Nucleolar Protein 4 Like Antibody - BSA Free

Images

 
Immunohistochemistry-Paraffin: C20orf112 Antibody [NBP1-94115] - Staining of human kidney.
Immunohistochemistry-Paraffin: C20orf112 Antibody [NBP1-94115] - Staining of human endometrium shows low expression as expected.
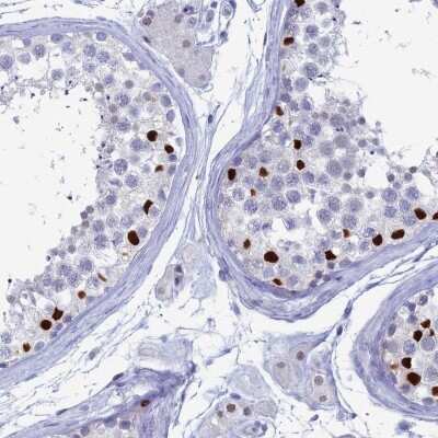
Immunohistochemistry-Paraffin: C20orf112 Antibody [NBP1-94115] - Staining of human testis shows high expression.
Orthogonal Strategies: Immunohistochemistry-Paraffin: C20orf112 Antibody [NBP1-94115] - Staining in human testis and endometrium tissues using anti-NOL4L antibody. Corresponding NOL4L RNA-seq data are presented ...read more
Independent Antibodies: Immunohistochemistry-Paraffin: C20orf112 Antibody [NBP1-94115] - Staining of human cerebral cortex, colon, kidney and testis using Anti-NOL4L antibody NBP1-94115 (A) shows similar protein ...read more
Immunohistochemistry-Paraffin: C20orf112 Antibody [NBP1-94115] - Staining of human colon.
Immunohistochemistry-Paraffin: C20orf112 Antibody [NBP1-94115] - Staining of human cerebral cortex.
Staining of human cell line U-2 OS shows localization to nucleoplasm.

Product Details

Summary
Reactivity Hu, Mu, RtSpecies Glossary
Applications ICC/IF, IHC
Clonality
Polyclonal
Host
Rabbit
Conjugate
Unconjugated
Format
BSA Free

Order Details

View Available Formulations
Catalog# & Formulation Size Price

Nucleolar Protein 4 Like Antibody - BSA Free Summary

Description
Novus Biologicals Rabbit Nucleolar Protein 4 Like Antibody - BSA Free (NBP1-94115) is a polyclonal antibody validated for use in IHC and ICC/IF. All Novus Biologicals antibodies are covered by our 100% guarantee.
Immunogen
This antibody was developed against Recombinant Protein corresponding to amino acids: MRLEIYQSSQDEPIALDKQHSRDSAAITHSTYSLPASSYSQDPVYANGGLNYSYRGYGALSSNLQPPASLQTGNHSNGP
Predicted Species
Mouse (92%), Rat (90%). Backed by our 100% Guarantee.
Isotype
IgG
Clonality
Polyclonal
Host
Rabbit
Gene
C20orf112
Purity
Immunogen affinity purified
Innovator's Reward
Test in a species/application not listed above to receive a full credit towards a future purchase.

Applications/Dilutions

Dilutions
  • Immunocytochemistry/ Immunofluorescence 0.25-2 ug/ml
  • Immunohistochemistry 1:50 - 1:200
  • Immunohistochemistry-Paraffin 1:50 - 1:200
Application Notes
For IHC-Paraffin, HIER pH 6 retrieval is recommended. Immunocytochemistry/Immunofluorescence Fixation Permeabilization: Use PFA/Triton X-100.
Control Peptide
Nucleolar Protein 4 Like Recombinant Protein Antigen (NBP1-94115PEP)

Reactivity Notes

Immunogen displays the following percentage of sequence identity for non-tested species: Rat (87%)

Packaging, Storage & Formulations

Storage
Store at 4C short term. Aliquot and store at -20C long term. Avoid freeze-thaw cycles.
Buffer
PBS (pH 7.2) and 40% Glycerol
Preservative
0.02% Sodium Azide
Purity
Immunogen affinity purified

Alternate Names for Nucleolar Protein 4 Like Antibody - BSA Free

  • hypothetical protein LOC100506597
  • LOC100506597

Limitations

This product is for research use only and is not approved for use in humans or in clinical diagnosis. Primary Antibodies are guaranteed for 1 year from date of receipt.

Customers Who Viewed This Item Also Viewed...

MAB3487
Species: Hu, Mu
Applications: Flow, ICC, IHC, mIF, Simple Western, WB
NBP1-80695
Species: Hu
Applications: ChIP-EXO-SEQ, ICC/IF, IHC,  IHC-P, WB
NBP1-88905
Species: Hu
Applications: IHC,  IHC-P
NB100-65125
Species: Hu, Mu
Applications: CyTOF-ready, Flow, ICC/IF, IHC, IHC-Fr,  IHC-P, IP, WB
2914-HT
Species: Hu
Applications: BA
AF5165
Species: Hu, Mu
Applications: WB
NBP2-34136
Species: Hu
Applications: IHC,  IHC-P, WB
H00000640-M02
Species: Hu, Mu, Rt
Applications: ELISA, Flow, WB
NBP1-89105
Species: Hu
Applications: ICC/IF, IHC,  IHC-P, WB
MAB812
Species: Hu
Applications: CyTOF-ready, Flow
NBP1-84717
Species: Hu, Mu
Applications: ChIP, ICC/IF, IHC,  IHC-P, WB
NBP1-80980
Species: Hu
Applications: ICC/IF, IHC,  IHC-P
AF5869
Species: Hu, Mu
Applications: ICC, IHC, IP, Simple Western, WB
H00009371-B01P
Species: Hu, Rt
Applications: ICC/IF, WB
H00171023-M05
Species: Hu
Applications: ELISA, IP, WB

Publications for Nucleolar Protein 4 Like Antibody (NBP1-94115) (0)

There are no publications for Nucleolar Protein 4 Like Antibody (NBP1-94115).
By submitting your publication information earn gift cards and discounts for future purchases.

Reviews for Nucleolar Protein 4 Like Antibody (NBP1-94115) (0)

There are no reviews for Nucleolar Protein 4 Like Antibody (NBP1-94115). By submitting a review you will receive an Amazon e-Gift Card or Novus Product Discount.
  • Review with no image -- $10/€7/£6/$10 CAD/¥70 Yuan/¥1110 Yen
  • Review with an image -- $25/€18/£15/$25 CAD/¥150 Yuan/¥2500 Yen

Product General Protocols

Find general support by application which include: protocols, troubleshooting, illustrated assays, videos and webinars.

Video Protocols

ICC/IF Video Protocol

FAQs for Nucleolar Protein 4 Like Antibody (NBP1-94115) (0)

There are no specific FAQs related to this product. Read our general customer & technical service FAQs.

Secondary Antibodies

 

Isotype Controls

Additional Nucleolar Protein 4 Like Products

Blogs on Nucleolar Protein 4 Like

There are no specific blogs for Nucleolar Protein 4 Like, but you can read our latest blog posts.

Customers Who Bought This Also Bought

Contact Information

Product PDFs

Calculators

Concentration Calculator

The concentration calculator allows you to quickly calculate the volume, mass or concentration of your vial. Simply enter your mass, volume, or concentration values for your reagent and the calculator will determine the rest.

=
÷

Review this Product

Be the first to review our Nucleolar Protein 4 Like Antibody - BSA Free and receive a gift card or discount.

Bioinformatics

Gene Symbol C20orf112