OAT Antibody - BSA Free

Images

 
Orthogonal Strategies: Immunohistochemistry-Paraffin: OAT Antibody [NBP1-83239] - Analysis in human duodenum and pancreas tissues. Corresponding OAT RNA-seq data are presented for the same tissues.
Immunohistochemistry-Paraffin: OAT Antibody [NBP1-83239] - Staining of human duodenum shows strong granular cytoplasmic postivity in glandular cells.
Immunohistochemistry-Paraffin: OAT Antibody [NBP1-83239] - Staining of human cerebral cortex shows moderate to strong granular cytoplasmic positivity in neurons.
Immunohistochemistry-Paraffin: OAT Antibody [NBP1-83239] - Staining of human testis shows moderate granular cytoplasmic positivity in Leydig cells.
Immunohistochemistry-Paraffin: OAT Antibody [NBP1-83239] - Staining of human pancreas shows no positivity in exocrine glandular cells as expected.
Western Blot: OAT Antibody [NBP1-83239] - Analysis in human cell line HEL.

Product Details

Summary
Reactivity Hu, Bv, Mu, RtSpecies Glossary
Applications WB, IHC
Clonality
Polyclonal
Host
Rabbit
Conjugate
Unconjugated
Format
BSA Free
Validated by:
       

Orthogonal Strategies

 

Order Details

View Available Formulations
Catalog# & Formulation Size Price

OAT Antibody - BSA Free Summary

Description
Novus Biologicals Rabbit OAT Antibody - BSA Free (NBP1-83239) is a polyclonal antibody validated for use in IHC and WB. All Novus Biologicals antibodies are covered by our 100% guarantee.
Immunogen
This antibody was developed against Recombinant Protein corresponding to amino acids: ALKSQVDKLTLTSRAFYNNVLGEYEEYITKLFNYHKVLPMNTGVEAGETACKLARKWGYTVKGIQKYKAKIVFAAGNFWGRTLSAISSSTDPTSYDGFGPFMPGFDIIPYNDLPALERALQDPNVAAFMVEPIQGEAGV
Predicted Species
Mouse (96%), Rat (95%). Backed by our 100% Guarantee.
Isotype
IgG
Clonality
Polyclonal
Host
Rabbit
Gene
OAT
Purity
Affinity purified
Innovator's Reward
Test in a species/application not listed above to receive a full credit towards a future purchase.

Applications/Dilutions

Dilutions
  • Immunohistochemistry 1:50 - 1:200
  • Immunohistochemistry-Paraffin 1:50 - 1:200
  • Western Blot 0.04 - 0.4 ug/mL
Application Notes
For IHC-Paraffin, HIER pH 6 retrieval is recommended.
Control Peptide
OAT Recombinant Protein Antigen (NBP1-83239PEP)
Reviewed Applications
Read 2 Reviews rated 5
using
NBP1-83239 in the following applications:

Reactivity Notes

Bovine reactivity reported from a verified customer review.

Packaging, Storage & Formulations

Storage
Store at 4C short term. Aliquot and store at -20C long term. Avoid freeze-thaw cycles.
Buffer
PBS (pH 7.2) and 40% Glycerol
Preservative
0.02% Sodium Azide
Purity
Affinity purified

Alternate Names for OAT Antibody - BSA Free

  • GACR
  • HOGA
  • OAT ornithine aminotransferase
  • OATASE
  • OKT

Background

OAT, also known as mitochondrial enzyme ornithine aminotransferase, is a key enzyme in the pathway that converts arginine and ornithine into the major excitatory and inhibitory neurotransmitters glutamate and GABA. ( L-ornithine + a 2-oxo acid = L-glutamate 5-semialdehyde + an L-amino acid.) Mutations that result in a deficiency of this enzyme cause the autosomal recessive eye disease Gyrate Atrophy. Recombinant OAT protein was expressed in E.coli and purified by using conventional chromatography techniques.

Limitations

This product is for research use only and is not approved for use in humans or in clinical diagnosis. Primary Antibodies are guaranteed for 1 year from date of receipt.

Customers Who Viewed This Item Also Viewed...

