MITF Antibody (MITF/2987R) - Azide and BSA Free

Images

 
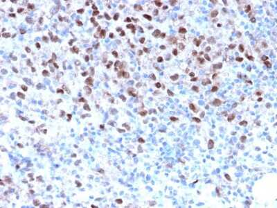
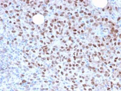
Immunohistochemistry-Paraffin: MITF Antibody (MITF/2987R) - Azide and BSA Free [NBP3-08590] - Formalin-fixed, paraffin-embedded human Melanoma stained with MITF Recombinant Rabbit Monoclonal Antibody (MITF/2987R).
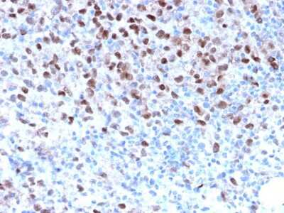
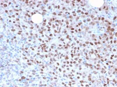
Immunohistochemistry-Paraffin: MITF Antibody (MITF/2987R) - Azide and BSA Free [NBP3-08590] - Formalin-fixed, paraffin-embedded human Melanoma stained with MITF Recombinant Rabbit Monoclonal Antibody (MITF/2987R).

Product Details

Summary
Reactivity Hu, Ca, Mu(-), Rt(-)Species Glossary
Applications Flow, ICC/IF, IHC
Clone
MITF/2987R
Clonality
Monoclonal
Host
Rabbit
Conjugate
Unconjugated
Format
Azide and BSA Free
Concentration
1 mg/ml

Order Details

MITF Antibody (MITF/2987R) - Azide and BSA Free Summary

Description
1.0 mg/ml of antibody purified from Bioreactor Concentrate by Protein A/G. Prepared in 10mM PBS WITHOUT BSA & azide. Also available at 200 ug/ml WITH BSA & azide (NBP3-07316).

Antibody with azide - store at 2 to 8C. Antibody without azide - store at -20 to -80C.
Additional Information
Recombinant Monoclonal Antibody
Immunogen
Recombinant full-length human MITF protein (Uniprot: O75030)
Localization
Nuclear
Specificity
MITF (microphthalmia transcription factor) is a basic helix-loop-helix-leucine-zipper (bHLH-Zip) transcription factor that regulates the development and survival of melanocytes and retinal pigment epithelium, and also is involved in transcription of pigmentation enzyme genes such as tyrosinase TRP1 and TRP2. MITF has been shown to be phosphorylated by MAP kinase in response to c-kit activation, resulting in upregulation of MITF transcriptional activity. Mutations of the MITF gene are associated with the autosomal dominant hereditary deafness and pigmentation condition, Waardenburg Syndrome type 2A. Multiple isoforms of MITF exist, including MITF-A, MITF-B, MITF-C, MITF-H, and MITF-M, which differ in the amino-terminal domain and in their expression patterns. The MITF-M isoform is restricted to the melanocyte cell lineage. This monoclonal antibody recognizes a nuclear protein, which is expressed in the majority of primary and metastatic epithelioid malignant melanomas as well as in normal melanocytes, benign nevi and dysplastic nevi.
Isotype
IgG
Clonality
Monoclonal
Host
Rabbit
Gene
MITF
Purity
Protein A or G purified
Innovator's Reward
Test in a species/application not listed above to receive a full credit towards a future purchase.

Applications/Dilutions

Dilutions
  • Flow Cytometry 1-2 ug/million cells
  • Immunocytochemistry/ Immunofluorescence 1-2 ug/ml
  • Immunohistochemistry
  • Immunohistochemistry-Paraffin
Application Notes
Immunohistochemistry Formalin-fixed: 1-2ug/ml for 30 minutes at RT. Staining of formalin-fixed tissues requires heating tissue sections in 10mM Tris with 1mM EDTA, pH 9.0, for 45 min at 95C followed by cooling at RT for 20 minutes.

Reactivity Notes

Does not react with Mouse or Rat.

Packaging, Storage & Formulations

Storage
Store at -20 to -80C. Avoid freeze-thaw cycles.
Buffer
10 mM PBS
Preservative
No Preservative
Concentration
1 mg/ml
Purity
Protein A or G purified

Alternate Names for MITF Antibody (MITF/2987R) - Azide and BSA Free

  • bHLHe32
  • bHLHe32MI
  • Class E basic helix-loop-helix protein 32
  • MI
  • microphthalmia-associated transcription factor
  • MITF
  • Waardenburg syndrome, type 2A
  • WS2A

Background

MITF (microphthalmia-associated transcription factor) is a melanocytic nuclear protein that contains basic helix-loop-helix (HLH) and leucine zipper (LZ) domains. These protein motifs are frequently observed in other transcription factors and are particularly common to members of the Myc family. MITF can directly associate with DNA as a homodimer. It is required for the development and differentiation of melanocytes. Its expression is upregulated by cAMP and cAMP dependent pathways. MITF activates several different gene promoters by binding to their E-boxes. Tyrosinase, TRP-1 and TRP-2 are pigment synthesis genes activated by MITF. When MITF is phosphorylated on Serine 73 (via the MAPK pathway), it associates with coactivators of the p300/CBP family and enhances transcription. MITF has several isoforms including MITF-M which is specifically expressed in melanocytes. In Mitfdeficient mice there is a complete absence of melanocytes.

