Myosin Heavy Chain 3 Antibody - BSA Free

Images

 
Staining of human placenta shows no positivity in trophoblastic cells as expected.
Staining of human cerebral cortex shows no positivity in neurons as expected.
Staining of human skeletal muscle shows moderate to strong cytoplasmic positivity in myocytes.
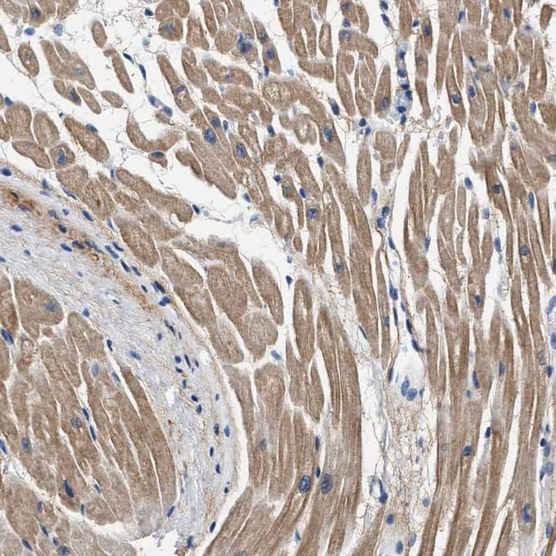
Staining of human heart muscle shows moderate to strong cytoplasmic positivity in cardiomyocytes.

Product Details

Summary
Reactivity Hu, Mu, RtSpecies Glossary
Applications IHC
Clonality
Polyclonal
Host
Rabbit
Conjugate
Unconjugated
Format
BSA Free

Order Details

View Available Formulations
Catalog# & Formulation Size Price

Myosin Heavy Chain 3 Antibody - BSA Free Summary

Description
Novus Biologicals Rabbit Myosin Heavy Chain 3 Antibody - BSA Free (NBP1-89707) is a polyclonal antibody validated for use in IHC. Anti-Myosin Heavy Chain 3 Antibody: Cited in 1 publication. All Novus Biologicals antibodies are covered by our 100% guarantee.
Immunogen
This antibody was developed against Recombinant Protein corresponding to amino acids: IEAQNQPFDAKTYCFVVDSKEEYAKGKIKSSQDGKVTVETEDNRTLVVKPEDVYAMNPPKFDRIEDMAML
Predicted Species
Mouse (96%), Rat (99%). Backed by our 100% Guarantee.
Isotype
IgG
Clonality
Polyclonal
Host
Rabbit
Gene
MYH3
Purity
Immunogen affinity purified
Innovator's Reward
Test in a species/application not listed above to receive a full credit towards a future purchase.

Applications/Dilutions

Dilutions
  • Immunohistochemistry 1:200 - 1:500
  • Immunohistochemistry-Paraffin 1:200 - 1:500
Application Notes
For IHC-Paraffin, HIER pH 6 retrieval is recommended.
Control Peptide
Myosin Heavy Chain 3 Recombinant Protein Antigen (NBP1-89707PEP)
Publications
Read Publication using NBP1-89707.

Packaging, Storage & Formulations

Storage
Store at 4C short term. Aliquot and store at -20C long term. Avoid freeze-thaw cycles.
Buffer
PBS (pH 7.2) and 40% Glycerol
Preservative
0.02% Sodium Azide
Purity
Immunogen affinity purified

Alternate Names for Myosin Heavy Chain 3 Antibody - BSA Free

  • HEMHC
  • Muscle embryonic myosin heavy chain
  • MYH3
  • MYHC-EMB
  • MYHSE1
  • Myosin Heavy Chain 3
  • Myosin heavy chain, fast skeletal muscle, embryonic
  • myosin, heavy chain 3, skeletal muscle, embryonic
  • myosin, heavy polypeptide 3, skeletal muscle, embryonic
  • myosin, skeletal, heavy chain, embryonic 1
  • myosin-3
  • SMHCE
  • SMHCEMyosin heavy chain 3

Background

Myosin is a major contractile protein which converts chemical energy into mechanical energy through the hydrolysis of ATP. Myosin is a hexameric protein composed of a pair of myosin heavy chains (MYH) and two pairs of nonidentical light chains. This gene is a member of the MYH family and encodes a protein with an IQ domain and a myosin head-like domain. Mutations in this gene have been associated with two congenital contracture (arthrogryposis) syndromes, Freeman-Sheldon syndrome and Sheldon-Hall syndrome. [provided by RefSeq]

Limitations

This product is for research use only and is not approved for use in humans or in clinical diagnosis. Primary Antibodies are guaranteed for 1 year from date of receipt.

