Langerin/CD207 Antibody (LGRN/7430) - Azide and BSA Free

Images

 
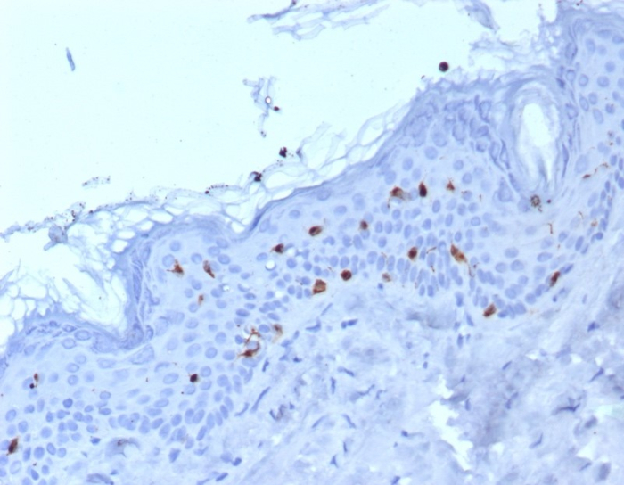
Formalin-fixed, paraffin-embedded human skin stained with Langerin/CD207 antibody (LGRN/7430). HIER: Tris/EDTA, pH9.0, 45min. Secondary: HRP-polymer, 30min. DAB, 5min.
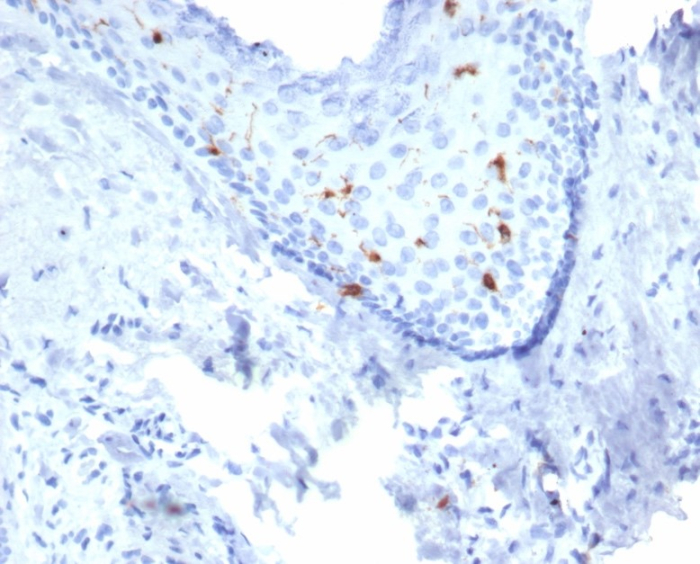
Formalin-fixed, paraffin-embedded human skin stained with Langerin/CD207 antibody (LGRN/7430). HIER: Tris/EDTA, pH9.0, 45min. Secondary: HRP-polymer, 30min. DAB, 5min.
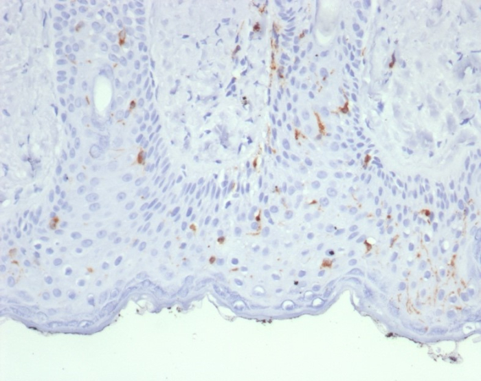
Formalin-fixed, paraffin-embedded human skin stained with Langerin/CD207 antibody (LGRN/7430). HIER: Tris/EDTA, pH9.0, 45min. Secondary: HRP-polymer, 30min. DAB, 5min.

Product Details

Summary
Reactivity HuSpecies Glossary
Applications IHC
Clone
LGRN/7430
Clonality
Monoclonal
Host
Mouse
Conjugate
Unconjugated
Format
Azide and BSA Free
Concentration
1 mg/ml

Order Details

Langerin/CD207 Antibody (LGRN/7430) - Azide and BSA Free Summary

Description
Positive Controls: Human skin.

Antibody with azide - store at 2 to 8C. Antibody without azide - store at -20 to -80C. Non-hazardous. No MSDS required.
Immunogen
Recombinant fragment (around aa50-250) of human Langerin/CD207 protein (exact sequence is proprietary)
Localization
Cell surface. Cytoplasm.
Isotype
IgG
Clonality
Monoclonal
Host
Mouse
Gene
CD207
Purity
Protein A or G purified
Innovator's Reward
Test in a species/application not listed above to receive a full credit towards a future purchase.

Applications/Dilutions

Dilutions
  • Immunohistochemistry-Paraffin 1-2 ug/ml
Application Notes
Immunohistochemistry (Formalin-fixed): 1-2ug/ml for 30 minutes. at RT. Staining of formalin-fixed tissues requires heating tissue sections in 10mM Tris with 1mM EDTA, pH 9.0, for 45 min at 95C followed by cooling at RT for 20 minutes.

Optimal dilution for a specific application should be determined.

