Laminin alpha 4 Antibody (CL3185) - Azide and BSA Free

Images

 
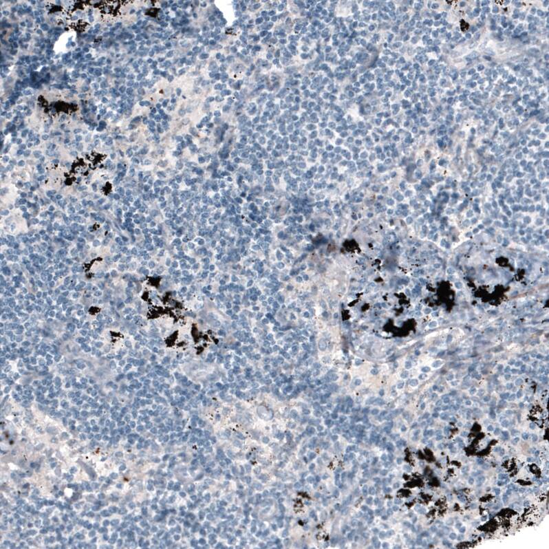
Orthogonal Strategies: Analysis in human smooth muscle and lymph node tissues using NBP3-44409 antibody. Corresponding Laminin alpha 4 RNA-seq data are presented for the same tissues.
Staining of human colon shows strong positivity in basement membrane of glandular cells.
Staining of human lymph node shows no positivity in lymphoid cells as expected.
Staining of human placenta shows strong membranous positivity in endothelial cells.
Staining of human smooth muscle in prostate shows strong membranous positivity in myocytes.
Analysis of purified human recombinant Laminin-411, Laminin-421, Laminin-511, Laminin-121, Laminin-221 and Laminin-332.
Staining of mouse heart muscle shows strong membranous positivity in cardiomyocytes.
Staining of mouse stomach shows strong positivity in basement membrane in glandular cells, as well as membranous positivity in smooth muscle cells.
Staining of mouse epididymis shows strong membranous positivity in smooth muscle cells.

Product Details

Summary
Reactivity Hu, MuSpecies Glossary
Applications WB, IHC
Clone
CL3185
Clonality
Monoclonal
Host
Mouse
Conjugate
Unconjugated
Format
Azide and BSA Free
Concentration
LYOPH
Validated by:
       

Orthogonal Strategies

 

Order Details

Laminin alpha 4 Antibody (CL3185) - Azide and BSA Free Summary

Description
Novus Biologicals Mouse Laminin alpha 4 Antibody (CL3185) - Azide and BSA Free (NBP2-42393) is a monoclonal antibody validated for use in IHC and WB. All Novus Biologicals antibodies are covered by our 100% guarantee.
Immunogen
This antibody was generated using a recombinant protein sequence of Q16363, with the exact immunogen sequence remaining proprietary.
Isotype
IgG1
Clonality
Monoclonal
Host
Mouse
Gene
LAMA4
Purity
Protein A purified
Innovator's Reward
Test in a species/application not listed above to receive a full credit towards a future purchase.

Applications/Dilutions

Dilutions
  • Immunohistochemistry-Paraffin 1:500 - 1:1000
  • Western Blot 1 ug/ml
Application Notes
For IHC-Paraffin, HIER pH 6 retrieval is recommended.

Packaging, Storage & Formulations

Storage
Store at 4C short term. Aliquot and store at -20C long term. Avoid freeze-thaw cycles.
Buffer
Lyophilized from a 0.2 um filtered solution in PBS with Trehalose
Preservative
No Preservative
Concentration
LYOPH
Purity
Protein A purified
Reconstitution Instructions
Centrifuge the vial of lyophilized antibody at 12,000 x g for 20 seconds. Reconstitute by adding sterile, distilled water to achieve a final antibody concentration of 1mg/ml.

