NLRP11 Antibody - BSA Free

Images

 
Western Blot: NLRP11 Antibody [NBP1-92186] - Analysis in control (vector only transfected HEK293T lysate) and NLRP11 over-expression lysate (Co-expressed with a C-terminal myc-DDK tag (3.1 kDa) in mammalian HEK293T ...read more
Immunohistochemistry-Paraffin: NLRP11 Antibody [NBP1-92186] - Staining of human pancreas shows no positivity in exocrine glandular cells as expected.
Immunohistochemistry-Paraffin: NLRP11 Antibody [NBP1-92186] - Staining of human cerebral cortex shows strong positivity in neuronal processes in neuropil.
Immunohistochemistry-Paraffin: NLRP11 Antibody [NBP1-92186] - Staining of human skeletal muscle shows no positivity in myocytes as expected.
Staining of human pancreas shows no positivity in exocrine glandular cells as expected.
Staining of human skeletal muscle shows no positivity in myocytes as expected.
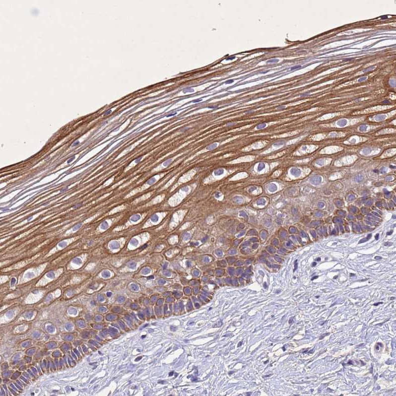
Staining of human cervix, uterine shows strong cytoplasmic positivity in squamous epithelial cells.
Staining of human cerebral cortex shows strong positivity in neuronal processes in neuropil.

Product Details

Summary
Reactivity HuSpecies Glossary
Applications WB, IHC
Clonality
Polyclonal
Host
Rabbit
Conjugate
Unconjugated
Format
BSA Free

Order Details

View Available Formulations
Catalog# & Formulation Size Price

NLRP11 Antibody - BSA Free Summary

Description
Novus Biologicals Rabbit NLRP11 Antibody - BSA Free (NBP1-92186) is a polyclonal antibody validated for use in IHC, WB and ICC/IF. Anti-NLRP11 Antibody: Cited in 1 publication. All Novus Biologicals antibodies are covered by our 100% guarantee.
Immunogen
This antibody was developed against Recombinant Protein corresponding to amino acids: HLGNDGVAKLLESLISPDCVLKVVGLPLTGLNTQTQQLLMTVKERKPSLIFLSETWSLKEGREIGVTPASQPGSIIPNSNLDYMFFKFPRMSAAMRTSNTASR
Isotype
IgG
Clonality
Polyclonal
Host
Rabbit
Gene
NLRP11
Purity
Affinity purified
Innovator's Reward
Test in a species/application not listed above to receive a full credit towards a future purchase.

Applications/Dilutions

Dilutions
  • Immunohistochemistry 1:50 - 1:200
  • Immunohistochemistry-Paraffin 1:50 - 1:200
  • Western Blot 0.04-0.4 ug/ml
Application Notes
For IHC-Paraffin, HIER pH 6 retrieval is recommended.
Control Peptide
NLRP11 Protein (NBP1-92186PEP)
Publications
Read Publication using
NBP1-92186 in the following applications:

Packaging, Storage & Formulations

Storage
Store at 4C short term. Aliquot and store at -20C long term. Avoid freeze-thaw cycles.
Buffer
PBS (pH 7.2) and 40% Glycerol
Preservative
0.02% Sodium Azide
Purity
Affinity purified

Alternate Names for NLRP11 Antibody - BSA Free

  • CLR19.6
  • NACHT, leucine rich repeat and PYD containing 11
  • NALP11NACHT, LRR and PYD domains-containing protein 11
  • NLR family, pyrin domain containing 11
  • NOD17PYPAF7
  • Nucleotide-binding oligomerization domain protein 17
  • nucleotide-binding oligomerization domain, leucine rich repeat and pyrin domaincontaining 11
  • PAAD- and NACHT-containing protein 10
  • PAAD- and NACHT-containing protein 10B
  • PAAD-and NACHT domain-containing protein 10
  • PAN10FLJ26273
  • PYPAF6NACHT, LRR and PYD containing protein 11
  • PYRIN-containing APAF1-like protein 6

Background

NALPs are cytoplasmic proteins that form a subfamily within the larger CATERPILLER protein family. Most short NALPs, such as NALP11, have an N-terminal pyrin (MEFV; MIM 608107) domain (PYD), followed by a NACHT domain, a NACHT-associated domain (NAD), and a C-terminal leucine-rich repeat (LRR) region. The long NALP, NALP1 (MIM 606636), also has a C-terminal extension containing a function to find domain (FIIND) and a caspase recruitment domain (CARD). NALPs are implicated in the activation of proinflammatory caspases (e.g., CASP1; MIM 147678) via their involvement in multiprotein complexes called inflammasomes (Tschopp et al., 2003 [PubMed 12563287]).[supplied by OMIM]

Limitations

This product is for research use only and is not approved for use in humans or in clinical diagnosis. Primary Antibodies are guaranteed for 1 year from date of receipt.

