Laminin gamma 1 Antibody (CL3201) - Azide and BSA Free

Images

 
Staining of human kidney shows immunoreactivity in basement membrane of renal tubules and membranous positivity in glomeruli.
Staining of human cortex shows strong positivity in endothelium.
Staining of human endometrium shows strong positivity in basement membrane of glandular epithelium.
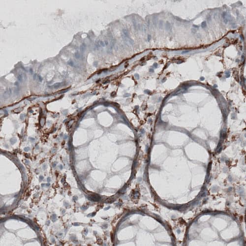
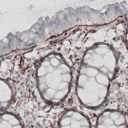
Staining of human rectum shows strong positivity in basement membrane of glandular epithelium.
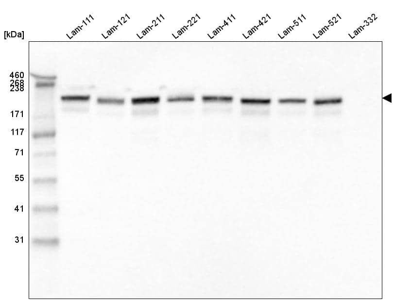
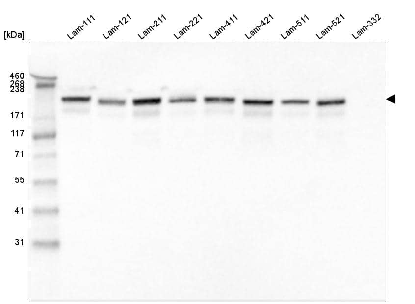
Analysis of purified human recombinant Laminin-111, Laminin-121, Laminin-211, Laminin-221, Laminin-411, Laminin-421, Laminin-511, Laminin-521 and Laminin-332.
Analysis in human lung tissue.
Staining of human tonsil shows absence of immunoreactivity in lymphoid cells (negative control).
Staining of human stomach shows strong immunoreactivity in basement membrane of glandular epithelium.
Staining of human testis shows immunoreactivity in basement membrane of seminiferous tubules.

Product Details

Summary
Reactivity HuSpecies Glossary
Applications WB, IHC
Clone
CL3201
Clonality
Monoclonal
Host
Mouse
Conjugate
Unconjugated
Format
Azide and BSA Free
Concentration
LYOPH

Order Details

Laminin gamma 1 Antibody (CL3201) - Azide and BSA Free Summary

Description
Novus Biologicals Mouse Laminin gamma 1 Antibody (CL3201) - Azide and BSA Free (NBP2-42397) is a monoclonal antibody validated for use in IHC and WB. All Novus Biologicals antibodies are covered by our 100% guarantee.
Immunogen
This antibody was generated using a recombinant protein sequence of P11047, with the exact immunogen sequence remaining proprietary.
Isotype
IgG1
Clonality
Monoclonal
Host
Mouse
Gene
LAMC1
Purity
Protein A purified
Innovator's Reward
Test in a species/application not listed above to receive a full credit towards a future purchase.

Applications/Dilutions

Dilutions
  • Immunohistochemistry-Paraffin 1:200 - 1:500
  • Western Blot 1 ug/ml
Application Notes
For IHC-Paraffin, HIER pH 6 retrieval is recommended.

Packaging, Storage & Formulations

Storage
Store at 4C short term. Aliquot and store at -20C long term. Avoid freeze-thaw cycles.
Buffer
Lyophilized from a 0.2 um filtered solution in PBS with Trehalose
Preservative
No Preservative
Concentration
LYOPH
Purity
Protein A purified
Reconstitution Instructions
Centrifuge the vial of lyophilized antibody at 12,000 x g for 20 seconds. Reconstitute by adding sterile, distilled water to achieve a final antibody concentration of 1mg/ml.

Alternate Names for Laminin gamma 1 Antibody (CL3201) - Azide and BSA Free

  • LAMB2Laminin-7 subunit gamma
  • LAMC1
  • Laminin B2 chain
  • Laminin B2
  • Laminin gamma 1
  • laminin subunit gamma-1
  • laminin, gamma 1 (formerly LAMB2)
  • Laminin-1 subunit gamma
  • Laminin-10 subunit gamma
  • Laminin-11 subunit gamma
  • Laminin-2 subunit gamma
  • Laminin-3 subunit gamma
  • Laminin-4 subunit gamma
  • Laminin-6 subunit gamma
  • Laminin-8 subunit gamma
  • Laminin-9 subunit gamma
  • MGC87297
  • S-LAM gamma
  • S-laminin subunit gamma

Background

Laminins are essential and abundant structural non-collagenous glycoproteins localizing to basement membranes. Basement membranes (cell-associated extracellular matrices (ECMs)) are polymers of Laminins with stabilizing Type IV Collagen networks, Nidogen and several proteoglycans. Basement membranes are found under epithelial layers, around the endothelium of blood vessels, and surrounding muscle, peripheral nerve and fat cells. Formation of basement membranes influences cell proliferation, phenotype, migration, gene expression and tissue architecture. Each Laminin is a heterotrimer of alpha, beta and gamma chain subunits that undergoes cell-secretion and incorporation into the ECM. Laminins can self-assemble, bind to other matrix macromolecules and have unique and shared cell interactions mediated by Integrins, dystroglycan and cognate Laminin receptors. The human Laminin gamma-1 gene maps to chromosome 1q31 and is ubiquitously expressed in tissues that produce basement membranes.