Alternate Names for Laminin alpha 4 Antibody (CL3185) - Azide and BSA Free

  • DKFZp686D23145
  • LAMA3LAMA4*-1
  • LAMA4
  • laminin alpha 4 chain
  • Laminin alpha 4
  • laminin subunit alpha-4
  • laminin, alpha 4
  • Laminin-14 subunit alpha
  • Laminin-8 subunit alpha
  • Laminin-9 subunit alpha

Background

Laminins are essential and abundant structural non-collagenous glycoproteins localizing to basement membranes. Basement membranes (cellassociated extracellular matrices (ECMs)) are polymers of laminins with stabilizing type IV collagen networks, nidogen, and several proteoglycans.Basement membranes are found under epithelial layers, around the endothelium of blood vessels, and surrounding muscle, peripheral nerve, and fat cells. Formation of basement membranes influences cell proliferation, phenotype, migration, gene expression, and tissue architecture. Each laminin is a heterotrimer of alpha, beta, and gamma chain subunits that undergoes cell-secretion and incorporation into the ECM. Laminins can self-assemble, bind to other matrix macromolecules, and have unique and shared cell interactions mediated by integrins, dystroglycan, and cognate laminin receptors. The human laminin alpha-4 gene maps to chromosome 6q21 and is expressed in adult heart, lung, ovary, small and large intestines, liver, and placenta.

Limitations

This product is for research use only and is not approved for use in humans or in clinical diagnosis. Primary Antibodies are guaranteed for 1 year from date of receipt.

Customers Who Viewed This Item Also Viewed...

NBP2-46622
Species: Hu, Rt
Applications: ICC/IF, IHC,  IHC-P, WB
NBP2-42388
Species: Hu
Applications: ICC/IF, IHC,  IHC-P, KD, WB
MAB2965
Species: Hu
Applications: CyTOF-ready, Flow
NBP1-91800
Species: Hu
Applications: IHC,  IHC-P, WB
AF2918
Species: Hu
Applications: CyTOF-ready, Flow, ICC, WB
NB300-144
Species: ChHa, Hu, In, Ma, Mu, Rb, Rt, Sh
Applications: Flow, ICC/IF, IHC-FrFl, IHC, IHC-Fr,  IHC-P, WB
NBP1-84671
Species: Hu
Applications: ChIP-EXO-SEQ, IHC,  IHC-P, WB
AF6868
Species: Hu
Applications: IHC, KO, WB
NBP2-67471
Species: Hu, Mu, Rt
Applications: ICC/IF, IHC,  IHC-P, WB
H00003908-M01
Species: Hu
Applications: ELISA, IHC,  IHC-P, S-ELISA, WB
MAB17781
Species: Hu
Applications: Block, CyTOF-ready, Flow, ICC, IP, KO
NBP1-33581
Species: Hu, Mu, Rt
Applications: ELISA, ICC/IF, IHC,  IHC-P, WB
MAB6896
Species: Hu, Mu, Rt
Applications: IHC, Simple Western, WB
NBP1-91258
Species: Bv, Ca, Eq, Fe, Hu, Mu, Po, Rt
Applications: ICC/IF, IHC, IHC-Fr,  IHC-P, Simple Western, WB
NBP1-90256
Species: Hu
Applications: ChIP-EXO-SEQ, ICC/IF, IHC,  IHC-P, WB
NBP1-85351
Species: Hu, Mu, Rt
Applications: ICC/IF, IHC,  IHC-P, WB
NBP3-44409
Species: Hu, Mu
Applications: WB, IHC

Publications for Laminin alpha 4 Antibody (NBP3-44409) (0)

There are no publications for Laminin alpha 4 Antibody (NBP3-44409).
By submitting your publication information earn gift cards and discounts for future purchases.

Reviews for Laminin alpha 4 Antibody (NBP3-44409) (0)

There are no reviews for Laminin alpha 4 Antibody (NBP3-44409). By submitting a review you will receive an Amazon e-Gift Card or Novus Product Discount.
  • Review with no image -- $10/€7/£6/$10 CAD/¥70 Yuan/¥1110 Yen
  • Review with an image -- $25/€18/£15/$25 CAD/¥150 Yuan/¥2500 Yen

Product General Protocols

Find general support by application which include: protocols, troubleshooting, illustrated assays, videos and webinars.

Video Protocols

WB Video Protocol

FAQs for Laminin alpha 4 Antibody (NBP3-44409) (0)

There are no specific FAQs related to this product. Read our general customer & technical service FAQs.

Customers Who Bought This Also Bought

Contact Information

Product PDFs

Calculators

Concentration Calculator

The concentration calculator allows you to quickly calculate the volume, mass or concentration of your vial. Simply enter your mass, volume, or concentration values for your reagent and the calculator will determine the rest.

=
÷

Review this Product

Be the first to review our Laminin alpha 4 Antibody (CL3185) - Azide and BSA Free and receive a gift card or discount.

Bioinformatics

Gene Symbol LAMA4