LMO2 Antibody

Images

 
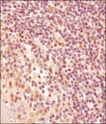
Immunohistochemistry-Paraffin: LMO2 Antibody [NB110-83978] - IHC analysis of a formalin fixed and paraffin embedded tissue section of human tonsil using LMO2 antibody NB110-83978 at 1:500 dilution. HRP-labeled secondary ...read more
Western Blot: LMO2 Antibody [NB110-83978] - Detection of LMO2 in Ramos whole cell lysate using NB110-83978.
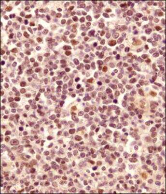
Immunohistochemistry-Paraffin: LMO2 Antibody [NB110-83978] - IHC analysis of a formalin fixed and paraffin embedded tissue section of human tonsil using LMO2 antibody NB110-83978 at 1:500 dilution. HRP-labeled secondary ...read more

Product Details

Summary
Reactivity Hu, Mu, Rt, Bv, ZeSpecies Glossary
Applications WB, ChIP, IHC, IHC-P
Clonality
Polyclonal
Host
Rabbit
Conjugate
Unconjugated
Concentration
1 mg/ml

LMO2 Antibody Summary

Immunogen
Synthetic peptide made to an N-terminal portion of the human LMO2 protein (within residues 1-100). [Swiss-Prot# P25791]
Localization
Nuclear (potential)
Predicted Species
Zebrafish (93%). Backed by our 100% Guarantee.
Isotype
IgG
Clonality
Polyclonal
Host
Rabbit
Gene
LMO2
Purity
Immunogen affinity purified
Innovator's Reward
Test in a species/application not listed above to receive a full credit towards a future purchase.

Applications/Dilutions

Dilutions
  • Western Blot 0.5 ug/ml
  • Chromatin Immunoprecipitation 1:10-1:500
  • Immunohistochemistry 1:250 - 1:500
  • Immunohistochemistry-Paraffin 1:250 - 1:500
Application Notes
This LMO2 antibody is useful for ChIP and Western blot, where a band is seen at ~24 kDa. In WB, non-specific staining can be seen at higher molecular weights. The observed molecular weight of the protein may vary from the listed predicted molecular weight due to post translational modifications, post translation cleavages, relative charges, and other experimental factors.

Packaging, Storage & Formulations

Storage
Store at 4C short term. Aliquot and store at -20C long term. Avoid freeze-thaw cycles.
Buffer
PBS
Preservative
0.02% Sodium Azide
Concentration
1 mg/ml
Purity
Immunogen affinity purified

Alternate Names for LMO2 Antibody

  • Cysteine-rich protein TTG-2
  • LIM domain only 2 (rhombotin-like 1)
  • LIM domain only protein 2
  • LMO2
  • LMO-2
  • RBTN2
  • RBTN2rhombotin-2
  • RBTNL1
  • RBTNL1rhombotin-like 1
  • RHOM2
  • RHOM2T-cell translocation protein 2
  • T-cell translocation gene 2
  • TTG2
  • TTG2rhombotin 2

Background

LMO2 (LIM-only protein 2) is a nuclear transcriptional regulator essential for normal blood cell development and it exerts its effects by mediating protein-protein interactions as well as by nucleating multicomponent transcriptional complexes. LMO2 interacts with LDB1 (LIM domain binding protein 1) through the tandem LIM domains of LMO2 and LID (LIM interaction domain) of LDB1. LMO2 also interacts with bHlH proteins TAL1/SCL, BEX2 and KDM5A, and form complex with TAL1/SCL. It functions with TAL1/SCL in the regulation of RBCs development and with LDB1 to maintain erythroid precursors in immature state. LMO2 has been associated with the maintenance of hematopoietic stem cells, RBCs differentiation, and angiogenesis in both normal development as well as during carcinogenesis. Disruption of LMO2 in mice causes death in midway through embryonic development as they do not develop RBCs. Excessive expression of LMO2 in T-cells, through either chromosomal translocations or retroviral insertion of gene therapy vectors, as well as transgenic overexpression of LMO2 in mouse model leads to the onset of T-cell acute lymphoblastic leukemia (T-ALL).

Limitations

This product is for research use only and is not approved for use in humans or in clinical diagnosis. Primary Antibodies are guaranteed for 1 year from date of receipt.

Customers Who Viewed This Item Also Viewed...

