PD-L1 Antibody [Unconjugated]

Images

 
Biological Strategies: Western blot shows lysates of RAW 264.7 mouse monocyte/macrophage cell line untreated (-) or treated (+) with 10 µg/mL LPS for 4 hours. PVDF membrane was probed with 0.5 µg/mL of Goat ...read more
Biological Strategies: RAW 264.7 mouse monocyte/macrophage cell line either treated with LPS overnight (filled histogram) or untreated (open histogram) was stained with Goat Anti-Mouse PD-L1/B7-H1 Antigen ...read more
HEK293 human embryonic kidney cell line transfected with either (A) mouse PD-L1/B7-H1 or (B) irrelevant transfectants and eGFP was stained with Goat Anti-Mouse PD-L1/B7-H1 Antigen Affinity-purified Polyclonal Antibody ...read more
Biological Strategies: Pyruvate kinase isoform M2 (PKM2) is required for LPS-induced expression of PD-L1. RAW cells (0.5 × 106 cells/ml) (A), bone marrow-derived macrophages (BMDMs) (B), or bone ...read more
Formalin-fixed paraffin-embedded tissue sections of mouse intestines were probed for PD-L1 mRNA (ACD RNAScope Probe, catalog #420508; Fast Red chromogen, ACD catalog # 322750). Adjacent tissue section was processed for ...read more
Protumor roles for TAMs and granulocytic myeloid-derived suppressor cells are obviated in neoantigen+ PDA.(A) Immunofluorescence staining of CB+ (nAg+) or CB– (nAg–) orthotopic tumors on day 21. Arrows show CD8+ T ...read more
Representative images (×20 magnification) of H&E and PD-L1 IHC-stained sections (A-C): (A) Nude mouse lymph node showing normal histology (H&E) and diffuse staining for PD-L1 (mouse) with vessels and cells within the ...read more
Representative images (×20 magnification) of H&E and PD-L1 IHC-stained sections (A-C): (A) Nude mouse lymph node showing normal histology (H&E) and diffuse staining for PD-L1 (mouse) with vessels and cells within the ...read more
Representative images (×20 magnification) of H&E and PD-L1 IHC-stained sections (A-C): (A) Nude mouse lymph node showing normal histology (H&E) and diffuse staining for PD-L1 (mouse) with vessels and cells within the ...read more
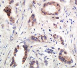
Human pancreas tissue from type 1 diabetic subjects express PD-L1. Human pancreas sections from type 1 diabetic (T1D), autoantibody positive (AA+), type 2 diabetic (T2D), and non-diabetic controls (NDB) were obtained ...read more

Product Details

Summary
Reactivity MuSpecies Glossary
Applications WB, Flow, IHC, CyTOF-ready, Dual ISH-IHC
Clonality
Polyclonal
Host
Goat
Conjugate
Unconjugated
Concentration
LYOPH
Validated by:
   

Biological Strategies

     

Order Details

PD-L1 Antibody [Unconjugated] Summary

Immunogen
Mouse myeloma cell line NS0-derived recombinant mouse PD-L1/B7-H1
Phe19-Thr238
Accession # Q9EP73
Specificity
Detects mouse PD-L1/B7-H1 in direct ELISAs and Western blots.
Source
N/A
Isotype
IgG
Clonality
Polyclonal
Host
Goat
Gene
CD274
Purity Statement
Antigen Affinity-purified
Innovator's Reward
Test in a species/application not listed above to receive a full credit towards a future purchase.

Applications/Dilutions

Dilutions
  • CyTOF-ready
  • Dual RNAscope ISH-IHC 5-15 ug/mL
  • Flow Cytometry 0.25 ug/10^6 cells
  • Immunohistochemistry 5-15 ug/mL
  • Western Blot 0.5 ug/mL
Reviewed Applications
Read 3 Reviews rated 4.7
using
AF1019 in the following applications:

Publications
Read Publications using
AF1019 in the following applications:

Packaging, Storage & Formulations

Storage
Use a manual defrost freezer and avoid repeated freeze-thaw cycles.
  • 12 months from date of receipt, -20 to -70 °C as supplied.
  • 1 month, 2 to 8 °C under sterile conditions after reconstitution.
  • 6 months, -20 to -70 °C under sterile conditions after reconstitution.
Buffer
Lyophilized from a 0.2 μm filtered solution in PBS with Trehalose. See Certificate of Analysis for details.
*Small pack size (-SP) is supplied either lyophilized or as a 0.2 µm filtered solution in PBS.
Preservative
No Preservative
Concentration
LYOPH
Reconstitution Instructions
Reconstitute at 0.2 mg/mL in sterile PBS. For liquid material, refer to CoA for concentration.

