PFKP Antibody (OTI1D6) - Azide and BSA Free

Images

 
Western Blot: PFKP Antibody (OTI1D6) - Azide and BSA Free [NBP2-73344] - HEK293T cells were transfected with the pCMV6-ENTRY control (Left lane) or pCMV6-ENTRY PFKP (Right lane) cDNA for 48 hrs and lysed. Equivalent ...read more
Immunocytochemistry/ Immunofluorescence: PFKP Antibody (OTI1D6) - Azide and BSA Free [NBP2-73344] - Staining of COS7 cells transiently transfected by pCMV6-ENTRY PFKP.
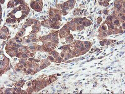
Immunohistochemistry: PFKP Antibody (OTI1D6) - Azide and BSA Free [NBP2-73344] - Staining of paraffin-embedded Carcinoma of Human lung tissue using anti-PFKP mouse monoclonal antibody.
Flow Cytometry: PFKP Antibody (OTI1D6) - Azide and BSA Free [NBP2-73344] - Analysis of Jurkat cells, using anti-PFKP antibody, (Red), compared to a nonspecific negative control antibody (Blue).
Western Blot: PFKP Antibody (OTI1D6) - Azide and BSA Free [NBP2-73344] - Analysis of extracts (10ug) from 9 Human tissues by using anti-PFKP monoclonal antibody at 1:200 (1: Testis; 2: Omentum; 3: Uterus; 4: Breast; 5: ...read more
Western Blot: PFKP Antibody (OTI1D6) - Azide and BSA Free [NBP2-73344] - Analysis of extracts (35ug) from 9 different cell lines by using anti-PFKP monoclonal antibody.
Genetic Strategies: Western Blot: PFKP Antibody (OTI1D6) - Azide and BSA Free [NBP2-73344] - Equivalent amounts of cell lysates (10 ug per lane) of wild-type HeLa cells and PFKP-Knockout HeLa cells were separated ...read more
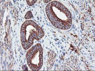
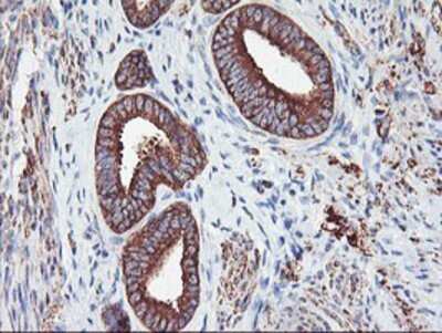
Immunohistochemistry: PFKP Antibody (OTI1D6) - Azide and BSA Free [NBP2-73344] - Staining of paraffin-embedded Adenocarcinoma of Human colon tissue using anti-PFKP mouse monoclonal antibody.
Immunohistochemistry: PFKP Antibody (OTI1D6) - Azide and BSA Free [NBP2-73344] - Staining of paraffin-embedded Adenocarcinoma of Human endometrium tissue using anti-PFKP mouse monoclonal antibody.
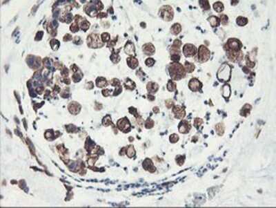
Immunohistochemistry: PFKP Antibody (OTI1D6) - Azide and BSA Free [NBP2-73344] - Staining of paraffin-embedded Adenocarcinoma of Human ovary tissue using anti-PFKP mouse monoclonal antibody.
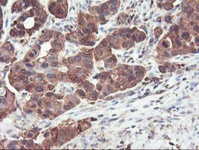
Immunohistochemistry: PFKP Antibody (OTI1D6) - Azide and BSA Free [NBP2-73344] - Staining of paraffin-embedded Carcinoma of Human bladder tissue using anti-PFKP mouse monoclonal antibody.
Immunohistochemistry: PFKP Antibody (OTI1D6) - Azide and BSA Free [NBP2-73344] - Staining of paraffin-embedded Carcinoma of Human kidney tissue using anti-PFKP mouse monoclonal antibody.
Immunohistochemistry: PFKP Antibody (OTI1D6) - Azide and BSA Free [NBP2-73344] - Staining of paraffin-embedded Human endometrium tissue using anti-PFKP mouse monoclonal antibody.