NBP2-32887
Species: Hu, Mu, Rt
Applications: Flow, ICC/IF, IHC,  IHC-P, WB
NBP2-62690
Species: Hu
Applications: IHC,  IHC-P
MAB1417
Species: Bv, Hu, Mu
Applications: ICC, IHC
NBP1-58268
Species: Hu, Mu
Applications: IHC,  IHC-P, WB
NB110-41404
Species: Bv, Hu, Mu, Rt
Applications: ICC/IF, IHC, WB
664-LI
Species: Hu
Applications: BA
NBP1-92396
Species: Hu
Applications: IHC,  IHC-P
NBP1-81838
Species: Hu, Mu
Applications: IHC,  IHC-P, WB
NBP1-88866
Species: Hu
Applications: IHC,  IHC-P
NBP1-76544
Species: Hu, Mu, Rt
Applications: ELISA, ICC/IF, IHC,  IHC-P, Simple Western, WB
AF3398
Species: Hu, Mu, Rt
Applications: ICC, KO, Simple Western, WB
NBP1-85010
Species: Hu
Applications: IHC,  IHC-P
AF009
Species: Hu
Applications: IHC, WB
NBP2-42202
Species: Hu, Mu, Rt
Applications: ICC/IF, IHC, WB
NB100-1533
Species: Hu, Mu, Po, Rt, Sh
Applications: Flow, ICC/IF, IHC,  IHC-P, PEP-ELISA, WB
NB110-58870
Species: Hu, Mu, Rt
Applications: ICC/IF, IHC, KD, Simple Western, WB
NBP1-87408
Species: Hu, Mu
Applications: ICC/IF, IHC,  IHC-P, Simple Western, WB
NBP1-86616
Species: Hu
Applications: IHC,  IHC-P, WB
NBP2-58917
Species: Hu
Applications: IHC,  IHC-P, WB
NBP1-82493
Species: Hu
Applications: IHC,  IHC-P, WB

Publications for OAT Antibody (NBP1-83239) (0)

There are no publications for OAT Antibody (NBP1-83239).
By submitting your publication information earn gift cards and discounts for future purchases.

Reviews for OAT Antibody (NBP1-83239) (2) 52

Average Rating: 5
(Based on 2 reviews)
We have 2 reviews tested in 1 species: Bovine.

Reviews using NBP1-83239:
Filter by Applications
WB
(1)
Blocking Test
(1)
All Applications
Filter by Species
Bovine
(2)
All Species
Images Ratings Applications Species Date Details
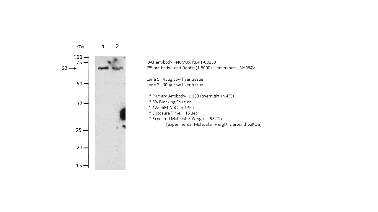
Western Blot OAT NBP1-83239
Enlarge
5
reviewed by:
Kwangwon son
WB Bovine 02/01/2019
View

Summary

ApplicationWestern Blot
Sample Testedcow liver tissue
SpeciesBovine
LotR38625
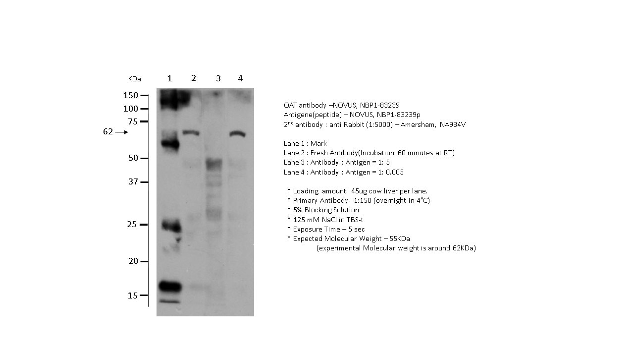
Other OAT NBP1-83239
Enlarge
5
reviewed by:
Verified Customer
Blocking Test Bovine 01/31/2019
View

Summary

ApplicationOther
Sample Testedcow liver tissue,cow liver tissues
SpeciesBovine
LotR38625

Comments

CommentsBlocking test with OAT Recombinant Protein Antigen.

Product General Protocols

Find general support by application which include: protocols, troubleshooting, illustrated assays, videos and webinars.

Video Protocols

WB Video Protocol

FAQs for OAT Antibody (NBP1-83239) (0)

There are no specific FAQs related to this product. Read our general customer & technical service FAQs.

Customers Who Bought This Also Bought

Contact Information

Product PDFs

Calculators

Concentration Calculator

The concentration calculator allows you to quickly calculate the volume, mass or concentration of your vial. Simply enter your mass, volume, or concentration values for your reagent and the calculator will determine the rest.

=
÷

Recent Reviews

5
5
2
4
0
3
0
2
0
1
0

Kwangwon son
02/01/2019
Application: WB
Species: Bovine

Verified Customer
01/31/2019
Application: Blocking Test
Species: Bovine

Bioinformatics

Gene Symbol OAT