal
Host
Mouse
Conjugate
Unconjugated
Format
Azide and BSA Free
Concentration
1 mg/ml

Order Details

RHAMM/CD168 Antibody (HMMR/8021) - Azide and BSA Free Summary

Description
Antibody without azide - store at -20 to -80C. Non-hazardous. No MSDS required.
Immunogen
Recombinant fragment (around aa1-250) of human RHAMM/CD168 protein (exact sequence is proprietary)
Localization
Cell surface, Cytoplasm
Isotype
IgG1 Kappa
Clonality
Monoclonal
Host
Mouse
Gene
HMMR
Purity
Protein A or G purified
Innovator's Reward
Test in a species/application not listed above to receive a full credit towards a future purchase.

Applications/Dilutions

Dilutions
  • Immunohistochemistry-Paraffin 1-2ug/ml for 30 minutes at RT
Application Notes
Immunohistochemistry-Paraffin 1-2ug/ml for 30 minutes at RT. Optimal dilution for a specific application should be determined.. Staining of formalin-fixed tissues requires heating tissue sections in 10mM Tris with 1mM EDTA, pH 9.0, for 45 min at 95C followed by cooling at RT for 20 minutes

Packaging, Storage & Formulations

Storage
Store at -20 to -80C. Avoid freeze-thaw cycles.
Buffer
10mM PBS
Preservative
No Preservative
Concentration
1 mg/ml
Purity
Protein A or G purified

Alternate Names for RHAMM/CD168 Antibody (HMMR/8021) - Azide and BSA Free

  • CD168 antigen
  • CD168
  • HMMR
  • hyaluronan mediated motility receptor
  • hyaluronan-mediated motility receptor (RHAMM)
  • IHABP
  • Intracellular hyaluronic acid-binding protein
  • MGC119494
  • Receptor for hyaluronan-mediated motility
  • RHAMM
  • RHAMMMGC119495

Background

The protein encoded by the CD168 gene is involved in cell motility. It is expressed in breast tissue and together with otherproteins, it forms a complex with BRCA1 and BRCA2, thus is potentially associated with higher risk of breast cancer.Alternatively spliced transcript variants encoding different isoforms have been noted for this gene. (provided byRefSeq)

Limitations

This product is for research use only and is not approved for use in humans or in clinical diagnosis. Primary Antibodies are guaranteed for 1 year from date of receipt.

Customers Who Viewed This Item Also Viewed...

BBA10
Species: Hu
Applications: CyTOF-ready, Flow, IHC, IP, KO, Simple Western, WB
NBP2-22203
Species: Hu, Pm, Mu, Rt
Applications: ELISA, Flow, ICC/IF, IHC,  IHC-P, WB
AF1230
Species: Hu, Mu, Rt
Applications: IHC, KO, WB
NBP1-51635
Species: Hu
Applications: ELISA, ICC/IF, WB
NB100-417
Species: Hu, Mu, Pl, Rt
Applications: ChIP, Dual ISH-IHC, ELISA, Flow, GS, IB, ICC/IF, IHC, IHC-Fr,  IHC-P, IP, MiAr, PLA, Simple Western, WB
NBP2-23670
Species: Hu
Applications: Simple Western, WB
AF467
Species: Hu, Mu
Applications: CyTOF-ready, Flow, ICC, IHC, Simple Western, WB
NB500-179
Species: Hu, Ma, Mu, Po, Rt
Applications: Flow, ICC/IF, IP, KD, Simple Western, WB
NBP2-37446
Species: Hu
Applications: ELISA, ICC/IF, IHC,  IHC-P, WB
NBP1-91258
Species: Bv, Ca, Eq, Fe, Hu, Mu, Po, Rt
Applications: ICC/IF, IHC, IHC-Fr,  IHC-P, Simple Western, WB
AF796
Species: Mu
Applications: AdBlk, IHC, WB
MAB6979
Species: Hu
Applications: WB
NBP1-47833
Species: Hu, Mu, Rt
Applications: ICC/IF, IHC,  IHC-P, WB
AF231
Species: Hu
Applications: CyTOF-ready, Dual ISH-IHC, ELISA(Cap), ELISA(Det), ELISA(Sta), Flow, ICC, IHC, IP, Simple Western, WB
NB500-201
Species: Ca, Fe, Gp, Ha, Hu, Mu, Rt
Applications: ChIP, Dual ISH-IHC, ELISA, Flow, ICC/IF, IHC, IHC-Fr,  IHC-P, IP, KD, Simple Western, WB
DCDL40
Species: Hu
Applications: ELISA
NBP1-49045
Species: Mu, Rt
Applications: Cell Depl, CyTOF-ready, Flow, ICC/IF, IHC, IHC-Fr,  IHC-P, IP, InhibTFunc
NB110-60011
Species: Hu
Applications: ICC/IF, IHC, IHC-Fr,  IHC-P, IP, Simple Western, WB
NBP1-82627
Species: Hu, Mu, Rt
Applications: ICC/IF, IHC,  IHC-P, KO, WB
NBP3-26946
Species: Hu
Applications: IHC

Publications for RHAMM/CD168 Antibody (NBP3-26946) (0)

There are no publications for RHAMM/CD168 Antibody (NBP3-26946).
By submitting your publication information earn gift cards and discounts for future purchases.

Reviews for RHAMM/CD168 Antibody (NBP3-26946) (0)

There are no reviews for RHAMM/CD168 Antibody (NBP3-26946). By submitting a review you will receive an Amazon e-Gift Card or Novus Product Discount.
  • Review with no image -- $10/€7/£6/$10 CAD/¥70 Yuan/¥1110 Yen
  • Review with an image -- $25/€18/£15/$25 CAD/¥150 Yuan/¥2500 Yen

Product General Protocols

Find general support by application which include: protocols, troubleshooting, illustrated assays, videos and webinars.

FAQs for RHAMM/CD168 Antibody (NBP3-26946) (0)

There are no specific FAQs related to this product. Read our general customer & technical service FAQs.

Secondary Antibodies

 

Isotype Controls

Additional RHAMM/CD168 Products

Research Areas for RHAMM/CD168 Antibody (NBP3-26946)

Find related products by research area.

Blogs on RHAMM/CD168

There are no specific blogs for RHAMM/CD168, but you can read our latest blog posts.

Customers Who Bought This Also Bought

Contact Information

Product PDFs

Calculators

Concentration Calculator

The concentration calculator allows you to quickly calculate the volume, mass or concentration of your vial. Simply enter your mass, volume, or concentration values for your reagent and the calculator will determine the rest.

=
÷

Review this Product

Be the first to review our RHAMM/CD168 Antibody (HMMR/8021) - Azide and BSA Free and receive a gift card or discount.

Bioinformatics

Gene Symbol HMMR