PD-1 Antibody (PDCD1/7276R) - Azide and BSA Free

Images

 
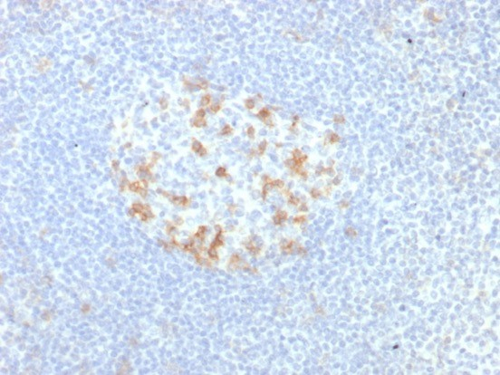
Formalin-fixed, paraffin-embedded human tonsil stained with PD-1 antibody (PDCD1/7276R). HIER: Tris/EDTA, pH9.0, 45min. Secondary: HRP-polymer, 30min. DAB, 5min.
Formalin-fixed, paraffin-embedded human tonsil stained with PD-1 antibody (PDCD1/7276R). Inset: PBS instead of primary antibody; secondary only negative control.

Product Details

Summary
Reactivity HuSpecies Glossary
Applications ELISA, IHC
Clone
PDCD1/7276R
Clonality
Monoclonal
Host
Rabbit
Conjugate
Unconjugated
Format
Azide and BSA Free
Concentration
1 mg/ml

Order Details

PD-1 Antibody (PDCD1/7276R) - Azide and BSA Free Summary

Description
Positive Controls: Human tonsil, lymph node or appendix.

Antibody with azide - store at 2 to 8C. Antibody without azide - store at -20 to -80C. Non-hazardous. No MSDS required.
Additional Information
Recombinant Monoclonal Antibody
Immunogen
Recombinant fragment corresponding to extracellular domain of human PD-1 protein (exact sequence is proprietary)
Localization
Cell surface. Cytoplasm.
Isotype
IgG Kappa
Clonality
Monoclonal
Host
Rabbit
Gene
PDCD1
Purity
Protein A or G purified
Innovator's Reward
Test in a species/application not listed above to receive a full credit towards a future purchase.

Applications/Dilutions

Dilutions
  • ELISA
  • Immunohistochemistry-Paraffin 1-2 ug/ml
Application Notes
ELISA: For coating, order antibody without BSA

Immunohistochemistry (Formalin-fixed): 1-2ug/ml for 30 minutes. at RT. Staining of formalin-fixed tissues requires heating tissue sections in 10mM Tris with 1mM EDTA, pH 9.0, for 45 min at 95C followed by cooling at RT for 20 minutes.

Optimal dilution for a specific application should be determined.

Packaging, Storage & Formulations

Storage
Store at -20 to -70C. Avoid freeze-thaw cycles.
Buffer
10mM PBS
Preservative
No Preservative
Concentration
1 mg/ml
Purity
Protein A or G purified

Alternate Names for PD-1 Antibody (PDCD1/7276R) - Azide and BSA Free

  • CD279 antigen
  • CD279
  • hPD-1
  • PD1
  • PD-1
  • PD1hPD-l
  • PDCD1
  • programmed cell death 1
  • programmed cell death protein 1
  • Protein PD-1
  • SLEB2

Background

PD1 is an inhibitory cell membrane surface receptor from the immunoglobulin superfamily. Involved in the regulation of T cell function during immunity and tolerance, PD1 inhibits T cell effector functions upon ligand binding. The protein is expressed in pro-B-cells and is thought to play a role in their differentiation as well. Studies have also suggested that this gene product may also contribute to the prevention of autoimmune diseases.

Limitations

This product is for research use only and is not approved for use in humans or in clinical diagnosis. Primary Antibodies are guaranteed for 1 year from date of receipt.

Customers Who Viewed This Item Also Viewed...

