OATP1B3/SLCO1B3/OATP8 Antibody (1F6.1B1)

Images

 
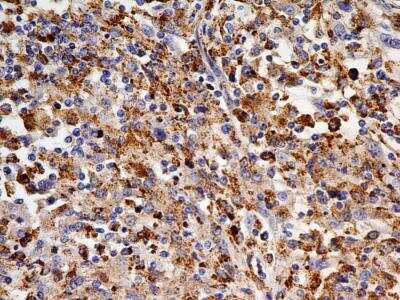
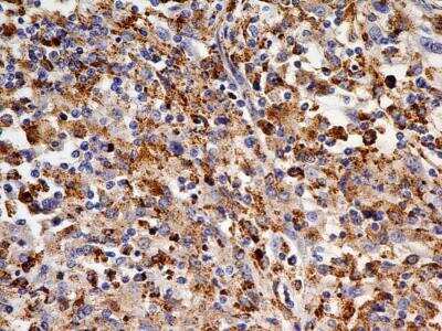
Immunohistochemistry-Paraffin: OATP1B3/SLCO1B3/OATP8 Antibody (1F6.1B1) [NBP2-36493] - Analysis of formalin-fixed paraffin-embedded tissue section of human renal cell carcinoma using mouse monoclonal ...read more
Flow Cytometry: OATP1B3/SLCO1B3/OATP8 Antibody (1F6.1B1) [NBP2-36493] - Validation of OATP1B3/SLCO1B3/OATP8 antibody (clone 1F6.1B1) on Jurkat cells with IgG3 kappa antibody as an isotype control. Primary antibody was ...read more
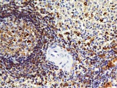
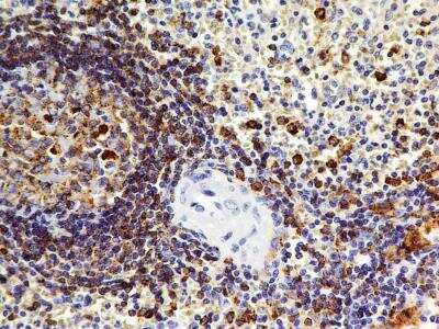
Immunohistochemistry-Paraffin: OATP1B3/SLCO1B3/OATP8 Antibody (1F6.1B1) [NBP2-36493] - Analysis of formalin-fixed paraffin-embedded tissue section of normal human spleen using mouse monoclonal OATP1B3/SLCO1B3/OATP8 ...read more

Product Details

Summary
Product Discontinued
View other related OATP1B3/SLCO1B3/OATP8 Primary Antibodies

Order Details


    • Catalog Number
      NBP2-36493
    • Availability
      Product Discontinued

    Can't find what you are looking for? Use our Antibody Concierge Service & we will help you locate your antibody!

    Or feel free to contact us for alternative products.

OATP1B3/SLCO1B3/OATP8 Antibody (1F6.1B1) Summary

Immunogen
Two synthetic peptides made to the human SLCO1B3 protein sequence (between residues 648-700). [Swiss-Prot Q9NPD5]
Localization
Basolateral cell membrane
Predicted Species
Primate (98%). Backed by our 100% Guarantee.
Isotype
IgG3 Kappa
Clonality
Monoclonal
Host
Mouse
Gene
SLCO1B3
Purity
Protein G purified
Innovator's Reward
Test in a species/application not listed above to receive a full credit towards a future purchase.

Applications/Dilutions

Dilutions
  • Flow Cytometry 2.5 ug/ million cells
  • Immunohistochemistry 5 ug/ml
  • Immunohistochemistry-Paraffin 5 ug/ml
Control
OATP1B3/SLCO1B3/OATP8 Overexpression Lysate

Packaging, Storage & Formulations

Storage
Store at 4C short term. Aliquot and store at -20C long term. Avoid freeze-thaw cycles.
Buffer
PBS
Preservative
0.05% Sodium Azide
Concentration
1.0 mg/ml
Purity
Protein G purified

Alternate Names for OATP1B3/SLCO1B3/OATP8 Antibody (1F6.1B1)

  • Liver-specific organic anion transporter 2
  • liver-specific organic anion transporter 3TM13
  • LST2
  • LST-2
  • LST3
  • OATP1B3
  • OATP1B3LST-3TM13
  • OATP8
  • OATP-8
  • Organic anion transporter 8
  • organic anion transporter LST-3c
  • Organic anion-transporting polypeptide 8
  • SLC21A8
  • SLCO1B3
  • solute carrier family 21 (organic anion transporter), member 8
  • Solute carrier family 21 member 8
  • solute carrier organic anion transporter family member 1B3
  • solute carrier organic anion transporter family, member 1B3

Background

Several multispecific OATs (OAT1-3, OAT-K1 and OATK2) and OATPs (organic anion transporting polypeptides; oatp1-3, LST-1, and PGT), have been cloned and characterized from various tissues. The OATP family of proteins share significant sequence homology, and general secondary protein structure (up to 12 transmembrane domains with cytoplasmic N and C-terminus). Oatp2 (also called OATP-B1; 661 aa; 12 TM), cloned from rat brain, shares significant homology with rat oatp1 and OAT-K1 (77%) and human OATP (73%). It is highly expressed in brain, liver, and kidney but not in heart, spleen, lung, muscle, and testes. OATP2 mediates uptake of taurocholate, estrogen conjugates, and cardiac glycosides ouabain. Unlike other OATPS, OATP2 also transport digioxin.

