MOSPD2 Antibody - BSA Free

Images

 
Immunocytochemistry/ Immunofluorescence: MOSPD2 Antibody [NBP1-93499] - Staining of human cell line A-431 shows localization to endoplasmic reticulum. Antibody staining is shown in green.
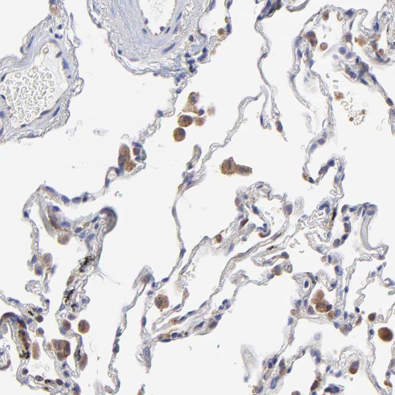
Immunohistochemistry-Paraffin: MOSPD2 Antibody [NBP1-93499] - Staining of human lung shows moderate cytoplasmic positivity in macrophages.
Immunohistochemistry-Paraffin: MOSPD2 Antibody [NBP1-93499] - Staining of human skeletal muscle shows no positivity in myocytes as expected.
ELISA: MOSPD2 Antibody [NBP1-93499] - ELISA image submitted by a verified customer review.
Orthogonal Strategies: Western Blot-MOSPD2 Antibody [NBP1-93499] - Analysis in human cell lines SK-MEL-30 and MCF-7 using Anti-MOSPD2 antibody. Corresponding MOSPD2 RNA-seq data are presented for the same cell ...read more
