MRPL36 Antibody - BSA Free

Images

 
Immunocytochemistry/ Immunofluorescence: MRPL36 Antibody [NBP1-92139] - Staining of human cell line HeLa shows localization to nuclear bodies & mitochondria.
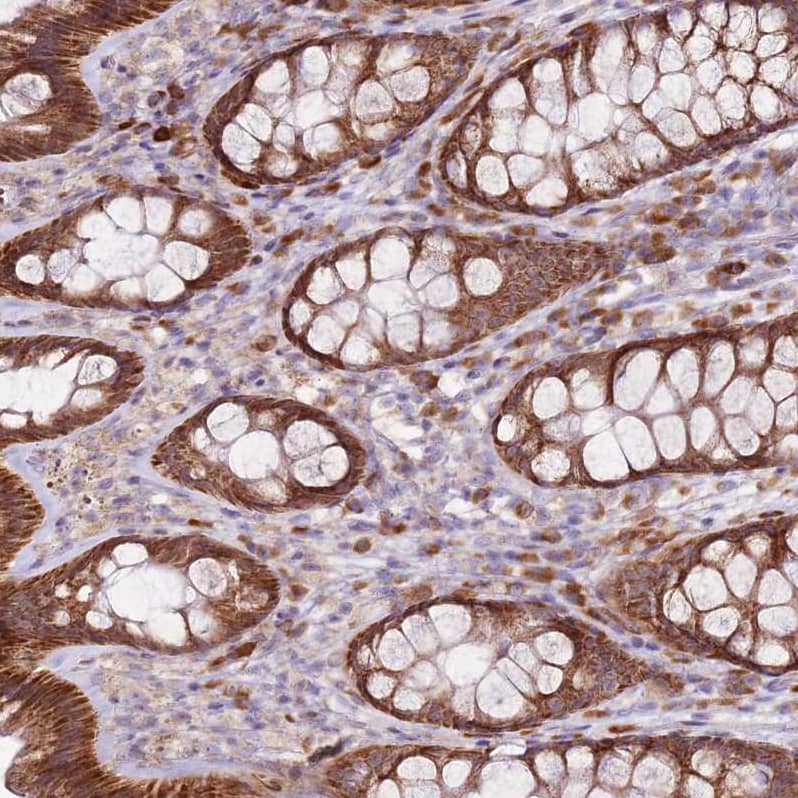
Immunohistochemistry-Paraffin: MRPL36 Antibody [NBP1-92139] - Staining of human colon shows strong cytoplasmic positivity in glandular cells.
Staining of human colon shows strong granular cytoplasmic positivity in glandular cells.
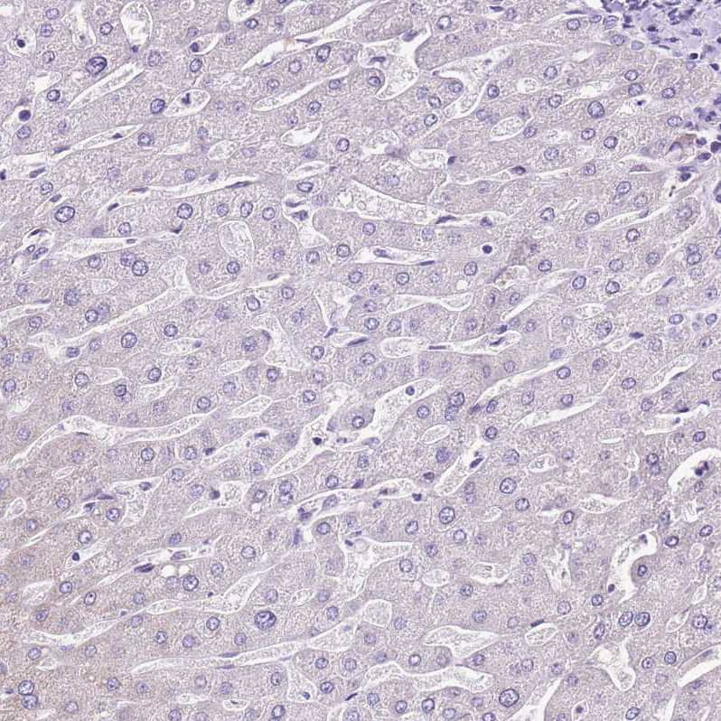
Staining of human liver shows no positivity in hepatocytes as expected.
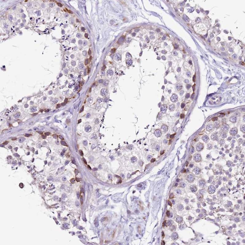
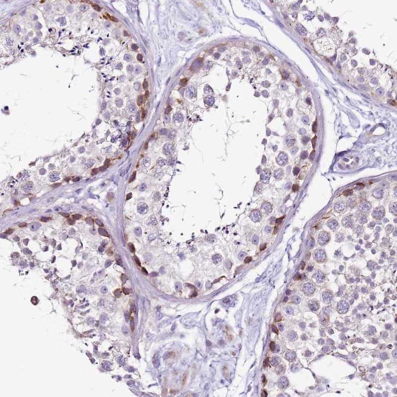
Staining of human testis shows moderate granular cytoplasmic positivity in subset of cells in seminiferous ducts.
Staining of human cerebral cortex shows weak granular cytoplasmic positivity in neurons.

