PUS10 Antibody - BSA Free

Images

 
Western Blot: PUS10 Antibody [NBP2-48941] - Analysis in human cell line HepG2.
Immunocytochemistry/ Immunofluorescence: PUS10 Antibody [NBP2-48941] - Staining of human cell line A-431 shows localization to nucleoplasm, nuclear bodies & mitochondria.
Immunohistochemistry-Paraffin: PUS10 Antibody [NBP2-48941] - Staining of human Cerebral cortex shows moderate nuclear and cytoplasmic positivity in neuronal cells.
Immunohistochemistry-Paraffin: PUS10 Antibody [NBP2-48941] - Staining of human thyroid gland shows moderate nuclear positivity in glandular cells.
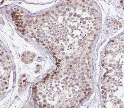
Immunohistochemistry-Paraffin: PUS10 Antibody [NBP2-48941] - Staining of human testis shows moderate nuclear and cytoplasmic positivity in cells in seminiferous ducts.
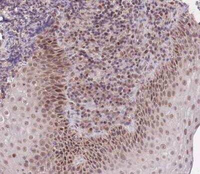
Immunohistochemistry-Paraffin: PUS10 Antibody [NBP2-48941] - Staining of human tonsil shows moderate nuclear and cytoplasmic positivity in squamous epithelial cells.
Immunohistochemistry-Paraffin: PUS10 Antibody [NBP2-48941] - Staining of human cerebral cortex shows moderate nuclear and cytoplasmic positivity in neuronal cells.
Immunohistochemistry-Paraffin: PUS10 Antibody [NBP2-48941] - Staining of human stomach shows moderate nuclear and ctyoplasmic positivity in glandular cells.
PUS10 inhibits the migration of RCC in a catalytic-independent manner. A Overexpression of PUS10 was verified by qRT‒PCR using GAPDH as a reference. B Western blot and dot blot assay were performed to verify the ...read more

Product Details

Summary
Reactivity Hu, Mu, RtSpecies Glossary
Applications WB, ICC/IF, IHC
Clonality
Polyclonal
Host
Rabbit
Conjugate
Unconjugated
Format
BSA Free

Order Details

View Available Formulations
Catalog# & Formulation Size Price

PUS10 Antibody - BSA Free Summary

Description
Novus Biologicals Rabbit PUS10 Antibody - BSA Free (NBP2-48941) is a polyclonal antibody validated for use in IHC, WB and ICC/IF. Anti-PUS10 Antibody: Cited in 1 publication. All Novus Biologicals antibodies are covered by our 100% guarantee.
Immunogen
This antibody was developed against a recombinant protein corresponding to amino acids: NSPKAVCAVLEIECAHGAVFVAGRYNKYSRNLPQTPWIIDGERKLESSVEELISDHLLAVFKAESFNFSSSGREDVDVRTLGNGRPFAIELVNPHRVHFTSQEIKE
Predicted Species
Mouse (92%), Rat (92%). Backed by our 100% Guarantee.
Isotype
IgG
Clonality
Polyclonal
Host
Rabbit
Gene
PUS10
Purity
Affinity purified
Innovator's Reward
Test in a species/application not listed above to receive a full credit towards a future purchase.

Applications/Dilutions

Dilutions
  • Immunocytochemistry/ Immunofluorescence 0.25-2 ug/ml
  • Immunohistochemistry 1:50 - 1:200
  • Immunohistochemistry-Paraffin 1:50 - 1:200
  • Western Blot 0.04-0.4 ug/ml
Application Notes
For IHC-Paraffin, HIER pH 6 retrieval is recommended. ICC/IF,Fixation Permeabilization: Use PFA/Triton X-100.
Control Peptide
PUS10 Recombinant Protein Antigen (NBP2-48941PEP)
Publications
Read Publication using NBP2-48941.