Staining of human cerebral cortex shows strong cytoplasmic positivity in a subset of glial cells.
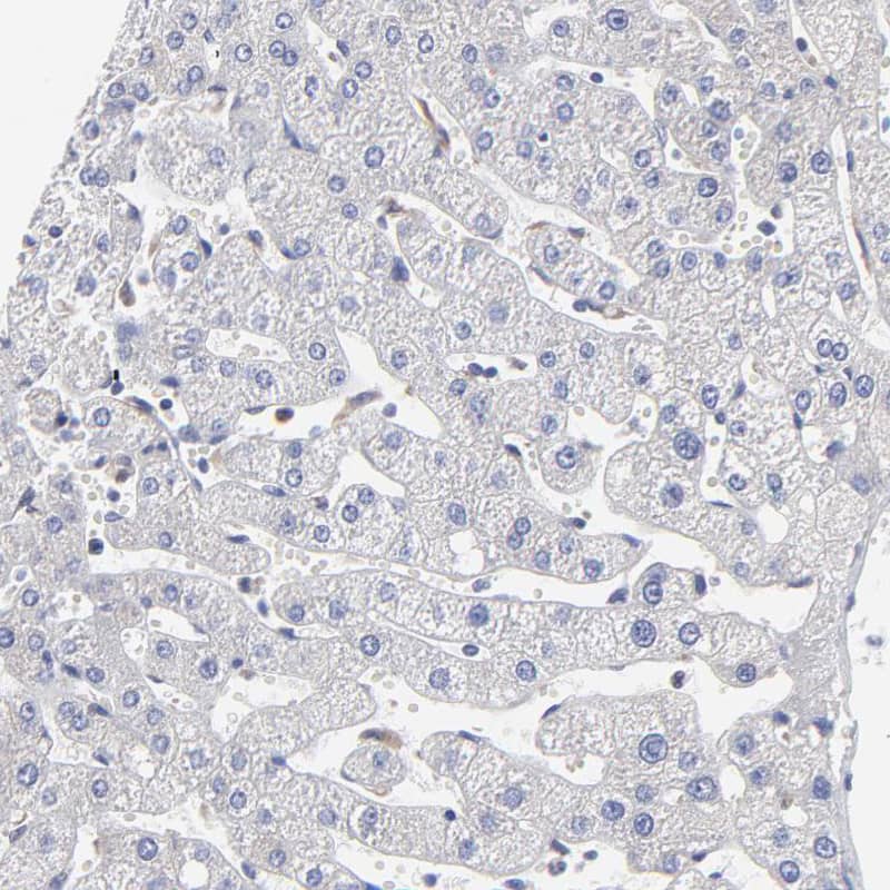
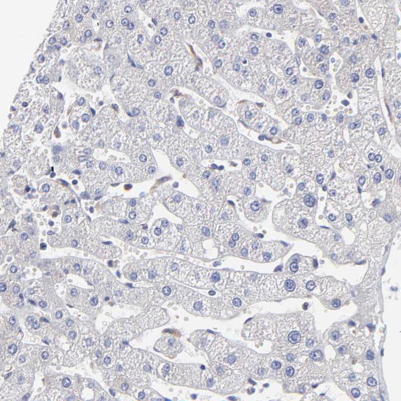
Staining of human liver shows weak cytoplasmic positivity in Kupffer cells.
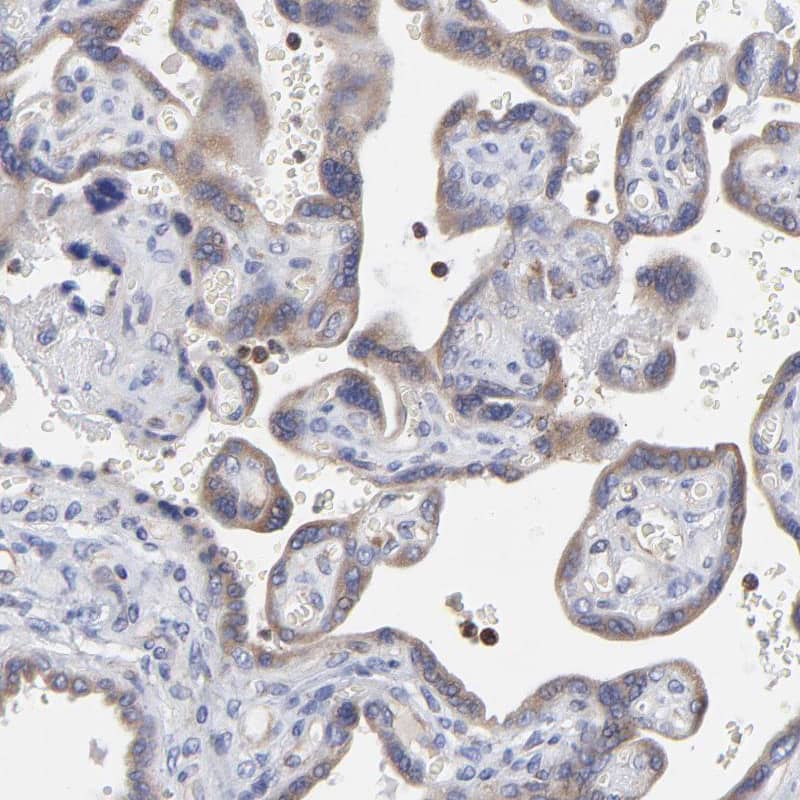
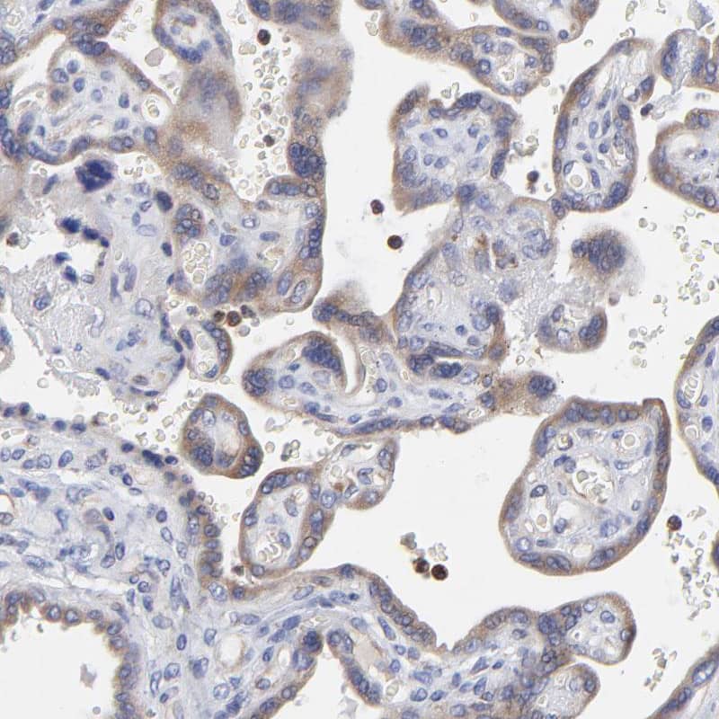
Staining of human placenta shows moderate cytoplasmic positivity in a subset of leukocytes.
Orthogonal Strategies: Analysis in human cell lines SK-MEL-30 and MCF-7 using Anti-MOSPD2 antibody. Corresponding MOSPD2 RNA-seq data are presented for the same cell lines. Loading control: Anti-PFN1.
Staining of human skeletal muscle shows no positivity in myocytes as expected.
Staining of human lung shows moderate cytoplasmic positivity in macrophages.

