p63/TP73L Antibody (rP40/8765) - Azide and BSA Free

Images

 
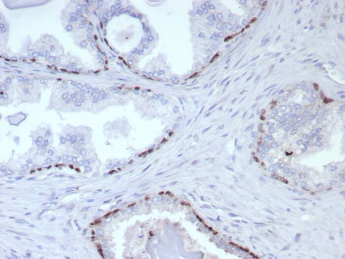
Formalin-fixed, paraffin-embedded human prostate cancer stained with p63/TP73L antibody (rP40/8765). HIER: Tris/EDTA, pH9.0, 45min. Secondary: HRP-polymer, 30min. DAB, 5min.
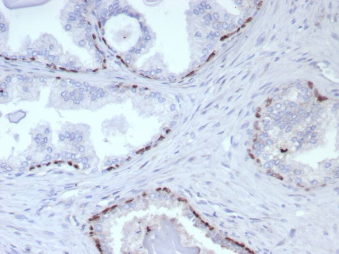
Formalin-fixed, paraffin-embedded human prostate cancer stained with p63 Recombinant Mouse Monoclonal Antibody (rP40/8765). HIER: Tris/EDTA, pH9.0, 45min. 2: HRP-polymer, 30min. DAB, 5min.

Product Details

Summary
Reactivity HuSpecies Glossary
Applications IHC
Clone
rP40/8765
Clonality
Monoclonal
Host
Mouse
Conjugate
Unconjugated
Format
Azide and BSA Free
Concentration
1 mg/ml

Order Details

p63/TP73L Antibody (rP40/8765) - Azide and BSA Free Summary

Description
Positive Controls: Human prostate, lung or bladder squamous cell carcinoma tissue.

Antibody with azide - store at 2 to 8C. Antibody without azide - store at -20 to -80C. Non-hazardous. No MSDS required.
Additional Information
Recombinant Monoclonal Antibody
Immunogen
Recombinant fragment (around aa1-200) of human p63/TP73L protein (exact sequence is proprietary)
Localization
Nucleus.
Isotype
IgG2a Kappa
Clonality
Monoclonal
Host
Mouse
Gene
TP63
Purity
Protein A purified
Innovator's Reward
Test in a species/application not listed above to receive a full credit towards a future purchase.

Applications/Dilutions

Dilutions
  • Immunohistochemistry-Paraffin 1-2 ug/ml
Application Notes
Immunohistochemistry (Formalin-fixed): 1-2ug/ml for 30 minutes. at RT. Staining of formalin-fixed tissues requires heating tissue sections in 10mM Tris with 1mM EDTA, pH 9.0, for 45 min at 95C followed by cooling at RT for 20 minutes.

Optimal dilution for a specific application should be determined.

Packaging, Storage & Formulations

Storage
Store at -20 to -70C. Avoid freeze-thaw cycles.
Buffer
10mM PBS
Preservative
No Preservative
Concentration
1 mg/ml
Purity
Protein A purified

Alternate Names for p63/TP73L Antibody (rP40/8765) - Azide and BSA Free

  • amplified in squamous cell carcinoma
  • Chronic ulcerative stomatitis protein
  • CUSP
  • EEC3
  • EEC3B(p51B)
  • Keratinocyte transcription factor KET
  • KET
  • KETRHS
  • LMS
  • OFC8
  • OFC8SHFM4TP73LNBP
  • p40
  • p51
  • p51tumor protein p53-like
  • p53CP
  • p63
  • p63AIS
  • p73H
  • p73L
  • p73LB(p51A)
  • SHFM4
  • TP53CP
  • TP53L
  • TP63
  • TP73L
  • Transformation-related protein 63
  • tumor protein 63
  • tumor protein p53-competing protein
  • tumor protein p63 deltaN isoform delta
  • tumor protein p63
  • Tumor protein p73-like

Background

The p63 gene, a homologue of the tumor suppressor p53, is highly expressed in the basal or progenitor layers of many epithelial tissues. P63 shows remarkable structural similarity to p53 and to the related p73 gene. Unlike p53, the p63 gene encodes multiple isotypes with remarkably divergent abilities to transactivate p53 reporter genes and induce apoptosis.

