OXCT1 Antibody - BSA Free

Images

 
Orthogonal Strategies: Immunohistochemistry-Paraffin: OXCT1 Antibody [NBP1-82462] - Analysis in human heart muscle and liver tissues. Corresponding OXCT1 RNA-seq data are presented for the same tissues.
Independent Antibodies: Immunohistochemistry-Paraffin: OXCT1 Antibody [NBP1-82462] - Staining of human heart muscle, kidney, liver and testis using Anti-OXCT1 antibody NBP1-82462 (A) shows similar protein ...read more
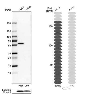
Orthogonal Strategies: Western Blot: OXCT1 Antibody [NBP1-82462] - Analysis in human cell lines HeLa and A-549. Corresponding RNA-seq data are presented for the same cell lines. Loading control: Anti-COX4I1.
Western Blot: OXCT1 Antibody [NBP1-82462] - Analysis in mouse cell line NIH-3T3 and rat cell line NBT-II.
Immunocytochemistry/ Immunofluorescence: OXCT1 Antibody [NBP1-82462] - Staining of human cell line A-431 shows localization to mitochondria. Antibody staining is shown in green.
Immunohistochemistry-Paraffin: OXCT1 Antibody [NBP1-82462] - Staining of human liver shows no positivity in hepatocytes as expected.
Immunohistochemistry-Paraffin: OXCT1 Antibody [NBP1-82462] - Staining of human heart muscle shows strong cytoplasmic positivity in cardiomyocytes.
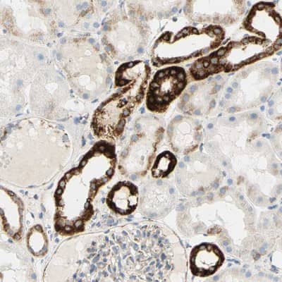
Immunohistochemistry-Paraffin: OXCT1 Antibody [NBP1-82462] - Staining of human kidney shows strong cytoplasmic positivity in cells in tubules.

Product Details

Summary
Reactivity Hu, Mu, RtSpecies Glossary
Applications WB, ICC/IF, IHC
Clonality
Polyclonal
Host
Rabbit
Conjugate
Unconjugated
Format
BSA Free

Order Details

View Available Formulations
Catalog# & Formulation Size Price

OXCT1 Antibody - BSA Free Summary

Description
Novus Biologicals Rabbit OXCT1 Antibody - BSA Free (NBP1-82462) is a polyclonal antibody validated for use in IHC, WB and ICC/IF. Anti-OXCT1 Antibody: Cited in 3 publications. All Novus Biologicals antibodies are covered by our 100% guarantee.
Immunogen
This antibody was developed against Recombinant Protein corresponding to amino acids: VGGFGLCGIPENLIDALLKTGVKGLTAVSNNAGVDNFGLGLLLRSKQIKRMVSSYVGENAEFERQYLSGELEVELTPQGTLAERIRAGGAGVPAFYTPTGYGTLVQEGGSPIKYNKDGSVAIASKPREVREFNGQHFILEEAITGDF
Isotype
IgG
Clonality
Polyclonal
Host
Rabbit
Gene
OXCT1
Purity
Affinity purified
Innovator's Reward
Test in a species/application not listed above to receive a full credit towards a future purchase.

Applications/Dilutions

Dilutions
  • Immunocytochemistry/ Immunofluorescence 0.25-2 ug/ml
  • Immunohistochemistry 1:500 - 1:1000
  • Immunohistochemistry-Paraffin 1:500 - 1:1000
  • Western Blot 0.04-0.4 ug/ml
Application Notes
For IHC-Paraffin, HIER pH 6 retrieval is recommended. ICC/IF Fixation Permeabilization: Use PFA/Triton X-100.
Theoretical MW
56 kDa.
Disclaimer note: The observed molecular weight of the protein may vary from the listed predicted molecular weight due to post translational modifications, post translation cleavages, relative charges, and other experimental factors.
Control Peptide
OXCT1 Recombinant Protein Antigen (NBP1-82462PEP)
Publications
Read Publications using
NBP1-82462 in the following applications:

Packaging, Storage & Formulations

Storage
Store at 4C short term. Aliquot and store at -20C long term. Avoid freeze-thaw cycles.
Buffer
PBS (pH 7.2) and 40% Glycerol
Preservative
0.02% Sodium Azide
Purity
Affinity purified

