| Immunogen | This antibody was developed against Recombinant Protein corresponding to amino acids: LKGLGDMFRIQAKTREFRERQARERDYAEIQDFHRTFGCDDELMYGGVSSYEGSMALNARPQSPREGHMMDALYAQVKKPRNSKPSPVDSNR |
| Specificity | Specificity of human PARD3/Par3 antibody verified on a Protein Array containing target protein plus 383 other non-specific proteins. |
| Isotype | IgG |
| Clonality | Polyclonal |
| Host | Rabbit |
| Gene | PARD3 |
| Purity | Immunogen affinity purified |
| Innovator's Reward | Test in a species/application not listed above to receive a full credit towards a future purchase. |
| Dilutions |
|
||
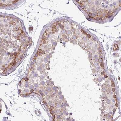
| Application Notes | ICC/IF reported in the literature (PMID:28923978). ICC/IF Fixation Permeabilization: Use PFA/Triton X-100. IHC-Paraffin HIER pH6 retrieval is recommended. In Simple Western only 10 - 15 uL of the recommended dilution is used per data point. PARD3/Par3 antibody validated for ICC/IF from verified customer reviews. |
||
| Control Peptide |
|
||
| Reviewed Applications |
|
||
| Publications |
|
| Storage | Store at 4C short term. Aliquot and store at -20C long term. Avoid freeze-thaw cycles. |
| Buffer | PBS (pH 7.2) and 40% Glycerol |
| Preservative | 0.02% Sodium Azide |
| Purity | Immunogen affinity purified |
| Images | Ratings | Applications | Species | Date | Details | ||||||||||||||||||||||||||
|---|---|---|---|---|---|---|---|---|---|---|---|---|---|---|---|---|---|---|---|---|---|---|---|---|---|---|---|---|---|---|---|
|
Enlarge |
reviewed by:
enke baldini |
IF | Human | 04/29/2014 |
Summary
Blocking
Primary Anitbody
Secondary Antibody
Details
Comments
|
||||||||||||||||||||||||||
Enlarge |
reviewed by:
Andrew Cosgrove |
ICC | Mouse | 11/07/2013 |
Summary
Blocking
Primary Anitbody
Secondary Antibody
Details
Comments
|
Secondary Antibodies |
Isotype Controls |
Diseases for PARD3/Par3 Antibody (NBP1-88861)Discover more about diseases related to PARD3/Par3 Antibody (NBP1-88861).
| Pathways for PARD3/Par3 Antibody (NBP1-88861)View related products by pathway.
|

The concentration calculator allows you to quickly calculate the volume, mass or concentration of your vial. Simply enter your mass, volume, or concentration values for your reagent and the calculator will determine the rest.
5 | |
4 | |
3 | |
2 | |
1 |
| enke baldini 04/29/2014 |
||
| Application: | IF | |
| Species: | Human |
| Andrew Cosgrove 11/07/2013 |
||
| Application: | ICC | |
| Species: | Mouse |
| Gene Symbol | PARD3 |