MECR Antibody - BSA Free

Images

 
Immunocytochemistry/ Immunofluorescence: MECR Antibody [NBP1-85657] - Immunofluorescent staining of human cell line A-431 shows localization to mitochondria. Antibody staining is shown in green.
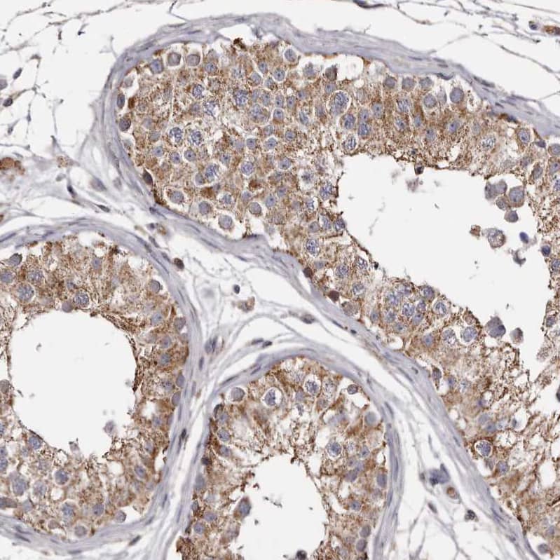
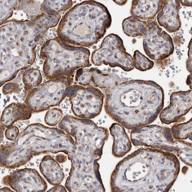
Independent Antibodies: Staining of human cerebral cortex, placenta, skeletal muscle and testis using Anti-MECR antibody NBP1-85657 (A) shows similar protein distribution across tissues to independent antibody ...read more
Staining of human skeletal muscle shows moderate cytoplasmic positivity in myocytes.
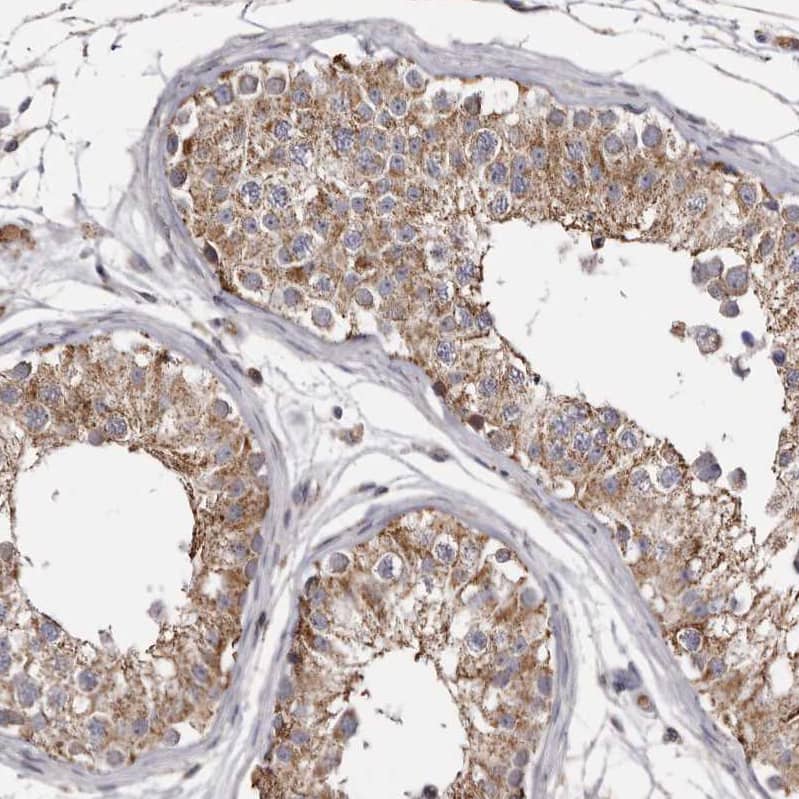
Staining of human testis shows moderate cytoplasmic positivity in cells in seminiferous ducts.
Staining of human placenta shows strong cytoplasmic positivity in trophoblastic cells.
Staining of human cerebral cortex shows strong cytoplasmic positivity in neurons.
Analysis in mouse cell line NIH-3T3 and rat cell line NBT-II.
Independent Antibodies: Analysis using Anti-MECR antibody NBP1-85657 (A) shows similar pattern to independent antibody NBP1-85659 (B).

Product Details

Summary
Reactivity Hu, MuSpecies Glossary
Applications WB, ICC/IF, IHC
Clonality
Polyclonal
Host
Rabbit
Conjugate
Unconjugated
Format
BSA Free
Validated by:
 

Independent Antibodies

       

Order Details

MECR Antibody - BSA Free Summary

Description
Novus Biologicals Rabbit MECR Antibody - BSA Free (NBP1-85657) is a polyclonal antibody validated for use in IHC, WB and ICC/IF. All Novus Biologicals antibodies are covered by our 100% guarantee.
Immunogen
This antibody was developed against Recombinant Protein corresponding to amino acids: SSTELLRQLARGGTMVTYGGMAKQPVVASVSLLIFKDLKLRGFWLSQWKKDHSPDQFKELILTLCDLIRRGQLTAPACSQVPLQDYQSALEASMKPFISSKQILTM
Isotype
IgG
Clonality
Polyclonal
Host
Rabbit
Gene
MECR
Purity
Affinity purified
Innovator's Reward
Test in a species/application not listed above to receive a full credit towards a future purchase.

