PTEN Antibody (CL11723) - Azide and BSA Free

Images

 
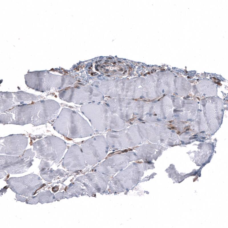
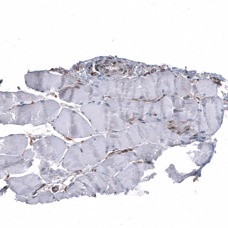
Orthogonal Strategies: Analysis in human endometrium and skeletal muscle tissues using NBP3-44314 antibody. Corresponding PTEN RNA-seq data are presented for the same tissues.
Staining of human cerebellum shows strong nuclear positivity in cells in molecular layer.
Staining of human glioblastoma multiforme shows strong positivity in tumor cells.
Staining of human endometrium shows strong nuclear positivity in stromal cells.
Staining of human skeletal muscle shows no positivity in myocytes as expected.
Analysis in human cell line CAPAN-2.
Staining of human tonsil shows moderate to strong cytoplasmic positivity in germinal center cells.

Product Details

Summary
Reactivity HuSpecies Glossary
Applications WB, IHC
Clone
CL11723
Clonality
Monoclonal
Host
Mouse
Conjugate
Unconjugated
Format
Azide and BSA Free
Concentration
LYOPH
Validated by:
       

Orthogonal Strategies

 

Order Details

PTEN Antibody (CL11723) - Azide and BSA Free Summary

Description
Novus Biologicals Mouse PTEN Antibody (CL11723) - Azide and BSA Free (NBP3-21201) is a monoclonal antibody validated for use in IHC and WB. All Novus Biologicals antibodies are covered by our 100% guarantee.
Immunogen
This antibody was generated using a synthetic peptide of P60484, with the exact immunogen sequence remaining proprietary.
Isotype
IgG2a
Clonality
Monoclonal
Host
Mouse
Gene
PTEN
Purity
Protein A purified
Innovator's Reward
Test in a species/application not listed above to receive a full credit towards a future purchase.

Applications/Dilutions

Dilutions
  • Immunohistochemistry-Paraffin 1:2500 - 1:5000
  • Western Blot 1 ug/ml
Application Notes
For IHC-Paraffin, HIER pH 6 retrieval is recommended.

Packaging, Storage & Formulations

Storage
Store at 4C short term. Aliquot and store at -20C long term. Avoid freeze-thaw cycles.
Buffer
Lyophilized from a 0.2 um filtered solution in PBS with Trehalose
Preservative
No Preservative
Concentration
LYOPH
Purity
Protein A purified
Reconstitution Instructions
Centrifuge the vial of lyophilized antibody at 12,000 x g for 20 seconds. Reconstitute by adding sterile, distilled water to achieve a final antibody concentration of 1mg/ml.

Alternate Names for PTEN Antibody (CL11723) - Azide and BSA Free

  • BZS
  • EC 3.1.3.16,10q23del
  • EC 3.1.3.48
  • EC 3.1.3.67
  • GLM2
  • MMAC1 phosphatase and tensin homolog deleted on chromosome 10
  • MMAC1
  • MMAC1MGC11227
  • Mutated in multiple advanced cancers 1
  • phosphatase and tensin homologDEC
  • phosphatidylinositol-34,5-trisphosphate 3-phosphatase and dual-specificityprotein phosphatase PTEN
  • PTEN
  • PTEN1
  • TEP1MHAM

Background

PTEN is a protein tyrosine phosphatase that acts as a tumor suppressor, as a lipid phosphatase that dephosphorylates the D3 position of phosphatidylinositol 3,4,5-trisphosphate and as an antagonist of the PI3k/AKT signaling pathway (1-3). PTEN structural domains includes an N-terminal phosphatase domain, a lipid binding C2 domain and a 50-amino acid C-terminal tail that contains a PD biding sequence (5). Phosporylation of the tail of the protein will suppress its activity and modify its conformation to a

Limitations

This product is for research use only and is not approved for use in humans or in clinical diagnosis. Primary Antibodies are guaranteed for 1 year from date of receipt.

Customers Who Viewed This Item Also Viewed...

