KLC2 Antibody - BSA Free

Images

 
Immunocytochemistry/ Immunofluorescence: KLC2 Antibody [NBP1-83722] - Staining of human cell line U-2 OS shows localization to nucleoplasm, cytosol & mitochondria. Antibody staining is shown in green.
Immunohistochemistry-Paraffin: KLC2 Antibody [NBP1-83722] - Staining of human testis shows strong granular cytoplasmic positivity in cells in seminiferous ducts.
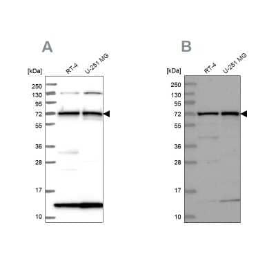
Independent Antibodies: Western Blot: KLC2 Antibody [NBP1-83722] - Analysis using Anti-KLC2 antibody NBP1-83722 (A) shows similar pattern to independent antibody NBP1-83723 (B).
Immunohistochemistry-Paraffin: KLC2 Antibody [NBP1-83722] - Staining of human cerebral cortex shows strong positivity in neuropil.
Independent Antibodies: Immunohistochemistry-Paraffin: KLC2 Antibody [NBP1-83722] - Staining of human cerebral cortex, fallopian tube, prostate and testis using Anti-KLC2 antibody NBP1-83722 (A) shows similar ...read more
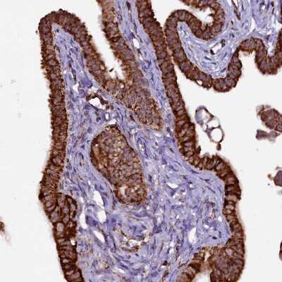
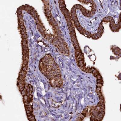
Immunohistochemistry-Paraffin: KLC2 Antibody [NBP1-83722] - Staining of human Fallopian tube shows strong granular cytoplasmic positivity in glandular cells.
Immunohistochemistry-Paraffin: KLC2 Antibody [NBP1-83722] - Staining of human prostate shows strong granular cytoplasmic positivity in glandular cells.
Genetic Strategies: Analysis in U-138MG cells) transfected with control siRNA, target specific siRNA probe #1 and #2, using Anti-KLC2 antibody. Remaining relative intensity is presented. Loading control: ...read more

Product Details

Summary
Reactivity HuSpecies Glossary
Applications WB, ICC/IF, IHC, Mycoplasma
Clonality
Polyclonal
Host
Rabbit
Conjugate
Unconjugated
Format
BSA Free

Order Details

View Available Formulations
Catalog# & Formulation Size Price

KLC2 Antibody - BSA Free Summary

Description
Novus Biologicals Rabbit KLC2 Antibody - BSA Free (NBP1-83722) is a polyclonal antibody validated for use in IHC, WB and ICC/IF. All Novus Biologicals antibodies are covered by our 100% guarantee.
Immunogen
This antibody was developed against Recombinant Protein corresponding to amino acids: TLEDCASRNRKQGLDPASQTKVVELLKDGSGRRGDRRSSRDMAGGAGPRSESDLEDVGPTAEWNG
Isotype
IgG
Clonality
Polyclonal
Host
Rabbit
Gene
KLC2
Purity
Immunogen affinity purified
Innovator's Reward
Test in a species/application not listed above to receive a full credit towards a future purchase.

Applications/Dilutions

Dilutions
  • Immunocytochemistry/ Immunofluorescence 0.25-2 ug/ml
  • Immunohistochemistry 1:1000 - 1:2500
  • Immunohistochemistry-Paraffin 1:10-1:20
  • Knockdown Validated
  • Western Blot 0.04-0.4 ug/ml
Application Notes
For IHC-Paraffin, HIER pH 6 retrieval is recommended. ICC/IF Fixation Permeabilization: Use PFA/Triton X-100.
Control Peptide
KLC2 Protein (NBP1-83722PEP)

Reactivity Notes

Immunogen displays the following percentage of sequence identity for non-tested species: Mouse (80%), Rat (88%)

Packaging, Storage & Formulations

Storage
Store at 4C short term. Aliquot and store at -20C long term. Avoid freeze-thaw cycles.
Buffer
PBS (pH 7.2) and 40% Glycerol
Preservative
0.02% Sodium Azide
Purity
Immunogen affinity purified

Alternate Names for KLC2 Antibody - BSA Free

  • FLJ12387
  • kinesin light chain 2
  • KLC 2

Background

Kinesin is a molecular motor that generates ATP-dependent movement of vesicles and organelles along microtubules. Kinesin consists of 2 light chains, such as KLC2, and 2 heavy chains (see KIF5B; MIM 602809) in a 1:1 stoichiometric ratio (Rahman et al., 1998 [PubMed 9624122]).[supplied by OMIM]

Limitations

This product is for research use only and is not approved for use in humans or in clinical diagnosis. Primary Antibodies are guaranteed for 1 year from date of receipt.