Product Details

Summary
Reactivity Hu, Pm, RtSpecies Glossary
Applications ELISA, ICC/IF, IHC
Clonality
Polyclonal
Host
Rabbit
Conjugate
Unconjugated
Format
BSA Free
Validated by:
       

Orthogonal Strategies

 

Order Details

View Available Formulations
Catalog# & Formulation Size Price

MOSPD2 Antibody - BSA Free Summary

Description
Novus Biologicals Rabbit MOSPD2 Antibody - BSA Free (NBP1-93499) is a polyclonal antibody validated for use in IHC, ELISA and ICC/IF. All Novus Biologicals antibodies are covered by our 100% guarantee.
Immunogen
This antibody was developed against Recombinant Protein corresponding to amino acids: SSKEDIESDGKETLETISNEEQTPLLKKINPTESTSKAEENEKVDSKVKAFKKPLSVFKGPLLHISPAEELYFGSTESGEKKTLIVLTNVTKNIVAFKVRTTAPEKYRVKPSNSSCDPGASVDIVVSPHGGLTVSA
Predicted Species
Rat (90%). Backed by our 100% Guarantee.
Isotype
IgG
Clonality
Polyclonal
Host
Rabbit
Gene
MOSPD2
Purity
Immunogen affinity purified
Innovator's Reward
Test in a species/application not listed above to receive a full credit towards a future purchase.

Applications/Dilutions

Dilutions
  • ELISA Validated from a verified customer review
  • Immunocytochemistry/ Immunofluorescence 0.25 - 2 ug/mL
  • Immunohistochemistry 1:200 - 1:500
  • Immunohistochemistry-Paraffin 1:200 - 1:500
Application Notes
For IHC-Paraffin, HIER pH 6 retrieval is recommended. ICC/IF Fixation Permeabilization: Use PFA/Triton X-100.
Control Peptide
MOSPD2 Protein (NBP1-93499PEP)
Reviewed Applications
Read 1 Review rated 5
using
NBP1-93499 in the following applications:

Reactivity Notes

Immunogen displays the following percentage of sequence identity for non-tested species: Mouse (89%). Primate reactivity reported from a verified customer review.

Packaging, Storage & Formulations

Storage
Store at 4C short term. Aliquot and store at -20C long term. Avoid freeze-thaw cycles.
Buffer
PBS (pH 7.2), 40% Glycerol
Preservative
0.02% Sodium Azide
Purity
Immunogen affinity purified

Alternate Names for MOSPD2 Antibody - BSA Free

  • DKFZp686C1553
  • MGC26706
  • motile sperm domain containing 2

Limitations

This product is for research use only and is not approved for use in humans or in clinical diagnosis. Primary Antibodies are guaranteed for 1 year from date of receipt.

