MUC3 Antibody (M3.1) - IHC-Prediluted

Images

 
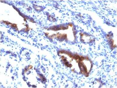
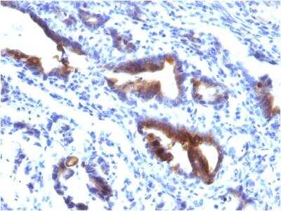
Immunohistochemistry-Paraffin: MUC3 Antibody (M3.1) - IHC-Prediluted [NBP2-48392] - Formalin-fixed, paraffin-embedded human Colon Carcinoma stained with MUC3 Mouse Monoclonal Antibody (M3.1).
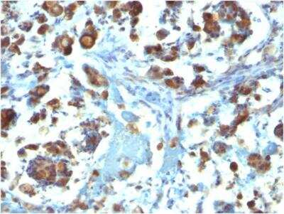
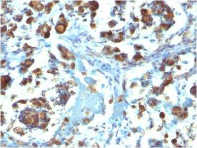
Immunohistochemistry-Paraffin: MUC3 Antibody (M3.1) - IHC-Prediluted [NBP2-48392] - Formalin-fixed, paraffin-embedded human Gastric Carcinoma stained with MUC3 Mouse Monoclonal Antibody (M3.1).
Immunohistochemistry-Paraffin: MUC3 Antibody (M3.1) - IHC-Prediluted [NBP2-48392] - Formalin-fixed, paraffin-embedded human Gastric Carcinoma stained with MUC3 Mouse Monoclonal Antibody (M3.1).

Product Details

Summary
Reactivity HuSpecies Glossary
Applications IHC
Clone
M3.1
Clonality
Monoclonal
Host
Mouse
Conjugate
Unconjugated
Format
IHC-Prediluted

Order Details

MUC3 Antibody (M3.1) - IHC-Prediluted Summary

Description
The prediluted antibody does not require any mixing, dilution, reconstitution, or titration; the antibody is ready-to-use and optimized for staining.
Immunogen
A synthetic peptide of 35 amino acids, SIB35 (C-HSTPSFTSSITTTETTSHSTPSFTSSITTTETTS), which contains two of the MUC3 tandem repeats, coupled to KLH.
Epitope
SITTTE
Localization
Cytoplasmic and cell surface
Specificity
It recognizes a protein of HMW, identified as mucin 3 glycoprotein (MUC3). Its epitope localizes between aa SITTTE. This monoclonal antibody shows no cross-reaction with human milk fat globule membranes, MUC1, or MUC2. MUC3 is distributed in colon and rectum, and is also present to a lesser extent in breast, lung and salivary gland tissues. The Mucins are a family of highly glycosylated, secreted proteins with a basic structure consisting of a variable number of tandem repeats (VNTRs) encoded by 60 base pairs (Mucin 1), 69 base pairs (Mucin 2) and 51 base pairs (Mucin 3). The number of repeats is highly polymorphic and varies among different alleles. Mucin 1 proteins are expressed as type I membrane proteins in addition to secreted forms. Mucin 1 is aberrantly expressed in epithelial tumors including breast carcinomas. Mucin 2 coats the epithelia of the intestines and airways and is associated with colonic tumors. Mucin 3 is a major component of various mucus gels and is broadly expressed in normal and tumor cells.
Isotype
IgG2a Kappa
Clonality
Monoclonal
Host
Mouse
Gene
MUC3A
Purity
Protein A or G purified
Innovator's Reward
Test in a species/application not listed above to receive a full credit towards a future purchase.

Applications/Dilutions

Dilutions
  • Immunohistochemistry
  • Immunohistochemistry-Paraffin
Application Notes
Immunohistochemistry (Formalin-fixed): 1-2ug/ml for 30 minutes at RT. Staining of formalin-fixed tissues requires heating tissue sections in 10mM Tris with 1mM EDTA, pH 9.0, for 45 min at 95C followed by cooling at RT for 20 minutes.
Optimal dilution for a specific application should be determined.
Theoretical MW
1100 kDa.
Disclaimer note: The observed molecular weight of the protein may vary from the listed predicted molecular weight due to post translational modifications, post translation cleavages, relative charges, and other experimental factors.