AF887
Species: Hu, Mu, Rt
Applications: CyTOF-ready, IHC, ICFlow, Simple Western, WB
NBP2-19804
Species: Hu, Mu
Applications: ICC/IF, IHC,  IHC-P, WB
NBP2-15071
Species: Hu, Mu, Rt
Applications: ICC/IF, IHC,  IHC-P, KO, WB
NBP2-46404
Species: Hu, Mu, Rt
Applications: IHC,  IHC-P
AF231
Species: Hu
Applications: CyTOF-ready, Dual ISH-IHC, ELISA(Cap), ELISA(Det), ELISA(Sta), Flow, ICC, IHC, IP, Simple Western, WB
NB600-607
Species: Hu, Rt
Applications: ELISA, IHC,  IHC-P, WB
NB200-103
Species: Hu, Mu, Rt, Xp(-), Ye
Applications: CyTOF-ready, ELISA, Flow-IC, Flow, ICC/IF, IHC, IHC-Fr,  IHC-P, IP, WB
NB200-106
Species: Mu, Rt
Applications: ELISA, ICC/IF, IHC, IHC-Fr,  IHC-P, WB
NBP1-91228
Species: Hu, Rt
Applications: IHC,  IHC-P, WB
1129-ER
Species: Hu
Applications: BA
AF1230
Species: Hu, Mu, Rt
Applications: IHC, KO, WB
NBP2-29463
Species: Pm, Hu, Pm, Mu
Applications: Flow, ICC/IF, IHC,  IHC-P, WB
DVE00
Species: Hu
Applications: ELISA
MAB1417
Species: Bv, Hu, Mu
Applications: ICC, IHC
H00003845-M01
Species: Hu, Mu
Applications: ELISA, ICC/IF, IP, WB
NBP2-32840
Species: Hu, Pm, Mu, Rt
Applications: Flow, ICC/IF, IHC,  IHC-P, WB
NBP1-47668
Species: Hu, Pm, Mu, Rt
Applications: Flow, ICC/IF, IHC,  IHC-P, IP, WB
NBP1-90949
Species: Hu
Applications: IHC,  IHC-P, WB
NBP3-44314
Species: Hu
Applications: WB, IHC

Publications for PTEN Antibody (NBP3-44314) (0)

There are no publications for PTEN Antibody (NBP3-44314).
By submitting your publication information earn gift cards and discounts for future purchases.

Reviews for PTEN Antibody (NBP3-44314) (0)

There are no reviews for PTEN Antibody (NBP3-44314). By submitting a review you will receive an Amazon e-Gift Card or Novus Product Discount.
  • Review with no image -- $10/€7/£6/$10 CAD/¥70 Yuan/¥1110 Yen
  • Review with an image -- $25/€18/£15/$25 CAD/¥150 Yuan/¥2500 Yen

Product General Protocols

Find general support by application which include: protocols, troubleshooting, illustrated assays, videos and webinars.

Video Protocols

WB Video Protocol

FAQs for PTEN Antibody (NBP3-44314) (0)

There are no specific FAQs related to this product. Read our general customer & technical service FAQs.

Secondary Antibodies

 

Isotype Controls

Additional PTEN Products

Research Areas for PTEN Antibody (NBP3-44314)

Find related products by research area.

Blogs on PTEN.

Autophagy Research Update: What a difference a year makes!
By Christina Towers, PhD Over the last two decades the field of autophagy has exploded! Innovative techniques, comprehensive analysis and disease-relevant models have yielded basic and clinical discoveries of conseque...  Read full blog post.

Neurovascular signaling for repair enhances brain metastasis
By Jamshed Arslan, Pharm. D., PhD. Stroke    is a leading cause of mortality and morbidity worldwide. Cellular players – neurons, astrocytes, endothelial and stromal cells – involved in post-stroke repair t...  Read full blog post.

Developmental regulator Daam2 promotes glial cell tumors by degrading Von Hippel-Lindau protein
By Jamshed Arslan Pharm.D. Glioblastoma is an aggressive type of cancer that forms from the star-shaped glial cells of the central nervous system, called astrocytes. Intriguingly, several genes linked to glioblasto...  Read full blog post.

The effects of curcumin on IKB Alpha and the NFkB signaling pathway
The IKK complex, or inhibitor of NFkB kinase, is composed of IKK alpha and IKK beta.  These kinases are at the core of the NFkB signaling cascade.  The NFkB family is made up of transcription factors that are kept inactive in the cytoplasm through...  Read full blog post.

Carbonic anhydrase IX (CAIX) - a reliable histochemical marker of hypoxia
Carbonic anhydrase IX is a member of the carbonic anhydrase family. This family consists of catalytic enzymes capable of converting carbon dioxide and water into carbonic acid, protons, and bicarbonate ions. This family of molecules is abundantly e...  Read full blog post.

CAIX - One of the Best Cellular Markers of Hypoxia
The protein, carbonic anhydrase IX, belongs to the carbonic anhydrase family which consists of enzymes that rapidly convert carbon dioxide and water into the end products of carbonic acid, protons, and bicarbonate ions. These enzymes play a widespread...  Read full blog post.

Getting SHIP-shape Over Tumour Suppression
PTEN antibodies have shown PTEN to be an important tumor suppressor and, in mutated form, a factor in cancer development. However, a recent study, led by Robert Rickert, shows that the SHIP gene may also be an important tumor suppressor in B-cell lymp...  Read full blog post.

PTEN Antibodies and Cancer Research
Phosphatase and tensin homologue (PTEN) antibodies are important tools for cancer research. PTEN is an important tumor suppressor but, in mutated form, is also expressed in a high number of cancers. We at Novus Biologicals have a wide PTEN antibody da...  Read full blog post.

Customers Who Bought This Also Bought

Contact Information

Product PDFs

Calculators

Concentration Calculator

The concentration calculator allows you to quickly calculate the volume, mass or concentration of your vial. Simply enter your mass, volume, or concentration values for your reagent and the calculator will determine the rest.

=
÷

Review this Product

Be the first to review our PTEN Antibody (CL11723) - Azide and BSA Free and receive a gift card or discount.

Bioinformatics

Gene Symbol PTEN