Myogenin Antibody (MGN185) - Azide and BSA Free

Images

 
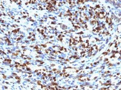
Immunohistochemistry-Paraffin: Myogenin Antibody (MGN185) - Azide and BSA Free [NBP2-33056] - Formalin-fixed, paraffin-embedded human Rhabdomyosarcoma stained with MyoD Antibody (MYOD1/2075R).

Product Details

Summary
Reactivity Hu, Mu, Rt, Po, FeSpecies Glossary
Applications Flow, IHC
Clone
MGN185
Clonality
Monoclonal
Host
Mouse
Conjugate
Unconjugated
Format
Azide and BSA Free
Concentration
1.0 mg/ml

Order Details

Myogenin Antibody (MGN185) - Azide and BSA Free Summary

Description
1.0 mg/ml of antibody purified from Bioreactor Concentrate by Protein A/G. Prepared in 10mM PBS WITHOUT BSA & azide. Also available at 200 ug/ml WITH BSA & azide (NBP2-29431).

Antibody with azide - store at 2 to 8C. Antibody without azide - store at -20 to -80C.
Immunogen
Human Myogenin recombinant protein (Uniprot: P15173)
Localization
Nuclear
Marker
Skeletal Muscle Marker
Specificity
Myogenin is a member of the MyoD family of myogenic basic helix-loop-helix (bHLH) transcription factors that also includes MyoD, Myf-5, and MRF4 (also known as herculinor Myf-6). MyoD family members are expressed exclusively in skeletal muscle and play a key role in activating myogenesis by binding to enhancer sequences of muscle-specific genes. The regulatory domain of MyoD is approximately 70 amino acids in length and includes both a basic DNA binding motif and a bHLH dimerization motif. MyoD family members share about 80% amino acid homology in their bHLH motifs.Anti-myogenin labels the nuclei of myoblasts in developing muscle tissue, and is expressed in tumor cell nuclei of rhabdomyosarcoma and some leiomyosarcomas. Positive nuclear staining may occur in Wilms' tumor.
Isotype
IgG1 Kappa
Clonality
Monoclonal
Host
Mouse
Gene
MYOG
Purity
Protein A or G purified
Innovator's Reward
Test in a species/application not listed above to receive a full credit towards a future purchase.

Applications/Dilutions

Dilutions
  • Flow Cytometry
  • Immunohistochemistry
  • Immunohistochemistry-Paraffin
Application Notes
Immunohistochemistry (Formalin-fixed): 1-2ug/ml for 30 minutes at RT. Staining of formalin-fixed tissues requires heating tissue sections in 10mM Tris with 1mM EDTA, pH 9.0, for 45 min at 95C followed by cooling at RT for 20 minutes.
Optimal dilution for a specific application should be determined.
Theoretical MW
34 kDa.
Disclaimer note: The observed molecular weight of the protein may vary from the listed predicted molecular weight due to post translational modifications, post translation cleavages, relative charges, and other experimental factors.
Publications
Read Publication using NBP2-33056.

Packaging, Storage & Formulations

Storage
Store at -20 to -80C. Avoid freeze-thaw cycles.
Buffer
10 mM PBS
Preservative
No Preservative
Concentration
1.0 mg/ml
Purity
Protein A or G purified

Alternate Names for Myogenin Antibody (MGN185) - Azide and BSA Free

  • BHLHC3
  • bHLHc3Myogenic factor-4; myogenin
  • Class C basic helix-loop-helix protein 3
  • MYF4
  • myf-4
  • MYF4myogenin
  • MYOG
  • Myogenic factor 4
  • myogenin (myogenic factor 4)
  • Myogenin