Customers Who Viewed This Item Also Viewed...

NBP2-41309
Species: Hu, Mu, Rt
Applications: ELISA, ICC/IF, IHC,  IHC-P, WB
MAB66861
Species: Hu
Applications: ICC, WB
NBP2-95223
Species: Hu, Mu, Rt
Applications: ELISA, ICC/IF, IHC,  IHC-P, WB
NBP2-95197
Species: Hu, Mu, Rt
Applications: ICC/IF, IHC,  IHC-P, IP, WB
NBP2-26200
Species: Hu, Mu, Po, Rt
Applications: PEP-ELISA, WB
NB100-56511
Species: Hu, Mu
Applications: Flow, ICC/IF, IHC, IHC-Fr,  IHC-P, IP, KD, KO, WB
NBP1-92534
Species: Hu
Applications: IHC,  IHC-P, WB
NB300-221
Species: Av, Bv, Ca, Ch, ChHa, Dr, Eq, Fe, Ha, Hu, Mu, Ma-Op, Po, Pm, Rb, Rt, Sh, Ze
Applications: ChIP, ICC/IF, IHC, IHC-Fr, IP, KD, Simple Western, Single-Cell Western, WB
MAB4470
Species: All-Multi
Applications: Flow, ICC, IHC, WB
MAB9096
Species: Hu
Applications: IHC, WB
H00006908-Q01
Species: Hu
Applications: ELISA, AP, PA, PAGE, WB
NBP2-94624
Species: Hu, Mu, Rt
Applications: ELISA, ICC/IF, WB
NBP3-05634
Species: Hu, Mu, Rt
Applications: ELISA, ICC/IF, IHC,  IHC-P, WB
NBP2-44245
Species: Hu, Mu, Rt
Applications: IHC,  IHC-P, WB
291-G1
Species: Hu
Applications: BA
NB500-317
Species: Bv(-), Ca(-), Ch(-), Hu, Mu(-), Rb(-)
Applications: ELISA, Flow, ICC/IF, IHC,  IHC-P, IP, RIA, WB
NBP1-89707
Species: Hu
Applications: IHC,  IHC-P
NB100-74340
Species: Bv, ChHa, Dr, Fu, Hu, Mu, Pl, Pr, Rb, Rt, Sh, Xp, Ye, Ze
Applications: ELISA, Flow-IC, Flow, ICC/IF, IHC,  IHC-P, Simple Western, WB
NB100-1793
Species: Hu, Pm, Mu, Rt
Applications: Flow, IB, ICC/IF, IHC, IHC-Fr,  IHC-P, PEP-ELISA
NBP1-89707
Species: Hu, Mu, Rt
Applications: IHC

Publications for Myosin Heavy Chain 3 Antibody (NBP1-89707)(1)

We have publications tested in 1 application: Immunohistochemistry-Paraffin.


Filter By Application
Immunohistochemistry-Paraffin
(1)
All Applications
Filter By Species
All Species

Reviews for Myosin Heavy Chain 3 Antibody (NBP1-89707) (0)

There are no reviews for Myosin Heavy Chain 3 Antibody (NBP1-89707). By submitting a review you will receive an Amazon e-Gift Card or Novus Product Discount.
  • Review with no image -- $10/€7/£6/$10 CAD/¥70 Yuan/¥1110 Yen
  • Review with an image -- $25/€18/£15/$25 CAD/¥150 Yuan/¥2500 Yen

Product General Protocols

Find general support by application which include: protocols, troubleshooting, illustrated assays, videos and webinars.

FAQs for Myosin Heavy Chain 3 Antibody (NBP1-89707) (0)

There are no specific FAQs related to this product. Read our general customer & technical service FAQs.

Secondary Antibodies

 

Isotype Controls

Additional Myosin Heavy Chain 3 Products

Research Areas for Myosin Heavy Chain 3 Antibody (NBP1-89707)

Find related products by research area.

Blogs on Myosin Heavy Chain 3

There are no specific blogs for Myosin Heavy Chain 3, but you can read our latest blog posts.

Customers Who Bought This Also Bought

Contact Information

Product PDFs

Calculators

Concentration Calculator

The concentration calculator allows you to quickly calculate the volume, mass or concentration of your vial. Simply enter your mass, volume, or concentration values for your reagent and the calculator will determine the rest.

=
÷

Review this Product

Be the first to review our Myosin Heavy Chain 3 Antibody - BSA Free and receive a gift card or discount.

Bioinformatics

Gene Symbol MYH3