LEF1 Antibody (LEF1/341R) - Azide and BSA Free

Images

 
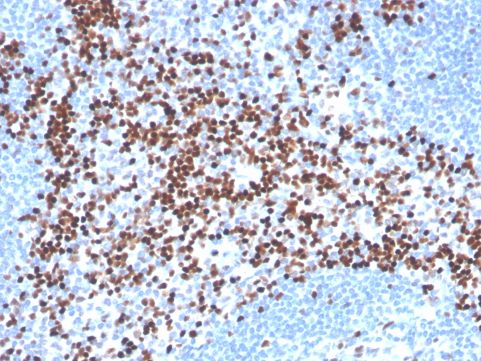
Immunohistochemistry-Paraffin: LEF1 Antibody (LEF1/341R) - Azide and BSA Free [NBP3-08435] - IHC analysis of formalin-fixed, paraffin-embedded human tonsil. Strong nuclear staining of non-germinal center cells using ...read more
Immunohistochemistry-Paraffin: LEF1 Antibody (LEF1/341R) - Azide and BSA Free [NBP3-08435] - IHC analysis of formalin-fixed, paraffin-embedded human lymph node. Strong nuclear staining of non-germinal center cells using ...read more
Formalin-fixed, paraffin-embedded analysis of human lymph node. Strong nuclear staining of non-germinal center cells using LEF1 antibody (LEF1/341R) at 2ug/ml in PBS for 30min RT. HIER: Tris/EDTA, pH9.0, 45min. ...read more
Formalin-fixed, paraffin-embedded analysis of human tonsil. Strong nuclear staining of non-germinal center cells using LEF1 antibody (LEF1/341R) at 2ug/ml in PBS for 30min RT. HIER: Tris/EDTA, pH9.0, 45min. Secondary: ...read more

Product Details

Summary
Reactivity HuSpecies Glossary
Applications IHC
Clone
LEF1/341R
Clonality
Monoclonal
Host
Rabbit
Conjugate
Unconjugated
Format
Azide and BSA Free
Concentration
1 mg/ml

Order Details

LEF1 Antibody (LEF1/341R) - Azide and BSA Free Summary

Description
1.0 mg/ml of antibody purified from Bioreactor Concentrate by Protein A/G. Prepared in 10mM PBS WITHOUT BSA & azide. Also available at 200 ug/ml WITH BSA & azide (NBP3-07769).

Antibody with azide store at 2 to 8C. Antibody without azide - store at -20 to -80 C.
Additional Information
Recombinant Monoclonal Antibody
Immunogen
Recombinant fragment (around aa100-200) of human LEF1 protein (exact sequence is proprietary) (Uniprot: Q9UJU2)
Localization
Nucleus.
Specificity
Lymphoid Enhancing Factor 1 (LEF1) is a transcription factor that belongs to the TCF/LEF family. LEF1 participates as a regulator in Wnt signaling pathways. LEF1 is an important factor in lymphopoiesis and is expressed normally in T and pro-B cells but not expressed in mature B cells. Anti-LEF1 may be used as an aid for differentiation of chronic lymphocytic leukemia/small lymphocytic lymphoma from other small B cell lymphomas.
Isotype
IgG
Clonality
Monoclonal
Host
Rabbit
Gene
LEF1
Purity
Protein A or G purified
Innovator's Reward
Test in a species/application not listed above to receive a full credit towards a future purchase.

Applications/Dilutions

Dilutions
  • Immunohistochemistry-Paraffin 1-2 ug/ml
Application Notes
Immunohistochemistry Formalin-fixed: 1-2ug/ml for 30 minutes at RT. Staining of formalin-fixed tissues requires heating tissue sections in 10mM Tris with 1mM EDTA, pH 9.0, for 45 min at 95C followed by cooling at RT for 20 minutes. Optimal dilution for a specific application should be determined.
Theoretical MW
44 kDa.
Disclaimer note: The observed molecular weight of the protein may vary from the listed predicted molecular weight due to post translational modifications, post translation cleavages, relative charges, and other experimental factors.

Packaging, Storage & Formulations

Storage
Store at -20 to -80C. Avoid freeze-thaw cycles.
Buffer
10 mM PBS
Preservative
No Preservative
Concentration
1 mg/ml
Purity
Protein A or G purified

Alternate Names for LEF1 Antibody (LEF1/341R) - Azide and BSA Free

  • DKFZp586H0919
  • FLJ46390
  • LEF1
  • LEF-1
  • lymphoid enhancer-binding factor 1
  • T cell-specific transcription factor 1-alpha
  • TCF10
  • TCF1ALPHA
  • TCF1-alpha
  • TCF7L3

Background

Lymphoid enhancer-binding factor-1 (LEF1) is a 48-kD nuclear protein that is expressed in pre-B and T cells. It binds to a functionally important site in the T-cell receptor-alpha (TCRA; MIM 186880) enhancer and confers maximal enhancer activity. LEF1 belongs to a family of regulatory proteins that share homology with high mobility group protein-1 (HMG1; MIM 163905).[supplied by OMIM]

Limitations

This product is for research use only and is not approved for use in humans or in clinical diagnosis. Primary Antibodies are guaranteed for 1 year from date of receipt.

