PIK3CA Antibody (CL8347) - Azide and BSA Free

Images

 
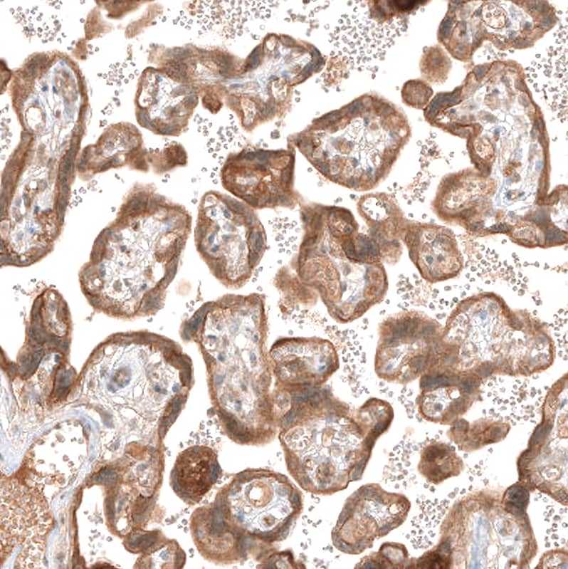
Orthogonal Strategies: Analysis in human placenta and skeletal muscle tissues using NBP3-44239 antibody. Corresponding PIK3CA RNA-seq data are presented for the same tissues.
Staining of human endometrium shows moderate cytoplasmic positivity in glandular cells.
Staining of human skeletal muscle shows very weak positivity in myocytes as expected.
Staining of human placenta shows moderate cytoplasmic positivity in trophoblastic cells.
Staining of human prostate shows moderate cytoplasmic positivity in glandular cells.
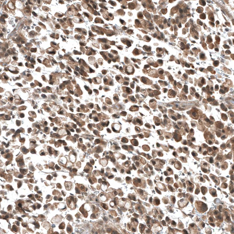
Staining of human stomach cancer shows moderate cytoplasmic positivity in tumor cells.

Product Details

Summary
Reactivity HuSpecies Glossary
Applications IHC
Clone
CL8347
Clonality
Monoclonal
Host
Mouse
Conjugate
Unconjugated
Format
Azide and BSA Free
Concentration
LYOPH
Validated by:
       

Orthogonal Strategies

 

Order Details

PIK3CA Antibody (CL8347) - Azide and BSA Free Summary

Description
Novus Biologicals Mouse PIK3CA Antibody (CL8347) - Azide and BSA Free (NBP2-88915) is a monoclonal antibody validated for use in IHC. All Novus Biologicals antibodies are covered by our 100% guarantee.
Immunogen
This antibody was generated using a synthetic peptide of P42336, with the exact immunogen sequence remaining proprietary.
Isotype
IgG1
Clonality
Monoclonal
Host
Mouse
Gene
PIK3CA
Purity
Protein A purified
Innovator's Reward
Test in a species/application not listed above to receive a full credit towards a future purchase.

Applications/Dilutions

Dilutions
  • Immunohistochemistry-Paraffin 1:50 - 1:200
Application Notes
For IHC-Paraffin, HIER pH 6 retrieval is recommended.

Packaging, Storage & Formulations

Storage
Store at 4C short term. Aliquot and store at -20C long term. Avoid freeze-thaw cycles.
Buffer
Lyophilized from a 0.2 um filtered solution in PBS with Trehalose
Preservative
No Preservative
Concentration
LYOPH
Purity
Protein A purified
Reconstitution Instructions
Centrifuge the vial of lyophilized antibody at 12,000 x g for 20 seconds. Reconstitute by adding sterile, distilled water to achieve a final antibody concentration of 1mg/ml.

Alternate Names for PIK3CA Antibody (CL8347) - Azide and BSA Free

  • CLAPO
  • CLOVE
  • CWS5
  • EC 2.7.1
  • EC 2.7.1.153
  • MCMTC
  • MGC142161
  • MGC142163
  • P110alpha
  • p110-alpha
  • Phosphatidylinositol 3-Kinase catalytic subunit alpha
  • phosphatidylinositol 3-kinase, catalytic, 110-KD, alpha
  • phosphatidylinositol 3-kinase, catalytic, alpha polypeptide
  • Phosphatidylinositol-4,5-bisphosphate 3-kinase 110 kDa catalytic subunit alpha
  • phosphatidylinositol-4,5-bisphosphate 3-kinase catalytic subunit alpha isoform
  • phosphatidylinositol-4,5-bisphosphate 3-kinase catalytic subunit, alpha isoform
  • phosphoinositide-3-kinase, catalytic, alpha polypeptide
  • PI3K
  • PI3Kalpha
  • PI3K-alpha
  • PI3-kinase p110 subunit alpha
  • PI3-kinase subunit alpha
  • PIK3CA
  • PtdIns-3-kinase p110
  • PtdIns-3-kinase subunit alpha
  • PtdIns-3-kinase subunit p110-alpha