Packaging, Storage & Formulations

Storage
Store at -20 to -70C. Avoid freeze-thaw cycles.
Buffer
10mM PBS
Preservative
No Preservative
Concentration
1 mg/ml
Purity
Protein A or G purified

Alternate Names for Langerin/CD207 Antibody (LGRN/7430) - Azide and BSA Free

  • CD207 antigen
  • CD207 antigen, langerin
  • CD207 molecule, langerin
  • CD207
  • CLEC4KLangerhans cell specific c-type lectin
  • C-type lectin domain family 4 member K
  • C-type lectin domain family 4, member K
  • Langerin

Background

Langerin (CD207) is a type II membrane-associated C-type lectin known to be expressed exclusively by Langerhans cells. Langerin recognizes mannose residues via its single carbohydrate recognition domain (CRD). Langerin is localized not only on the cell surface, but also intracellularly in close association with Birbeck granules. Transfection of Langerin cDNA into fibroblasts creates a compact network of membrane structures with typical features of Birbeck granules (BG). Langerin is thus a potent inducer of membrane superimposition and zippering leading to BG formation.

Limitations

This product is for research use only and is not approved for use in humans or in clinical diagnosis. Primary Antibodies are guaranteed for 1 year from date of receipt.

Customers Who Viewed This Item Also Viewed...

7268-CT
Species: Hu
Applications: BA
NB100-524
Species: Hu, Mu
Applications: Flow-IC, Flow, ICC/IF, IHC, IHC-Fr,  IHC-P, IP, WB
NBP2-79843
Species: Hu
Applications: CyTOF-ready, ELISA, Flow, ICC/IF, IHC,  IHC-P, PA, WB
NBP1-72042
Species: Hu, Mu, Rt
Applications: ICC/IF, IHC,  IHC-P, PEP-ELISA, WB
NBP2-46123
Species: Hu
Applications: ICC/IF, IHC,  IHC-P, WB
MAB7446
Species: Hu
Applications: CyTOF-ready, Flow
NB100-64852
Species: Hu
Applications: Flow, IF, IHC, IHC-Fr
NB110-97871
Species: Hu, Mu
Applications: CyTOF-ready, Flow, ICC/IF, IHC, IHC-Fr,  IHC-P, IP
MAB161
Species: Hu
Applications: AdBlk, CyTOF-ready, Flow, WB
NBP1-49045
Species: Mu, Rt
Applications: Cell Depl, CyTOF-ready, Flow, ICC/IF, IHC, IHC-Fr,  IHC-P, IP, InhibTFunc
NBP1-19371
Species: Ca, Hu, Mu, Po, Rb, Rt
Applications: Dual ISH-IHC, Flow, ICC/IF, IHC, IHC-Fr,  IHC-P, Simple Western, WB
DDX0191P-100
Species: Ca, Fe, Hu, Mu, Sh
Applications: ICC/IF, IHC,  IHC-P
AF5975
Species: Mu
Applications: WB
NBP2-93743
Species: Hu, Mu, Rt
Applications: ICC/IF, WB
NBP2-25208
Species: Hu, Mu, Rt
Applications: Flow, ICC/IF, IHC, IHC-Fr,  IHC-P, KO, Simple Western, WB
DC140
Species: Hu
Applications: ELISA
AF1437
Species: Mu
Applications: AdBlk, CyTOF-ready, Flow, ICC, WB
NB110-89474
Species: Bv, Ce, ChHa, Hu, Pm, Mu, Rt, RM
Applications: Dual ISH-IHC, Flow-CS, Flow, ICC/IF, IHC, IHC-Fr,  IHC-P, ISH, Simple Western, Single-Cell Western, WB
NBP3-20734
Species: Hu
Applications: IHC

Publications for Langerin/CD207 Antibody (NBP3-20734) (0)

There are no publications for Langerin/CD207 Antibody (NBP3-20734).
By submitting your publication information earn gift cards and discounts for future purchases.

Reviews for Langerin/CD207 Antibody (NBP3-20734) (0)

There are no reviews for Langerin/CD207 Antibody (NBP3-20734). By submitting a review you will receive an Amazon e-Gift Card or Novus Product Discount.
  • Review with no image -- $10/€7/£6/$10 CAD/¥70 Yuan/¥1110 Yen
  • Review with an image -- $25/€18/£15/$25 CAD/¥150 Yuan/¥2500 Yen

Product General Protocols

Find general support by application which include: protocols, troubleshooting, illustrated assays, videos and webinars.

FAQs for Langerin/CD207 Antibody (NBP3-20734) (0)

There are no specific FAQs related to this product. Read our general customer & technical service FAQs.

Secondary Antibodies

 

Isotype Controls

Additional Langerin/CD207 Products

Research Areas for Langerin/CD207 Antibody (NBP3-20734)

Find related products by research area.

Blogs on Langerin/CD207

There are no specific blogs for Langerin/CD207, but you can read our latest blog posts.

Customers Who Bought This Also Bought

Contact Information

Product PDFs

Calculators

Concentration Calculator

The concentration calculator allows you to quickly calculate the volume, mass or concentration of your vial. Simply enter your mass, volume, or concentration values for your reagent and the calculator will determine the rest.

=
÷

Review this Product

Be the first to review our Langerin/CD207 Antibody (LGRN/7430) - Azide and BSA Free and receive a gift card or discount.

Bioinformatics

Gene Symbol CD207