MDA5 Antibody - BSA Free

Images

 
Staining of human skeletal muscle shows no positivity in myocytes as expected.
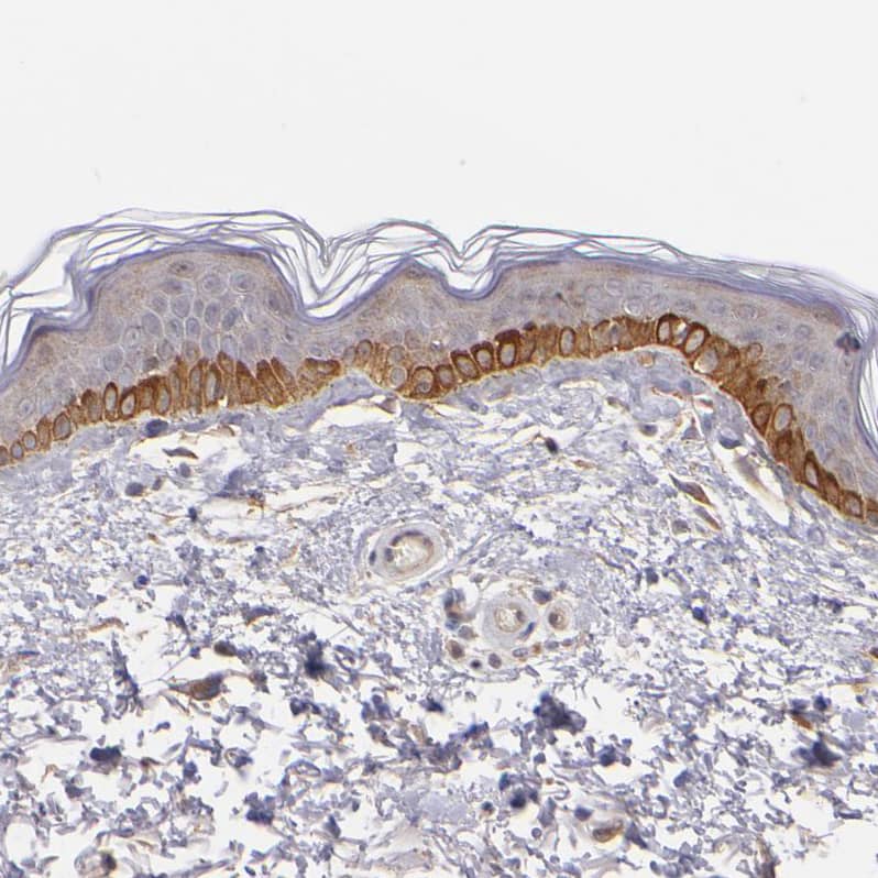
Staining of human skin shows moderate cytoplasmic positivity in squamous epithelial cells.
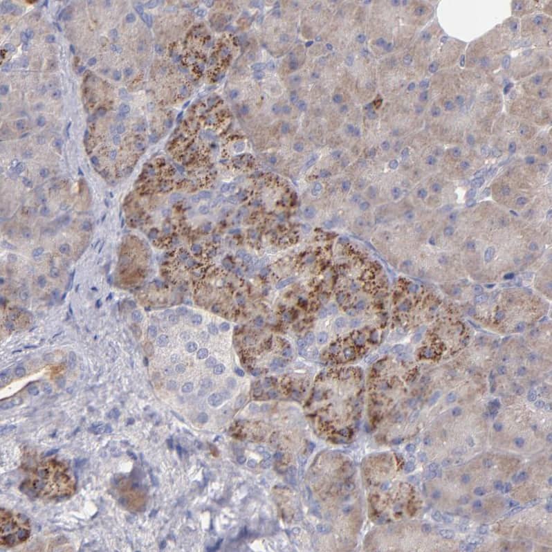
Staining of human pancreas shows moderate granular cytoplasmic positivity in exocrine glandular cells.
Staining of human placenta shows moderate granular cytoplasmic positivity in trophoblastic cells.
Lane 1: Marker [kDa] 250, 130, 100, 70, 55, 35, 25, 15, 10Lane 2: Human cell line SK-MEL-30

Product Details

Summary
Reactivity HuSpecies Glossary
Applications WB, IHC
Clonality
Polyclonal
Host
Rabbit
Conjugate
Unconjugated
Format
BSA Free

Order Details

View Available Formulations
Catalog# & Formulation Size Price

MDA5 Antibody - BSA Free Summary

Description
Novus Biologicals Rabbit MDA5 Antibody - BSA Free (NBP1-89685) is a polyclonal antibody validated for use in IHC and WB. All Novus Biologicals antibodies are covered by our 100% guarantee.
Immunogen
This antibody was developed against Recombinant Protein corresponding to amino acids: TIRMIDAYTHLETFYNEEKDKKFAVIEDDSDEGGDDEYCDGDEDEDDLKKPLKLDETDRFLMTLFFENNKMLKRLAENPEYENEKLTKLRNTIMEQYTRTEESARGIIFTKTRQSAYALSQWITENEKFAEVGVKAHHLIGAGHSSEFKP
Isotype
IgG
Clonality
Polyclonal
Host
Rabbit
Gene
IFIH1
Purity
Affinity purified
Innovator's Reward
Test in a species/application not listed above to receive a full credit towards a future purchase.

Applications/Dilutions

Dilutions
  • Immunohistochemistry 1:50 - 1:200
  • Immunohistochemistry-Paraffin 1:50 - 1:200
  • Western Blot 0.04-0.4 ug/ml
Application Notes
For IHC-Paraffin, HIER pH 6 retrieval is recommended.