Customers Who Viewed This Item Also Viewed...

NB100-56155
Species: Hu
Applications: IHC,  IHC-P, IP, WB
NBP2-12446
Species: Hu, Mu, Rt
Applications: Flow, ICC/IF, IHC, IHC-Fr,  IHC-P, IM, IP, KD, WB
NBP1-78977
Species: Hu, Mu, Rt
Applications: Flow-IC, Flow, ICC/IF, IHC,  IHC-P, IM, IP, Simple Western, WB
NB600-809
Species: Hu
Applications: Flow, ICC/IF, PEP-ELISA
NBP1-90095
Species: Hu
Applications: IHC,  IHC-P
NB100-56583
Species: Hu, Rb, Rt
Applications: Flow, IHC,  IHC-P, KO, Simple Western, WB
NBP1-76293
Species: Hu, Mu, Rt, V-Vi
Applications: ELISA, ICC/IF, IHC,  IHC-P, WB
MAB6606
Species: Hu, Mu, Rt
Applications: WB
NBP2-14835
Species: Hu, Mu
Applications: ICC/IF, IHC,  IHC-P, WB
NB100-56156
Species: Hu
Applications: IHC,  IHC-P, WB
NBP1-54899
Species: Hu, Rt
Applications: ICC/IF, IHC, IHC-Fr, WB
NB100-56565
Species: Hu, Mu, Rt
Applications: ICC/IF, IHC, IHC-Fr,  IHC-P, Simple Western, WB
AF821
Species: Hu, Mu
Applications: WB
NB100-2176
Species: Hu, Mu, Rt
Applications: ChIP, ICC/IF, IHC,  IHC-P, IP, WB
NB100-524
Species: Hu, Mu
Applications: Flow-IC, Flow, ICC/IF, IHC, IHC-Fr,  IHC-P, IP, WB
MAB868
Species: Hu
Applications: WB
NBP1-92186
Species: Hu
Applications: WB, IHC

Publications for NLRP11 Antibody (NBP1-92186)(1)

We have publications tested in 1 confirmed species: Human.

We have publications tested in 2 applications: ICC/IF, WB.


Filter By Application
ICC/IF
(1)
WB
(1)
All Applications
Filter By Species
Human
(1)
All Species

Reviews for NLRP11 Antibody (NBP1-92186) (0)

There are no reviews for NLRP11 Antibody (NBP1-92186). By submitting a review you will receive an Amazon e-Gift Card or Novus Product Discount.
  • Review with no image -- $10/€7/£6/$10 CAD/¥70 Yuan/¥1110 Yen
  • Review with an image -- $25/€18/£15/$25 CAD/¥150 Yuan/¥2500 Yen

Product General Protocols

Find general support by application which include: protocols, troubleshooting, illustrated assays, videos and webinars.

Video Protocols

WB Video Protocol

FAQs for NLRP11 Antibody (NBP1-92186) (0)

There are no specific FAQs related to this product. Read our general customer & technical service FAQs.

Secondary Antibodies

 

Isotype Controls

Additional NLRP11 Products

Research Areas for NLRP11 Antibody (NBP1-92186)

Find related products by research area.

Blogs on NLRP11.

The NLRP3 Inflammasome: Macrophage Activator & Pathology Driver
By Victoria Osinski, PhDWhat is the NLRP3 Inflammasome?With its critical role in innate immunity, the nucleotide-binding oligomerization domain-like receptor family, pyrin domain containing 3 (NLRP3) inflammasome ...  Read full blog post.

Customers Who Bought This Also Bought

Contact Information

Product PDFs

Calculators

Concentration Calculator

The concentration calculator allows you to quickly calculate the volume, mass or concentration of your vial. Simply enter your mass, volume, or concentration values for your reagent and the calculator will determine the rest.

=
÷

Review this Product

Be the first to review our NLRP11 Antibody - BSA Free and receive a gift card or discount.

Bioinformatics

Gene Symbol NLRP11