Notes

This product is produced by and ships from R&D Systems, Inc., a Bio-Techne brand.

Alternate Names for PD-L1 Antibody [Unconjugated]

  • Avelumab
  • B7-H
  • B7H1
  • B7-H1
  • B7H1PDCD1L1
  • CD274 antigenMGC142294
  • CD274 molecule
  • CD274
  • PDCD1L1
  • PDCD1LG1
  • PDCD1LG1MGC142296
  • PDL1
  • PD-L1
  • PD-L1B7 homolog 1
  • PDL1PDCD1 ligand 1
  • programmed cell death 1 ligand 1
  • Programmed death ligand 1

Background

Mouse B7 homolog 1(B7-H1), also called programmed death ligand 1 (PD-L1) and programmed cell death 1 ligand 1 (PDCD1L1), is a member of the B7 family of proteins that provide signals for regulating T-cell activation and tolerance (1‑4). Other family members include B7-1, B7-2, B7-H2, B7-H3 and PD-L2. B7 proteins are immunoglobulin (Ig) superfamily members with extracellular Ig-V-like and Ig-C-like domains and a short cytoplasmic region. Among the family members, they share from 20‑40% amino acid (aa) sequence identity. The cloned mouse B7-H1/PD-L1 cDNA encodes a 290 aa type I membrane precursor protein with a putative 18 aa signal peptide, a 220 aa extracellular region containing one V-like and one C-like Ig domain, a 22 aa transmembrane region, and a 30 aa cytoplasmic domain. Mouse and human B7-H1/PD-L1 share approximately 70% aa sequence identity. B7-H1/PD-L1 is one of two ligands for programmed death-1 (PD-1), a member of the CD28 family of immunoreceptors. The other identified ligand is PD-L2. Mouse B7-H1/PD-L1 and PD-L2 share approximately 34% aa sequence identity and have similar functions. B7-H1/PD-L1 is constitutively expressed in various lymphoid and non-lymphoid organs including placenta, heart, pancreas, lung, liver, and endothelium (1‑4). The expression of B7-H1/PD-L1 is detected on B cells, T cells, monocytes, dendritic cells and thymic epithelial cells. IFN-gamma treatment induces B7‑H1/PD‑L1 expression in monocytes, dendritic cells, and endothelial cells. B7-H1/PD-L1 expression is also upregulated in a variety of tumor cell lines. On previously activated T cells, B7-H1/PD-L1 interaction with PD-1 inhibits TCR-mediated proliferation and cytokine production, suggesting an inhibitory role in regulating immune responses. In contrast, a costimulatory function for the PD-1 ligands on resting T cells has also been reported (1‑4).

  1. Tamura, H. et al. (2001) Blood 97:1809.
  2. Freeman, G. et al. (2000) J. Exp. Med. 192:1027.
  3. Sharpe, A.H. and G. J. Freeman (2002) Nat. Rev. Immunol. 2:116.
  4. Coyle, A. and J. Gutierrez-Ramos (2001) Nat. Immunol. 2:203.

Limitations

This product is for research use only and is not approved for use in humans or in clinical diagnosis. Primary Antibodies are guaranteed for 1 year from date of receipt.

Customers Who Viewed This Item Also Viewed...

AF1086
Species: Hu
Applications: Block, CyTOF-ready, Dual ISH-IHC, ELISA(Cap), ELISA(Det), ELISA(Sta), Flow, IHC, WB
MAB1224
Species: Hu
Applications: IHC, WB
7268-CT
Species: Hu
Applications: BA
MAB140
Species: Hu
Applications: CyTOF-ready, Dual ISH-IHC, ELISA(Cap), ELISA(Det), ELISA(Sta), Flow, IHC, Neut
MAB7158
Species: Hu, Mu
Applications: IHC, WB
NB100-524
Species: Hu, Mu
Applications: Flow-IC, Flow, ICC/IF, IHC, IHC-Fr,  IHC-P, IP, WB
NBP2-79843
Species: Hu
Applications: CyTOF-ready, ELISA, Flow, ICC/IF, IHC,  IHC-P, PA, WB
DY417
Species: Mu
Applications: ELISA
NBP1-49045
Species: Mu, Rt
Applications: Cell Depl, CyTOF-ready, Flow, ICC/IF, IHC, IHC-Fr,  IHC-P, IP, InhibTFunc
NBP1-19371
Species: Ca, Hu, Mu, Po, Rb, Rt
Applications: Dual ISH-IHC, Flow, ICC/IF, IHC, IHC-Fr,  IHC-P, Simple Western, WB
485-MI
Species: Mu
Applications: BA
202-IL
Species: Hu
Applications: BA
NBP2-25208
Species: Hu, Mu, Rt
Applications: Flow, ICC/IF, IHC, IHC-Fr,  IHC-P, KO, Simple Western, WB
NBP1-72042
Species: Hu, Mu, Rt
Applications: ICC/IF, IHC,  IHC-P, PEP-ELISA, WB
MAB342
Species: Hu
Applications: AgAct, ICC, WB
NB100-39002
Species: Bv, Hu, Mu, Rt
Applications: Dual ISH-IHC, Flow, IB, ICC/IF, IHC,  IHC-P, IP, Single-Cell Western, WB
MAB165
Species: Hu
Applications: CyTOF-ready, Flow, Neut
6507-IL/CF
Species: Hu
Applications: BA
AF169
Species: Hu
Applications: IHC, WB