Limitations

This product is for research use only and is not approved for use in humans or in clinical diagnosis. Primary Antibodies are guaranteed for 1 year from date of receipt.

Customers Who Viewed This Item Also Viewed...

NBP1-51558
Species: Hu
Applications: ELISA, ICC/IF, IHC,  IHC-P, WB
AF3159
Species: Mu
Applications: IHC
NBP2-75624
Species: Hu, Mu, Rt
Applications: Flow, ICC/IF, IHC,  IHC-P, mIF, WB
NB110-60011
Species: Hu
Applications: ICC/IF, IHC, IHC-Fr,  IHC-P, IP, Simple Western, WB
NBP2-42388
Species: Hu
Applications: ICC/IF, IHC,  IHC-P, KD, WB
NB300-144
Species: ChHa, Hu, In, Ma, Mu, Rb, Rt, Sh
Applications: Flow, ICC/IF, IHC-FrFl, IHC, IHC-Fr,  IHC-P, WB
NBP1-88927
Species: Hu, Mu
Applications: ICC/IF, IHC,  IHC-P, WB
H00728695-B01P
Species: Hu
Applications: ICC/IF, IP, WB
AF578
Species: Mu
Applications: ELISA(Cap), ELISA(Det), ELISA(Sta), IHC, WB
NBP2-54591
Species: Hu
Applications: CyTOF-ready, Flow, ICC/IF, IHC,  IHC-P, PA
NBP2-30604
Species: Hu
Applications: IHC,  IHC-P
NBP1-91258
Species: Bv, Ca, Eq, Fe, Hu, Mu, Po, Rt
Applications: ICC/IF, IHC, IHC-Fr,  IHC-P, Simple Western, WB
AF4090
Species: Hu
Applications: IHC, IP, Neut, WB
PP-H8132-00
Species: Hu
Applications: IHC, IP, WB
H00000081-M01
Species: Hu, Pm, Mu, Rt
Applications: ELISA, ICC/IF, IHC,  IHC-P, WB
233-FB
Species: Hu
Applications: BA
NB120-6586
Species: Bv, Fe, Hu, Mu, Rt
Applications: ELISA, ICC/IF, IHC-FrFl, IHC, IHC-Fr,  IHC-P, IP, KO, mIF, Simple Western, SR Microscopy, WB
AF2364
Species: Hu
Applications: IHC, WB
NBP2-47412
Species: Hu
Applications: ICC/IF, IHC,  IHC-P
NBP3-44436
Species: Hu
Applications: WB, IHC

Publications for Laminin gamma 1 Antibody (NBP3-44436) (0)

There are no publications for Laminin gamma 1 Antibody (NBP3-44436).
By submitting your publication information earn gift cards and discounts for future purchases.

Reviews for Laminin gamma 1 Antibody (NBP3-44436) (0)

There are no reviews for Laminin gamma 1 Antibody (NBP3-44436). By submitting a review you will receive an Amazon e-Gift Card or Novus Product Discount.
  • Review with no image -- $10/€7/£6/$10 CAD/¥70 Yuan/¥1110 Yen
  • Review with an image -- $25/€18/£15/$25 CAD/¥150 Yuan/¥2500 Yen

Product General Protocols

Find general support by application which include: protocols, troubleshooting, illustrated assays, videos and webinars.

Video Protocols

WB Video Protocol

FAQs for Laminin gamma 1 Antibody (NBP3-44436) (0)

There are no specific FAQs related to this product. Read our general customer & technical service FAQs.

Secondary Antibodies

 

Isotype Controls

Additional Laminin gamma 1 Products

Research Areas for Laminin gamma 1 Antibody (NBP3-44436)

Find related products by research area.

Blogs on Laminin gamma 1

There are no specific blogs for Laminin gamma 1, but you can read our latest blog posts.

Customers Who Bought This Also Bought

Contact Information

Product PDFs

Calculators

Concentration Calculator

The concentration calculator allows you to quickly calculate the volume, mass or concentration of your vial. Simply enter your mass, volume, or concentration values for your reagent and the calculator will determine the rest.

=
÷

Review this Product

Be the first to review our Laminin gamma 1 Antibody (CL3201) - Azide and BSA Free and receive a gift card or discount.

Bioinformatics

Gene Symbol LAMC1