Packaging, Storage & Formulations

Storage
Store at 4C.
Buffer
10 mM PBS with 0.05% BSA
Preservative
0.05% Sodium Azide
Purity
Protein A or G purified

Alternate Names for MUC3 Antibody (M3.1) - IHC-Prediluted

  • MUC-3A
  • mucin 3, intestinal
  • mucin 3A, cell surface associated
  • mucin 3A, intestinal
  • mucin-3A

Background

The mucin genes encode epithelial glycoproteins, some of which are secreted and some membrane bound. Each of the genes contains at least one large domain of tandemly repeated sequence that encodes the peptide sequence rich in serine and/or threonine residues, which carries most of the O-linked glycosylation (Gendler and Spicer, 1995 (PubMed 7778880)).(supplied by OMIM)

Limitations

This product is for research use only and is not approved for use in humans or in clinical diagnosis. Primary Antibodies are guaranteed for 1 year from date of receipt.

Customers Who Viewed This Item Also Viewed...

NB120-11197
Species: Hu, Mu
Applications: Flow-IC, Flow, ICC/IF (-), IHC, IHC-Fr,  IHC-P, WB
NB120-22711
Species: Hu, Mu
Applications: ELISA, Flow, ICC/IF, IHC, IHC-Fr,  IHC-P
H00004585-M07
Species: Hu, Mu
Applications: ELISA, IHC,  IHC-P, WB
NBP2-15196
Species: Bv(-), Ch, Fe, Hu, Ma, Pm, Mu, Po, Rb, Rt
Applications: DB, Flow-IC, Flow, ICC/IF, IHC, IHC-Fr,  IHC-P, WB
NBP1-92151
Species: Hu
Applications: ICC/IF, IHC,  IHC-P
NBP2-44374
Species: Hu
Applications: Flow, ICC/IF, IF, IHC,  IHC-P, IP, WB
NBP1-82045
Species: Hu
Applications: IHC,  IHC-P
NBP1-82607
Species: Hu
Applications: IHC,  IHC-P
NBP1-91013
Species: Hu
Applications: ICC/IF, IHC,  IHC-P, WB
DTFF30
Species: Hu
Applications: ELISA
AF231
Species: Hu
Applications: CyTOF-ready, Dual ISH-IHC, ELISA(Cap), ELISA(Det), ELISA(Sta), Flow, ICC, IHC, IP, Simple Western, WB
5609-MU
Species: Hu
Applications: Bind
236-EG
Species: Hu
Applications: BA
NBP1-31851
Species: Hu, Mu, Rt
Applications: ICC/IF, WB
NBP2-67309
Species: Hu, Rt
Applications: Flow, ICC/IF, IHC,  IHC-P, IP, WB
1129-ER
Species: Hu
Applications: BA
NBP2-24566
Species: Hu
Applications: IHC,  IHC-P, WB
NBP2-48392
Species: Hu
Applications: IHC

Publications for MUC3 Antibody (NBP2-48392) (0)

There are no publications for MUC3 Antibody (NBP2-48392).
By submitting your publication information earn gift cards and discounts for future purchases.

Reviews for MUC3 Antibody (NBP2-48392) (0)

There are no reviews for MUC3 Antibody (NBP2-48392). By submitting a review you will receive an Amazon e-Gift Card or Novus Product Discount.
  • Review with no image -- $10/€7/£6/$10 CAD/¥70 Yuan/¥1110 Yen
  • Review with an image -- $25/€18/£15/$25 CAD/¥150 Yuan/¥2500 Yen

Product General Protocols

Find general support by application which include: protocols, troubleshooting, illustrated assays, videos and webinars.

FAQs for MUC3 Antibody (NBP2-48392) (0)

There are no specific FAQs related to this product. Read our general customer & technical service FAQs.

Customers Who Bought This Also Bought

Contact Information

Product PDFs

Calculators

Concentration Calculator

The concentration calculator allows you to quickly calculate the volume, mass or concentration of your vial. Simply enter your mass, volume, or concentration values for your reagent and the calculator will determine the rest.

=
÷

Review this Product

Be the first to review our MUC3 Antibody (M3.1) - IHC-Prediluted and receive a gift card or discount.

Bioinformatics

Gene Symbol MUC3A
Uniprot