PABPC4 Antibody

Images

 
Western Blot: PABPC4 Antibody [NBP2-97931] - Lane A: U-251 MG Whole Cell LysateLysates/proteins at 30 ug per lane.SecondaryGoat Anti-Rabbit IgG (H+L)/HRP at 1/10000 dilution.Developed using the ECL technique.Performed ...read more
Immunocytochemistry/ Immunofluorescence: PABPC4 Antibody [NBP2-97931] - Immunofluorescence staining of PABPC4 in U2OS cells. Cells were fixed with 4% PFA, permeabilzed with 0.1% Triton X-100 in PBS, blocked with 10% ...read more
Immunohistochemistry-Paraffin: PABPC4 Antibody [NBP2-97931] - Staining of human PABPC4 in human small intestine with rabbit polyclonal antibody at 1:2500 dilution.
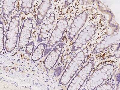
Immunohistochemistry-Paraffin: PABPC4 Antibody [NBP2-97931] - Staining of human PABPC4 in human rectum with rabbit polyclonal antibody at 1:2500 dilution.
Immunoprecipitation: PABPC4 Antibody [NBP2-97931] - Lane A:0.5 mg U-251 MG Whole Cell Lysate1 uL anti-PABPC4 rabbit polyclonal antibody and 60 ug of Immunomagnetic beads Protein A/G.Primary antibody:Anti-PABPC4 rabbit ...read more

Product Details

Summary
Product Discontinued
View other related PABPC4 Primary Antibodies

Order Details


    • Catalog Number
      NBP2-97931
    • Availability
      Product Discontinued

    Can't find what you are looking for? Use our Antibody Concierge Service & we will help you locate your antibody!

    Or feel free to contact us for alternative products.

PABPC4 Antibody Summary

Description
This antibody can be stored at 2C to 8C for one month without detectable loss of activity. Antibody products are stable for twelve months from date of receipt when stored at -20C to -80C. Avoid repeated freeze-thaw cycles.
Immunogen
Produced in rabbits immunized with E. coli-derived Human PABPC4 fragment.
Isotype
IgG
Clonality
Polyclonal
Host
Rabbit
Gene
PABPC4
Purity
Antigen Affinity-purified
Innovator's Reward
Test in a species/application not listed above to receive a full credit towards a future purchase.

Applications/Dilutions

Dilutions
  • Immunocytochemistry/ Immunofluorescence 1:500-1:2500
  • Immunohistochemistry 1:1000-1:5000
  • Immunohistochemistry-Paraffin 1:1000-1:5000
  • Immunoprecipitation 1-2 uL/mg of lysate
  • Western Blot 1:500-1:1000

Packaging, Storage & Formulations

Storage
Store at 4C short term. Aliquot and store at -20C long term. Avoid freeze-thaw cycles.
Buffer
PBS (pH 7.0)
Preservative
0.03% Proclin 300
Purity
Antigen Affinity-purified

Alternate Names for PABPC4 Antibody

  • APP1FLJ43938
  • APP-1PABP-4
  • Inducible poly(A)-binding protein
  • IPABP
  • iPABPpoly(A)-binding protein, cytoplasmic 4 (inducible form)
  • PABP4Activated-platelet protein 1
  • poly(A) binding protein, cytoplasmic 4 (inducible form)
  • Poly(A)-binding protein 4
  • polyadenylate-binding protein 4

Background

Poly(A)-binding proteins (PABPs) bind to the poly(A) tail present at the 3-prime ends of most eukaryotic mRNAs. PABPC4 or IPABP (inducible PABP) was isolated as an activation-induced T-cell mRNA encoding a protein. Activation of T cells increased PABPC4 mRNA levels in T cells approximately 5-fold. PABPC4 contains 4 RNA-binding domains and proline-rich C terminus. PABPC4 is localized primarily to the cytoplasm. It is suggested that PABPC4 might be necessary for regulation of stability of labile mRNA species in activated T cells. PABPC4 was also identified as an antigen, APP1 (activated-platelet protein-1), expressed on thrombin-activated rabbit platelets. PABPC4 may also be involved in the regulation of protein translation in platelets and megakaryocytes or may participate in the binding or stabilization of polyadenylates in platelet dense granules.

Limitations

This product is for research use only and is not approved for use in humans or in clinical diagnosis. Primary Antibodies are guaranteed for 1 year from date of receipt.

Customers Who Viewed This Item Also Viewed...

NB120-6125
Species: Bv, Ca, Dr(-), Hu, Mu(-), Pm, Xp
Applications: CyTOF-ready, ELISA, Flow, ICC/IF, IP, MiAr, WB
202-IL
Species: Hu
Applications: BA
AF5228
Species: Hu
Applications: WB
M6000B
Species: Mu
Applications: ELISA
NBP2-13075
Species: Ba, Hu, Pm, Mu, Rt
Applications: DB, ELISA, IB, ICC/IF, IHC-FrFl, IHC, IHC-Fr,  IHC-P, IP, WB
251-KG
Species: Hu
Applications: BA
NBP2-15061
Species: Hu
Applications: ICC/IF, IHC,  IHC-P, IP, WB
NBP1-86535
Species: Hu
Applications: IHC,  IHC-P
212-GD
Species: Hu
Applications: Bind, BA
NB100-81798
Species: Hu, Mu, Rt
Applications: ICC/IF, IHC,  IHC-P, WB
NBP2-02105
Species: Hu, Mu, Rt
Applications: Flow, ICC/IF, IHC,  IHC-P, WB
QET00B
Species: Hu
Applications: ELISA
NBP2-14871
Species: Mu, Rt
Applications: ICC/IF, WB
NB120-2860
Species: Ba, Bv, Ch, Hu, Mu, Rt
Applications: ELISA, Flow, ICC/IF, IHC,  IHC-P, WB
NBP2-15669
Species: Mu, Rt, Ze
Applications: IHC-WhMt, IHC, WB
DY1707
Species: Hu
Applications: ELISA
NBP1-18910
Species: Hu, Mu, Rt
Applications: ICC/IF, IHC, IHC-Fr,  IHC-P, IP, Simple Western, WB
NBP2-47405
Species: Hu
Applications: IHC,  IHC-P
AF1042
Species: Mu
Applications: Dual ISH-IHC, IHC, WB

Publications for PABPC4 Antibody (NBP2-97931) (0)

There are no publications for PABPC4 Antibody (NBP2-97931).
By submitting your publication information earn gift cards and discounts for future purchases.

Reviews for PABPC4 Antibody (NBP2-97931) (0)

There are no reviews for PABPC4 Antibody (NBP2-97931). By submitting a review you will receive an Amazon e-Gift Card or Novus Product Discount.
  • Review with no image -- $10/€7/£6/$10 CAD/¥70 Yuan/¥1110 Yen
  • Review with an image -- $25/€18/£15/$25 CAD/¥150 Yuan/¥2500 Yen

Product General Protocols

Find general support by application which include: protocols, troubleshooting, illustrated assays, videos and webinars.

Video Protocols

WB Video Protocol
ICC/IF Video Protocol

FAQs for PABPC4 Antibody (NBP2-97931) (0)

There are no specific FAQs related to this product. Read our general customer & technical service FAQs.

Contact Information

Product PDFs

Calculators

Concentration Calculator

The concentration calculator allows you to quickly calculate the volume, mass or concentration of your vial. Simply enter your mass, volume, or concentration values for your reagent and the calculator will determine the rest.

=
÷

Review this Product

Be the first to review our PABPC4 Antibody and receive a gift card or discount.

Bioinformatics

Gene Symbol PABPC4