OXCT1 Products

Antibodies
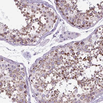
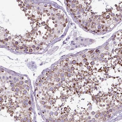
OXCT1 Antibody - BSA Free
OXCT1 Antibody - BSA Free
Species: Hu, Mu, Rt
Applications: WB, ICC/IF, IHC
Host: Rabbit Polyclonal
Formulation Catalog # Availability Price  
OXCT1 Antibody - BSA Free
OXCT1 Antibody - BSA Free
NBP2-49331
Species: Hu
Applications: ICC/IF, IHC
Host: Rabbit Polyclonal
Formulation Catalog # Availability Price  
OXCT1 Antibody - Azide and BS ...
OXCT1 Antibody - Azide and BSA Free
H00005019-D01P
Species: Hu, Mu
Applications: WB
Host: Rabbit Polyclonal
ELISA Kits
Human OXCT1 ELISA Kit (Colori ...
Human OXCT1 ELISA Kit (Colorimetric)
NBP3-31017
Species: Hu
Applications: ELISA
Human OXCT1 - Ready-To-Use E ...
Human OXCT1 - Ready-To-Use ELISA ...
NBP3-31018
Species: Hu
Applications: ELISA
Lysates
OXCT1 Overexpression Lysate
OXCT1 Overexpression Lysate
NBL1-14018
Species: Hu
Applications: WB
Proteins
OXCT1 Recombinant Protein Ant ...
OXCT1 Recombinant Protein Antigen
NBP2-49331PEP
Species: Hu
Applications: AC
OXCT1 Recombinant Protein Ant ...
OXCT1 Recombinant Protein Antigen
NBP1-82462PEP
Species: Hu
Applications: AC

Description

OXCT1 encodes a member of the 3-oxoacid CoA-transferase gene family. The encoded protein is a homodimeric mitochondrial matrix enzyme that plays a central role in extrahepatic ketone body catabolism by catalyzing the reversible transfer of coenzyme A from succinyl-CoA to acetoacetate. Mutations in this gene are associated with succinyl CoA:3-oxoacid CoA transferase deficiency. [provided by RefSeq]

Bioinformatics

Uniprot Human
Human
Human
Human
Human
Product By Gene ID 5019
Alternate Names
  • 3-oxoacid CoA transferase 1,3-oxoacid CoA transferase
  • EC 2.8.3
  • EC 2.8.3.5
  • SCOTmitochondrial