Background

PI3-Kinases (PI3-Ks) are a family of lipid kinases that are implicated in signal transduction. PI3-K consists of two subunits; p85 and p10. The p85 subunit localize PI3-K activity to the plasma membrane while the p110 subunit contains the catalytic domain of PI3-K (1-2). Four isoforms of p110 has been found;

Limitations

This product is for research use only and is not approved for use in humans or in clinical diagnosis. Primary Antibodies are guaranteed for 1 year from date of receipt.

Customers Who Viewed This Item Also Viewed...

AF887
Species: Hu, Mu, Rt
Applications: CyTOF-ready, IHC, ICFlow, Simple Western, WB
AF1230
Species: Hu, Mu, Rt
Applications: IHC, KO, WB
NB600-607
Species: Hu, Rt
Applications: ELISA, IHC,  IHC-P, WB
NBP2-22203
Species: Hu, Pm, Mu, Rt
Applications: ELISA, Flow, ICC/IF, IHC,  IHC-P, WB
AF467
Species: Hu, Mu
Applications: CyTOF-ready, Flow, ICC, IHC, Simple Western, WB
AF847
Species: Hu, Mu, Rt
Applications: CyTOF-ready, IHC, ICFlow, KO, Simple Western, WB
AF231
Species: Hu
Applications: CyTOF-ready, Dual ISH-IHC, ELISA(Cap), ELISA(Det), ELISA(Sta), Flow, ICC, IHC, IP, Simple Western, WB
MAB6210
Species: Hu
Applications: Simple Western, WB
MAB1417
Species: Bv, Hu, Mu
Applications: ICC, IHC
DVE00
Species: Hu
Applications: ELISA
NB100-56583
Species: Hu, Rb, Rt
Applications: Flow, IHC,  IHC-P, KO, Simple Western, WB
MAB17761
Species: Hu, Mu, Rt
Applications: ICC, WB
236-EG
Species: Hu
Applications: BA
291-G1
Species: Hu
Applications: BA
AF2685
Species: Hu
Applications: IHC, Simple Western, WB
NBP3-44239
Species: Hu
Applications: IHC

Publications for PIK3CA Antibody (NBP3-44239) (0)

There are no publications for PIK3CA Antibody (NBP3-44239).
By submitting your publication information earn gift cards and discounts for future purchases.

Reviews for PIK3CA Antibody (NBP3-44239) (0)

There are no reviews for PIK3CA Antibody (NBP3-44239). By submitting a review you will receive an Amazon e-Gift Card or Novus Product Discount.
  • Review with no image -- $10/€7/£6/$10 CAD/¥70 Yuan/¥1110 Yen
  • Review with an image -- $25/€18/£15/$25 CAD/¥150 Yuan/¥2500 Yen

Product General Protocols

Find general support by application which include: protocols, troubleshooting, illustrated assays, videos and webinars.

FAQs for PIK3CA Antibody (NBP3-44239) (0)

There are no specific FAQs related to this product. Read our general customer & technical service FAQs.

Secondary Antibodies

 

Isotype Controls

Additional PIK3CA Products

Research Areas for PIK3CA Antibody (NBP3-44239)

Find related products by research area.

Blogs on PIK3CA

There are no specific blogs for PIK3CA, but you can read our latest blog posts.

Customers Who Bought This Also Bought

Contact Information

Product PDFs

Calculators

Concentration Calculator

The concentration calculator allows you to quickly calculate the volume, mass or concentration of your vial. Simply enter your mass, volume, or concentration values for your reagent and the calculator will determine the rest.

=
÷

Review this Product

Be the first to review our PIK3CA Antibody (CL8347) - Azide and BSA Free and receive a gift card or discount.

Bioinformatics

Gene Symbol PIK3CA