Olig2 Antibody (SP07-02)

Images

 
Western Blot: Olig2 Antibody (SP07-02) [NBP2-67377] - Western blot analysis of Olig2 on different lysates. Proteins were transferred to a PVDF membrane and blocked with 5% BSA in PBS for 1 hour at room temperature. The ...read more
Immunohistochemistry-Paraffin: Olig2 Antibody (SP07-02) [NBP2-67377] - Analysis of paraffin-embedded human glioma tissue using anti-Olig2 antibody. The section was pre-treated using heat mediated antigen retrieval with ...read more
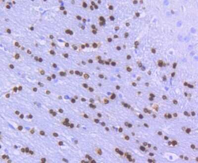
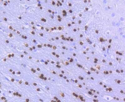
Immunohistochemistry-Paraffin: Olig2 Antibody (SP07-02) [NBP2-67377] - Analysis of paraffin-embedded mouse brain tissue using anti-Olig2 antibody. Counter stained with hematoxylin.
Immunohistochemistry-Paraffin: Olig2 Antibody (SP07-02) [NBP2-67377] - Analysis of paraffin-embedded rat brain tissue using anti-Olig2 antibody. Counter stained with hematoxylin.

Product Details

Summary
Product Discontinued
View other related Olig2 Primary Antibodies

Order Details


    • Catalog Number
      NBP2-67377
    • Availability
      Product Discontinued

    Can't find what you are looking for? Use our Antibody Concierge Service & we will help you locate your antibody!

    Or feel free to contact us for alternative products.

Olig2 Antibody (SP07-02) Summary

Additional Information
Recombinant Monoclonal Antibody.
Immunogen
Synthetic peptide within Human Olig2 aa 238-287 / 323. (SwissProt: Q13516 Human; SwissProt: Q9EQW6 Mouse; Unigene:22121 Rat)
Localization
Nucleus, Cytoplasm.
Isotype
IgG
Clonality
Monoclonal
Host
Rabbit
Gene
OLIG2
Purity
Protein A purified
Innovator's Reward
Test in a species/application not listed above to receive a full credit towards a future purchase.

Applications/Dilutions

Dilutions
  • Immunohistochemistry
  • Immunohistochemistry-Paraffin 1:50-1:400
  • Western Blot 1:500- 1:1000

Packaging, Storage & Formulations

Storage
Store at 4C short term. Aliquot and store at -20C long term. Avoid freeze-thaw cycles.
Buffer
TBS (pH7.4), 0.05% BSA, 40% Glycerol
Preservative
0.05% Sodium Azide
Concentration
1 mg/ml
Purity
Protein A purified

Alternate Names for Olig2 Antibody (SP07-02)

  • BHLHB1
  • BHLHE19
  • Class B basic helix-loop-helix protein 1
  • Class E basic helix-loop-helix protein 19
  • human protein kinase C-binding protein RACK17
  • Olig2
  • Oligo2
  • oligodendrocyte lineage transcription factor 2
  • oligodendrocyte transcription factor 2
  • oligodendrocyte-specific bHLH transcription factor 2
  • PRKCBP2
  • protein kinase C binding protein 2
  • Protein kinase C-binding protein 2
  • Protein kinase C-binding protein RACK17
  • RACK17
  • RACK17helix-loop-helix protein, class B, 1

Background

Olig2 is a transcription factor which is required for oligodendrocyte and motor neuron specification in the spinal cord, as well as for the development of somatic motor neurons in the hindbrain. OIlig2 is expressed in the ventral spinal cord as early as 9.5 dpc and is scattered in the mantle zone, likely corresponding to oligodendrocyte progenitors migrating out from their site of origin. (Arnett et al., 2004) From 10.5 through 14.5 dpc, Olig2 is expressed in numerous cells in the ventricular and subventricular zones of the lateral and medial ganglionic eminences, suggesting that expression might not be limited to the oligodendrocytic lineage. Olig2 has further been shown to be critical in the proliferation of malignant glioma in brain tumors (Ligon et al., 2007).

Limitations

This product is for research use only and is not approved for use in humans or in clinical diagnosis. Primary Antibodies are guaranteed for 1 year from date of receipt.

Customers Who Viewed This Item Also Viewed...

NB300-141
Species: Bv, Ch, Eq, Gp, Hu, Mu, Po, Rb, Rt
Applications: ICC/IF, IHC, IHC-Fr,  IHC-P, Simple Western, WB
MAB2417
Species: Hu
Applications: IHC, WB
NB600-717
Species: Bv
Applications: ELISA, ICC/IF, IHC, IHC-Fr,  IHC-P, RIA, RI, WB
NB100-2688
Species: Hu
Applications: Flow-CS, Flow, ICC/IF, IHC, IHC-Fr,  IHC-P, IP, KO, WB
AF2567
Species: Mu
Applications: IHC, WB
NBP1-82554
Species: Fe, Hu, Mu
Applications: ICC/IF, IHC, IHC-Fr,  IHC-P, KO, WB
NBP2-94913
Species: Hu, Mu, Rt
Applications: ELISA, IHC,  IHC-P, WB
AF2864
Species: Hu
Applications: ICC, IHC, WB
AF2307
Species: Hu
Applications: ELISA(Cap), ELISA(Det), ELISA(Sta), WB
NBP3-04784
Species: Hu, Mu, Rt
Applications: ELISA, ICC/IF, IHC,  IHC-P, WB
AF8150
Species: Hu
Applications: ICC, ICFlow, Simple Western, WB
MAB1259
Species: Hu
Applications: CyTOF-reported, ICC, ICFlow
233-FB
Species: Hu
Applications: BA
NBP1-87781
Species: Hu, Mu
Applications: IHC,  IHC-P, WB
MAB3314
Species: Hu, Rt
Applications: IHC
AF2018
Species: Hu, Mu, Rt
Applications: ChIP, ICC, IHC, Simple Western, WB
NBP1-49672
Species: Hu, Mu, Rt
Applications: ICC/IF, IHC, IHC-Fr,  IHC-P, In vitro, Simple Western, WB
NBP2-46617
Species: Hu, Mu, Rt
Applications: ICC/IF, IHC,  IHC-P, WB
NBP2-67377
Species: Hu, Mu, Rt
Applications: WB, IHC

Publications for Olig2 Antibody (NBP2-67377) (0)

There are no publications for Olig2 Antibody (NBP2-67377).
By submitting your publication information earn gift cards and discounts for future purchases.

Reviews for Olig2 Antibody (NBP2-67377) (0)

There are no reviews for Olig2 Antibody (NBP2-67377). By submitting a review you will receive an Amazon e-Gift Card or Novus Product Discount.
  • Review with no image -- $10/€7/£6/$10 CAD/¥70 Yuan/¥1110 Yen
  • Review with an image -- $25/€18/£15/$25 CAD/¥150 Yuan/¥2500 Yen

Product General Protocols

Find general support by application which include: protocols, troubleshooting, illustrated assays, videos and webinars.

Video Protocols

WB Video Protocol

FAQs for Olig2 Antibody (NBP2-67377) (0)

There are no specific FAQs related to this product. Read our general customer & technical service FAQs.

Contact Information

Product PDFs

Calculators

Concentration Calculator

The concentration calculator allows you to quickly calculate the volume, mass or concentration of your vial. Simply enter your mass, volume, or concentration values for your reagent and the calculator will determine the rest.

=
÷

Review this Product

Be the first to review our Olig2 Antibody (SP07-02) and receive a gift card or discount.

Bioinformatics

Gene Symbol OLIG2