PBR Antibody (SA90-03)

Images

 
Western Blot: PBR Antibody (SA90-03) [NBP2-67293] - Analysis of PBR on different cell lysates using anti-PBR antibody at 1/1,000 dilution. Positive control: Lane 1: 293T Lane 2: NIH/3T3 Lane 3: HepG2
Immunocytochemistry/ Immunofluorescence: PBR Antibody (SA90-03) [NBP2-67293] - ICC staining of PBR in PC-3M cells (green). Formalin fixed cells were permeabilized with 0.1% Triton X-100 in TBS for 10 minutes at room ...read more
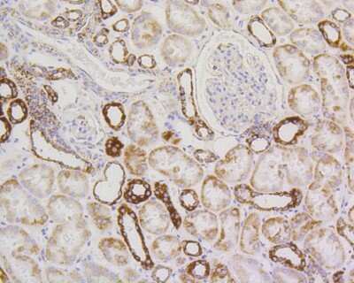
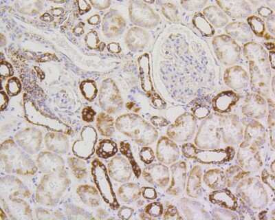
Immunohistochemistry-Paraffin: PBR Antibody (SA90-03) [NBP2-67293] - Immunohistochemical analysis of paraffin-embedded human kidney tissue using anti-PBR antibody. The section was pre-treated using heat mediated antigen ...read more
Flow Cytometry: PBR Antibody (SA90-03) [NBP2-67293] - Analysis of Hela cells with PBR antibody at 1/50 dilution (blue) compared with an unlabelled control (cells without incubation with primary antibody; red). Alexa ...read more
Immunocytochemistry/ Immunofluorescence: PBR Antibody (SA90-03) [NBP2-67293] - Staining PBR in Hela cells (green). The nuclear counter stain is DAPI (blue). Cells were fixed in paraformaldehyde, permeabilised with 0.25% ...read more
Immunocytochemistry/ Immunofluorescence: PBR Antibody (SA90-03) [NBP2-67293] - Staining PBR in PC-3M cells (green). The nuclear counter stain is DAPI (blue). Cells were fixed in paraformaldehyde, permeabilised with ...read more
Immunocytochemistry/ Immunofluorescence: PBR Antibody (SA90-03) [NBP2-67293] - Staining PBR in SW480 cells (green). Cells were fixed in paraformaldehyde, permeabilised with 0.25% Triton X100/PBS.
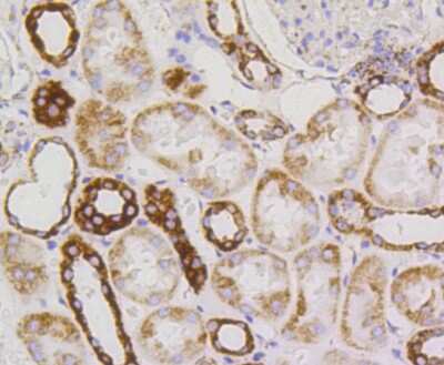
Immunohistochemistry-Paraffin: PBR Antibody (SA90-03) [NBP2-67293] - Analysis of paraffin-embedded human colon cancer tissue using anti-PBR antibody. Counter stained with hematoxylin.
Immunohistochemistry-Paraffin: PBR Antibody (SA90-03) [NBP2-67293] - Analysis of paraffin-embedded human kidney tissue using anti-PBR antibody. Counter stained with hematoxylin.
Immunohistochemistry-Paraffin: PBR Antibody (SA90-03) [NBP2-67293] - Analysis of paraffin-embedded mouse kidney tissue using anti-PBR antibody. Counter stained with hematoxylin.
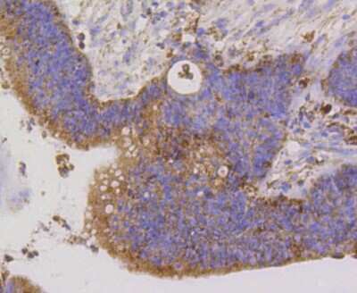
Immunohistochemistry-Paraffin: PBR Antibody (SA90-03) [NBP2-67293] - Analysis of paraffin-embedded mouse testis tissue using anti-PBR antibody. Counter stained with hematoxylin.

Product Details

Summary
Product Discontinued
View other related PBR Primary Antibodies

Order Details


    • Catalog Number
      NBP2-67293
    • Availability
      Product Discontinued

    Can't find what you are looking for? Use our Antibody Concierge Service & we will help you locate your antibody!

    Or feel free to contact us for alternative products.

PBR Antibody (SA90-03) Summary

Additional Information
Recombinant Monoclonal Antibody.
Immunogen
Synthetic peptide within Human PBR aa 120-169 / 169. (SwissProt: P30536 Human; SwissProt: P50637 Mouse)
Localization
Mitochondrion membrane
Isotype
IgG
Clonality
Monoclonal
Host
Rabbit
Gene
TSPO
Purity
Protein A purified
Innovator's Reward
Test in a species/application not listed above to receive a full credit towards a future purchase.