Publications for PD-L1 Antibody (AF1019)(70)

We have publications tested in 2 confirmed species: Human, Mouse.

We have publications tested in 9 applications: ELISA, Flow Cytometry, ICC, IHC, IHC-Fr, IHC-P, Immunocytochemistry, Immunohistochemistry, Western Blot.


Filter By Application
ELISA
(1)
Flow Cytometry
(3)
ICC
(2)
IHC
(8)
IHC-Fr
(2)
IHC-P
(6)
Immunocytochemistry
(1)
Immunohistochemistry
(7)
Western Blot
(16)
All Applications
Filter By Species
Human
(6)
Mouse
(37)
All Species
Showing Publications 1 - 10 of 70. Show All 70 Publications.
Publications using AF1019 Applications Species
Ghafoor, A;Zhu, L;Ohler, ZW;Meskini, RE;Atkinson, D;Day, A;Bassel, L;Wang, W;Ying, H;Calvo, KR;Pongor, L;Pommier, Y;Thomas, A;Sun, Y; HDAC inhibition unlocks tumor plasticity and enhances immunotherapy response in Myc-Driven Small Cell Lung Cancer bioRxiv : the preprint server for biology 2025-08-09 [PMID: 40970137] (Immunohistochemistry, Mouse) Immunohistochemistry Mouse
León-Letelier, RA;Sevillano-Mantas, AM;Chen, Y;Park, S;Vykoukal, J;Fahrmann, JF;Ostrin, EJ;Garrett, C;Dou, R;Cai, Y;Hsiao, FC;Dennison, JB;Vilar, E;Arun, BK;Hanash, S;Katayama, H; Citrullinated ENO1 Vaccine Enhances PD-1 Blockade in Mice Implanted with Murine Triple-Negative Breast Cancer Cells Vaccines 2025-06-11 [PMID: 40573960] (Immunohistochemistry, Mouse) Immunohistochemistry Mouse
Yahata, T;Toujima, S;Sasaki, I;Iwahashi, N;Fujino, M;Nishioka, K;Noguchi, T;Tanizaki-Horiuchi, Y;Kaisho, T;Ino, K; Adeno-associated virus-clustered regularly interspaced short palindromic repeats/cas9?mediated ovarian cancer treatment targeting PD-L1 BMC cancer 2025-04-22 [PMID: 40264105] (Western Blot, Mouse) Western Blot Mouse
Zhao, J;Wu, D;Liu, J;Zhang, Y;Li, C;Zhao, W;Cao, P;Wu, S;Li, M;Li, W;Liu, Y;Huang, Y;Cao, Y;Sun, Y;Yang, E;Ji, N;Yang, J;Chen, J; Disease-specific suppressive granulocytes participate in glioma progression Cell reports 2024-12-03 [PMID: 39630582] (Immunohistochemistry, Mouse) Immunohistochemistry Mouse
Jeong, H;Koh, J;Kim, S;Song, SG;Lee, SH;Jeon, Y;Lee, CH;Keam, B;Lee, SH;Chung, DH;Jeon, YK; Epithelial-mesenchymal transition induced by tumor cell-intrinsic PD-L1 signaling predicts a poor response to immune checkpoint inhibitors in PD-L1-high lung cancer British journal of cancer 2024-05-10 [PMID: 38729997] (Western Blot, Human) Western Blot Human
Wei CH, Huang L, Kreh B et al. A novel retinoic acid receptor-? agonist antagonizes immune checkpoint resistance in lung cancers by altering the tumor immune microenvironment Sci Rep 2023-09-09 [PMID: 37689790]
Rachdi, L;Zhou, Z;Berthault, C;Lourenço, C;Fouque, A;Domet, T;Armanet, M;You, S;Peakman, M;Mallone, R;Scharfmann, R; Tryptophan metabolism promotes immune evasion in human pancreatic beta cells EBioMedicine 2023-08-01 [PMID: 37536063] (Western Blot, Human) Western Blot Human
Zhang, W;Pan, X;Xu, Y;Guo, H;Zheng, M;Chen, X;Wu, H;Luan, F;He, Q;Ding, L;Yang, B; Mevalonate improves anti-PD-1/PD-L1 efficacy by stabilizing CD274 mRNA Acta Pharmaceutica Sinica B 2023-01-01 [PMID: 37425040] (Western Blot, Human) Western Blot Human
Shrestha, M;Wang, DY;Ben-David, Y;Zacksenhaus, E; CDK4/6 inhibitors and the pRB-E2F1 axis suppress PVR and PD-L1 expression in triple-negative breast cancer Oncogenesis 2023-05-26 [PMID: 37230983] (Western Blot, Mouse) Western Blot Mouse
Tseng, HJ;Banerjee, S;Qian, B;Lai, MJ;Wu, TY;Hsu, TI;Lin, TE;Hsu, KC;Chuang, KH;Liou, JP;Shih, JC; Design, synthesis, and biological activity of dual monoamine oxidase A and heat shock protein 90 inhibitors, N-Methylpropargylamine-conjugated 4-isopropylresorcinol for glioblastoma European journal of medicinal chemistry 2023-08-05 [PMID: 37172473] (Flow Cytometry, Mouse) Flow Cytometry Mouse
Show All 70 Publications.