Product Details

Summary
Reactivity HuSpecies Glossary
Applications ICC/IF, IHC
Clonality
Polyclonal
Host
Rabbit
Conjugate
Unconjugated
Format
BSA Free

Order Details

View Available Formulations
Catalog# & Formulation Size Price

MRPL36 Antibody - BSA Free Summary

Description
Novus Biologicals Rabbit MRPL36 Antibody - BSA Free (NBP1-92139) is a polyclonal antibody validated for use in IHC and ICC/IF. All Novus Biologicals antibodies are covered by our 100% guarantee.
Immunogen
This antibody was developed against Recombinant Protein corresponding to amino acids: PVAVEPGAAVRSLLSPGLLPHLLPALGFKNKTVLKKRCKDCYLVKRRGRWYVYCKTHPRHKQRQM
Isotype
IgG
Clonality
Polyclonal
Host
Rabbit
Gene
MRPL36
Purity
Immunogen affinity purified
Innovator's Reward
Test in a species/application not listed above to receive a full credit towards a future purchase.

Applications/Dilutions

Dilutions
  • Immunocytochemistry/ Immunofluorescence 0.25-2 ug/ml
  • Immunohistochemistry 1:50 - 1:200
  • Immunohistochemistry-Paraffin 1:50 - 1:200
Application Notes
For IHC-Paraffin, HIER pH 6 retrieval is recommended. ICC/IF Fixation Permeabilization: Use PFA/Triton X-100.
Control Peptide
MRPL36 Protein (NBP1-92139PEP)

Packaging, Storage & Formulations

Storage
Store at 4C short term. Aliquot and store at -20C long term. Avoid freeze-thaw cycles.
Buffer
PBS (pH 7.2) and 40% Glycerol
Preservative
0.02% Sodium Azide
Purity
Immunogen affinity purified

Alternate Names for MRPL36 Antibody - BSA Free

  • BRCA1-interacting protein 1
  • BRIP1MGC104245
  • L36mtMRP-L36PRPL36
  • mitochondrial ribosomal protein L36,39S ribosomal protein L36, mitochondrial
  • putative BRCA1-interacting protein
  • RPMJ

Background

MRPL36, also known as 39 S ribosomal protein L36, mitochondrial, is an 11.8 kDa, 103 amino acid protein that is utilized in the large ribosomal subunit in the mitochondria. Diseases and disorders such as Wolf-Hirschhorn syndrome and genital herpes are being researched with this protein. The protein interacts with RRAS, UPF1, MRPL3, BRCA1, and RPS16 proteins.

Limitations

This product is for research use only and is not approved for use in humans or in clinical diagnosis. Primary Antibodies are guaranteed for 1 year from date of receipt.

Customers Who Viewed This Item Also Viewed...