7268-CT
Species: Hu
Applications: BA
NBP1-76769
Species: Hu, Mu, Rt
Applications: Dual ISH-IHC, ELISA, Flow, ICC/IF, IHC-WhMt, IHC, IHC-Fr,  IHC-P, IP, KD, WB
NB100-524
Species: Hu, Mu
Applications: Flow-IC, Flow, ICC/IF, IHC, IHC-Fr,  IHC-P, IP, WB
NBP2-79843
Species: Hu
Applications: CyTOF-ready, ELISA, Flow, ICC/IF, IHC,  IHC-P, PA, WB
MAB1224
Species: Hu
Applications: IHC, WB
MAB140
Species: Hu
Applications: CyTOF-ready, Dual ISH-IHC, ELISA(Cap), ELISA(Det), ELISA(Sta), Flow, IHC, Neut
NBP1-19371
Species: Ca, Hu, Mu, Po, Rb, Rt
Applications: Dual ISH-IHC, Flow, ICC/IF, IHC, IHC-Fr,  IHC-P, Simple Western, WB
NBP1-49045
Species: Mu, Rt
Applications: Cell Depl, CyTOF-ready, Flow, ICC/IF, IHC, IHC-Fr,  IHC-P, IP, InhibTFunc
202-IL
Species: Hu
Applications: BA
DY417
Species: Mu
Applications: ELISA
MAB342
Species: Hu
Applications: AgAct, ICC, WB
AF169
Species: Hu
Applications: IHC, WB
NB100-39002
Species: Bv, Hu, Mu, Rt
Applications: Dual ISH-IHC, Flow, IB, ICC/IF, IHC,  IHC-P, IP, Single-Cell Western, WB
DR2A00
Species: Hu
Applications: ELISA
H00003669-M01
Species: Hu
Applications: ELISA, ICC/IF, S-ELISA, WB
AF2365
Species: Hu
Applications: CyTOF-ready, Dual ISH-IHC, Flow, IHC, KO, WB
NBP2-25208
Species: Hu, Mu, Rt
Applications: Flow, ICC/IF, IHC, IHC-Fr,  IHC-P, KO, Simple Western, WB
6507-IL/CF
Species: Hu
Applications: BA

Publications for PD-1 Antibody (NBP3-20952) (0)

There are no publications for PD-1 Antibody (NBP3-20952).
By submitting your publication information earn gift cards and discounts for future purchases.

Reviews for PD-1 Antibody (NBP3-20952) (0)

There are no reviews for PD-1 Antibody (NBP3-20952). By submitting a review you will receive an Amazon e-Gift Card or Novus Product Discount.
  • Review with no image -- $10/€7/£6/$10 CAD/¥70 Yuan/¥1110 Yen
  • Review with an image -- $25/€18/£15/$25 CAD/¥150 Yuan/¥2500 Yen

Product General Protocols

Find general support by application which include: protocols, troubleshooting, illustrated assays, videos and webinars.

FAQs for PD-1 Antibody (NBP3-20952) (0)

There are no specific FAQs related to this product. Read our general customer & technical service FAQs.

Secondary Antibodies

 

Isotype Controls

Additional PD-1 Products

Research Areas for PD-1 Antibody (NBP3-20952)

Find related products by research area.

Blogs on PD-1.

Unlocking the Potential of Biosimilars in Immuno-Oncology
By Jennifer Jones, M.S.Biosimilar Antibodies: Imitation Meets InnovationIn the ever-evolving medical landscape, a new class of pharmaceuticals is emerging as a game-changer, poised to transform the way we approach...  Read full blog post.

Tired T cells: Hypoxia Drives T cell Exhaustion in the Tumor Microenvironment
By Hunter MartinezThe paradigm shifting view of the immune system being leveraged to target cancer has led to numerous therapeutic breakthroughs. One major cell group responsible for this revelation is a T cell. ...  Read full blog post.

Synthetic Biotic Medicine as Immunotherapy Against Cancer: Evidence From Arginine-Producing Engineered Bacteria
By Jamshed Arslan, Pharm D, PhDWhat do nuts, dairy and red meat have in common? In addition to the fact that they are all edible, one of the answers is L-arginine. This amino acid improves T cell’s respons...  Read full blog post.

Thomson Reuters Predicts 2016 Nobel Prize Winners
Here at Bio-Techne we always look forward to the annual announcements of winners of the highly coveted Nobel Prize – the greatest award in science. How can you go about predicting which scientists might be in line for a life-changing phone-call fro...  Read full blog post.

Customers Who Bought This Also Bought

Contact Information

Product PDFs

Calculators

Concentration Calculator

The concentration calculator allows you to quickly calculate the volume, mass or concentration of your vial. Simply enter your mass, volume, or concentration values for your reagent and the calculator will determine the rest.

=
÷

Review this Product

Be the first to review our PD-1 Antibody (PDCD1/7276R) - Azide and BSA Free and receive a gift card or discount.

Bioinformatics

Gene Symbol PDCD1