Customers Who Viewed This Item Also Viewed...

AF748
Species: Hu, Mu
Applications: CyTOF-ready, Dual ISH-IHC, Flow, ICC, IHC, Simple Western, WB
NBP1-80831
Species: Hu
Applications: IHC,  IHC-P, WB
MAB1790
Species: Hu
Applications: IHC, Simple Western, WB
NBP1-81889
Species: Hu
Applications: ICC/IF, IHC,  IHC-P, WB
NBP1-86380
Species: Bv, Hu, Mu
Applications: ICC/IF, IHC, IHC-Fr,  IHC-P, WB
AF7094
Species: Hu
Applications: IHC
NBP1-86306
Species: Hu
Applications: IHC,  IHC-P
NBP1-21502
Species: Bv, Hu, Mu, Po, Rt
Applications: Flow-IC, Flow, ICC/IF, IHC,  IHC-P, WB
NBP2-15840
Species: Hu, Mu, Rt
Applications: ICC/IF, IHC,  IHC-P, WB
NBP1-84897
Species: Hu, Rt
Applications: ICC/IF, IHC,  IHC-P
NBP1-85698
Species: Hu
Applications: ICC/IF, IHC,  IHC-P, WB
NBP1-44375
Species: Hu, Mu, Rt
Applications: ICC/IF, IHC,  IHC-P, WB
3218-ND
Species: Hu
Applications: BA
AF2605
Species: Hu
Applications: ICC, IHC, Simple Western, WB
AF1700
Species: Hu
Applications: ChIP, ICC, IHC, Simple Western, WB
NBP1-81021
Species: Hu, Mu
Applications: ICC/IF, IHC,  IHC-P, IP
NBP1-86807
Species: Hu
Applications: IHC,  IHC-P, WB
NBP2-81739
Species: Hu, Mu, Rt
Applications: ELISA, ICC/IF, IHC,  IHC-P, WB
AF3639
Species: Hu
Applications: ChIP, ICC, ICFlow, WB
MAB8175
Species: Hu
Applications: IHC, Simple Western, WB

Publications for MOSPD2 Antibody (NBP1-93499) (0)

There are no publications for MOSPD2 Antibody (NBP1-93499).
By submitting your publication information earn gift cards and discounts for future purchases.

Review for MOSPD2 Antibody (NBP1-93499) (1) 51

Average Rating: 5
(Based on 1 review)
We have 1 review tested in 1 species: Monkey.

Reviews using NBP1-93499:
Filter by Applications
ELISA
(1)
All Applications
Filter by Species
Monkey
(1)
All Species
Images Ratings Applications Species Date Details
ELISA MOSPD2 NBP1-93499
Enlarge
5
reviewed by:
Vijay Patel
ELISA Monkey 12/12/2020
View

Summary

ApplicationELISA
Sample TestedSerum
SpeciesMonkey
LotC119204

Product General Protocols

Find general support by application which include: protocols, troubleshooting, illustrated assays, videos and webinars.

Video Protocols

ICC/IF Video Protocol

FAQs for MOSPD2 Antibody (NBP1-93499) (0)

There are no specific FAQs related to this product. Read our general customer & technical service FAQs.

Customers Who Bought This Also Bought

Contact Information

Product PDFs

Calculators

Concentration Calculator

The concentration calculator allows you to quickly calculate the volume, mass or concentration of your vial. Simply enter your mass, volume, or concentration values for your reagent and the calculator will determine the rest.

=
÷

Recent Reviews

5
5
1
4
0
3
0
2
0
1
0

Vijay Patel
12/12/2020
Application: ELISA
Species: Monkey

Bioinformatics

Gene Symbol MOSPD2