Background

Myogenin is a member of the MyoD family of myogenic basic helix-loop-helix (bHLH) transcription factors that also includes MyoD, Myf-5, and MRF4 (also known as herculinor Myf-6). MyoD family members are expressed exclusively in skeletal muscle and play a key role in activating myogenesis by binding to enhancer sequences of muscle-specific genes. The regulatory domain of MyoD is approximately 70 amino acids in length and includes both a basic DNA binding motif and a bHLH dimerization motif. MyoD family members share about 80% amino acid homology in their bHLH motifs. Transfection of myogenin and other family members into a variety of non-muscle cells has been shown to either convert these cells to myogenic cells, or to transcriptionally activate a set of otherwise unexpressed muscle-specific genes. In addition to activating muscle specific genes, members of the MyoD family members activate their own transcription and transactivate the transcription of other MyoD family members. For example, transfection of myogenin into 10T1/2 cells or Swiss 3T3 cells results in the activation of theendogenous myogenin gene as well as transactivation of MyoD. Likewise, the transfection of MyoD into these cells results in the activation of MyoD as well as the transactivation of myogenin. Each member of the MyoD family has distinct roles in muscle development; myogenin plays a key role in muscle maturation. Myogenin migrates at a molecular weight of approx. 34 kDa by SDS-PAGE.

Limitations

This product is for research use only and is not approved for use in humans or in clinical diagnosis. Primary Antibodies are guaranteed for 1 year from date of receipt.

Customers Who Viewed This Item Also Viewed...

NB100-56511
Species: Hu, Mu
Applications: Flow, ICC/IF, IHC, IHC-Fr,  IHC-P, IP, KD, KO, WB
NBP2-44245
Species: Hu, Mu, Rt
Applications: IHC,  IHC-P, WB
NBP1-52030
Species: Hu
Applications: PEP-ELISA, WB
AF3844
Species: Hu, Mu
Applications: IHC
291-G1
Species: Hu
Applications: BA
NBP2-29463
Species: Pm, Hu, Pm, Mu
Applications: Flow, ICC/IF, IHC,  IHC-P, WB
H00004205-M02
Species: Hu
Applications: ELISA, ICC/IF, IHC,  IHC-P, S-ELISA, WB
788-G8/CF
Species: Hu, Mu, Rt
Applications: BA
MAB1675
Species: Ch, Hu, Mu, Rt
Applications: ICC, IHC
NBP2-46085
Species: Hu
Applications: IHC,  IHC-P, WB
H00027065-M01
Species: Hu, Rt
Applications: ELISA, ICC/IF, S-ELISA, WB
292-G2
Species: Hu
Applications: BA
MAB4470
Species: All-Multi
Applications: Flow, ICC, IHC, WB
MAB2457
Species: Hu, Mu
Applications: CyTOF-ready, ICC, ICFlow, WB
AF887
Species: Hu, Mu, Rt
Applications: CyTOF-ready, IHC, ICFlow, Simple Western, WB
233-FB
Species: Hu
Applications: BA
AF6116
Species: Hu
Applications: ICC, WB
NBP2-13957
Species: Hu
Applications: IHC,  IHC-P, WB
AF1230
Species: Hu, Mu, Rt
Applications: IHC, KO, WB
NBP2-33056
Species: Hu, Mu, Rt, Po, Fe
Applications: Flow, IHC

Publications for Myogenin Antibody (NBP2-33056)(1)

We have publications tested in 1 application: Flow Cytometry.


Filter By Application
Flow Cytometry
(1)
All Applications
Filter By Species
All Species

Reviews for Myogenin Antibody (NBP2-33056) (0)

There are no reviews for Myogenin Antibody (NBP2-33056). By submitting a review you will receive an Amazon e-Gift Card or Novus Product Discount.
  • Review with no image -- $10/€7/£6/$10 CAD/¥70 Yuan/¥1110 Yen
  • Review with an image -- $25/€18/£15/$25 CAD/¥150 Yuan/¥2500 Yen

Product General Protocols

Find general support by application which include: protocols, troubleshooting, illustrated assays, videos and webinars.

FAQs for Myogenin Antibody (NBP2-33056) (0)

There are no specific FAQs related to this product. Read our general customer & technical service FAQs.

Customers Who Bought This Also Bought

Contact Information

Product PDFs

Calculators

Concentration Calculator

The concentration calculator allows you to quickly calculate the volume, mass or concentration of your vial. Simply enter your mass, volume, or concentration values for your reagent and the calculator will determine the rest.

=
÷

Review this Product

Be the first to review our Myogenin Antibody (MGN185) - Azide and BSA Free and receive a gift card or discount.

Bioinformatics

Gene Symbol MYOG