Packaging, Storage & Formulations

Storage
Store at 4C short term. Aliquot and store at -20C long term. Avoid freeze-thaw cycles.
Buffer
PBS (pH 7.2) and 40% Glycerol
Preservative
0.02% Sodium Azide
Purity
Affinity purified

Alternate Names for PUS10 Antibody - BSA Free

  • CCDC139
  • coiled-coil domain containing 139
  • Coiled-coil domain-containing protein 139
  • DOBIMGC126729
  • EC 5.4.99
  • EC 5.4.99.-
  • FLJ32312
  • MGC126755
  • pseudouridine synthase 10
  • pseudouridylate synthase 10
  • Psi55 synthase
  • PUS1
  • putative tRNA pseudouridine synthase Pus10
  • tRNA pseudouridine 55 synthase
  • tRNA pseudouridylate synthase
  • tRNA-uridine isomerase

Background

Pseudouridination, the isomerization of uridine to pseudouridine, is the most common posttranscriptional nucleotidemodification found in RNA and is essential for biologic functions such as spliceosome biogenesis. Pseudouridylatesynthases, such as PUS10, catalyze pseudouridination of structural RNAs, including transfer, ribosomal, and splicingRNAs. These enzymes also act as RNA chaperones, facilitating the correct folding and assembly of tRNAs (McCleverty etal., 2007 (PubMed 17900615)).(supplied by OMIM)

Limitations

This product is for research use only and is not approved for use in humans or in clinical diagnosis. Primary Antibodies are guaranteed for 1 year from date of receipt.

Customers Who Viewed This Item Also Viewed...

375-TL
Species: Hu
Applications: BA
NBP1-85156
Species: Hu
Applications: IHC,  IHC-P, WB
NBP2-57100
Species: Hu
Applications: ICC/IF
AF860
Species: Hu, Mu
Applications: IP, Simple Western, WB
NBP1-88826
Species: Hu
Applications: IHC,  IHC-P, WB
NBP2-38160
Species: Hu
Applications: ICC/IF, IHC,  IHC-P
NB600-302
Species: Bv, Dr, Hu, Mu
Applications: ChIP, ELISA, Flow-IC, Flow, IB, ICC/IF, IHC, IHC-Fr,  IHC-P, IP, PLA, S-ELISA, Simple Western, WB
NBP1-80866
Species: Hu
Applications: ICC/IF, IHC,  IHC-P, WB
NBP3-46186
Species: Hu, Mu, Rt
Applications: ELISA, IHC, IP, WB
AF856
Species: Mu
Applications: CyTOF-ready, Flow, Neut, WB
H00003703-M02
Species: Hu
Applications: ELISA, IHC,  IHC-P, IP, WB
MAB1930
Species: Hu, Mu, Rt
Applications: WB
NBP2-31742
Species: Hu
Applications: ICC/IF, IHC,  IHC-P, Simple Western, WB
NBP1-80992
Species: Hu, Mu, Rt
Applications: ICC/IF, IHC,  IHC-P, WB
NBP2-38449
Species: Hu
Applications: ICC/IF, IHC,  IHC-P
NBP2-32441
Species: Hu
Applications: ICC/IF, IHC,  IHC-P, WB
NBP1-77033
Species: Hu, Mu, Rt
Applications: ELISA, ICC/IF, WB

Publications for PUS10 Antibody (NBP2-48941)(1)

Reviews for PUS10 Antibody (NBP2-48941) (0)

There are no reviews for PUS10 Antibody (NBP2-48941). By submitting a review you will receive an Amazon e-Gift Card or Novus Product Discount.
  • Review with no image -- $10/€7/£6/$10 CAD/¥70 Yuan/¥1110 Yen
  • Review with an image -- $25/€18/£15/$25 CAD/¥150 Yuan/¥2500 Yen

Product General Protocols

Find general support by application which include: protocols, troubleshooting, illustrated assays, videos and webinars.

Video Protocols

WB Video Protocol
ICC/IF Video Protocol

FAQs for PUS10 Antibody (NBP2-48941) (0)

There are no specific FAQs related to this product. Read our general customer & technical service FAQs.

Customers Who Bought This Also Bought

Contact Information

Product PDFs

Calculators

Concentration Calculator

The concentration calculator allows you to quickly calculate the volume, mass or concentration of your vial. Simply enter your mass, volume, or concentration values for your reagent and the calculator will determine the rest.

=
÷

Review this Product

Be the first to review our PUS10 Antibody - BSA Free and receive a gift card or discount.

Bioinformatics

Gene Symbol PUS10