NGFR/TNFRSF16/p75NTR Antibody (NGFR5 + NTR/912) - Azide and BSA Free

Images

 
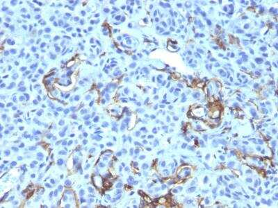
Immunohistochemistry-Paraffin: NGFR/TNFRSF16/p75NTR Antibody (NGFR5 + NTR/912) - Azide and BSA Free [NBP2-47967] - Human Melanoma stained with NGFR Monoclonal Antibody (NGFR5 + NTR/912).
Immunohistochemistry-Paraffin: NGFR/TNFRSF16/p75NTR Antibody (NGFR5 + NTR/912) - Azide and BSA Free [NBP2-47967] - Human Melanoma stained with NGFR Monoclonal Antibody (NGFR5 + NTR/912).

Product Details

Summary
Reactivity Hu, Pm, Mu(-), Rt(-)Species Glossary
Applications Flow, ICC/IF, IHC, CyTOF-ready, ICC/IF
Clone
NGFR5 + NTR/912
Clonality
Monoclonal
Host
Mouse
Conjugate
Unconjugated
Format
Azide and BSA Free
Concentration
1.0 mg/ml

Order Details

NGFR/TNFRSF16/p75NTR Antibody (NGFR5 + NTR/912) - Azide and BSA Free Summary

Description
1.0 mg/ml of antibody purified from Bioreactor Concentrate by Protein A/G. Prepared in 10mM PBS WITHOUT BSA & azide. Also available at 200 ug/ml WITH BSA & azide (NBP2-44877).

Antibody with azide - store at 2 to 8C. Antibody without azide - store at -20 to -80C.
Immunogen
NGFR from A875 melanoma cells (NGFR5); Recombinant human NGFR/TNFRSF16/p75NTR protein (NTR/912)
Localization
Cell surface and cytoplasmic
Marker
Soft Tissue Tumor Marker
Specificity
It recognizes a glycoprotein of 75kDa, identified as low affinity Nerve Growth Factor (NGF) Receptor (p75NGFR) or Neurotrophin Receptor (p75NTR). NGFR is expressed in various neural crest cells and their tumors such as melanocytes, melanomas, neuroblastomas, pheochromocytomas and neurofibromas. Reportedly, anti-NGFR is a reliable marker for desmoplastic and neurotropic melanomas. NGFR is expressed in mature non-neural cells such as perivascular cells, dental pulp cells, lymphoidal follicular dendritic cells, basal epithelium of oral mucosa and hair follicles, prostate basal cells, and myoepithelial cells. Anti-NGFR stains the myoepithelial cells of breast ducts and intra-lobular fibroblasts of breast ducts.
Isotype
IgG1 Kappa/IgG1 Kappa
Clonality
Monoclonal
Host
Mouse
Gene
NGFR
Purity
Protein A or G purified
Innovator's Reward
Test in a species/application not listed above to receive a full credit towards a future purchase.

Applications/Dilutions

Dilutions
  • CyTOF-ready
  • Flow Cytometry 0.5 - 1 ug/million cells in 0.1 ml
  • Immunocytochemistry/ Immunofluorescence 1-2 ug/ml
  • Immunofluorescence 1 - 2 ug/ml
  • Immunohistochemistry
  • Immunohistochemistry-Paraffin 0.5 - 1.0 ug/ml
Application Notes
Immunohistochemistry (Formalin-fixed): 1-2ug/ml for 30 minutes at RT. Staining of formalin-fixed tissues requires heating tissue sections in 10mM Tris with 1mM EDTA, pH 9.0, for 45 min at 95C followed by cooling at RT for 20 minutes.
Optimal dilution for a specific application should be determined.
Theoretical MW
75 kDa.
Disclaimer note: The observed molecular weight of the protein may vary from the listed predicted molecular weight due to post translational modifications, post translation cleavages, relative charges, and other experimental factors.

Reactivity Notes

Non-Human primates. Does not react with Mouse or Rat.

Packaging, Storage & Formulations

Storage
Store at -20 to -80C. Avoid freeze-thaw cycles.
Buffer
10 mM PBS
Preservative
No Preservative
Concentration
1.0 mg/ml
Purity
Protein A or G purified

Alternate Names for NGFR/TNFRSF16/p75NTR Antibody (NGFR5 + NTR/912) - Azide and BSA Free

  • CD271 antigen
  • CD271
  • Gp80-LNGFR
  • member 16
  • nerve growth factor receptor
  • NGF R
  • NGF receptor
  • NGFR
  • p75 ICD
  • p75 NTR
  • TNFRSF16
  • TNFRSF16nerve growth factor receptor (TNFR superfamily, member 16)
  • tumor necrosis factor receptor superfamily member 16