Limitations

This product is for research use only and is not approved for use in humans or in clinical diagnosis. Primary Antibodies are guaranteed for 1 year from date of receipt.

Customers Who Viewed This Item Also Viewed...

NBP2-67232
Species: Hu, Mu
Applications: ICC/IF, IHC,  IHC-P, WB
DY1707
Species: Hu
Applications: ELISA
NBP1-88370
Species: Hu, Mu
Applications: ICC/IF, IHC,  IHC-P, WB
AF1513
Species: Mu
Applications: CyTOF-ready, Flow, IHC, IP, Simple Western, WB
MAB1266
Species: Hu
Applications: CyTOF-ready, IP, ICFlow, WB
NBP1-86893
Species: Hu
Applications: ICC/IF, IHC,  IHC-P, WB
M6000B
Species: Mu
Applications: ELISA
AF2009
Species: Hu
Applications: ICC, IHC
AF1230
Species: Hu, Mu, Rt
Applications: IHC, KO, WB
NBP2-44520
Species: Ca(-), Hu, Rt(-)
Applications: Flow-IC, Flow, ICC/IF, IF, IHC,  IHC-P, MI, WB
NBP1-88220
Species: Hu, Mu, Rt
Applications: ICC/IF, IHC,  IHC-P, KD, WB
NBP2-67605
Species: Hu, Pm, Mu
Applications: ICC/IF, IHC,  IHC-P, IP, ISH, WB
MAB2772
Species: Hu, Pm
Applications: Block, CyTOF-ready, ELISA(Cap), ELISA(Det), ELISA(Sta), Flow, ICC
NBP1-83790
Species: Hu
Applications: IHC,  IHC-P, WB
MAB2457
Species: Hu, Mu
Applications: CyTOF-ready, ICC, ICFlow, WB
AF887
Species: Hu, Mu, Rt
Applications: CyTOF-ready, IHC, ICFlow, Simple Western, WB
AF1356
Species: Hu, Mu
Applications: CyTOF-ready, Dual ISH-IHC, Flow, IHC, Simple Western, WB
NB100-1533
Species: Hu, Mu, Po, Rt, Sh
Applications: Flow, ICC/IF, IHC,  IHC-P, PEP-ELISA, WB
NBP3-08590
Species: Hu, Ca, Mu(-), Rt(-)
Applications: Flow, ICC/IF, IHC

Publications for MITF Antibody (NBP3-08590) (0)

There are no publications for MITF Antibody (NBP3-08590).
By submitting your publication information earn gift cards and discounts for future purchases.

Reviews for MITF Antibody (NBP3-08590) (0)

There are no reviews for MITF Antibody (NBP3-08590). By submitting a review you will receive an Amazon e-Gift Card or Novus Product Discount.
  • Review with no image -- $10/€7/£6/$10 CAD/¥70 Yuan/¥1110 Yen
  • Review with an image -- $25/€18/£15/$25 CAD/¥150 Yuan/¥2500 Yen

Product General Protocols

Find general support by application which include: protocols, troubleshooting, illustrated assays, videos and webinars.

Video Protocols

ICC/IF Video Protocol

FAQs for MITF Antibody (NBP3-08590) (0)

There are no specific FAQs related to this product. Read our general customer & technical service FAQs.

Secondary Antibodies

 

Isotype Controls

Additional MITF Products

Blogs on MITF.

Epigenetic Control of Autophagy
By Christina Towers, PhD. In the last 20 years, epigenetic regulation has become front and center for almost all fields of biology and its role in diseases like cancer and neurodegeneration are being heavily studi...  Read full blog post.

Customers Who Bought This Also Bought

Contact Information

Product PDFs

Calculators

Concentration Calculator

The concentration calculator allows you to quickly calculate the volume, mass or concentration of your vial. Simply enter your mass, volume, or concentration values for your reagent and the calculator will determine the rest.

=
÷

Review this Product

Be the first to review our MITF Antibody (MITF/2987R) - Azide and BSA Free and receive a gift card or discount.

Bioinformatics

Gene Symbol MITF