Limitations

This product is for research use only and is not approved for use in humans or in clinical diagnosis. Primary Antibodies are guaranteed for 1 year from date of receipt.

Customers Who Viewed This Item Also Viewed...

NB200-103
Species: Hu, Mu, Rt, Xp(-), Ye
Applications: CyTOF-ready, ELISA, Flow-IC, Flow, ICC/IF, IHC, IHC-Fr,  IHC-P, IP, WB
AF7355
Species: Hu
Applications: ICC, Simple Western, WB
NBP2-24737
Species: Hu, Mu, Rt
Applications: ChIP, CyTOF-ready, Flow-IC, Flow, ICC/IF, IHC, IHC-Fr,  IHC-P, IP, Simple Western, WB
NBP1-84161
Species: Hu
Applications: IHC,  IHC-P
1290-IL
Species: Hu
Applications: BA
NB200-106
Species: Mu, Rt
Applications: ELISA, ICC/IF, IHC, IHC-Fr,  IHC-P, WB
DY417
Species: Mu
Applications: ELISA
485-MI
Species: Mu
Applications: BA
NBP3-13279
Species: Hu, Mu, Rt
Applications: ICC/IF, IHC,  IHC-P, WB
419-ML
Species: Mu
Applications: BA
AF3770
Species: Hu, Mu, Rt
Applications: IHC, Simple Western, WB
2428-FC
Species: Hu
Applications: Bind
NBP1-91931
Species: Hu
Applications: ICC/IF, IHC,  IHC-P, WB
NBP1-89530
Species: Hu
Applications: ICC/IF, IHC,  IHC-P, WB
NBP1-92564
Species: Hu
Applications: ICC/IF, IHC,  IHC-P
NBP2-29463
Species: Pm, Hu, Pm, Mu
Applications: Flow, ICC/IF, IHC,  IHC-P, WB
NBP2-34270
Species: Hu, Mu, Rt
Applications: Flow, ICC/IF, IHC, IHC-Fr,  IHC-P, Simple Western
NBP2-61931
Species: Hu, Rt
Applications: Flow, ICC/IF, IHC,  IHC-P, WB
NBP3-20791
Species: Hu
Applications: IHC

Publications for p63/TP73L Antibody (NBP3-20791) (0)

There are no publications for p63/TP73L Antibody (NBP3-20791).
By submitting your publication information earn gift cards and discounts for future purchases.

Reviews for p63/TP73L Antibody (NBP3-20791) (0)

There are no reviews for p63/TP73L Antibody (NBP3-20791). By submitting a review you will receive an Amazon e-Gift Card or Novus Product Discount.
  • Review with no image -- $10/€7/£6/$10 CAD/¥70 Yuan/¥1110 Yen
  • Review with an image -- $25/€18/£15/$25 CAD/¥150 Yuan/¥2500 Yen

Product General Protocols

Find general support by application which include: protocols, troubleshooting, illustrated assays, videos and webinars.

FAQs for p63/TP73L Antibody (NBP3-20791) (0)

There are no specific FAQs related to this product. Read our general customer & technical service FAQs.

Secondary Antibodies

 

Isotype Controls

Additional p63/TP73L Products

Research Areas for p63/TP73L Antibody (NBP3-20791)

Find related products by research area.

Blogs on p63/TP73L.

Spheroids vs. Organoids: Which 3D Cell Culture Model is Best for You?
By Jennifer Jones, M.S.Spheroids and organoids are two words that, like “butter” and “margarine”, are often referred to interchangeably but have distinct meanings. The progression and adopt...  Read full blog post.

Customers Who Bought This Also Bought

Contact Information

Product PDFs

Calculators

Concentration Calculator

The concentration calculator allows you to quickly calculate the volume, mass or concentration of your vial. Simply enter your mass, volume, or concentration values for your reagent and the calculator will determine the rest.

=
÷

Review this Product

Be the first to review our p63/TP73L Antibody (rP40/8765) - Azide and BSA Free and receive a gift card or discount.

Bioinformatics

Gene Symbol TP63