Customers Who Viewed This Item Also Viewed...

AF1329
Species: Hu, Mu, Rt
Applications: ChIP, CyTOF-ready, ICC, IHC, ICFlow, Simple Western, WB
NBP1-89679
Species: Hu, Mu, Rt
Applications: ChIP-EXO-SEQ, ICC/IF, IHC, IHC-Fr,  IHC-P, WB
AF1329
Species: Hu, Mu, Rt
Applications: ChIP, CyTOF-ready, ICC, IHC, ICFlow, Simple Western, WB
MAB8224
Species: Mu
Applications: CyTOF-ready, ICFlow, WB
H00006934-M06
Species: Hu, Mu
Applications: ELISA, ICC/IF, IHC,  IHC-P, WB
NBP1-33596
Species: Hu, Mu, Rt
Applications: ICC/IF, IHC,  IHC-P, IP, PAGE, WB
NB100-91662
Species: Hu, Mu, Rt
Applications: Flow, ICC/IF, IHC,  IHC-P, Simple Western, WB
AF6116
Species: Hu
Applications: ICC, WB
H00006925-M03
Species: Hu, Pm, Mu, Rb, Rt
Applications: ELISA, ICC/IF, IHC,  IHC-P, IP, WB
NBP2-32840
Species: Hu, Pm, Mu, Rt
Applications: Flow, ICC/IF, IHC,  IHC-P, WB
AF748
Species: Hu, Mu
Applications: CyTOF-ready, Dual ISH-IHC, Flow, ICC, IHC, Simple Western, WB
NB600-302
Species: Bv, Dr, Hu, Mu
Applications: ChIP, ELISA, Flow-IC, Flow, IB, ICC/IF, IHC, IHC-Fr,  IHC-P, IP, PLA, S-ELISA, Simple Western, WB
5036-WN
Species: Hu
Applications: BA, BA
NBP1-51575
Species: Hu, Mu
Applications: ELISA, Flow, ICC/IF, IHC,  IHC-P, WB
AF3287
Species: Hu, Mu, Rt
Applications: WB
AF4885
Species: Mu
Applications: IP, WB
MAB7650
Species: Mu
Applications: IHC, WB
NBP3-08435
Species: Hu
Applications: IHC

Publications for LEF1 Antibody (NBP3-08435) (0)

There are no publications for LEF1 Antibody (NBP3-08435).
By submitting your publication information earn gift cards and discounts for future purchases.

Reviews for LEF1 Antibody (NBP3-08435) (0)

There are no reviews for LEF1 Antibody (NBP3-08435). By submitting a review you will receive an Amazon e-Gift Card or Novus Product Discount.
  • Review with no image -- $10/€7/£6/$10 CAD/¥70 Yuan/¥1110 Yen
  • Review with an image -- $25/€18/£15/$25 CAD/¥150 Yuan/¥2500 Yen

Product General Protocols

Find general support by application which include: protocols, troubleshooting, illustrated assays, videos and webinars.

FAQs for LEF1 Antibody (NBP3-08435) (0)

There are no specific FAQs related to this product. Read our general customer & technical service FAQs.

Secondary Antibodies

 

Isotype Controls

Additional LEF1 Products

Research Areas for LEF1 Antibody (NBP3-08435)

Find related products by research area.

Blogs on LEF1.

The role of Wnts in neuroinflammation
By Michalina Hanzel, PhDThe multifaceted roles of the Wnt family of glycoproteins have been extensively characterized throughout embryonic development and adult homeostasis. The highly conserved, cell- and tissue- s...  Read full blog post.

Beta Catenin in Cell Adhesion and T-cell Signaling
Beta Catenin is a cytosolic, 88 kDa intracellular protein that tightly associates with cell surface cadherin glycoproteins. It is one member of the catenin family that includes alpha Catenin, beta Catenin, and gamma Catenin. Colocalization studies usi...  Read full blog post.

Customers Who Bought This Also Bought

Contact Information

Product PDFs

Calculators

Concentration Calculator

The concentration calculator allows you to quickly calculate the volume, mass or concentration of your vial. Simply enter your mass, volume, or concentration values for your reagent and the calculator will determine the rest.

=
÷

Review this Product

Be the first to review our LEF1 Antibody (LEF1/341R) - Azide and BSA Free and receive a gift card or discount.

Bioinformatics

Gene Symbol LEF1