Product Details

Summary
Reactivity Hu, Mu, RtSpecies Glossary
Applications WB, Flow, ICC/IF, IHC, CyTOF-ready, KO
Clone
OTI1D6
Clonality
Monoclonal
Host
Mouse
Conjugate
Unconjugated
Format
Azide and BSA Free
Concentration
LYOPH
Validated by:
     

Genetic Strategies

   

Order Details

PFKP Antibody (OTI1D6) - Azide and BSA Free Summary

Description
Novus Biologicals Knockout (KO) Validated Mouse PFKP Antibody (OTI1D6) - Azide and BSA Free (NBP2-01539) is a monoclonal antibody validated for use in IHC, WB, Flow and ICC/IF. All Novus Biologicals antibodies are covered by our 100% guarantee.
Immunogen
Full length human recombinant protein of human PFKP(NP_002618) produced in HEK293T cell.
Isotype
IgG1
Clonality
Monoclonal
Host
Mouse
Gene
PFKP
Purity
Immunogen affinity purified
Innovator's Reward
Test in a species/application not listed above to receive a full credit towards a future purchase.

Applications/Dilutions

Dilutions
  • CyTOF-ready
  • Flow Cytometry 1:100
  • Immunocytochemistry/ Immunofluorescence 1:100
  • Immunohistochemistry 1:150
  • Immunohistochemistry-Paraffin
  • Knockout Validated
  • Western Blot 1:500-2000
Theoretical MW
85.4 kDa.
Disclaimer note: The observed molecular weight of the protein may vary from the listed predicted molecular weight due to post translational modifications, post translation cleavages, relative charges, and other experimental factors.

Reactivity Notes

Please note that this antibody is reactive to Mouse and derived from the same host, Mouse. Mouse-On-Mouse blocking reagent may be needed for IHC and ICC experiments to reduce high background signal. You can find these reagents under catalog numbers PK-2200-NB and MP-2400-NB. Please contact Technical Support if you have any questions.

Packaging, Storage & Formulations

Storage
Store at -20C. Avoid freeze-thaw cycles.
Buffer
Lyophilized from PBS (pH 7.3) with 8% Trehalose
Preservative
No Preservative
Concentration
LYOPH
Purity
Immunogen affinity purified
Reconstitution Instructions
we recommend adding 100uL distilled water to a final antibody concentration of about 1 mg/mL. To use this carrier-free antibody for conjugation experiment, we strongly recommend performing another round of desalting process.

Alternate Names for PFKP Antibody (OTI1D6) - Azide and BSA Free

  • 6-phosphofructokinase type C
  • 6-phosphofructokinase, platelet type
  • EC 2.7.1
  • EC 2.7.1.11
  • PFK-CFLJ40226
  • PFKFplatelet type
  • Phosphofructokinase 1
  • phosphofructokinase, platelet
  • phosphohexokinase

Background

The PFKP gene encodes the platelet isoform of phosphofructokinase (PFK) (ATP:D-fructose-6-phosphate-1-phosphotransferase, EC 2.7.1.11). PFK catalyzes the irreversible conversion of fructose-6-phosphate to fructose-1,6-bisphosphate and is a key regulatory enzyme in glycolysis. The PFKP gene, which maps to chromosome 10p, is also expressed in fibroblasts. See also the muscle (PFKM; MIM 610681) and liver (PFKL; MIM 171860) isoforms of phosphofructokinase, which map to chromosomes 12q13 and 21q22, respectively. Vora (1981) [PubMed 6451249] determined that full tetrameric phophofructokinase enzyme expressed in platelets can be composed of subunits P4, P3L, and P2L2.[supplied by OMIM]

Limitations

This product is for research use only and is not approved for use in humans or in clinical diagnosis. Primary Antibodies are guaranteed for 1 year from date of receipt.

Customers Who Viewed This Item Also Viewed...