MAB2476
Species: Hu
Applications: IHC, WB
NB100-598
Species: Hu
Applications: CyTOF-ready, Flow, ICC/IF, IP, WB
NB100-60439
Species: Hu, Mu
Applications: IP, WB
AF5776
Species: Hu
Applications: IHC, WB
NBP2-71688
Species: Ca, Hu, Mu, Rt
Applications: CyTOF-ready, Flow, ICC/IF, IHC,  IHC-P, IP, WB
NB100-309
Species: Hu, Pm, Mu, Rt
Applications: ChIP, ELISA, Flow, ICC/IF, IHC,  IHC-P, IP, KD, PAGE, Single-Cell Western, WB
NB100-2564
Species: Hu
Applications: WB
NB100-182
Species: Av, Ca, Hu, Ma, Mu, Pm, Rt, Ze
Applications: ChIP, ChIP, Flow, IB, ICC/IF, IHC,  IHC-P, IP, KD, KO, RNAi, Simple Western, WB
NB200-103
Species: Hu, Mu, Rt, Xp(-), Ye
Applications: CyTOF-ready, ELISA, Flow-IC, Flow, ICC/IF, IHC, IHC-Fr,  IHC-P, IP, WB
NB100-143
Species: Ha, Hu, Ma, Mu, Pm
Applications: ChIP, ChIP, ELISA, Flow, IB, ICC/IF, IHC,  IHC-P, IP, ISH, KD, KO, PAGE, WB
AF847
Species: Hu, Mu, Rt
Applications: CyTOF-ready, IHC, ICFlow, KO, Simple Western, WB
NB100-79809
Species: Hu, Mu
Applications: ChIP, ICC/IF, IP
NBP2-14835
Species: Hu, Mu
Applications: ICC/IF, IHC,  IHC-P, WB
NB100-147
Species: Hu, Pm, Mu, Rt
Applications: ICC/IF, IHC,  IHC-P, IP, In vitro, KD, WB
NBP2-01743
Species: Hu
Applications: Flow, ICC/IF, IHC,  IHC-P, WB
NB100-148
Species: Ch, Hu, Mu, Rt
Applications: ChIP, ICC/IF, IHC, IHC-Fr,  IHC-P, IP, In vitro, KD, PLA, WB
NBP1-80608
Species: Hu
Applications: ICC/IF, IHC,  IHC-P, WB
NBP1-84758
Species: Hu
Applications: ICC/IF, IHC,  IHC-P, WB
NB100-177
Species: Hu, Mu, Pm, Ye
Applications: CyTOF-ready, Flow, ICC/IF, IHC,  IHC-P, IP, Simple Western, WB
NB100-319
Species: Hu
Applications: IP, WB

Publications for MRPL36 Antibody (NBP1-92139) (0)

There are no publications for MRPL36 Antibody (NBP1-92139).
By submitting your publication information earn gift cards and discounts for future purchases.

Reviews for MRPL36 Antibody (NBP1-92139) (0)

There are no reviews for MRPL36 Antibody (NBP1-92139). By submitting a review you will receive an Amazon e-Gift Card or Novus Product Discount.
  • Review with no image -- $10/€7/£6/$10 CAD/¥70 Yuan/¥1110 Yen
  • Review with an image -- $25/€18/£15/$25 CAD/¥150 Yuan/¥2500 Yen

Product General Protocols

Find general support by application which include: protocols, troubleshooting, illustrated assays, videos and webinars.

Video Protocols

ICC/IF Video Protocol

FAQs for MRPL36 Antibody (NBP1-92139) (0)

There are no specific FAQs related to this product. Read our general customer & technical service FAQs.

Customers Who Bought This Also Bought

Contact Information

Product PDFs

Calculators

Concentration Calculator

The concentration calculator allows you to quickly calculate the volume, mass or concentration of your vial. Simply enter your mass, volume, or concentration values for your reagent and the calculator will determine the rest.

=
÷

Review this Product

Be the first to review our MRPL36 Antibody - BSA Free and receive a gift card or discount.

Bioinformatics

Gene Symbol MRPL36