Applications/Dilutions

Dilutions
  • Flow Cytometry 1:50-1:100
  • Immunocytochemistry/ Immunofluorescence 1:50-1:200
  • Immunohistochemistry
  • Immunohistochemistry-Paraffin 1:50-1:400
  • Immunoprecipitation
  • Western Blot 1:500-1:5000

Packaging, Storage & Formulations

Storage
Store at 4C short term. Aliquot and store at -20C long term. Avoid freeze-thaw cycles.
Buffer
TBS (pH7.4), 0.05% BSA, 40% Glycerol
Preservative
0.05% Sodium Azide
Concentration
1 mg/ml
Purity
Protein A purified

Alternate Names for PBR Antibody (SA90-03)

  • benzodiazepine peripheral binding site
  • BZRPDBI
  • IBP
  • MBRPBS
  • mDRC
  • Mitochondrial benzodiazepine receptor
  • PBR
  • PBRBPBS
  • PBRS
  • peripheral benzodiazepine receptor
  • Peripheral-type benzodiazepine receptor
  • pk18
  • PKBSbenzodiazapine receptor (peripheral)
  • PTBR
  • translocator protein (18kDa)
  • translocator protein
  • TSPO

Background

Present mainly in the mitochondrial compartment of peripheral tissues, the protein encoded by this gene interacts with some benzodiazepines and has different affinities than its endogenous counterpart. The protein is a key factor in the flow of cholesterol into mitochondria to permit the initiation of steroid hormone synthesis. Alternate transcriptional splice variants, encoding different isoforms, have been characterized.

Limitations

This product is for research use only and is not approved for use in humans or in clinical diagnosis. Primary Antibodies are guaranteed for 1 year from date of receipt.

Customers Who Viewed This Item Also Viewed...

NBP1-62583
Species: Hu
Applications: WB
H00051776-M03
Species: Hu, Mu, Rt
Applications: ELISA, ICC/IF, IHC,  IHC-P, WB
MAB1455
Species: Hu
Applications: CyTOF-ready, Dual ISH-IHC, ICC, IHC, ICFlow, Simple Western, WB
DVE00
Species: Hu
Applications: ELISA
M6000B
Species: Mu
Applications: ELISA
DY417
Species: Mu
Applications: ELISA
NB100-56098
Species: Ca, Hu, Mu, Rt
Applications: IHC,  IHC-P, IP, WB
6507-IL/CF
Species: Hu
Applications: BA
485-MI
Species: Mu
Applications: BA
NB600-101
Species: Bv, Ha, Hu, Mu, Pm, Rt
Applications: B/N, DB, EM, Flow, ICC/IF, IHC,  IHC-P, IP, KD, PA, Simple Western, WB
202-IL
Species: Hu
Applications: BA
NBP1-33485
Species: Hu, Mu
Applications: ICC/IF, IHC,  IHC-P, WB
NBP1-19371
Species: Ca, Hu, Mu, Po, Rb, Rt
Applications: Dual ISH-IHC, Flow, ICC/IF, IHC, IHC-Fr,  IHC-P, Simple Western, WB
NB600-922
Species: Ch, Mu
Applications: ELISA, IHC, Single-Cell Western, WB
233-FB
Species: Hu
Applications: BA
NB100-124
Species: Bv, Ma, Hu, Mu, Pm, Rt, Sh
Applications: ChIP, CHIP-SEQ, GS, IB, ICC/IF, IHC,  IHC-P, IP, WB
MAB1417
Species: Bv, Hu, Mu
Applications: ICC, IHC
NB100-128
Species: Hu, Mu, Rt
Applications: ChIP, GS, ICC/IF, IHC,  IHC-P, WB
NB100-1533
Species: Hu, Mu, Po, Rt, Sh
Applications: Flow, ICC/IF, IHC,  IHC-P, PEP-ELISA, WB

Publications for PBR Antibody (NBP2-67293) (0)

There are no publications for PBR Antibody (NBP2-67293).
By submitting your publication information earn gift cards and discounts for future purchases.

Reviews for PBR Antibody (NBP2-67293) (0)

There are no reviews for PBR Antibody (NBP2-67293). By submitting a review you will receive an Amazon e-Gift Card or Novus Product Discount.
  • Review with no image -- $10/€7/£6/$10 CAD/¥70 Yuan/¥1110 Yen
  • Review with an image -- $25/€18/£15/$25 CAD/¥150 Yuan/¥2500 Yen

Product General Protocols

Video Protocols

WB Video Protocol
ICC/IF Video Protocol

FAQs for PBR Antibody (NBP2-67293) (0)

There are no specific FAQs related to this product. Read our general customer & technical service FAQs.

Secondary Antibodies

 

Isotype Controls

Additional PBR Products

Research Areas for PBR Antibody (NBP2-67293)

Find related products by research area.

Blogs on PBR

There are no specific blogs for PBR, but you can read our latest blog posts.

Contact Information

Product PDFs

Calculators

Concentration Calculator

The concentration calculator allows you to quickly calculate the volume, mass or concentration of your vial. Simply enter your mass, volume, or concentration values for your reagent and the calculator will determine the rest.

=
÷

Review this Product

Be the first to review our PBR Antibody (SA90-03) and receive a gift card or discount.

Bioinformatics

Gene Symbol TSPO