Alternate Names for OXCT1 Antibody - BSA Free

  • 3-oxoacid CoA transferase 1,3-oxoacid CoA transferase
  • EC 2.8.3
  • EC 2.8.3.5
  • SCOTmitochondrial

Background

OXCT1 encodes a member of the 3-oxoacid CoA-transferase gene family. The encoded protein is a homodimeric mitochondrial matrix enzyme that plays a central role in extrahepatic ketone body catabolism by catalyzing the reversible transfer of coenzyme A from succinyl-CoA to acetoacetate. Mutations in this gene are associated with succinyl CoA:3-oxoacid CoA transferase deficiency. [provided by RefSeq]

Limitations

This product is for research use only and is not approved for use in humans or in clinical diagnosis. Primary Antibodies are guaranteed for 1 year from date of receipt.

Customers Who Viewed This Item Also Viewed...

NBP1-81838
Species: Hu, Mu
Applications: IHC,  IHC-P, WB
NBP3-03109
Species: Hu, Mu
Applications: IHC,  IHC-P, WB
NBP2-67375
Species: Hu, Mu, Rt
Applications: ChIP, ICC/IF, IHC,  IHC-P, WB
NBP1-89284
Species: Hu, Po
Applications: ICC/IF, IHC,  IHC-P, KD, WB
664-LI
Species: Hu
Applications: BA
NBP2-38861
Species: Hu
Applications: ICC/IF, IHC,  IHC-P
AF3844
Species: Hu, Mu
Applications: IHC
NBP1-88673
Species: Hu, Rt
Applications: ICC/IF, IHC, IHC-Fr,  IHC-P, WB
NB400-141
Species: Ha, Hu, Mu
Applications: ICC/IF, IP, WB
NBP2-33908
Species: Hu
Applications: ICC/IF, IHC,  IHC-P, WB
1073-BP
Species: Hu
Applications: Bind
MAB1417
Species: Bv, Hu, Mu
Applications: ICC, IHC
NBP1-32109
Species: Hu, Mu, Rt
Applications: ICC/IF, IHC,  IHC-P, WB
NB100-53791
Species: Hu, Mu, Rt
Applications: IHC,  IHC-P, PEP-ELISA, WB
AF009
Species: Hu
Applications: IHC, WB
NB400-114
Species: Ch, Fe, Ha, Hu, Mu, Pl, Po, Pm, Rt
Applications: ICC/IF, IHC,  IHC-P, IP, KD, WB
AF1073
Species: Hu
Applications: IHC, WB
NLS272
Species: Ha, Hu, Pm, Mu, Rb, Rt
Applications: IHC, IHC-Fr,  IHC-P

Publications for OXCT1 Antibody (NBP1-82462)(3)

Reviews for OXCT1 Antibody (NBP1-82462) (0)

There are no reviews for OXCT1 Antibody (NBP1-82462). By submitting a review you will receive an Amazon e-Gift Card or Novus Product Discount.
  • Review with no image -- $10/€7/£6/$10 CAD/¥70 Yuan/¥1110 Yen
  • Review with an image -- $25/€18/£15/$25 CAD/¥150 Yuan/¥2500 Yen

Product General Protocols

Find general support by application which include: protocols, troubleshooting, illustrated assays, videos and webinars.

Video Protocols

WB Video Protocol
ICC/IF Video Protocol

FAQs for OXCT1 Antibody (NBP1-82462) (0)

There are no specific FAQs related to this product. Read our general customer & technical service FAQs.

Secondary Antibodies

 

Isotype Controls

Additional OXCT1 Products

Research Areas for OXCT1 Antibody (NBP1-82462)

Find related products by research area.

Blogs on OXCT1

There are no specific blogs for OXCT1, but you can read our latest blog posts.

Customers Who Bought This Also Bought

Contact Information

Product PDFs

Calculators

Concentration Calculator

The concentration calculator allows you to quickly calculate the volume, mass or concentration of your vial. Simply enter your mass, volume, or concentration values for your reagent and the calculator will determine the rest.

=
÷

Review this Product

Be the first to review our OXCT1 Antibody - BSA Free and receive a gift card or discount.

Bioinformatics

Gene Symbol OXCT1
Entrez
Uniprot