Customers Who Viewed This Item Also Viewed...

NBP3-22348
Species: Hu, Mu, Rt
Applications: Flow, ICC/IF, IHC, IP, WB
NBP2-21667
Species: Hu
Applications: ELISA, ICC/IF, IHC, PAGE, WB
NBP1-76816
Species: Hu, Mu, Rt
Applications: ELISA, ICC/IF, IHC, WB
NBP1-47470
Species: Hu, Mu, Pm, Rt
Applications: ELISA, Flow, ICC/IF, IHC,  IHC-P, Simple Western, WB
NBP1-92691
Species: Bv, Ca, Eq, Hu, Mu, Rt
Applications: ICC/IF, IHC, KO, WB
NB300-109
Species: Ch, Dr, Hu, I, Ma, Mu, Rt
Applications: Dual ISH-IHC, ICC/IF, IHC-FrFl, IHC-WhMt, IHC, IHC-Fr,  IHC-P, KO, Simple Western, WB
NB100-56343
Species: Hu, Mu
Applications: ChIP, ChIP, ICC/IF, IP, Simple Western, WB
NBP2-27202
Species: Ca, Ch, ChHa, Fe, Hu, Mu, Ma-Op, Po, Pm, Rt
Applications: ICC/IF, Simple Western, WB
NBP1-87429
Species: Hu
Applications: IHC,  IHC-P, WB
NB120-2928
Species: Hu, Mu, Pm, Rb, Rt, Sh
Applications: ICC/IF, IHC,  IHC-P, IP, WB
NLS892
Species: Bt, Bv, Ca, Ha, Hu, Mu, Po, Rb, Rt
Applications: ICC, IHC,  IHC-P, WB
NBP2-22321
Species: Hu
Applications: ICC/IF, IP, WB
MAB1417
Species: Bv, Hu, Mu
Applications: ICC, IHC
NBP1-49533
Species: Hu, Mu, Pl, Rt
Applications: Flow-IC, Flow, ICC/IF, IHC,  IHC-P, KD, WB
NBP2-22399
Species: Hu, Mu, Rt
Applications: ICC/IF, IHC, WB
NBP2-75510
Species: Hu, Mu, Rt
Applications: ICC/IF, IHC,  IHC-P, IP, WB
NBP3-17874
Species: Hu
Applications: IHC,  IHC-P, WB
NBP1-83722
Species: Hu
Applications: WB, ICC/IF, IHC, Mycoplasma

Publications for KLC2 Antibody (NBP1-83722) (0)

There are no publications for KLC2 Antibody (NBP1-83722).
By submitting your publication information earn gift cards and discounts for future purchases.

Reviews for KLC2 Antibody (NBP1-83722) (0)

There are no reviews for KLC2 Antibody (NBP1-83722). By submitting a review you will receive an Amazon e-Gift Card or Novus Product Discount.
  • Review with no image -- $10/€7/£6/$10 CAD/¥70 Yuan/¥1110 Yen
  • Review with an image -- $25/€18/£15/$25 CAD/¥150 Yuan/¥2500 Yen

Product General Protocols

Find general support by application which include: protocols, troubleshooting, illustrated assays, videos and webinars.

Video Protocols

WB Video Protocol
ICC/IF Video Protocol

FAQs for KLC2 Antibody (NBP1-83722) (0)

There are no specific FAQs related to this product. Read our general customer & technical service FAQs.

Secondary Antibodies

 

Isotype Controls

Additional KLC2 Products

Research Areas for KLC2 Antibody (NBP1-83722)

Find related products by research area.

Blogs on KLC2

There are no specific blogs for KLC2, but you can read our latest blog posts.

Customers Who Bought This Also Bought

Contact Information

Product PDFs

Calculators

Concentration Calculator

The concentration calculator allows you to quickly calculate the volume, mass or concentration of your vial. Simply enter your mass, volume, or concentration values for your reagent and the calculator will determine the rest.

=
÷

Review this Product

Be the first to review our KLC2 Antibody - BSA Free and receive a gift card or discount.

Bioinformatics

Gene Symbol KLC2