NBP2-75578
Species: Hu, Mu, Rt
Applications: Flow, ICC/IF, IHC,  IHC-P, WB
NB110-39113
Species: Hu, Mu, Rb, Rt
Applications: ChIP, ChIP, Flow-IC, Flow, ICC/IF, IHC, IHC-Fr,  IHC-P, In vitro, Simple Western, WB
NBP2-32212
Species: Hu
Applications: IP, WB
423-F8
Species: Hu, Mu
Applications: BA
MAB1417
Species: Bv, Hu, Mu
Applications: ICC, IHC
739-G9
Species: Mu
Applications: BA
NBP2-13315
Species: Hu
Applications: ICC/IF, IHC,  IHC-P
NBP3-16285
Species: Hu
Applications: ICC/IF, IHC,  IHC-P, IP, WB
NBP2-02272
Species: Ca, Hu, Mu, Rt
Applications: Flow, ICC/IF, WB
NBP2-67503
Species: Hu, Mu, Rt
Applications: Flow, ICC/IF, IHC,  IHC-P, IP, WB
NB100-105
Species: Bv, Ca, Fe, Ma, Hu, Pm, Mu, Po, Pm, Rb, Rt, Sh, Xp
Applications: ChIP, ChIP, ELISA, Flow, GS, IA, IB, ICC/IF, IHC-FrFl, IHC, IHC-Fr,  IHC-P, IP, In vitro, KD, KO, LA, PLA, Simple Western, TCS, WB
NBP1-47778
Species: Hu, Mu, Rt
Applications: ICC/IF, IHC,  IHC-P, WB
NBP1-48336
Species: Bv, Hu, Mu, Po
Applications: ELISA, Flow, ICC/IF, IHC, IHC-Fr,  IHC-P, Simple Western, WB
NBP1-48308
Species: Bv, Hu, Mu, Rt
Applications: Flow, IB, ICC/IF, IHC,  IHC-P, IP, KD, Simple Western, WB
NBP1-81251
Species: Hu, Mu
Applications: ICC/IF, IHC, IHC-Fr,  IHC-P, Simple Western, WB
NB300-109
Species: Ch, Dr, Hu, I, Ma, Mu, Rt
Applications: Dual ISH-IHC, ICC/IF, IHC-FrFl, IHC-WhMt, IHC, IHC-Fr,  IHC-P, KO, Simple Western, WB
NBP1-59656
Species: Hu, Mu
Applications: ICC/IF, IHC,  IHC-P, KD, Simple Western, WB
AF3998
Species: Hu
Applications: WB
NBP2-73344
Species: Hu, Mu, Rt
Applications: WB, Flow, ICC/IF, IHC, CyTOF-ready, KO

Publications for PFKP Antibody (NBP2-73344) (0)

There are no publications for PFKP Antibody (NBP2-73344).
By submitting your publication information earn gift cards and discounts for future purchases.

Reviews for PFKP Antibody (NBP2-73344) (0)

There are no reviews for PFKP Antibody (NBP2-73344). By submitting a review you will receive an Amazon e-Gift Card or Novus Product Discount.
  • Review with no image -- $10/€7/£6/$10 CAD/¥70 Yuan/¥1110 Yen
  • Review with an image -- $25/€18/£15/$25 CAD/¥150 Yuan/¥2500 Yen

Product General Protocols

Find general support by application which include: protocols, troubleshooting, illustrated assays, videos and webinars.

Video Protocols

WB Video Protocol
ICC/IF Video Protocol

FAQs for PFKP Antibody (NBP2-73344) (0)

There are no specific FAQs related to this product. Read our general customer & technical service FAQs.

Secondary Antibodies

 

Isotype Controls

Additional PFKP Products

Research Areas for PFKP Antibody (NBP2-73344)

Find related products by research area.

Blogs on PFKP

There are no specific blogs for PFKP, but you can read our latest blog posts.

Customers Who Bought This Also Bought

Contact Information

Product PDFs

Calculators

Concentration Calculator

The concentration calculator allows you to quickly calculate the volume, mass or concentration of your vial. Simply enter your mass, volume, or concentration values for your reagent and the calculator will determine the rest.

=
÷

Review this Product

Be the first to review our PFKP Antibody (OTI1D6) - Azide and BSA Free and receive a gift card or discount.

Bioinformatics

Gene Symbol PFKP