Reviews for PD-L1 Antibody (AF1019) (3) 4.73

Average Rating: 4.7
(Based on 3 reviews)
We have 3 reviews tested in 2 species: Human, Mouse.

Reviews using AF1019:
Filter by Applications
WB
(2)
 IHC-P
(1)
All Applications
Filter by Species
Human
(1)
Mouse
(2)
All Species
Images Ratings Applications Species Date Details
Western Blot PD-L1 AF1019
Enlarge
5
reviewed by:
Verified Customer
WB Human 04/04/2020
View

Summary

ApplicationWestern Blot
Sample TestedBT549,input sample type here
SpeciesHuman
LotGGF0116111
Immunohistochemistry-Paraffin PD-L1 AF1019
Enlarge
5
reviewed by:
Verified Customer
 IHC-P Mouse 04/03/2020
View

Summary

ApplicationImmunohistochemistry-Paraffin
Sample TestedBreast cancer tissue
SpeciesMouse
LotGGF0117021
  4
reviewed by:
Verified Customer
WB Mouse 01/05/2015
View

Summary

ApplicationWestern Blot
Sample TestedSee PMID 23593203
SpeciesMouse

Product General Protocols

Find general support by application which include: protocols, troubleshooting, illustrated assays, videos and webinars.

Video Protocols

WB Video Protocol

FAQs for PD-L1 Antibody (AF1019) (0)

There are no specific FAQs related to this product. Read our general customer & technical service FAQs.

Secondary Antibodies

 

Isotype Controls

Additional PD-L1 Products

Blogs on PD-L1.

Unlocking the Potential of Biosimilars in Immuno-Oncology
By Jennifer Jones, M.S.Biosimilar Antibodies: Imitation Meets InnovationIn the ever-evolving medical landscape, a new class of pharmaceuticals is emerging as a game-changer, poised to transform the way we approach...  Read full blog post.

Synthetic Biotic Medicine as Immunotherapy Against Cancer: Evidence From Arginine-Producing Engineered Bacteria
By Jamshed Arslan, Pharm D, PhDWhat do nuts, dairy and red meat have in common? In addition to the fact that they are all edible, one of the answers is L-arginine. This amino acid improves T cell’s respons...  Read full blog post.

Customers Who Bought This Also Bought

Contact Information

Product PDFs

Calculators

Concentration Calculator

The concentration calculator allows you to quickly calculate the volume, mass or concentration of your vial. Simply enter your mass, volume, or concentration values for your reagent and the calculator will determine the rest.

=
÷

Recent Reviews

4.7
5
2
4
1
3
0
2
0
1
0

Verified Customer
04/04/2020
Application: WB
Species: Human

Verified Customer
04/03/2020
Application:  IHC-P
Species: Mouse

 
Verified Customer
01/05/2015
Application: WB
Species: Mouse

Bioinformatics

Gene Symbol CD274
Uniprot