NBP2-01488
Species: Hu
Applications: WB, Flow, ICC/IF, IHC, IHC-P
NBP1-47492
Species: Hu, Bb
Applications: WB, ELISA, ICC/IF, IHC, IHC-P
NBP2-48693
Species: Hu
Applications: WB, ICC/IF, IHC, IHC-P
NBP2-44814
Species: Hu, Mu
Applications: WB, Simple Western, Flow, ICC/IF, IHC, IHC-P
NBP1-31362
Species: Hu, Mu, Rt
Applications: WB, ICC/IF, IHC, IHC-P, IP
H00004004-M01
Species: Hu
Applications: WB, ELISA, ICC/IF
NB600-480
Species: Hu, Mu, Rt, Ca, Ch, Cz
Applications: WB, ELISA, IHC, IHC-P
MAB7650
Species: Mu
Applications: WB, IHC
AF2046
Species: Hu, Mu
Applications: WB, Simple Western, IHC, ICC
AF6116
Species: Hu
Applications: WB, ICC
NBP1-84843
Species: Hu
Applications: WB, ICC/IF, IHC, IHC-P
NBP2-27163
Species: Hu, Mu, Bv, Ca, Eq, Pm
Applications: WB, Flow
NB100-56424
Species: Hu, Mu, Rt
Applications: WB
AF2046
Species: Hu, Mu
Applications: WB, Simple Western, IHC, ICC
AF3889
Species: Hu, Mu
Applications: WB
NBP2-67779
Species: Hu, Mu, Rt
Applications: WB, Flow, ICC/IF, IHC, IHC-P, IP
NBP1-80833
Species: Hu, Rt
Applications: WB, ICC/IF, IHC, IHC-P
NBP1-84841
Species: Hu
Applications: WB, ICC/IF, IHC, IHC-P
NBP1-06983
Species: Hu, Mu, Rt
Applications: WB, ICC/IF, IHC, IHC-P, IP, PEP-ELISA
NB110-83978
Species: Hu, Mu, Rt, Bv, Ze
Applications: WB, ChIP, IHC, IHC-P

Publications for LMO2 Antibody (NB110-83978) (0)

There are no publications for LMO2 Antibody (NB110-83978).
By submitting your publication information earn gift cards and discounts for future purchases.

Reviews for LMO2 Antibody (NB110-83978) (0)

There are no reviews for LMO2 Antibody (NB110-83978). By submitting a review you will receive an Amazon e-Gift Card or Novus Product Discount.
  • Review with no image -- $10/€7/£6/$10 CAD/¥70 Yuan/¥1110 Yen
  • Review with an image -- $25/€18/£15/$25 CAD/¥150 Yuan/¥2500 Yen

Product General Protocols

View specific protocols for LMO2 Antibody (NB110-83978): Find general support by application which include: protocols, troubleshooting, illustrated assays, videos and webinars.

Video Protocols

WB Video Protocol
ChIP Webinar
ChIP Video Protocol

FAQs for LMO2 Antibody (NB110-83978) (0)

There are no specific FAQs related to this product. Read our general customer & technical service FAQs.

Secondary Antibodies

 

Isotype Controls

Other Available Formats

Alexa Fluor 350 NB110-83978AF350
Alexa Fluor 405 NB110-83978AF405
Alexa Fluor 488 NB110-83978AF488
Alexa Fluor 532 NB110-83978AF532
Alexa Fluor 594 NB110-83978AF594
Alexa Fluor 647 NB110-83978AF647
Alexa Fluor 700 NB110-83978AF700
Alexa Fluor 750 NB110-83978AF750
Biotin NB110-83978B
DyLight 350 NB110-83978UV
DyLight 405 NB110-83978V
DyLight 488 NB110-83978G
DyLight 550 NB110-83978R
DyLight 594 NB110-83978DL594
DyLight 650 NB110-83978C
DyLight 680 NB110-83978FR
DyLight 755 NB110-83978IR
HRP NB110-83978H
Janelia Fluor 549 NB110-83978JF549
Janelia Fluor 646 NB110-83978JF646

Additional LMO2 Products

Bioinformatics Tool for LMO2 Antibody (NB110-83978)

Discover related pathways, diseases and genes to LMO2 Antibody (NB110-83978). Need help? Read the Bioinformatics Tool Guide for instructions on using this tool.
Visit Tool

Diseases for LMO2 Antibody (NB110-83978)

Discover more about diseases related to LMO2 Antibody (NB110-83978).
 

Pathways for LMO2 Antibody (NB110-83978)

View related products by pathway.

PTMs for LMO2 Antibody (NB110-83978)

Learn more about PTMs related to LMO2 Antibody (NB110-83978).
 

Research Areas for LMO2 Antibody (NB110-83978)

Find related products by research area.

Blogs on LMO2

There are no specific blogs for LMO2, but you can read our latest blog posts.
Recombinant Monoclonal Antibodies

Customers Who Bought This Also Bought

Contact Information

Learn the difference between western blot and simple western

Product PDFs

Calculators

Concentration Calculator

The concentration calculator allows you to quickly calculate the volume, mass or concentration of your vial. Simply enter your mass, volume, or concentration values for your reagent and the calculator will determine the rest.

=
÷

Review this Product

Be the first to review our LMO2 Antibody and receive a gift card or discount.

Bioinformatics

Gene Symbol LMO2
Entrez
Uniprot
COVID-19 update