Limitations

This product is for research use only and is not approved for use in humans or in clinical diagnosis. Primary Antibodies are guaranteed for 1 year from date of receipt.

Customers Who Viewed This Item Also Viewed...

NB100-74482
Species: Hu
Applications: ICC/IF, IHC, IHC-Fr,  IHC-P, IP, WB
NBP2-85770
Species: Hu
Applications: IHC,  IHC-P, WB
NBP1-69023
Species: Mu
Applications: WB
NBP1-59811
Species: Hu
Applications: IHC,  IHC-P, WB
NBP2-67667
Species: Hu, Mu, Rt
Applications: ICC/IF, IHC, IHC-Fr,  IHC-P, WB
NBP2-22124
Species: Hu, Mu, Pm
Applications: ELISA, Flow, ICC/IF, IHC,  IHC-P, WB
NBP1-76670
Species: Hu, Rt
Applications: ELISA, IHC,  IHC-P, WB
NBP1-51684
Species: Hu, Mu
Applications: EM, ELISA, Flow, ICC/IF, IHC, WB
NBP1-60109
Species: Hu
Applications: B/N, Flow, WB
NBP2-37923
Species: Hu
Applications: ICC/IF, IHC,  IHC-P
NBP1-89319
Species: Hu
Applications: IHC,  IHC-P
NBP2-37502
Species: Hu
Applications: CyTOF-ready, ELISA, Flow, ICC/IF, IHC,  IHC-P, WB
PP-H4417-00
Species: Hu
Applications: DirELISA, IP, WB
NB400-156
Species: Hu, Mu, Rt
Applications: CyTOF-ready, Dual ISH-IHC, ELISA, Flow, ICC/IF, IHC, IP, Simple Western, WB
PP-A9033A-00
Species: Hu
Applications: DirELISA, IHC, IP, WB
NBP1-80977
Species: Hu
Applications: IHC,  IHC-P
4014-SP
Species: Hu
Applications: BA
NB100-1471
Species: Hu, Mu, Rt
Applications: ICC/IF, IHC, IHC-Fr,  IHC-P, PEP-ELISA, WB

Publications for OATP1B3/SLCO1B3/OATP8 Antibody (NBP2-36493) (0)

There are no publications for OATP1B3/SLCO1B3/OATP8 Antibody (NBP2-36493).
By submitting your publication information earn gift cards and discounts for future purchases.

Reviews for OATP1B3/SLCO1B3/OATP8 Antibody (NBP2-36493) (0)

There are no reviews for OATP1B3/SLCO1B3/OATP8 Antibody (NBP2-36493). By submitting a review you will receive an Amazon e-Gift Card or Novus Product Discount.
  • Review with no image -- $10/€7/£6/$10 CAD/¥70 Yuan/¥1110 Yen
  • Review with an image -- $25/€18/£15/$25 CAD/¥150 Yuan/¥2500 Yen

Product General Protocols

View specific protocols for OATP1B3/SLCO1B3/OATP8 Antibody (NBP2-36493): Find general support by application which include: protocols, troubleshooting, illustrated assays, videos and webinars.

FAQs for OATP1B3/SLCO1B3/OATP8 Antibody (NBP2-36493) (0)

There are no specific FAQs related to this product. Read our general customer & technical service FAQs.

Control Lysate(s)

Secondary Antibodies

 

Isotype Controls

Additional OATP1B3/SLCO1B3/OATP8 Products

Research Areas for OATP1B3/SLCO1B3/OATP8 Antibody (NBP2-36493)

Find related products by research area.

Blogs on OATP1B3/SLCO1B3/OATP8.

OATP8 - A membrane transport protein responsible for cancer drug uptake
Human hepatocytes express important transport proteins that are responsible for the uptake and removal of organic anions from the blood. These proteins are members of the organic anion-transporting polypeptide (OATP) family and are essential for pr...  Read full blog post.

Contact Information

Product PDFs

Calculators

Concentration Calculator

The concentration calculator allows you to quickly calculate the volume, mass or concentration of your vial. Simply enter your mass, volume, or concentration values for your reagent and the calculator will determine the rest.

=
÷

Review this Product

Be the first to review our OATP1B3/SLCO1B3/OATP8 Antibody (1F6.1B1) and receive a gift card or discount.

Bioinformatics

Gene Symbol SLCO1B3
Entrez
OMIM
Uniprot