Packaging, Storage & Formulations

Storage
Store at 4C short term. Aliquot and store at -20C long term. Avoid freeze-thaw cycles.
Buffer
PBS (pH 7.2) and 40% Glycerol
Preservative
0.02% Sodium Azide
Purity
Affinity purified

Alternate Names for MDA5 Antibody - BSA Free

  • AGS7
  • CADM-140 autoantigen
  • Clinically amyopathic dermatomyositis autoantigen 140 kDa
  • DEAD/H (Asp-Glu-Ala-Asp/His) box polypeptide
  • EC 3.6.4.13
  • Helicard
  • Helicase with 2 CARD domains
  • Hlcd
  • IDDM19
  • IFIH1
  • IMD95
  • interferon induced with helicase C domain 1
  • interferon-induced helicase C domain-containing protein 1
  • Interferon-induced with helicase C domain protein 1
  • MDA5
  • MDA-5
  • MDA-5MGC133047
  • MDA5RNA helicase-DEAD box protein 116
  • melanoma differentiation associated protein-5
  • Melanoma differentiation-associated protein 5
  • Murabutide down-regulated protein
  • RH116
  • SGMRT1

Background

Gene ID: 64135 DEAD box proteins, characterized by the conserved motif Asp-Glu-Ala-Asp (DEAD), are putative RNA helicases. They are implicated in a number of cellular processes involving alteration of RNA secondary structure such as translation initiation, nuclear and mitochondrial splicing, and ribosome and spliceosome assembly. Based on their distribution patterns, some members of this family are believed to be involved in embryogenesis, spermatogenesis, and cellular growth and division. This gene encodes a DEAD box protein that is upregulated in response to treatment with beta-interferon (IFNB) and a protein kinase C-activating compound, mezerein (MEZ). Irreversible reprogramming of melanomas can be achieved by treatment with both these agents; treatment with either agent alone only achieves reversible differentiation.

Limitations

This product is for research use only and is not approved for use in humans or in clinical diagnosis. Primary Antibodies are guaranteed for 1 year from date of receipt.

Customers Who Viewed This Item Also Viewed...

NBP2-24875
Species: Ca, Hu, Mu
Applications: BA, B/N, Flow-IC, Flow, ICC/IF, IHC,  IHC-P, WB
NBP1-77275
Species: Hu, Mu, Rt
Applications: ChIP, ELISA, ICC/IF, IHC,  IHC-P, Simple Western, WB
NBP1-85348
Species: Hu
Applications: IHC,  IHC-P, WB
NBP2-67741
Species: Hu, Mu, Rt
Applications: Flow, ICC/IF, IHC,  IHC-P, WB
8499-IF
Species: Hu
Applications: BA
NBP2-47415
Species: Hu
Applications: ICC/IF, IHC,  IHC-P, WB
NBP2-75930
Species: Hu, Mu, Rt
Applications: Flow, ICC/IF, IHC,  IHC-P, WB
NB100-56583
Species: Hu, Rb, Rt
Applications: Flow, IHC,  IHC-P, KO, Simple Western, WB
NB120-13810
Species: Mu, Po, Rt
Applications: IB, ICC/IF, IHC,  IHC-P, IP, KD, Simple Western, WB
M6000B
Species: Mu
Applications: ELISA
NBP2-24906
Species: Hu, Mu, Rt
Applications: BA, DB, Flow-IC, Flow, ICC/IF, IHC, IHC-Fr,  IHC-P, IP, PLA, Simple Western, WB
NBP2-37242
Species: Hu
Applications: CyTOF-ready, ELISA, Flow, IHC,  IHC-P, WB
AF8519
Species: Hu, Mu, Rt
Applications: Simple Western, WB
DIP100
Species: Hu
Applications: ELISA
NB100-56705
Species: Bv, Ca, Hu, Mu, Rt
Applications: ICC/IF, IHC,  IHC-P, IP, KO, Simple Western, WB
AF6139
Species: Hu
Applications: ICC
NBP1-89685
Species: Hu
Applications: WB, IHC

Publications for MDA5 Antibody (NBP1-89685) (0)

There are no publications for MDA5 Antibody (NBP1-89685).
By submitting your publication information earn gift cards and discounts for future purchases.

Reviews for MDA5 Antibody (NBP1-89685) (0)

There are no reviews for MDA5 Antibody (NBP1-89685). By submitting a review you will receive an Amazon e-Gift Card or Novus Product Discount.
  • Review with no image -- $10/€7/£6/$10 CAD/¥70 Yuan/¥1110 Yen
  • Review with an image -- $25/€18/£15/$25 CAD/¥150 Yuan/¥2500 Yen

Product General Protocols

Find general support by application which include: protocols, troubleshooting, illustrated assays, videos and webinars.

Video Protocols

WB Video Protocol

FAQs for MDA5 Antibody (NBP1-89685) (0)

There are no specific FAQs related to this product. Read our general customer & technical service FAQs.

Secondary Antibodies

 

Isotype Controls

Additional MDA5 Products

Research Areas for MDA5 Antibody (NBP1-89685)

Find related products by research area.

Blogs on MDA5.


  Read full blog post.

MDA5 - Part of the RIG-I-like Receptor Family
The innate immune system is responsible for reacting to viral infections through recognition of various viral components. Like toll-like receptor 3 (TLR3), MDA5 recognizes double-stranded (ds) RNA which is a molecular pattern indicative of viral infec...  Read full blog post.

Customers Who Bought This Also Bought

Contact Information

Product PDFs

Calculators

Concentration Calculator

The concentration calculator allows you to quickly calculate the volume, mass or concentration of your vial. Simply enter your mass, volume, or concentration values for your reagent and the calculator will determine the rest.

=
÷

Review this Product

Be the first to review our MDA5 Antibody - BSA Free and receive a gift card or discount.

Bioinformatics

Gene Symbol IFIH1