Applications/Dilutions

Dilutions
  • Immunocytochemistry/ Immunofluorescence 0.25-2 ug/ml
  • Immunohistochemistry 1:20 - 1:50
  • Immunohistochemistry-Paraffin 1:20 - 1:50
  • Western Blot 0.04-0.4 ug/ml
Application Notes
For IHC-Paraffin, HIER pH 6 retrieval is recommended. Immunocytochemistry/Immunofluorescence Fixation Permeabilization: Use PFA/Triton X-100.
Control Peptide
MECR Protein (NBP1-85657PEP)

Reactivity Notes

Rat (87%).

Packaging, Storage & Formulations

Storage
Store at 4C short term. Aliquot and store at -20C long term. Avoid freeze-thaw cycles.
Buffer
PBS (pH 7.2) and 40% Glycerol
Preservative
0.02% Sodium Azide
Purity
Affinity purified

Alternate Names for MECR Antibody - BSA Free

  • CGI-63
  • EC 1.3.1.38
  • FASN2B
  • homolog of yeast 2-enoyl thioester reductase
  • HsNrbf-1
  • mitochondrial 2-enoyl thioester reductase
  • mitochondrial trans-2-enoyl-CoA reductase
  • NBRF1
  • NRBF-1
  • NRBF1hsNrbf-1
  • nuclear receptor binding factor 1
  • Nuclear receptor-binding factor 1
  • trans-2-enoyl-CoA reductase, mitochondrial

Background

MECR catalyzes the reversible phosphorylytic cleavage of uridine and deoxyuridine to uracil and ribose- ordeoxyribose-1-phosphate. The produced molecules are then utilized as carbon and energy sources or in the rescue ofpyrimidine bases for nucleotide synthesi

Limitations

This product is for research use only and is not approved for use in humans or in clinical diagnosis. Primary Antibodies are guaranteed for 1 year from date of receipt.

Customers Who Viewed This Item Also Viewed...

NB400-114
Species: Ch, Fe, Ha, Hu, Mu, Pl, Po, Pm, Rt
Applications: ICC/IF, IHC,  IHC-P, IP, KD, WB
NB120-13550
Species: Hu, Mu, Rt
Applications: ICC/IF, IHC,  IHC-P, WB
NB300-537
Species: Bv, Hu, Mu, Rb, Rt
Applications: ChIP, Flow, GS, ICC/IF, IHC,  IHC-P, IP, KD, Simple Western, WB
AF5415
Species: Hu
Applications: ICC, IHC, Simple Western, WB
NBP2-38877
Species: Hu
Applications: ICC/IF, IHC,  IHC-P
NBP2-73056
Species: Hu, Pm, Mu, Pm, Rt
Applications: CyTOF-ready, Flow, ICC/IF, IHC,  IHC-P, IP, WB
NBP1-91803
Species: Hu
Applications: IHC,  IHC-P, WB
H00005688-M01
Species: Hu
Applications: ELISA, ICC/IF, IHC,  IHC-P, IP, S-ELISA, WB
NBP1-81037
Species: Hu
Applications: ChIP-EXO-SEQ, ICC/IF, IHC,  IHC-P, WB
NBP3-46998
Species: Hu, Mu
Applications: ELISA, IHC, WB
DY393
Species: Hu
Applications: ELISA
NB100-2574
Species: Hu, Mu
Applications: IHC,  IHC-P, IP, KD, WB
NB100-1020
Species: Hu
Applications: IHC,  IHC-P, PEP-ELISA, WB
H00005555-P01
Species: Hu
Applications: ELISA, AP, PA, PAGE, WB
AF6270
Species: Hu
Applications: ICC
NBP1-59777
Species: Hu
Applications: IHC,  IHC-P, IP, WB
NBP2-47602
Species: Hu
Applications: ICC/IF, IHC,  IHC-P
7268-CT
Species: Hu
Applications: BA
NB110-40760
Species: Fi, Hu, Mu, Po, Rt
Applications: Flow, IMC, ICC/IF, IHC,  IHC-P, WB
NBP1-85657
Species: Hu, Mu
Applications: WB, ICC/IF, IHC

Publications for MECR Antibody (NBP1-85657) (0)

There are no publications for MECR Antibody (NBP1-85657).
By submitting your publication information earn gift cards and discounts for future purchases.

Reviews for MECR Antibody (NBP1-85657) (0)

There are no reviews for MECR Antibody (NBP1-85657). By submitting a review you will receive an Amazon e-Gift Card or Novus Product Discount.
  • Review with no image -- $10/€7/£6/$10 CAD/¥70 Yuan/¥1110 Yen
  • Review with an image -- $25/€18/£15/$25 CAD/¥150 Yuan/¥2500 Yen

Product General Protocols

Find general support by application which include: protocols, troubleshooting, illustrated assays, videos and webinars.

Video Protocols

WB Video Protocol
ICC/IF Video Protocol

FAQs for MECR Antibody (NBP1-85657) (0)

There are no specific FAQs related to this product. Read our general customer & technical service FAQs.

Customers Who Bought This Also Bought

Contact Information

Product PDFs

Calculators

Concentration Calculator

The concentration calculator allows you to quickly calculate the volume, mass or concentration of your vial. Simply enter your mass, volume, or concentration values for your reagent and the calculator will determine the rest.

=
÷

Review this Product

Be the first to review our MECR Antibody - BSA Free and receive a gift card or discount.

Bioinformatics

Gene Symbol MECR