Background

p75NTR was originally discovered as a low affinity nerve growth factor receptor. Later it was found that it was the receptor for all neurotrophins. It mediates signals of neurotrophins for neuronal survival, apoptosis, neurite outgrowth and synaptic plasticity. Recently, it has been revealed that p75NTR is not only acts as the receptor for neurotrophins but also the receptor for many other pathological ligands such as prions, rabies virus and amyloid beta. p75NTR also acts as a co-receptor for NOGO which mediates inhibitory signals of myelin associated protein. p75NTR is highly expressed in a number of non-neuronal and neuronal cells including motor neurons during development and also in damaged neurons. FUNCTION: Low affinity receptor which can bind to NGF, BDNF, NT-3, and NT-4. Can mediate cell survival as well as cell death of neural cells. SUBUNIT: Homodimer; disulfide-linked. Interacts with p75NTR-associated cell death executor. Interacts with NGFRAP1/BEX3. Interacts with TRAF2, TRAF4, TRAF6, PTPN13 and RANBP9. Interacts through TRAF6 with SQSTM1 which bridges NGFR to NTRK1. Interacts with BEX1. SUBCELLULAR LOCATION: Membrane; single-pass type I membrane protein. DOMAIN: Death domain is responsible for interaction with RANBP9. PTM: N- and O-glycosylated. PTM: Phosphorylated on serine residues. SIMILARITY: Contains 1 death domain. SIMILARITY: Contains 4 TNFR-Cys repeats.

Limitations

This product is for research use only and is not approved for use in humans or in clinical diagnosis. Primary Antibodies are guaranteed for 1 year from date of receipt.

Customers Who Viewed This Item Also Viewed...

DBD00
Species: Hu
Applications: ELISA
AF1056
Species: Rt
Applications: IHC, WB
DRT200
Species: Hu
Applications: ELISA
MAB3468
Species: Hu
Applications: ICC, WB
H00001523-M01
Species: Hu, Mu, Rt
Applications: ELISA, ICC/IF, IHC,  IHC-P, IP, WB
NBP1-18910
Species: Hu, Mu, Rt
Applications: ICC/IF, IHC, IHC-Fr,  IHC-P, IP, Simple Western, WB
H00003059-M02
Species: Hu
Applications: ELISA, IHC,  IHC-P, KD, PLA, S-ELISA, WB
MAB224
Species: Hu
Applications: CyTOF-ready, Flow, IHC, Neut
AF1138
Species: Hu
Applications: CyTOF-ready, Flow, IHC, Neut, WB
256-GF
Species: Hu
Applications: BA
NLS938
Species: Hu
Applications: IHC,  IHC-P
267-N3
Species: Hu
Applications: BA
H00007170-M02
Species: Hu
Applications: ELISA, IHC,  IHC-P, S-ELISA, WB
AF1494
Species: Hu, Mu, Rt
Applications: Block, IHC, Simple Western, WB
NBP1-30052
Species: Ch, Gp, Hu, Mu, Pm, Rt
Applications: ICC/IF, IHC-FrFl, IHC-WhMt, IHC, IHC-Fr,  IHC-P, WB
AF1404
Species: Mu, Rt
Applications: Block, IHC, Simple Western, WB
268-N4
Species: Hu
Applications: BA

Publications for NGFR/TNFRSF16/p75NTR Antibody (NBP2-47967) (0)

There are no publications for NGFR/TNFRSF16/p75NTR Antibody (NBP2-47967).
By submitting your publication information earn gift cards and discounts for future purchases.

Reviews for NGFR/TNFRSF16/p75NTR Antibody (NBP2-47967) (0)

There are no reviews for NGFR/TNFRSF16/p75NTR Antibody (NBP2-47967). By submitting a review you will receive an Amazon e-Gift Card or Novus Product Discount.
  • Review with no image -- $10/€7/£6/$10 CAD/¥70 Yuan/¥1110 Yen
  • Review with an image -- $25/€18/£15/$25 CAD/¥150 Yuan/¥2500 Yen

Product General Protocols

Find general support by application which include: protocols, troubleshooting, illustrated assays, videos and webinars.

Video Protocols

ICC/IF Video Protocol

FAQs for NGFR/TNFRSF16/p75NTR Antibody (NBP2-47967) (0)

There are no specific FAQs related to this product. Read our general customer & technical service FAQs.

Secondary Antibodies

 

Isotype Controls

Additional NGFR/TNFRSF16/p75NTR Products

Research Areas for NGFR/TNFRSF16/p75NTR Antibody (NBP2-47967)

Find related products by research area.

Blogs on NGFR/TNFRSF16/p75NTR

There are no specific blogs for NGFR/TNFRSF16/p75NTR, but you can read our latest blog posts.

Customers Who Bought This Also Bought

Contact Information

Product PDFs

Calculators

Concentration Calculator

The concentration calculator allows you to quickly calculate the volume, mass or concentration of your vial. Simply enter your mass, volume, or concentration values for your reagent and the calculator will determine the rest.

=
÷

Review this Product

Be the first to review our NGFR/TNFRSF16/p75NTR Antibody (NGFR5 + NTR/912) - Azide and BSA Free and receive a gift card or discount.

Bioinformatics

Gene Symbol NGFR